Case Report


Apocrine adenocarcinoma in a patient with a partner and localizer of BRCA2 (PALB2) genetic mutation: A case report

,  

1 College of Osteopathic Medicine, William Carey University, Hattiesburg, MS, USA

2 Family Medicine, Singing River Health System, Biloxi, MS, USA

Address correspondence to:

Anna Breland

36001 Sibley Lane, Stapleton, AL 36578,

USA

Message to Corresponding Author


Article ID: 100149Z10AB2025

doi: 10.5348/100149Z10AB2025CR

Access full text article on other devices

Access PDF of article on other devices

How to cite this article

Breland A, Cooper T. Apocrine adenocarcinoma in a patient with a partner and localizer of BRCA2 (PALB2) genetic mutation: A case report. J Case Rep Images Oncology 2025;11(2):11–15.

ABSTRACT


Introduction: Apocrine adenocarcinoma is a rare malignant neoplasm involving apocrine sweat glands. Physical presentation is variable, as masses can be violaceous, erythematous, solid, cystic, nodular, or ulcerated. Due to its lack of distinctive physical features, immunohistochemical staining with clinical correlation is imperative to reach an accurate diagnosis.

Case Report: A 72-year-old male presented with a painful, erythematous mass in the right axilla. A shave biopsy with immunohistochemical staining revealed estrogen receptor (ER) negative, progesterone receptor (PR) negative, human epidermal growth factor receptor 2 (HER2) negative results, suggesting ductal carcinoma of breast origin. However, follow-up imaging showed no breast abnormalities. A subsequent positron emission tomography (PET) scan showed hypermetabolic lymph nodes and cutaneous uptake in the right axilla. A right axillary lymph node biopsy showed ER negative, PR negative, HER2 positive, and α-methylacyl CoA racemase (AMACR), also known as p504s, positive results in immunohistochemistry, confirming the diagnosis of apocrine adenocarcinoma. Our patient underwent local excision of the primary tumor, neoadjuvant chemotherapy of a carboplatin paclitaxel regimen, a complete right axillary node dissection, and is undergoing maintenance chemotherapy with pembrolizumab.

Conclusion: The diagnosis of apocrine adenocarcinoma is extremely rare, with less than 200 cases reported as of 2024. Our patient also has a partner and localizer of BRCA2 (PALB2) genetic mutation. To our knowledge, there are no reported cases of apocrine adenocarcinoma in a patient with a PALB2 genetic mutation. Standard treatment is wide local excision, with or without chemotherapy depending on lymph node involvement.

Keywords: Apocrine adenocarcinoma, Chemotherapy, PALB2

Introduction


Apocrine adenocarcinoma, also known as apocrine carcinoma, primary cutaneous apocrine carcinoma, and apocrine sweat gland carcinoma, is an extremely rare neoplastic presentation, with less than 200 cases reported in the literature as of 2024 [1],[2]. It is considered an “appendageal tumor” by the World Health Organization. It involves the skin adnexa that differentiates into the apocrine sweat glands, typically arising in areas of high sweat gland density, most commonly in the axilla followed by the anogenital region [1]. However, cases have been reported in other areas with lower sweat gland density, such as the forehead, wrist, ear, eyelid, trunk, foot, toe, finger, scalp, chest, groin, vulva, and thigh [1],[3],[4]. The majority of cases develop de novo, but it can also arise from preexisting benign lesions such as apocrine hyperplasia or apocrine adenoma [5]. The course of disease is variable, ranging from indolent in nature to highly aggressive [6], with the ability to spread via lymphatics or hematogenous routes, and it metastasizes to the lungs, liver, brain, and bones [1],[6].

Clinically, there is no distinctive physical presentation which lends itself to suspected apocrine adenocarcinoma [3]. Lesions can appear ulcerated, indurated, nodular, papular, plaque-like, solid, or cystic [3][7],[8]. Most nodules are also painless and reddish to purplish in color. The disease typically presents in the seventh and eighth decades of life and are 1–2 cm in size at the time of diagnosis [1],[3].

Case Report


Our case presents a 72-year-old male who sought care at an outpatient clinic for a raised, painful, and erythematous mass in the right axilla. Past medical history includes: Celiac disease, obstructive sleep apnea, gastroesophageal reflux disease, hyperlipidemia, hypertension, Type 2 diabetes mellitus, vitamin D deficiency, benign prostatic hyperplasia, placement of a cardiac pacemaker, bladder cancer at 68 years of age, more than 10 colon polyps, a gastrointestinal stromal tumor at the age of 68, and a mobile, marble-sized left breast mass, which the patient states had been present for 15 years without a change in size. Social history includes 26 total pack years of smoking cigarettes, quitting 45 years ago. Relevant family history includes maternal breast cancer diagnosed at the age of 44 and paternal bone cancer with unknown age of diagnosis. On physical exam, the patient was alert and oriented, and obese in appearance with unimpressive vital signs. The cardiovascular exam was normal with a regular heart rate and rhythm and normal heart sounds. Pulmonary effort was normal with normal breath sounds. A skin examination revealed a marble-sized mobile mass underneath the left areola and a raised, erythematous mass underneath the right axilla, which the patient described as “painful.”

Initially thought to be an infected inclusion cyst, the patient was prescribed a 14-day course of doxycycline 100 mg twice daily for the suspected infection. The patient was referred to dermatology for removal and a bilateral mammogram was recommended. Mammography showed mild, left-sided retro-areolar gynecomastia, which was classified as a Breast Imaging Reporting and Data System (BI-RADS) category 2. No abnormal findings were seen in the right breast.

Three days after completing the 14-day course of doxycycline, the patient was seen by dermatology. The patient noted an improvement in the swelling and pain of the mass while on the 14-day course of doxycycline but noted that the pain and inflammation returned once the 14-day course ended. The patient was then prescribed a 1-month course of doxycycline 100 mg once daily, until the scheduled biopsy of the mass three and a half weeks later. A shave biopsy of the mass was performed, with squamous cell carcinoma and breast cancer on the differential diagnosis.

The immunohistochemical profile of the biopsied tissue showed no estrogen receptor (ER), progesterone receptor (PR), human epidermal growth factor receptor 2 (HER2), cytokeratin 5/6 (CK-5/6), cytokeratin 20 (CK-20), p63, and thyroid transcription factor 1 (TTF-1) expression. Pankeratin, cytokeratin 7 (CK-7), epithelial membrane antigen (EMA), and GATA-binding protein 3 (GATA-3) were positive in immunohistochemistry. The lack of p63 and CK-5/6 expression were thought to argue against a diagnosis of primary cutaneous adnexal carcinoma and favor an impression of ductal carcinoma of breast origin. At this time, our patient underwent genetic testing due to a personal, and family, history of cancer, in addition to the possible diagnosis of ductal carcinoma of breast origin. A saliva sample was taken, and a partner and localizer of BRCA2 (PALB2) pathogenic mutation was detected. Our patient was found to be heterozygous for the c.509_510delGA (p.R170lfs*14) mutation in the PALB2 gene.

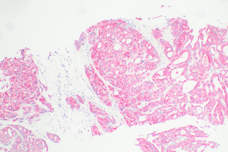
The patient was then referred to surgery for further work-up. A right breast ultrasound showed no breast abnormalities but found enlarged, suspicious right axillary lymph nodes. A subsequent positron emission tomography (PET) scan showed hypermetabolic right axillary lymph nodes and cutaneous fludeoxygluoce-18 uptake in the right axilla. Surgery proceeded with an ultrasound-guided percutaneous core needle biopsy of the largest enlarged lymph node; it measured 2 cm in diameter. Immunohistochemical staining results of the core needle biopsy showed no ER, PR, CK-20, TTF-1, p40, and CD117 expression. HER2, CK-7, GATA-3, and a-methylacyl CoA racemase (AMACR), also known as p504s, were positive in immunohistochemistry. The pathology report noted that while the immunophenotypic profile was suggestive of a breast primary lesion, reactivity for p504s (Figure 1) raised the possibility of apocrine differentiation of adnexal origin.

A bilateral breast magnetic resonance imaging (MRI) was ordered and showed no areas of suspicious enhancement within the right or left breast, but extensive adenopathy in the right axilla involving levels two and three was seen, with the largest solitary lymph node, measuring 2.3 cm in diameter and demonstrating central necrosis. A BI-RADS category 6 (known biopsy-proven malignancy) was assigned.

An outside institution was consulted for review of immunohistochemical staining results. They agreed with the diagnosis of apocrine adenocarcinoma, noting that apocrine adenocarcinomas were not restricted to the breast and can arise in cutaneous appendages. Given the clinical presentation, and absence of a primary breast lesion, diagnosis of a primary skin tumor of apocrine differentiation was favored. The final diagnosis was apocrine adenocarcinoma origination from the skin with spread to the axilla, without evidence of metastatic disease outside of the axilla.

The patient followed-up with oncology, who recommended removal of the primary tumor. The patient then chose to proceed with removal of the primary tumor and a neoadjuvant chemotherapy regimen of carboplatin and paclitaxel. Follow-up computed tomography (CT) scans showed a good, but not complete, response to the chemotherapy regimen, with no evidence of distant disease. The patient then underwent a complete right axillary node dissection with four out of 22 nodes still showing cancer. The case was presented to the Tumor Board of our institution who recommended radiation therapy. However, the patient opted against radiation therapy after discussing the risks and benefits with the radiation oncologist. The patient is currently on a regimen of pembrolizumab infusion every three weeks for one year and is receiving routine surveillance imaging to monitor treatment response and disease status.

Figure 1: Lymph node core-needle biopsy with AMACR (p504s) immunohistochemical stain at 100× magnification demonstrating strong and diffuse cytoplasmic staining for racemase.

Share Image:

Discussion


Apocrine adenocarcinoma is an extremely rare neoplastic presentation, without a distinctive clinical presentation [2],[3]. Our case highlights two important points in the context of the rarity and difficulty of an apocrine adenocarcinoma diagnosis: the importance of immunohistochemical staining in conjunction with clinical correlation and the possible role of a PALB2 gene mutation in pathogenesis.

In cases of suspected apocrine adenocarcinoma because of its proximity to the breast, it is critical that the tumor can be differentiated from any type of primary breast cancer, and immunohistology is crucial in distinguishing between the two [8]. In our case, the tumor which turned out to be apocrine adenocarcinoma was initially suspected to be of a breast primary origin. This initial suspicion may have been due to the patient’s personal history of a left breast mass, a family history of maternal breast cancer, or the low probability of apocrine adenocarcinoma due to its rarity. Even the initial immunohistochemical staining leaned towards a breast primary diagnosis. However, follow-up imaging and PET scans revealed that there were no lesions of the breast, yet the PET scan showed cutaneous uptake in the axilla and lymph node involvement. It was not until the lymph node biopsy was completed that a different possible diagnosis of apocrine adenocarcinoma was revealed. Due to conflicting findings, further staining and confirmation by a second institution corroborated the findings and clinical impression of what was initially thought to be breast cancer was actually apocrine adenocarcinoma. In our case, clinical correlation of the absence of a breast lesion paired with the immunohistochemical staining led to a final diagnosis.

Secondly, because of the lack of distinctive physical presentation, developing other known clinical clues to inform a differential diagnosis may help with the difficulty of an apocrine adenocarcinoma diagnosis [3]. During the diagnostic course, our patient was found to have a partner and localizer of BRCA2 (PALB2) pathogenic mutation. Originally identified by Xia et al. in 2006 [9], the PALB2 gene is located on chromosome 16p12.2, consists of 13 exons, and encodes a 1186 amino acid protein [10]. Partner and localizer of BRCA2 is involved in the homologous recombination repair pathway of double stranded DNA breaks by linking BRCA1 to BRCA at the site of DNA damage, forming a BRCA1-PALB2-BRCA2 complex [11]. BRCA2 must be able to bind to PALB2 in order to support homologous recombination, as “PALB2-knockdown cells exhibited diminished homologous repair activity” [10]. PALB2 gene mutations have been associated with increased risks of female breast cancer, male breast cancer, pancreatic cancer, and ovarian cancer than in the general population [12]. To our knowledge, our case is the first reported case of primary cutaneous apocrine adenocarcinoma in a patient with a known PALB2 genetic mutation. While a PALB2 mutation has yet to be associated with apocrine adenocarcinoma, this could be due to the rarity of diagnosis, and reporting of diagnosis, of apocrine adenocarcinoma itself. The finding of a PALB2 mutation in our patient, who did not have a cancer typically associated with PALB2 mutations, proposes a potentially new cancer association with PALB2 mutations. Further studies would be needed to establish if any association exists between apocrine adenocarcinoma and a PALB2 mutation. If such an association is found to exist, this association could be an additional clue to inform the diagnosis of apocrine adenocarcinoma.

Conclusion


The diagnosis of apocrine adenocarcinoma is challenging due to a lack of distinctive physical presentation. Thus, the diagnostic process needs to clinically correlate immunohistochemical pathology in the context of immunohistochemical staining, relevant imaging, and patient history. Genetic mutations may also provide additional clues in the future to alert a clinician to a possible increased risk for apocrine adenocarcinoma, helping to inform a proper workup. Our case not only underscores the importance of clinical correlation in the diagnosis of apocrine adenocarcinoma, but it also presents a potential new consideration to help inform a differential diagnosis—a PALB2 genetic mutation.

REFERENCES


1.

Tsuruta S, Ogata D, Namikawa K, Nakano E, Yamazaki N. A review of cutaneous apocrine carcinoma: Epidemiology, diagnosis, prognosis, and treatment options. Jpn J Clin Oncol 2024;54(11):1135–40. [CrossRef] [Pubmed]   Back to citation no. 1  

2.

Khessairi N, Fertani Y, Sakhri S, Abbess I, Zemni I, Dhiab TB. Primary cutaneous apocrine carcinoma: A challenging case report. Int J Surg Case Rep 2024;117:109513. [CrossRef] [Pubmed]   Back to citation no. 1  

3.

Chamberlain RS, Huber K, White JC, Travaglino-Parda R. Apocrine gland carcinoma of the axilla: Review of the literature and recommendations for treatment. Am J Clin Oncol 1999;22(2):131–5. [CrossRef] [Pubmed]   Back to citation no. 1  

4.

Bouabid M, BenSghier A, Moukhlissi M, Berhili S, Mezouar L. Primary cutaneous apocrine carcinoma of the thigh: A rare case report. Cureus 2024;16(4):e57859. [CrossRef] [Pubmed]   Back to citation no. 1  

5.

Chadha S, Kumar R, Singhal S, Ruhela S. Primary cutaneous apocrine carcinoma: Case report and literature review. Indian J Pathol Microbiol 2021;64(1):183–5. [CrossRef] [Pubmed]   Back to citation no. 1  

6.

Loh SH, Oh YJ, Lew BL, Sim WY. Primary cutaneous apocrine carcinoma. Ann Dermatol 2016;28(5):669–70. [CrossRef] [Pubmed]   Back to citation no. 1  

7.

Karaca S, Kulac M, Sahin O, Esme H, Solak O, Aktepe F. A rare cutaneous tumor of the axilla: Apocrine adenocarcinoma. Indian Journal of Dermatology 2007;52(1):50–2.   Back to citation no. 1  

8.

Collette F, Hamoir M, Van Eeckhout P, D’Abadie P, Duprez T, Schmitz S, et al. Metastatic cutaneous apocrine adenocarcinoma successfully treated with systemic anti-androgen therapy—A case report. Clin Case Rep 2020;8(12):3472–8. [CrossRef] [Pubmed]   Back to citation no. 1  

9.

Xia B, Sheng Q, Nakanishi K, Ohashi A, Wu J, Christ N, et al. Control of BRCA2 cellular and clinical functions by a nuclear partner, PALB2. Mol Cell 2006;22(6):719–29. [CrossRef] [Pubmed]   Back to citation no. 1  

10.

Tischkowitz M, Xia B. PALB2/FANCN: Recombining cancer and Fanconi anemia. Cancer Res 2010;70(19):7353–9. [CrossRef] [Pubmed]   Back to citation no. 1  

11.

Zhang F, Ma J, Wu J, Ye L, Cai H, Xia B, et al. PALB2 links BRCA1 and BRCA2 in the DNA-damage response. Curr Biol 2009;19(6):524–9. [CrossRef] [Pubmed]   Back to citation no. 1  

12.

Yang X, Leslie G, Doroszuk A, Schneider S, Allen J, Decker B, et al. Cancer risks associated with germline PALB2 pathogenic variants: An international study of 524 families. J Clin Oncol 2020;38(7):674–85. [CrossRef] [Pubmed]   Back to citation no. 1  

SUPPORTING INFORMATION


Acknowledgments

Photomicrographs provided courtesy of Matthew W. Auten, M.D., Ph.D., Singing River Pathology (Ocean Springs, MS).

Author Contributions

Anna Breland - Analysis of data, Drafting the work, Revising the work critically for important intellectual content, Final approval of the version to be published, Agree to be accountable for all aspects of the work in ensuring that questions related to the accuracy or integrity of any part of the work are appropriately investigated and resolved.

Tana Cooper - Conception of the work, Design of the work, Acquisition of data, Revising the work critically for important intellectual content, Final approval of the version to be published, Agree to be accountable for all aspects of the work in ensuring that questions related to the accuracy or integrity of any part of the work are appropriately investigated and resolved.

Guaranter of Submission

The corresponding author is the guarantor of submission.

Source of Support

None

Consent Statement

Written informed consent was obtained from the patient for publication of this article.

Data Availability

All relevant data are within the paper and its Supporting Information files.

Conflict of Interest

Authors declare no conflict of interest.

Copyright

© 2025 Anna Breland et al. This article is distributed under the terms of Creative Commons Attribution License which permits unrestricted use, distribution and reproduction in any medium provided the original author(s) and original publisher are properly credited. Please see the copyright policy on the journal website for more information.