Case Report


A tricuspid valve papillary fibroelastoma in a pediatric patient: an atypical presentation of a benign cardiac tumor

,  ,  ,  ,  ,  

1 Divison of Cardiology, Seattle Children’s Hospital, Seattle, Washington, USA

2 Department of Pediatrics, University of Washington, Seattle, WA, USA

Address correspondence to:

Addison Gearhart

Seattle Children’s Hospital, 4575 Sandpoint Way, NE, Seattle, WA 98105,

USA

Message to Corresponding Author


Article ID: 100153Z10PK2026

doi: 10.5348/100153Z10PK2026CR

Access full text article on other devices

Access PDF of article on other devices

How to cite this article

Perez-Kersey P, Gupta S, McFarland CA, Keller S, Vernon MM, Gearhart A. A tricuspid valve papillary fibroelastoma in a pediatric patient: an atypical presentation of a benign cardiac tumor. J Case Rep Images Oncology 2026;12(1):5–8.

ABSTRACT


Papillary fibroelastoma is a rare benign cardiac tumor typically seen in adults and when present is on the left side of the heart. We present the case of an otherwise healthy 2-year-old female referred to cardiology for a harsh holosystolic found to have a papillary fibroelastoma involving the tricuspid valve.

Keywords: Papillary fibroelastoma, Pediatric cardiac tumor, Tricuspid valve

Introduction


Primary cardiac tumors are exceedingly rare in pediatric patients, with an estimated prevalence between 0.0017% and 0.28% [1]. They can have a profound and occasionally life-threatening consequences for a developing heart. Most primary cardiac masses in children (approximately 90%) are histologically benign. Over 60% of all benign pediatric cases are rhabdomyomas with less common diagnosis being fibromas, teratomas, and myxomas [2]. The clinical presentation of a cardiac tumor in a child can range widely, from an asymptomatic mass detected incidentally on a prenatal or postnatal echocardiogram to severe, life-threatening symptoms, including heart failure, hemodynamic obstruction, and sudden cardiac death. Non-invasive imaging modalities including echocardiography, cardiac magnetic resonance imaging (CMR), and occasionally computed tomography—are important for tumor characterization which guides management and prognosis counseling [2].

Case Report


An asymptomatic 2-year-old female was referred to pediatric cardiology for evaluation of a murmur at the left lower sternal border. On examination, she had a harsh III/VI holosystolic at the left mid-sternal border prompting further evaluation.

Imaging Findings

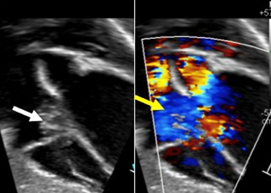
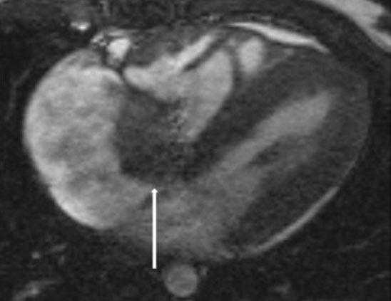
A transthoracic echocardiogram performed showed a large mobile heterogenous echogenic mass attached to the anterior leaflet of the tricuspid valve, without obstruction to inflow. During systole, the mass prolapsed through the valve causing leaflet distortion and mild-to-moderate eccentric tricuspid regurgitation (Figure 1). The heart structure and function were otherwise normal. Cardiac magnetic resonance imaging (CMR) was performed for diagnostic tissue characterization. On steady state free precession (SSFP) sequences, the mass appeared as isointense, well circumscribed, mobile valve nodules with turbulent flow. Tissue characterization revealed a T1 hypointense and T2 isointense soft tissue mass without early perfusion or late gadolinium enhancement (Figure 2). Imaging findings were consistent with a benign tumor with the differential diagnosis of an infectious or inflammatory mass, myxoma, papillary fibroelastoma, or teratoma [1].

Figure 1: Subcostal color compares transthoracic echocardiogram imaging showing a nodular appearing mass (white arrow) attached to the tricuspid valve leaflet. The mass prolapses in systole into the right atrium resulting and results in moderate tricuspid regurgitation (yellow arrow).

Share Image:

Figure 2: CMR still frame from apical 4 chamber cine steady state free precession (SSFP) imaging showing a large isointense, homogenous mass attached to the septal leaflet of the tricuspid valve leaflet (white arrow).

Share Image:

Discussion


Ultimately resection was recommended for definitive diagnosis and therapy. Intra-operatively, a large 26 × 17 × 15 mm multi-lobular polypoid mass (Figure 3) stemmed from the septal leaflet of the tricuspid valve by the anteroseptal commissure. The valve was reconstructed using autologous pericardium. Post-operative transesophageal echocardiogram showed a well-functioning tricuspid valve. Tissue histopathology identified avascular fibroelastic tissue surrounded by a thin layer of endocardium, consistent with papillary fibroelastoma (PFE). The patient remains asymptomatic at follow-up with a well-functioning tricuspid valve.

Cardiac tumors in pediatric patients are rare (prevalence ~0.001–0.30% by autopsy) and typically benign with rhabdomyomas, myxomas, teratomas, and fibromas being most common [2]. Papillary fibroelastoma are usually found on the left side of the heart attached to mitral or aortic valves. They are the most common primary tumor of heart valves in adults, but are rare in children [2]. While PFEs can be implicated in thromboembolic events, they seldom cause valvular dysfunction. Surgical excision is reserved for large (>1 cm in size) and left-sided tumors because removal dramatically reduces the risk of stroke. Right sided tumors are thought to be able to be conservatively managed if they are not causing significant hemodynamic dysfunction or damage to the valve [3]. Of the few pediatric case reports of right-sided PFEs, many occurred in the setting of congenital heart disease and one caused significant obstruction to right ventricular outflow tract [3]. Our case was quite atypical in that the mass presented in a very young patient, on the right side of the heart, caused significant valvuar dysfunction, and presented in the absence of congenital heart disease. Our case highlights the utility of multi-modality imaging in these atypical cases.

Figure 3: Intra-operative imaging of the tricuspid valve mass which appears cystic and nodular on gross inspection (white arrow).

Share Image:

Conclusion


We present an unusual presentation of a large papillary fibroelastoma on the tricuspid valve in a young pediatric patient.

REFERENCES


1.

Beroukhim RS, Ghelani S, Ashwath R, Balasubramanian S, Biko DM, Buddhe S, et al. Accuracy of cardiac magnetic resonance imaging in diagnosing pediatric cardiac masses: A multicenter study. JACC Cardiovasc Imaging 2022;15(8):1391–405. [CrossRef] [Pubmed]   Back to citation no. 1  

2.

Inserra MC, Cannizzaro MT, Passaniti G, Celona A, Secinaro A, Curione D, et al. MR imaging of primary benign cardiac tumors in the pediatric population. Heliyon 2023;9(9):e19932. [CrossRef] [Pubmed]   Back to citation no. 1  

3.

Anderson KR, Fiddler GI, Lie JT. Congenital papillary tumor of the tricuspid valve. An unusual cause of right ventricular outflow obstruction in a neonate with trisomy E. Mayo Clin Proc 1977;52(10):665–9. [Pubmed]   Back to citation no. 1  

SUPPORTING INFORMATION


Author Contributions

Pliceliany Perez-Kersey - Conception of the work, Design of the work, Acquisition of data, Drafting the work, Revising the work critically for important intellectual content, Final approval of the version to be published, Agree to be accountable for all aspects of the work in ensuring that questions related to the accuracy or integrity of any part of the work are appropriately investigated and resolved.

Surbhi Gupta - Conception of the work, Design of the work, Revising the work critically for important intellectual content, Final approval of the version to be published, Agree to be accountable for all aspects of the work in ensuring that questions related to the accuracy or integrity of any part of the work are appropriately investigated and resolved.

Carol A McFarland - Conception of the work, Design of the work, Revising the work critically for important intellectual content, Final approval of the version to be published, Agree to be accountable for all aspects of the work in ensuring that questions related to the accuracy or integrity of any part of the work are appropriately investigated and resolved.

Samuel Keller - Conception of the work, Design of the work, Revising the work critically for important intellectual content, Final approval of the version to be published, Agree to be accountable for all aspects of the work in ensuring that questions related to the accuracy or integrity of any part of the work are appropriately investigated and resolved.

Megan M Vernon - Conception of the work, Design of the work, Acquisition of data, Drafting the work, Revising the work critically for important intellectual content, Final approval of the version to be published, Agree to be accountable for all aspects of the work in ensuring that questions related to the accuracy or integrity of any part of the work are appropriately investigated and resolved.

Addison Gearhart - Conception of the work, Design of the work, Acquisition of data, Drafting the work, Revising the work critically for important intellectual content, Final approval of the version to be published, Agree to be accountable for all aspects of the work in ensuring that questions related to the accuracy or integrity of any part of the work are appropriately investigated and resolved.

Guaranter of Submission

The corresponding author is the guarantor of submission.

Source of Support

None

Consent Statement

Written informed consent was obtained from the patient for publication of this article.

Data Availability

All relevant data are within the paper and its Supporting Information files.

Conflict of Interest

Authors declare no conflict of interest.

Copyright

© 2026 Pliceliany Perez-Kersey et al. This article is distributed under the terms of Creative Commons Attribution License which permits unrestricted use, distribution and reproduction in any medium provided the original author(s) and original publisher are properly credited. Please see the copyright policy on the journal website for more information.