Case Series


Two young women diagnosed with metastatic, KRAS G12D-mutant lung adenocarcinoma during pregnancy

,  ,  ,  ,  

1 MRCP, Medical Registrar, Department of Obstetric Medicine, Guy’s and St Thomas’ NHS Foundation Trust, London, UK

2 MRCP, Locum Consultant Obstetric Physician, Department of Obstetric Medicine, Guy’s and St Thomas’ NHS Foundation Trust, UK; Department of Women and Children’s Health, King’s College, London, UK

3 MRCOG PhD, Obstetric Registrar, Department of Obstetrics, Lewisham and Greenwich NHS Foundation Trust, London, UK

4 FRCP, Professor of Obstetric Medicine and Consultant Obstetric Physician, Department of Obstetric Medicine, Guy’s and St Thomas’ NHS Foundation Trust, UK; Department of Women and Children’s Health, King’s College, London, UK

5 MRCP PhD, Consultant Medical Oncologist, Department of Medical Oncology, Guy’s and St Thomas’ NHS Foundation Trust, London, UK

Address correspondence to:

Catherine Nelson-Piercy

Obstetric Medicine Department, St Thomas’ Hospital, SE1 7EH, London,

UK

Message to Corresponding Author


Article ID: 100145Z10HG2025

doi: 10.5348/100145Z10HG2025CS

Access full text article on other devices

Access PDF of article on other devices

How to cite this article

Gerretsen H, Nana M, Nathan HL, Nelson-Piercy C, Gennatas S. Two young women diagnosed with metastatic, KRAS G12D-mutant lung adenocarcinoma during pregnancy. J Case Rep Images Oncology 2025;11(1):25–32.

ABSTRACT


Introduction: Cancer diagnosis during pregnancy is rare, but the incidence is expected to rise. Lung cancer during pregnancy is often diagnosed at an advanced stage, with overall poor prognosis. Symptoms are often attributed to alternative diagnoses or physiological changes of pregnancy. Diagnostic imaging is also sometimes delayed due to concerns regarding the hazardous effects of radiation exposure on the fetus.

Case Series: We present two cases of patients diagnosed with metastatic lung adenocarcinoma during pregnancy. Neither patient had a targetable mutation for treatment, but were found to have KRAS G12D-mutation. Both patients were started on carboplatin, pemetrexed, and pembrolizumab after delivery of their babies. They both died a few months post-diagnosis.

Conclusion: Evidence regarding management of lung cancer in pregnancy is limited, based on case reports and no randomized control trials. This case series highlights the importance of clinicians having a low threshold to investigate for cancer in pregnancy, to aid earlier diagnosis and improve prognosis.

Keywords: KRAS mutant, Lung adenocarcinoma, Metastatic, Pregnancy

Introduction


Cancer is the second leading cause of death in women of child bearing age [1]. It is estimated that 1 in a 1000 women in developed countries receive a cancer diagnosis during or up to one year after pregnancy [2]. Incidence over time is expected to climb due to a combination of higher prevalence of smoking among young women worldwide and increasing maternal age at first pregnancy [2],[3]. The most common cancers diagnosed in this age group include breast cancer, cervical cancer, Hodgkin lymphoma, melanoma, and leukemia [1]. Although lung cancer is rarer, it is the second most common cause of cancer mortality in women [4]. Cancers are often diagnosed at a late stage in pregnancy; at the time of diagnosis they are often locally advanced or metastatic [5]. This delay in diagnosis is a result of several factors including symptoms being attributed to physiological changes in pregnancy and diagnostic imaging being delayed due to unfounded concerns regarding fetal risk [5]. Here, we describe two cases of women who received a new diagnosis of metastatic lung adenocarcinoma during pregnancy.

CASE SERIES


Case 1

A 37-year-old Caucasian, non-English speaker, presented to her local emergency department twice in 2022 with chest pain and hemoptysis. She underwent investigations including an electrocardiogram (ECG), chest X-ray (CXR), and blood tests all of which were normal. A working diagnosis of musculoskeletal chest pain was made. She had no significant past medical history. She was a heavy smoker (25 pack year history). At the start of February 2023, when she was 26 weeks’ gestation in an unbooked pregnancy, she presented to her local hospital after developing a cough. She received antibiotics for a presumed chest infection. She did not notice any improvement in her symptoms, developed pleuritic left-sided chest pain, reported hemoptysis and presented to the maternity unit at a tertiary center two weeks later. She was noted to have a sinus tachycardia on admission (heart rate 117 bpm), her other observations were within normal limits. Routine blood tests revealed a white cell count (WCC) of 11.6 × 109/L, neutrophil count 8.9 × 109/L, C-reactive protein (CRP) 119 mg/L, urinary legionella and pneumococcal antigens were negative, sputum grew commensals only. Chest X-ray on admission showed a left-sided pleural effusion with consolidation (Figure 1). A temporary chest drain drained 1 L of fluid. She was treated for a chest infection with intravenous co-amoxiclav.

She was admitted to the high dependency unit (HDU) for monitoring following her drain insertion and pain management, requiring significant amounts of analgesia including patient-controlled analgesia, gabapentin, lidocaine patches, and ibuprofen. A computed tomography (CT) of the thorax performed five days later revealed extensive inflammatory changes in the left hemithorax, with left pleural thickening, loculation and hyperenhancement (Figure 2). Multiple enlarged anterior and middle mediastinal nodes were also noted. The pleural effusion reaccumulated four days post-chest drain removal. Interventional radiology inserted a new chest drain. The pleural fluid analysis was consistent with an exudate [protein 40 g/L, glucose 4 mmol/L, lactate dehydrogenase (LDH) 610 IU/L], and was negative for mycobacterium. Cytology revealed an adenocarcinoma of likely lung primary, which was positive for BerEP4, CK7, MNF116, and CEA; negative for TTF1, CK20, calretinin, and WT1. Six days later she underwent an endobronchial ultrasound (EBUS), which confirmed an adenocarcinoma. PD-L1 was negative (0%) on immunohistochemistry. Molecular diagnostics on the endobronchial ultrasound (EBUS) sample revealed a KRAS-G12D mutation with a variant allele frequency (VAF) of 45% [EGFR and BRAF were wild-type (WT)]. Fusion testing of the RNA panel failed to provide a result. She had spontaneous rupture of her membranes later that day and underwent a breech vaginal delivery at 30+4 weeks’ gestation. Her baby weighed 1545 g at birth (between the 50th and 75th centile), Apgar scores were 9 and 10 at one and five minutes post-delivery respectively and baby was admitted to the neonatal intensive care unit (NICU).

She had a CT thorax/abdomen/pelvis (TAP) performed post-delivery to complete her staging. This confirmed a T4N3M1c lung adenocarcinoma, with evidence of upper abdominal lymphadenopathy and bilateral adrenal lesions. She remained an inpatient due to complex pain management, requiring input from both the palliative care team and pain team. She was transferred to an oncology ward and was started on palliative chemotherapy with carboplatin, pemetrexed and pembrolizumab, given her rapid clinical decline, young age and good pre-morbid status. Two weeks later she had a two-day intensive care stay when she developed a supraventricular tachycardia and pericardial effusion. She deteriorated during this admission and died two days later.

Case 2

A 35-year-old Caucasian woman developed sudden onset shortness of breath and cough in June 2024, when she was 19 weeks’ gestation in her first pregnancy. Her medical history included well controlled asthma and she had undergone a right partial lobectomy as a child due to a congenital lung defect. She was a never-smoker. She was prescribed a course of oral antibiotics by her general practitioner (GP). Her cough worsened, resulting in her fracturing a rib, at which point she presented to hospital in July 2024 when she was 23 weeks’ gestation. During this hospital admission, she was initially treated for an assumed lower respiratory tract infection with antibiotics (amoxicillin and azithromycin). Routine blood tests showed a WCC 12.2 × 109/L, neutrophil count 9.2 × 109/L, and CRP 52 mg/L, a CXR showed patchy consolidation in left lower zone (Figure 3). She was positive for rhinovirus on a respiratory panel, a screen for atypical lung infections was negative, sputum microscopy culture sensitivities (MCS) negative, COVID negative, negative blood cultures. Despite antibiotics there was no clinical improvement. She went on to have a CT pulmonary angiogram (CTPA) to rule out a pulmonary embolus (PE) as a cause of her ongoing symptoms. The scan confirmed a pulmonary embolus, dense consolidation of her left lung and enlarged mediastinal lymph nodes (Figure 4). A primary lung tumor and tuberculosis were both differential diagnoses. She was commenced on treatment dose low molecular weight heparin and discharged home. Post-discharge her imaging was reviewed in a respiratory radiology meeting and a 2-week wait referral to the tuberculosis team was made.

At 26 weeks’ gestation, she was seen by her community midwife and reported a three-week history of vomiting and a 5 kg weight loss. She was referred to the obstetric day assessment unit at her local hospital and was noted to have low oxygen saturations. Her arterial blood gas (ABG) revealed type 1 respiratory failure: pH 7.458, pCO2 4.22 kPa, pO2 7.22 kPa, Hb 123 g/L, glucose 5 mmol/L, lactate 1.1 mmol/L. She was admitted under the medical team and started on antibiotics to treat assumed lower respiratory tract infection. A repeat CTPA done ruled out progression of her PE, but mild interval worsening of the left upper and lower lobe pulmonary opacities (Figure 5). Sputum cultures taken during her admission were negative for acid fast bacilli (AFB). At 27+0 weeks she had an obstetric ultrasound scan which showed a small for gestational age baby, with estimated fetal weight on the 10th centile. She was scheduled to undergo a bronchoscopy at her local hospital, but experienced preterm, premature rupture of her membranes at 27+4 weeks’ gestation and was transferred to a tertiary center for ongoing obstetric care with access to a NICU. An urgent EBUS was performed. It identified abnormal mediastinal lymph nodes, which were biopsied. Cytology revealed malignant cells, consistent with an adenocarcinoma, which were diffusely positive for CK7 and negative for CK20, CDX2, Napsin A, PAX8, estrogen receptor, and progesterone receptor. PD-L1 was negative. Tissue molecular diagnostics revealed a KRAS-G12D mutation (VAF 18%) (EGFR, BRAF, MET, and ERBB2 were WT. No fusions or oncogenic isoforms detected in ALK, ROS1, RET, MET, NTRK1, NTRK2, and NTRK3). A circulating tumor DNA (ctDNA) test showed the same KRAS mutations and P1K3CA and PDGFRA mutations of uncertain significance.

Completion of her staging with an MRI of the abdomen and brain, revealed multiple brain metastases with related mass effect, confirming a T4N3M1c lung adenocarcinoma. As there are no data on the safety of pembrolizumab to treat lung cancer during pregnancy, she underwent an elective cesarean section at 29+1 weeks. She had a repeat obstetric ultrasound scan a few days prior to delivery, which showed the baby remained small for gestational age (10th centile), with normal Dopplers and liquor. Prior to delivery, she was given intramuscular steroids for fetal lung maturation and intravenous magnesium for neonatal neuroprotection. Post-delivery she was started on dexamethasone 4 mg BD to treat cerebral oedema. Her baby weighed 1100 g at birth, Apgar scores were 7 and 9 at one and five minutes respectively, and the baby was admitted to NICU for respiratory distress and anemia of prematurity.

She was commenced on carboplatin, pemetrexed and pembrolizumab with a palliative intent as an inpatient six days after delivery. She was discharged six days later with outpatient oncology follow-up. Repeat imaging after three cycles of treatment in November 2024 revealed disease progression in the thorax and brain. Her chemotherapy was stopped and she received 20 Gy whole brain radiotherapy in five sessions. She started second line treatment with docetaxel the following month. Three days later she presented to her local emergency department with acute shortness of breath. She was found to have raised inflammatory markers and rapidly deteriorated due to likely chest sepsis. She died the same day.

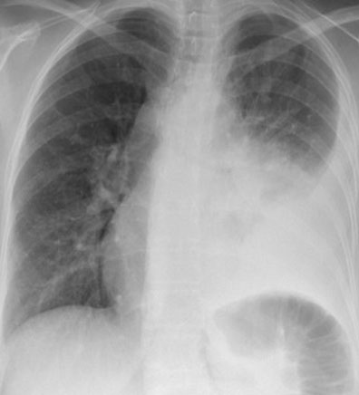
Figure 1: CXR on admission revealing left-sided pleural effusion.

Share Image:

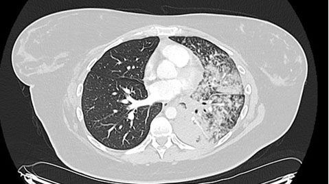
Figure 2: CT thorax with contrast revealing extensive inflammatory changes in the left hemithorax, with left pleural thickening, loculation, and hyperenhancement, as well as multiple enlarged lymph nodes.

Share Image:

Figure 3: CXR done on admission which revealed dense airspace opacification in left lower to midzone, as well as some mild airspace opacification in right lower zone.

Share Image:

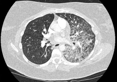
Figure 4: CTPA done during first admission revealing mediastinal lymphadenopathy and dense consolidation, pulmonary nodularity and interlobular septal thickening in the left lung with nodularity in the right lung.

Share Image:

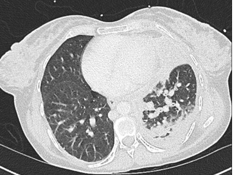
Figure 5: Repeat CTPA done during second hospital admission revealed mild interval worsening of the left upper and lower lobe pulmonary opacities with no interval change in mediastinal and hilar lymphadenopathy and no new pulmonary embolism identified.

Share Image:

Discussion


The first case of lung cancer in pregnancy was reported by Barr in 1953 [6]. Since then, there have been around 100 documented cases of lung cancer in pregnancy, with the majority being reported after 2000. In recent literature, median age of diagnosis has been reported as 34 years old (ranging from 17–47 years), with median gestational age at diagnosis of 26 weeks’ [5]. The two patients discussed in this article were 35 and 37 years old when diagnosed, one received her diagnosis late in the second trimester, while the other was in her third trimester.

The most common reported symptoms are cough, dyspnea, and chest pain as was the case in our patients [5],[7]. In addition, patients can also report symptoms related to metastases. In a narrative review, 12/93 patients (12.9%) were treated with antibiotics empirically for presumed chest infection [5]. Both the patients discussed in this article presented with cough and were initially treated for chest infections, but reported that they did not notice any improvement in their symptoms and were subsequently diagnosed with lung cancer. Outside of pregnancy, it is likely their symptoms would have prompted further investigations at an earlier stage. At the time of diagnosis, patients with lung cancer in pregnancy often have advanced disease [7]; both our patients discussed had stage IV cancer at diagnosis. This delay in diagnosis is due to a combination of factors: symptoms being attributed to pregnancy or alternative diagnoses and concerns regarding use of diagnostic imaging and radiation risk to the fetus. Cancer is often overlooked as a possible diagnosis by clinicians due to the relatively young age of pregnant women. Given the reported increasing prevalence of cancer, clinicians should have a high index of suspicion.

Although rare, and not present in the patients presented in this paper, there have been 16 documented cases of placental metastases [7] and 3 cases of fetal metastases secondary to lung cancer [8]. One systematic review identified that placental and fetal metastases are predominantly found in patients with gestational melanoma and lung cancer, highlighting the importance of screening for these in patients diagnosed with lung cancer during pregnancy [9]. Dissemination is thought to occur through hematogenous spread [8].

Adenocarcinoma is the most common type of lung cancer diagnosed in pregnancy, accounting for around 80% of cases [8]. Smoking is the most common risk factor for developing lung cancer [5] and indeed one of our cases had a significant smoking history. Our other patient was a non-smoker. In the literature, around 40% of lung cancer cases in pregnancy are reported in non-smokers [10], indicating there are other risk factors associated with the development of cancer in this age group. As clinicians, we need to be aware that the common risk factors might not be present in all patients. One might assume an increased incidence of targetable mutations. One study identified eight cases out of 160 women of reproductive age (5%) who received a diagnosis of non-small cell lung cancer in pregnancy; all were never-smokers or former light smokers. They all underwent molecular testing and were found to have a targetable mutation; six had an ALK translocation, two patients had an EGFR mutation [11]. This highlights the importance of molecular testing to help guide treatment decisions. Neither of the patients discussed in this paper had these targetable mutations. Both patients did have the same KRAS-G12D mutation. KRAS mutations in general are the commonest mutations seen in non-small cell lung cancer and KRAS-G12D is the commonest KRAS mutation in never-smokers, although overall more common in smokers [12]. We report the first two reported cases of women diagnosed with lung cancer in pregnancy with this KRAS mutation. There are no data on KRAS mutant tumors in pregnancy in general or specifically with KRAS-G12D mutation.

In general, pregnant women should be managed as non-pregnant patients where possible. Ultrasound and MRI are the preferred imaging modalities in pregnancy as they do not expose the fetus to ionizing radiation. Gadolinium as a contrast agent for MRI scans should be avoided where possible. The main risk of exposing a fetus to ionizing radiation is the risk of developing childhood cancer. Typically, if the fetal dose is [13]. If radiation doses are higher, for instance with a PET scan, then consideration needs to be taken regarding the risk/benefit of performing that particular scan [14]. Methods to obtain tissue diagnosis can include pleural fluid analysis, tissue sampling through bronchoscopy, EBUS, CT-guided percutaneous biopsy or lymph node biopsies. In some cases, samples can also be obtained through surgical intervention [5]. Both of our patients underwent X-rays, CT scans, and EBUS. The first case also had pleural fluid sent off for analysis.

Treating lung cancer during pregnancy is complex and women should be treated by a multidisciplinary team (MDT). The aim of treatment is to improve outcomes for the mother, while also minimizing harm to the baby. The goal should be delivery at term, if not to the detriment of the mother’s prognosis, to give baby the best chance of favorable outcomes [2]. There is currently no gold standard treatment regimen.

If diagnosed early, women should be offered surgical resection, irrespective of gestational age. If surgery is indicated, it would ideally be performed early in the second trimester to reduce risk of miscarriage [2]. If possible, thoracoscopic surgery is preferred to open surgery as it is associated with less adverse effects for both mother and fetus [15]. For more advanced cases, chemotherapy is often first line treatment [5]. It should be avoided in the first trimester as it is teratogenic and can cross the placenta [16]. If chemotherapy treatment is required in the first trimester, pregnancy termination should be considered with the support of the MDT [2]. Numerous studies support the safety of chemotherapy in the second and third trimesters. An association with increased risk of small-for-gestational age neonates, especially when treated with platinum-based regimens (odds ratio 3.12, 95% CI, 1.45–6.70) has been reported and so women should receive additional growth scans [17],[18],[19]. An increased risk of premature rupture of membranes and premature labor has also been reported [2], although as our cases illustrate this may be related to underlying disease rather than chemotherapy. Ideally chemotherapy should be stopped before 36 weeks gestation to reduce the risk of bone marrow suppression that can result in hemorrhage and sepsis for both mother and baby at time of delivery [17],[19]. Dosing is based on actual body weight [17]. Breastfeeding is contraindicated while receiving chemotherapy as the drugs are excreted in breast milk, albeit it at a low dose, and there is a risk of neutropenia in the infants [2],[19].

More recently, targeted anticancer therapies have become available. There are only two FDA-approved drugs specifically targeting KRAS G12C mutations but none for any other KRAS mutations. Investigational agents such as adagrasib and sotorasib targeting KRAS G12C have shown efficacy in non-pregnant patients. There is limited evidence for the safety of these more novel agents in pregnancy and they are not routinely recommended. However, several case reports have documented the use of alectinib to treat ALK-positive non-small cell lung cancer in pregnancy. No adverse effects on fetal development are described and all the women delivered healthy babies at moderate to late preterm or term [20],[21],[22],[23],[24],[25],[26]. Seven documented cases of EGFR tyrosine kinase inhibitors administered in pregnancy, including gefinitib, erlotinib, and crizotinib, report some fetal adverse effects including intrauterine growth restriction though no major congenital abnormalities [27].

Patients with metastatic non-small cell lung cancer are currently treated with a palliative intent as there are no systemic treatment options that can lead to cure at present. Our second patient had her baby delivered in order to facilitate treatment with carboplatin, pemetrexed, and pembrolizumab. There are currently no documented cases regarding the use of pembrolizumab in pregnancy to treat lung cancer. Pembrolizumab is a highly selective humanized monoclonal antibody that binds PD-1 receptors on lymphocytes, blocking the interaction with its ligands PD-L1 and PD-L2. This enhances T-cell-mediated immune responses against tumor cells [28]. However, there have been a few reported cases of patients receiving pembrolizumab to treat other cancers including metastatic melanoma and gastric cancer. One case describes a woman with melanoma who received pembrolizumab monotherapy from 21 weeks till 27 weeks. She subsequently underwent a planned cesarean at 28 weeks and gave birth to a healthy baby. Delivery was planned for 28 weeks to allow her to receive optimal melanoma treatment after delivery [29]. The woman with metastatic gastric cancer was taking pembrolizumab prior to pregnancy, she was counseled about the risks of pembrolizumab during pregnancy, but opted to continue the immunotherapy and her pregnancy. Her fetus was therefore exposed to pembrolizumab throughout the duration of the pregnancy. At 31 weeks, fetal imaging revealed a dilated small bowel. Pembrolizumab was discontinued at 32 weeks. Despite stopping treatment, the bowel dilatation persisted and serial growth scans revealed fetal growth restriction. The baby was delivered at 35 weeks’ gestation by elective cesarean section and unfortunately had to undergo multiple bowel resections to treat necrotizing enterocolitis [30]. Based on limited reported data, pembrolizumab is currently not considered safe to administer in pregnancy.

Overall documented survival of this patient group is incredibly poor; the latest review article reports a median survival of 11 months for all patients. Those patients who received chemoradiotherapy had a median survival of 17 months [5]. However, patients diagnosed with early disease have had reported longer survival (12 months or more) [8]. The two patients discussed in this paper died one and four months’ postpartum. In the literature, patients with targetable driver gene mutations have a significantly better overall survival rate than those without; one study identified eight patients with driver mutations, their median overall survival had not been reached at a median follow-up of 30 months [7]. For the specific mutation that both our patients had (KRAS-G12D), there are currently no targeted treatment options available [12]

Conclusion


The cases presented highlight that although rare, lung cancer in pregnancy is often diagnosed late with poor survival outcomes. It is vital that clinicians are alert to the possibility of lung cancer as a diagnosis during pregnancy to aid earlier diagnosis and improve survival outcomes. We advise clinicians to have a lower threshold for investigating pregnant women with persistent symptoms for cancer as an underlying diagnosis. Patients should be treated as non-pregnant patients, and investigations must not be delayed. With evidence around treatment based on limited case reports and no randomized control trials, more research is needed into the safety and efficacy of targeted treatments in pregnancy. These cases raise important decisions about the timing of delivering the baby and the nature and timing of delivering anticancer therapy.

REFERENCES


1.

Smith RA, Cokkinides V, Eyre HJ; American Cancer Society. American Cancer Society guidelines for the early detection of cancer, 2003. CA Cancer J Clin 2003;53(1):27–43. [CrossRef] [Pubmed]   Back to citation no. 1  

2.

Peccatori FA, Azim HA Jr, Orecchia R, et al. Cancer, pregnancy and fertility: ESMO Clinical Practice Guidelines for diagnosis, treatment and follow-up. Ann Oncol 2013;24 Suppl 6:vi160–70. [CrossRef] [Pubmed]   Back to citation no. 1  

3.

Lundberg FE, Stensheim H, Ullenhag GJ, et al. Risk factors for the increasing incidence of pregnancy-associated cancer in Sweden – A population-based study. Acta Obstet Gynecol Scand 2024;103(4):669– 83. [CrossRef] [Pubmed]   Back to citation no. 1  

4.

Bray F, Laversanne M, Sung H, et al. Global cancer statistics 2022: GLOBOCAN estimates of incidence and mortality worldwide for 36 cancers in 185 countries. CA Cancer J Clin 2024;74(3):229–63. [CrossRef] [Pubmed]   Back to citation no. 1  

5.

Zhou JP, Wang Y, Lin YN, et al. Clinical features and management of lung cancer during pregnancy: A narrative review based on reported cases. Womens Health Rep (New Rochelle) 2023;4(1):544–50. [CrossRef] [Pubmed]   Back to citation no. 1  

6.

Barr JS. Placental metastases from a bronchial carcinoma. J Obstet Gynaecol Br Emp 1953;60(6):895–7. [CrossRef] [Pubmed]   Back to citation no. 1  

7.

Yang L, He YT, Kang J, et al. Clinical features and intervention timing in patients with pregnancy-associated non-small-cell lung cancer. J Thorac Dis 2021;13(7):4125–36. [CrossRef] [Pubmed]   Back to citation no. 1  

8.

Mitrou S, Petrakis D, Fotopoulos G, Zarkavelis G, Pavlidis N. Lung cancer during pregnancy: A narrative review. J Adv Res 2016;7(4):571–4. [CrossRef] [Pubmed]   Back to citation no. 1  

9.

Khazzaka A, Rassy E, Sleiman Z, Boussios S, Pavlidis N. Systematic review of fetal and placental metastases among pregnant patients with cancer. Cancer Treat Rev 2022;104:102356. [CrossRef] [Pubmed]   Back to citation no. 1  

10.

Rivera MP. Lung cancer in women: The differences in epidemiology, biology and treatment outcomes. Expert Rev Respir Med 2009;3(6):627–34. [CrossRef] [Pubmed]   Back to citation no. 1  

11.

Dagogo-Jack I, Gainor JF, Porter RL, et al. Clinicopathologic features of NSCLC diagnosed during pregnancy or the peripartum period in the era of molecular genotyping. J Thorac Oncol 2016;11(9):1522–8. [CrossRef] [Pubmed]   Back to citation no. 1  

12.

Tang Y, Pu X, Yuan X, Pang Z, Li F, Wang X. Targeting KRASG12D mutation in non-small cell lung cancer: Molecular mechanisms and therapeutic potential. Cancer Gene Ther 2024;31(7):961–9. [CrossRef] [Pubmed]   Back to citation no. 1  

13.

Bourgioti C, Konidari M, Gourtsoyianni S, Moulopoulos LA. Imaging during pregnancy: What the radiologist needs to know. Diagn Interv Imaging 2021;102(10):593–603. [CrossRef] [Pubmed]   Back to citation no. 1  

14.

Di Ciaccio PR, Emmett L, Hamad N. Qualitative study of nuclear medicine physicians’ perceptions of positron emission tomography/computed tomography in pregnant patients with cancer. Intern Med J 2021;51(10):1722–6. [CrossRef] [Pubmed]   Back to citation no. 1  

15.

Han X, Yang H, Zhang Y, Ma X. Three cases of lung cancer in pregnancy and literature review. Ann Palliat Med 2020;9(4):1928–36. [CrossRef] [Pubmed]   Back to citation no. 1  

16.

Soares A, Dos Santos J, Silva A, Magalhães H, Estevinho F, Sottomayor C. Treatment of lung cancer during pregnancy. Pulmonology 2020;26(5):314–7. [CrossRef] [Pubmed]   Back to citation no. 1  

17.

Amant F, Han SN, Gziri MM, Vandenbroucke T, Verheecke M, Van Calsteren K. Management of cancer in pregnancy. Best Pract Res Clin Obstet Gynaecol 2015;29(5):741–53. [CrossRef] [Pubmed]   Back to citation no. 1  

18.

de Haan J, Verheecke M, Van Calsteren K, et al. Oncological management and obstetric and neonatal outcomes for women diagnosed with cancer during pregnancy: A 20-year international cohort study of 1170 patients. Lancet Oncol 2018;19(3):337–46 [CrossRef] [Pubmed]   Back to citation no. 1  

19.

Amant F, Han SN, Gziri MM, Dekrem J, Van Calsteren K. Chemotherapy during pregnancy. Curr Opin Oncol 2012;24(5):580–6. [CrossRef] [Pubmed]   Back to citation no. 1  

20.

De Smedt F, Dessy F, Carestia L, et al. A pregnant patient with ALK-positive non-small cell lung cancer treated with alectinib: A case report and review of the literature. Oncol Lett 2022;25(2):54. [CrossRef] [Pubmed]   Back to citation no. 1  

21.

Carlier S, Carestia L, Marot JC, Wieërs G. Unplanned pregnancy in an HIV positive woman undergoing alectinib treatment for metastatic non-small-cell lung carcinoma. BMJ Case Rep 2022;15(7):e247530. [CrossRef] [Pubmed]   Back to citation no. 1  

22.

Weidenbaum C, Cann CG, Osmundson S, Iams WT, Osterman T. Two uncomplicated pregnancies on alectinib in a woman with metastatic ALK-rearranged NSCLC: A case report. JTO Clin Res Rep 2022;3(8):100361. [CrossRef] [Pubmed]   Back to citation no. 1  

23.

Shang M, Luo X, Wu J, Wang Z, Chen Q, Zhou Y. The safety and efficacy for the treatment of alectinib in a women with ALK-positive lung cancer delivered a healthy male neonate throughout pregnancy: A case report. Lung Cancer 2023;180:107188. [CrossRef] [Pubmed]   Back to citation no. 1  

24.

Gonzalez-Mosquera LF, Rous FA, Rogers A, Smith N, Goyert G, Gadgeel S. ALK rearrangement positive lung adenocarcinoma in pregnancy treated with alectinib: A case report. Clin Lung Cancer 2024;25(2):e77–80. [CrossRef] [Pubmed]   Back to citation no. 1  

25.

Wu F, Rittberg R, Lim K, Ho C. Treating anaplastic lymphoma kinase (ALK) fusion-driven metastatic non-small cell lung cancer (NSCLC) with alectinib through pregnancy. BMJ Case Rep 2024;17(3):e255575. [CrossRef] [Pubmed]   Back to citation no. 1  

26.

Kato M, Yamaura T, Mine H, Kin S, Suzuki H. Anaplastic lymphoma kinase-tyrosine kinase inhibitor treatment for metastatic non-small cell lung cancer throughout the entire gestation period. Cureus 2024;16(7):e63592. [CrossRef] [Pubmed]   Back to citation no. 1  

27.

Boudy AS, Grausz N, Selleret L, et al. Use of tyrosine kinase inhibitors during pregnancy for oncogenic-driven advanced non-small cell lung carcinoma. Lung Cancer 2021;161:68–75. [CrossRef] [Pubmed]   Back to citation no. 1  

28.

Wahid M, Akhter N, Jawed A, et al. Pembrolizumab’s non-cross resistance mechanism of action successfully overthrown ipilimumab. Crit Rev Oncol Hematol 2017;111:1–6. [CrossRef] [Pubmed]   Back to citation no. 1  

29.

Anami Y, Minami S, Kumegawa A, et al. Malignant melanoma treated with pembrolizumab during pregnancy: A case report and review of the literature. Mol Clin Oncol 2021;15(5):242. [CrossRef] [Pubmed]   Back to citation no. 1  

30.

Piemonti L, Vettor L, Contro E. A case report of metastatic gastric cancer treated with pembrolizumab during pregnancy. Fetal Diagn Ther 2024;51(5):493–9. [CrossRef] [Pubmed]   Back to citation no. 1  

SUPPORTING INFORMATION


Acknowledgments

We thank Dr. Eiichi Konishi for the histopathological review.

Author Contributions

Hannah Gerretsen - Conception of the work, Design of the work, Acquisition of data, Analysis of data, Drafting the work, Revising the work critically for important intellectual content, Final approval of the version to be published, Agree to be accountable for all aspects of the work in ensuring that questions related to the accuracy or integrity of any part of the work are appropriately investigated and resolved.

Melanie Nana - Conception of the work, Design of the work, Revising the work critically for important intellectual content, Final approval of the version to be published, Agree to be accountable for all aspects of the work in ensuring that questions related to the accuracy or integrity of any part of the work are appropriately investigated and resolved.

Hannah L Nathan - Acquisition of data, Analysis of data, Drafting the work, Revising the work critically for important intellectual content, Final approval of the version to be published, Agree to be accountable for all aspects of the work in ensuring that questions related to the accuracy or integrity of any part of the work are appropriately investigated and resolved.

Catherine Nelson-Piercy - Acquisition of data, Analysis of data, Drafting the work, Revising the work critically for important intellectual content, Final approval of the version to be published, Agree to be accountable for all aspects of the work in ensuring that questions related to the accuracy or integrity of any part of the work are appropriately investigated and resolved.

Guaranter of Submission

The corresponding author is the guarantor of submission.

Source of Support

None

Consent Statement

Written informed consent was obtained from the patient for publication of this article.

Data Availability

All relevant data are within the paper and its Supporting Information files.

Conflict of Interest

Authors declare no conflict of interest.

Copyright

© 2025 Hannah Gerretsen et al. This article is distributed under the terms of Creative Commons Attribution License which permits unrestricted use, distribution and reproduction in any medium provided the original author(s) and original publisher are properly credited. Please see the copyright policy on the journal website for more information.