Case Series


Angiofibroma of soft tissue in the subcutis: A radiologic-pathologic study of three cases

1 Department of Orthopaedic Surgery, National Hospital Organization Osaka National Hospital, 2-1-14 Hoenzaka, Chuo-ku, Osaka 540-0006, Japan

Address correspondence to:

Ikuo Kudawara

MD, PhD, Department of Orthopaedic Surgery, National Hospital Organization Osaka National Hospital, 2-1-14 Hoenzaka, Chuo-ku, Osaka 540-0006,

Japan

Message to Corresponding Author


Article ID: 100144Z10IK2025

doi: 10.5348/100144Z10IK2025CS

Access full text article on other devices

Access PDF of article on other devices

How to cite this article

Kudawara I. Angiofibroma of soft tissue in the subcutis: A radiologic-pathologic study of three cases. J Case Rep Images Oncology 2025;11(1):20–24.

ABSTRACT


Introduction: Angiofibroma of soft tissue (AFST) in the subcutis is a rare condition with few cases reported in the literature.

Case Series: Three cases of angiofibroma of soft tissue in the subcutis of extremities are presented. Two cases which received surgery have no recurrent tumor for three years and one year, respectively. The remaining case underwent only excisional biopsy and was lost to follow-up.

Conclusion: Radiological features of AFST were commonly well-circumscribed, round or oval configuration with homogeneous intermediate signal intensity on T1-weighted image on magnetic resonance imaging (MRI). The tumors were located in the subcutis of extremities and attached to the fascia or aponeurosis, but histologically no evidence of infiltration. The histopathological features were composed of oval or spindle cells with various degree of the cellularity, small vessels, and collagen fibers or myxoid matrix.

Keywords: Angiofibroma of soft tissue, Magnetic resonance imaging, Pathology, Radiology

Introduction


Angiofibroma of soft tissue (AFST) is rare and benign fibrovascular tumor that occurs in the extremities [1],[2],[3]. It displays the karyotype with a recurrent translocation t (5;8) (p15;q13), resulting in the expression of AHRR-NCOA2 fusion transcript [4]. Some authors reported cases of angiofibroma of soft tissue [5],[6],[7],[8],[9],[10],[11],[12],[13],[14],[15]. However, most articles primarily discuss histopathological findings of the tumor. Therefore, the clinical, radiological, and pathological characteristics of angiofibroma of soft tissue have not been well recognized. Herein, we report the features of radiological, pathological findings, and clinical course in three cases of angiofibroma of soft tissue in the subcutis of extremities.

CASE SERIES


Case 1

A 57-year-old man had three-year of a slowly growing painless mass in the right thigh. Magnetic resonance imaging (MRI) showed a mass in the subcutis and attached to the femoral fascia that had homogeneous intermediate intensity (slightly high intensity than that of the muscle) on T1-weighted image and homogeneous high intensity on T2-weighted image (Figure 1A and Figure 1B). Axial diffusion-weighted imaging (DWI) showed hyperintense mass, and apparent diffusion coefficient (ADC) map also showed high signal intensity (Figure 1C and Figure 1D). This case was initially diagnosed epithelioid hemangioendothelioma. We received a consultation regarding the definite diagnosis of the patient who received surgery for the tumor at the requesting hospital. Histologically, the tumor composed of oval shaped cells without nuclear atypia and abundant small vessels and fibrosis and myxoid change (Figure 2A). Immunohistochemically, the tumor cells and vessels were positive for CD31 and CD34 (Figure 2B). Mib-1 (Ki-67) index was less than 1%. There was no tumor necrosis. From these findings, definite diagnosis of AFST was made. He was lost to follow-up after definitive histological diagnosis.

Case 2

A 52-year-old man had dysesthesia of left ring and little fingers of three-year duration and a soft tissue mass in the left palm of six months duration.

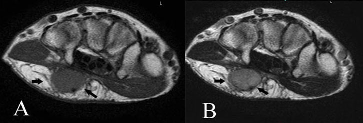
On physical examination, a rubbery mass with skin bulging in the left palm was palpable, which measured a size of 22 mm × 25 mm using vernier caliper. There were no changes of the skin including heat, red flare, ulcer, and pigmentation. Spontaneous local pain was not identified, but tenderness on the tumor was observed. MRI showed a well-circumscribed mass in the subcutis and attached to the palmar aponeurosis that had homogeneous intermediate intensity on T1-weighted image and inhomogeneous high intensity on T2-weighted image (Figure 3A and Figure 3B). Clinical and radiological differential diagnoses include hemangioma, neurogenic tumor, synovial sarcoma, and clear cell sarcoma. Excisional biopsy was performed using air tourniquet under general anesthesia. The tumor was located within the subcutis. The tumor capsule was not identified and the border was unclear in place. Macroscopically, the tumor surface was whitish and fibrous appearance. The palmar branch of ulnar nerve was identified the bottom of the tumor. The nerve was gently detached from the tumor using blunt dissection.

Dysesthesia of the left ring was disappeared soon after surgery. Microscopically, the tumor had thin fibrous capsule but partially absent. The tumor composed of oval shaped cells without nuclear atypia and abundant small vessels and fibrosis and myxoid change (Figure 2C). The cellularity was medium. Immunohistochemically, the tumor cells and vessels were negative for CD31, CD34, S100, SMA, and ALK. Mib-1 (Ki-67) index was less than 5%. From these findings, histological diagnosis was AFST. There was no recurrent tumor three years after the surgery.

Case 3

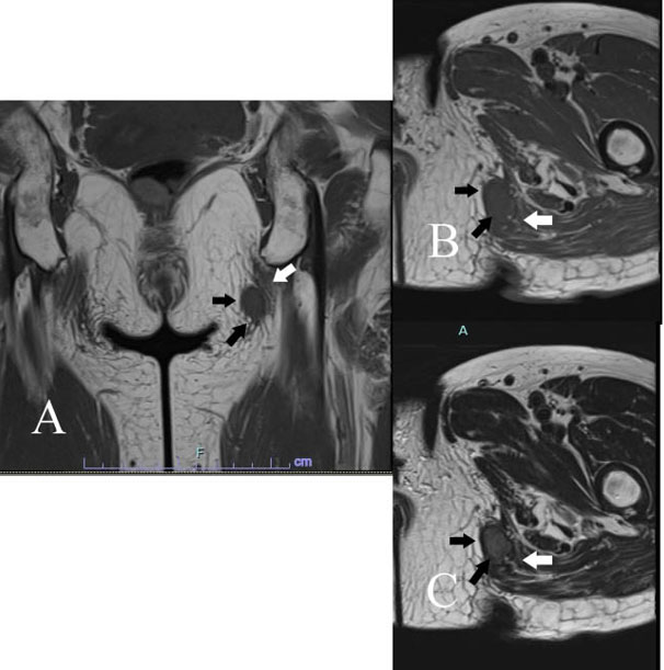
A 65-year-old woman had six-month of left buttock painless soft tissue mass. She underwent polypectomy for colon adenoma one year ago. On physical examination, a rubbery and movable mass in the buttock was palpable, which measured a size of 17 mm × 17 mm using vernier caliper. Coronal and axial MRI showed a mass in the subcutis of buttock and attached to the gluteal fascia that had homogeneous intermediate intensity on T1-weighted image (Figure 4A and Figure 4B). Corresponding axial T2-weighted image revealed a mass to be inhomogeneously high signal intensity (Figure 4C).

A percutaneous needle biopsy was performed under local anesthesia using 1% lidocaine. Histologically, the tumor is composed of spindle cells without nuclear atypia and abundant vessels with perivascular hyalinization (Figure 2D). Immunohistochemically, the tumor cells were negative for CD34, S100, SMA, and β-catenin. Mib-1 (Ki-67) index was less than 2%. The histological diagnosis was suggested AFST. At surgery, the tumor was resected with the cuff of surrounding fatty tissue and also with gluteal fascia since the bottom of tumor firmly attached to the underlying fascia. The definite diagnosis of AFST was made from surgical specimen. There was no recurrent tumor one year after the surgery.

Figure 1: Case 1. Angiofibroma of soft tissue in the lateral thigh. Axial T1-weighted MRI (TR/TE=825/12.42) demonstrates a well-circumscribed subcutaneous mass adjacent to the femoral fascia with homogeneously slightly high signal intensity compared to the muscle (A). Corresponding axial T2-weighted MRI (TR/TE=4000/82.46) reveals a mass to be homogeneously high signal intensity (B). Axial diffusion-weighted imaging (DWI) (TR/TE=4000/61) shows hyper intense mass (C), and apparent diffusion coefficient (ADC) map also shows high signal intensity (D).

Share Image:

Figure 2: Microphotograph of three cases. Case 1. The tumor composed of oval cells with relatively high cellularity and abundant small vessels. H.E. 100 (A). Case 1. Immmunohistochemically, tumor cells and endothelial cells are positive for CD34 (B). Case 2. The tumor composed of oval shaped cells without nuclear atypia and abundant small vessels and fibrosis and myxoid change. The cellularity is low. H.E. × 100 (C). Case 3. The tumor composed of spindle cell without nuclear atypia and abundant various sized vessels with around hyalinization the cellularity of the tumor is medium. Note the hyalinization around the vessels (arrows). H.E. × 100 (D).

Share Image:

Figure 3: Case 2. Angiofibroma of soft tissue in the palm. Axial T1-weighted MRI (TR/TE=529.63/23) demonstrates a well-circumscribed subcutaneous mass adjacent to the palmer aponeurosis with homogeneously slightly high signal intensity (black arrows) (A). Corresponding axial T2-weighted image (TR/TE=2652.90/83.85) reveals a mass to be inhomogeneously high signal intensity (arrows) (B).

Share Image:

Figure 4: Case 3. Angiofibroma of soft tissue in the buttock coronal (A) and axial (B) MRI shows a mass in the subcutis of buttock (black arrows) and attached to the gluteal fascia (white arrow) that had homogeneous intermediate intensity on T1-weighted image (TR/TE=476/9.90). Corresponding axial T2-weighted image (TR/TE=3110/105) reveals a mass to be inhomogeneously high signal intensity (C).

Share Image:

Discussion


Mariño-Enríquez and Fletcher first described 37 cases of AFST in 2012, as a benign fibroblastic tumor composed of spindle cells, vessels, and fibromyxoid matrix [3]. The tumors present most commonly as a slowly growing painless mass located in mainly lower extremity, often close to a joint, tendon, or fascia [1],[2],[16]. There are a limited number of published reports of AFST, the most of their authors were describing concern histopathology [5],[11],[12],[13],[14],[15]. Only five reports briefly discussed the MRI findings of this tumor [6],[7],[8],[9],[10]. Moreover, locations of all extremity AFST were deep-seated. There is little information available on radiological findings of AFST in the subcutis.

The common MRI features of the presented cases are round or oval shaped and well-circumscribed tumor located in the subcutis had homogeneous intermediate signal intensities on T1-weighted image and high signal intensities on T2-weighted image. Flow voids were not observed on MRI despite the presence of abundant vessels in the tumor. Although these findings are almost similar to the previous reports [6],[7],[8],[9],[10], we would designate that the tumors of small size (less than 5 cm of maximum diameter) in the subcutis and attached to the fascia or aponeurosis had slightly high signal intensity compared to the surrounding muscle on T1-weighted image. Radiological differential diagnosis of the superficial soft tissue tumors less than 5 mm in a diameter such as present cases were suggesting benign tumor includes vascular, neurogenic, myofibroblastic tumor, nodular fasciitis, and clear cell sarcoma [17],[18].

To determine histological diagnosis, a percutaneous needle biopsy possible or excisional biopsy is needed.

Case 2 was not always clinically typical this tumor compared to the previously reported cases. The tumor in palm was painful and the border was unclear at surgery. One possible explanation for above findings was continuous pressure to the palm in the daily life or his occupation of mechanics. Dysesthesia of the ring that may be due to neuropathy of palmar digital nerves from superficial branch of ulnar nerve was disappeared soon after tumor resection.

Most of fibroblastic or myofibroblastic tumors such as desmoid fibromatosis, desmoplastic fibroma, nodular fasciitis, proliferating myositis, proliferating fasciitis are not remarkably vascularized [2]. On the contrary, the characteristic histological findings of AFST are proliferation of tumor spindle cells and distinct and complex vascular tissue. The complex vascular pattern showed small, thinwalled, branching vessels distributed throughout the lesion. Immunohistochemical study indicated tumor cells were positive for epithelial membrane antigen (EMA) in 44% cases and endothelial cell were positive for CD34 [1]. Yamada et al. discussed that estrogen receptor (ER) and CD 163 were useful markers to diagnose of AFST from detailed immunohistochemical study [13]. The histological differential diagnosis of AFST in the extremities includes solitary fibrous tumor (SFT), low-grade fibromyxosarcoma, low-grade myxofibrosarcoma, and myxoid liposarcoma. The most common misdiagnosis was SFT, which occurred in 5 of 13 cases [11]. STAT6 is relatively specific immunohistochemical marker for SFT, but one case of AFST had weakly positive for STAT6 [11]. Solitary fibrous tumor typically shows strong and diffuse nuclear staining of STAT 6 [19].

Eight of 13 cases in RT-PCR had AHRR-NCOA2 fusion genes and 9 of 13 cases were NCOA2 rearrangement-positive in FISH analysis [11]. If AHRR-NCOA2 fusion is identified by RT-PCR or FISH, it will be exclusively diagnosis of AFST [15],[16].

A standard surgical procedure for this tumor is unknown because of small size of reported cases [1],[11]. The local recurrence rate was reported of 14% after the marginal excision [1]. It seems to be relatively higher than those of other benign soft tissue tumor such as lipoma or neurogenic tumor. Recent reviews indicated that AFST sometimes shows infiltration growth pattern to the surrounding soft tissue [20],[21]. Wang et al. reported that minimal infiltration of tumor cells into adjacent soft tissue was observed in 3 of 8 cases [15]. The infiltrative growth pattern was not confirmed in our cases. Clinically, it would be safer to resect tumor with the cuff of the surrounding tissue in case of the tumor adhesion.

Further investigation of future reports of cases with AFST would clarify the more detailed clinical, pathological, and radiological features.

Conclusion


Radiological features of angiofibroma of soft tissue in the subcutis were commonly well-circumscribed, round, or oval configuration with homogeneous intermediate signal intensity (slightly high intensity than that of the muscle) on T1-weighted image, high signal intensity on T2-weighted image on MRI. The tumors were located in the subcutis of extremities and attached to the fascia or aponeurosis, but histologically no evidence of invasion of their structures by macroscopically and microscopically. The histopathological features were composed of oval or spindle cells with various degree of the cellularity, abundant small vessels, and interstitial collagen fibers or myxoid matrix. Two cases that received surgery have no recurrent tumor for three years and seven months, respectively.

REFERENCES


1.

Mariño-Enríquez A, Mertrns F, Wang J, Yamada Y. Angiofibroma of soft tissue. In: WHO classification of tumours. WHO Classification of Tumours Editorial Board, editor. Soft Tissue and Bone Tumours. 5ed. Lyon: IARC; 2020. p. 82–3.   Back to citation no. 1  

2.

Goldblum JR, Folpe AL, Weiss SW. Enzinger & Weiss’s Soft Tissue Tumors. 6ed. Philadelphia: Elsevier; 2014. p. 237–9.   Back to citation no. 1  

3.

Mariño-Enríquez A, Fletcher CDM. Angiofibroma of soft tissue: Clinicopathologic characterization of a distinctive benign fibrovascular neoplasm in a series of 37 cases. Am J Surg Pathol 2012;36(4):500–8. [CrossRef] [Pubmed]   Back to citation no. 1  

4.

Jin Y, Möller E, Nord KH, et al. Fusion of the AHRR and NCOA2 genes through a recurrent translocation t(5;8)(p15;q13) in soft tissue angiofibroma results in upregulation of aryl hydrocarbon receptor target genes. Genes Chromosomes Cancer 2012;51(5):510–20. [CrossRef] [Pubmed]   Back to citation no. 1  

5.

Edgar MA, Lauer SR, Bridge JA, Rizzo M. Soft tissue angiofibroma: Report of 2 cases of a recently described tumor. Hum Pathol 2013;44(3):438-41. [CrossRef] [Pubmed]   Back to citation no. 1  

6.

Schoolmeester JK, Sukov WR, Aubry MC, Folpe AL. Angiofibroma of soft tissue: Core needle biopsy diagnosis, with cytogenetic confirmation. Am J Surg Pathol 2012;36(9):1421–3. [CrossRef] [Pubmed]   Back to citation no. 1  

7.

Zhao M, Sun K, Li C, Zheng J, Yu J, Jin J, Xia W. Angiofibroma of soft tissue: Clinicopathologic study of 2 cases of a recently characterized benign soft tissue tumor. Int J Clin Exp Pathol 2013;6(10):2208–15. [Pubmed]   Back to citation no. 1  

8.

Fukuda Y, Motoi T, Kato I, et al. Angiofibroma of soft tissue with fibrohistiocytic features and intratumor genetic heterogeneity of NCOA2 gene rearrangement revealed by chromogenic in situ hybridization: A case report. Pathol Int 2014;64(5):237–42. [CrossRef] [Pubmed]   Back to citation no. 1  

9.

Lee JJ, Bredella MA, Springfield DS, Nielsen GP. Soft tissue angiofibroma: A case report. Skeletal Radiol 2014;43(3):403–7. [CrossRef] [Pubmed]   Back to citation no. 1  

10.

Hashino Y, Nishio J, Maeyama A, Aoki M, Nabeshima K, Yamamoto T. Intra-articular angiofibroma of soft tissue of the knee: A case report. Mol Clin Oncol 2017;7(2):229–32. [CrossRef] [Pubmed]   Back to citation no. 1  

11.

Bekers EM, Groenen PJTA, Verdijk MAJ. Soft tissue angiofibroma: Clinicopathologic, immunohistochemical and molecular analysis of 14 cases. Genes Chromosomes Cancer 2017;56(10):750–7. [Pubmed]   Back to citation no. 1  

12.

Ali Z, Anwar F. Angiofibroma of soft tissue: A newly described entity; a case report and review of literature. Cureus 2019;11(11):e6225. [CrossRef] [Pubmed]   Back to citation no. 1  

13.

Yamada Y, Yamamoto H, Kohashi K. Histological spectrum of angiofibroma of soft tissue: Histological and genetic analysis of 13 cases. Histopathology 2016;69(3):459–69 [CrossRef] [Pubmed]   Back to citation no. 1  

14.

Xiao L, Yang L, Wang Y, Li L. Angiofibroma of soft tissue on MRI and FDG PET/CT image. Clin Nucl Med 2022;47(3):e315–7. [CrossRef] [Pubmed]   Back to citation no. 1  

15.

Wang C, Fan Y, Wei J, Xu Q, Ru G, Zhao M. Angiofibroma of soft tissue: A clinicopathological study of eight cases with emphasis on the diagnostic utility of fluorescence in situ hybridization detection for NCOA2 rearrangement. Front Oncol 2022;12:900411. [CrossRef] [Pubmed]   Back to citation no. 1  

16.

Kallen ME, Hornick JL. The 2020 WHO classification: What’s new in soft tissue tumor pathology? Am J Surg Pathol 2021;45(1):e1–23. [CrossRef] [Pubmed]   Back to citation no. 1  

17.

De Schepper AM, De Beuckeleer L, Vandevenne J, Somville J. Magnetic resonance imaging of soft tissue tumors. Eur Radiol 2000;10(2):213–23. [CrossRef] [Pubmed]   Back to citation no. 1  

18.

Beaman FD, Kransdorf MJ, Andrews TR, Murphey MD, Arcara LK, Keeling JH. Superficial soft-tissue masses: Analysis, diagnosis, and differential considerations. Radiographics 2007;27(2):509–23. [CrossRef] [Pubmed]   Back to citation no. 1  

19.

Demicco EG, Fritchie KJ, Han A. Solitary fibrous tumor. In: WHO Classification of Tumours. WHO Classification of Tumours Editorial Board, editor. Soft tissue and bone tumours. 5ed. Lyon: IARC; 2020. p. 104–8.   Back to citation no. 1  

20.

Mindiola-Romero AE, Maloney N, Bridge JA, Korkolopoulou P, Sakellariou S, Linos K. A concise review of angiofibroma of soft tissue: A rare newly described entity that can be encountered by dermatopathologists. J Cutan Pathol 2020;47(2):179–85. [CrossRef] [Pubmed]   Back to citation no. 1  

21.

Nakayama S, Nishio J, Aoki M, Koga K, Nabeshima K, Yamamoto T. Angiofibroma of soft tissue: Current status of pathology and genetics. Histol Histopathol 2022;37(8):717–22. [CrossRef] [Pubmed]   Back to citation no. 1  

SUPPORTING INFORMATION


Acknowledgments

The author thanks Dr. Eiichi Konishi for the histopathological review.

Author Contributions

Ikuo Kudawara - Conception of the work, Design of the work, Acquisition of data, Analysis of data, Drafting the work, Revising the work critically for important intellectual content, Final approval of the version to be published, Agree to be accountable for all aspects of the work in ensuring that questions related to the accuracy or integrity of any part of the work are appropriately investigated and resolved.

Guaranter of Submission

The corresponding author is the guarantor of submission.

Source of Support

None

Consent Statement

Written informed consent was obtained from the patient for publication of this article.

Data Availability

All relevant data are within the paper and its Supporting Information files.

Conflict of Interest

Author declares no conflict of interest.

Copyright

© 2025 Ikuo Kudawara. This article is distributed under the terms of Creative Commons Attribution License which permits unrestricted use, distribution and reproduction in any medium provided the original author(s) and original publisher are properly credited. Please see the copyright policy on the journal website for more information.