Case Report


Malignant peripheral nerve sheath tumor of the infratemporal fossa: Case report and literature review

,  ,  ,  ,  ,  

1 ENT Resident, Department of Otorhinolaryngology Head and Neck Surgery, Centro Hospitalar Universitário de Lisboa Central, Lisbon, Portugal

2 ENT Senior Consultant, Department of Otorhinolaryngology Head and Neck Surgery, Instituto Português de Oncologia de Lisboa Francisco Gentil, Lisbon, Portugal

3 Pathological Anatomy Resident, Department of Pathological Anatomy, Instituto Português de Oncologia de Lisboa Francisco Gentil, Lisbon, Portugal

4 Radiation Oncology Consultant, Department of Radiation Oncology, Instituto Português de Oncologia de Lisboa Francisco Gentil, Lisbon, Portugal

5 Head of ENT Department, Department of Otorhinolaryngology Head and Neck Surgery, Instituto Português de Oncologia de Lisboa Francisco Gentil, Lisbon, Portugal

Address correspondence to:

Susana Amaral Pereira

Centro Hospitalar Universitário de Lisboa Central - Rua José António Serrano, 1150-199 Lisbon,

Portugal

Message to Corresponding Author


Article ID: 100098Z10SP2021

doi: 10.5348/100098Z10SP2021CR

Access full text article on other devices

Access PDF of article on other devices

How to cite this article

Pereira SA, Fino R, Montalvão P, Doutel D, Pocinho R, Magalhães M. Malignant peripheral nerve sheath tumor of the infratemporal fossa: Case report and literature review. J Case Rep Images Oncology 2021;7:100098Z10SP2021.

ABSTRACT


Introduction: Malignant peripheral nerve sheath tumor (MPNST) is rare soft tissue sarcoma that arises from a peripheral nerve or shows nerve sheath differentiation.

Case Report: We present a case of a 43-year-old female diagnosed with neurofibromatosis type 1 and with a plexiform neurofibroma of the infratemporal fossa (IF) evolving for about four years. Examination revealed facial asymmetry with the prominence of the right hemiface, without facial pain, motor deficits or facial numbness. The magnetic resonance imaging (MRI) showed a lesion in right IF with well-defined limits and 18F-FDG positron emission tomography/computed tomography (PET/CT) showed intense metabolism that was attributed to malignant transformation. Cytology confirmed a MPNST. Excision of the IF lesion by maxillary swing approach was performed. The anatomopathological evaluation of the lesion revealed a 7×6×3 cm high grade MPNST arising within a neurofibroma. The excision was juxtalesional. The tumor was staged at pT3cN0M0, IIIB. The patient underwent adjuvant radiotherapy. Currently, after 12 months of follow-up, the patient is asymptomatic, without neurologic deficits. The MRI performed three months after the end of radiotherapy shows no evidence of tumor recurrence.

Conclusion: The only known definitive curative treatment for MPNST is complete surgical resection with wide negative margins. The maxillary swing approach delivers wide tumor exposure, providing controlled dissection with minimizing morbidity. Despite maximal efforts, MPNSTs are usually highly aggressive. Increased tumor size and high-grade morphology, features which were observed in our patient, have been identified as factors that negatively affect long-term survival. We encourage a multidisciplinary approach in the management of these rare tumors to optimize outcomes.

Keywords: Head and neck neoplasms, Malignant peripheral nerve sheath tumors, Neurofibromatosis type 1

Introduction


Malignant peripheral nerve sheath tumors (MPNSTs) are rare soft tissue sarcomas that arise from a peripheral nerve or show nerve sheath differentiation [1]. These are typically seen in patients between 20 and 50 years of age. The most common presentation is a painless enlarging mass, which, in half of the cases, is associated with neurologic symptoms like paresthesia, numbness, or weakness depending on whether a major sensory or motor nerve trunk is involved. However, specific nerve origin could be identified in only one-third of patients [2],[3].

The majority of MPNSTs occur in the extremities and torso, with the head and neck constituting only 8–16% of all MPNSTs [1]. Head and neck MPNSTs form only 4% of all head and neck sarcomas. Half of these malignancies arise in individuals with neurofibromatosis type 1 (NF1), with a lifetime risk in NF1 of 8–13% [4]. Patients with NF1 have an increased risk of developing tumors of the central and peripheral nervous systems, including plexiform neurofibromas (PN), benign nerve sheath tumors that grow along the axis of nerves and can transform into MPNST. Most MPNSTs in NF1 develop in pre-existing PN [4].

Case Report


We present a case of a 43-year-old female diagnosed with NF1 at 20 years old and without family history of NF1. Clinical presentation with café au lait spots, subcutaneous neurofibromas, and plexiform neurofibroma of the infratemporal fossa (IF) evolving since 2016, neurofibromas of C2 to D4 roots and of the cervical segment of the vagus and glossopharyngeal nerve.

Physical examination revealed facial asymmetry with the prominence of the right hemiface, without facial pain, motor deficits or facial numbness. Corneal reflex was maintained and taste was preserved. Observation of the oropharynx showed bulging of the right cheek mucosa and conserved palate mobility. In nasal endoscopy, no changes were detected in the nasal cavities or nasopharynx, the posterior pharyngeal wall was symmetrical and the vocal cords were mobile and symmetrical. No cervical lymphadenopathy was seen.

The magnetic resonance imaging (MRI) showed an ovoid lesion in the right IF and masticatory space, with well-defined limits, with 55×40×56 mm. The lesion was hyperintense at T2-weighted imaging and with a slight heterogeneous uptake of the contrast. It remodeled the posterolateral wall of the maxillary sinus, the mandibular ramus and the great sphenoid wing (Figure 1). Comparing with MRI carried out three years before, there was a slight overall increase in its dimensions (54×28×52 mm in the previous exam). The patient was referred to a tertiary oncological institute for lesion excision, as the growth of the lesion caused intraoral bulging, which made chewing difficult. A whole-body 18-fluorodeoxyglucose (FDG) positron emission tomography (PET/CT) was requested, which showed the right infratemporal lesion with intense metabolism (SUVmax 9.0) that was attributed to malignant transformation; the remaining study does not show hypermetabolic changes attributable to malignancy. A fine needle aspiration cytology (FNAC) confirmed a MPNST.

Excision of the right IF lesion by maxillary swing approach with previous tracheotomy was performed. Weber-Ferguson incision with lateral subciliary extension to the tragus was made. After lifting subcutaneous tissue, osteotomies were performed at the level of the alveolar and frontal process of the maxilla, orbital floor and zygomatic apophysis. A paramedian incision was made along the hard palate to the level of the soft palate and laterally to the maxillary tuberosity. Subsequently, osteotomy was performed with pterygo-maxillary disjunction and fully swung of the maxilla and exposure of the neoformative lesion. After tumor resection, the maxillary bone was repositioned and osteosynthesis was performed (Figure 2).

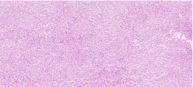
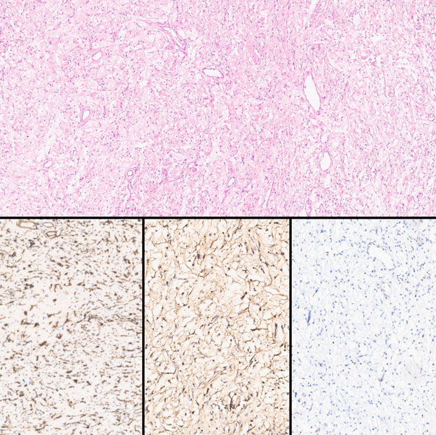
The anatomopathological evaluation of the lesion revealed a neoplasm measuring 7 cm with two different areas. In the peripheral area there were loosely arranged spindle cells with an haphazard arrangement, wavy nuclei, and no cytologic atypia that stained positive with CD34, S100, and H3K27me (Figure 3). The former area had an abrupt transition to a different zone of the tumor in which there were hypercellular fascicles and broad whorls of uniform, spindled cells with hyperchromatic nuclei and numerous mitosis that did not stain with CD34, S100 nor H3K27me (Figure 4 and Figure 5). These findings were compatible with a high grade MPNST arising within a neurofibroma (Figure 5).

The excision was juxtalesional and the tumor was staged at pT3cN0M0, IIIB. The patient had adjuvant radiotherapy with 66 Gy in 33 daily fractions of 2 Gy delivered to the tumor bed, volumetric modulated arc therapy (VMAT) technique. Clinical tumor volume (CTV) was contoured on the planning CT after registration with diagnostic MRI and PET/CT. Planning target volume (PTV) was obtained by adding a 4 mm margin to CTV. Relevant organs at risk (OAR) were also contoured. Dose-volume histogram (HDV) analysis shows V100 of 95.4% for PTV and 100% for CTV (Figure 6). All OAR constraints were respected except for homolateral parotid gland, with 41.5 Gy mean dose.

Currently, after 12 months of follow-up, the patient is asymptomatic, without neurologic deficits, without palatal fistula or malocclusion. The surgical scar is minimally visible. The MRI performed three months after the end of adjuvant radiotherapy shows no evidence of tumor recurrence. The patient is still under medical supervision.

Figure 1: (A and B) MRI showed a lesion in the right infratemporal fossa with 55×40×56 mm. (C) 18F-FDG PET/CT showed the infratemporal lesion with intense metabolism (SUVmax9.0). (D and E) Postoperative MRI shows no evidence of tumor recurrence.

Share Image:

Figure 2: (A) Excision of the right infratemporal fossa lesion by maxillary swing approach. (B) The palate and maxilla were rotated back and fixed at the premaxilla, zygoma, and medial canthal area with titanium plates and screws. (C) Neoformative lesion with a 7 cm longest axis.

Share Image:

Figure 3: Medium power view of a typical neurofibroma area. (H&E on top and from left to right CD34+, S100+, H3K27me+).

Share Image:

Figure 4: High grade MPNST on low power view (H&E).

Share Image:

Figure 5: High power view of the transition between neurofibroma (on the right) and MPNST (on the left). From top to bottom: H&E; CD34; S100; H3K27me.

Share Image:

Figure 6: Dose-volume histogram (HDV) and treated volume.

Share Image:

Discussion


Patients with PN are often recommended to undergo surveillance alone and manifestations (pain, neurologic deficits) are subject to conservative management because a complete resection of these lesions is not possible without transection of the nerve with loss of neurological function [5]. There are imaging features that may suggest malignant transformation such as lesion larger than ≥3 cm in diameter, signal heterogeneity, ill-defined margins, presence of edema, compression adjacent structures, or lesions that show avid uptake of FDG on PET, as observed in our patient [5]. Biopsy of rapidly growing lesions is also advised [2].

There are very few cases in the IF region where PN turned to MPNST [5]. Gheisari and Roozbehi presented a case of MPNST in the IF that was treated with surgery and adjuvant radiotherapy and there is no recurrence after two years [3]. The only known definitive curative treatment for MPNST is complete surgical resection with wide negative margins. The maxillary swing approach delivers wide tumor exposure, providing controlled dissection with minimizing morbidity and damage to vital neurovascular structures. Adjuvant radiotherapy is often considered, especially in large tumors (>5 cm) or when negative margins are not attainable although the evidence to support its positive impact on long-term survival is still lacking [1]. In our patient, we opted for a multimodal treatment approach with emphasis on aggressive surgical resection to achieve negative margins and the use of adjuvant radiation therapy to optimize local control and minimize recurrence rate, which are associated with distant metastases and adverse survival.

Despite maximal efforts, MPNSTs are usually highly aggressive and associated with a high risk of local recurrence and hematogenous metastasis, particularly in individuals with NF1 [2],[4]. Lymph node involvement and metastasis was not seen in this case, although hematogenous spread of tumor to lungs, bones, and liver has been reported in one-third of cases [6],[7]. In survival statistics restricted to head and neck MPNSTs, analysis revealed 5-year survival rates between 15% and 47%, lower than MPNSTs at other body sites, probably due to their close proximity to vital structures and difficulty in attaining negative surgical margins [1].

Increased tumor size (>5 cm) and high-grade morphology, features which were observed in our patient, have been identified as factors that negatively affect long-term survival [8]. Therefore, early diagnosis of these tumors is paramount and for patients with NF1, screening programs can help the early identification of MPNSTs.

Conclusion


A rare case of MPNST arising from a PN of the IF region has been reported. This case was challenging in both diagnosis and treatment. Maxillary swing approach provides a good exposure with minimal morbidity. We encourage a multidisciplinary approach in the management of these rare tumors to optimize outcomes.

REFERENCES


1.

Patel TD, Shaigany K, Fang CH, Park RC, Baredes S, Eloy JA. Comparative analysis of head and neck and non-head and neck malignant peripheral nerve sheath tumors. Otolaryngol Head Neck Surg 2016;154(1):113–20. [CrossRef] [Pubmed]   Back to citation no. 1  

2.

Stucky CCH, Johnson KN, Gray RJ, et al. Malignant peripheral nerve sheath tumors (MPNST): The Mayo Clinic experience. Ann Surg Oncol 2012;19(3):878–85. [CrossRef] [Pubmed]   Back to citation no. 1  

3.

Gheisari R, Roozbehi A. Malignant peripheral nerve sheath tumor of the infratemporal fossa. J Craniofac Surg 2010;21(2):592–4. [CrossRef] [Pubmed]   Back to citation no. 1  

4.

Widemann BC. Current status of sporadic and neurofibromatosis type 1-associated malignant peripheral nerve sheath tumors. Curr Oncol Rep 2009;11(4):322–8. [CrossRef] [Pubmed]   Back to citation no. 1  

5.

Staedtke V, Bai RY, Blakeley JO. Cancer of the peripheral nerve in neurofibromatosis type 1. Neurotherapeutics 2017;14(2):298–306. [CrossRef] [Pubmed]   Back to citation no. 1  

6.

O’Sullivan B, Gullane PJ. Sarcomas of the head and neck. In: Montgomery P, Rhys-Evans P, Gullane P, editors. Principles and Practice of Head Neck Surgery and Oncology. Chapter 24. Informa Healthcare; 2009. p. 455–79.   Back to citation no. 1  

7.

Sabesan T, Hussein K, Ilankovan V. Malignant peripheral nerve sheath tumour of the parapharyngeal space in a patient with neurofibromatosis type 1. Br J Oral Maxillofac Surg 2008;46(7):585–7. [CrossRef] [Pubmed]   Back to citation no. 1  

8.

Antonescu C, Blay J. WHO Classification of Soft Tissue and Bone Tumours. International Agency for Research on Cancer; 2020.   Back to citation no. 1  

SUPPORTING INFORMATION


Author Contributions

Susana Amaral Pereira - Conception of the work, Design of the work, Acquisition of data, Analysis of data, Drafting the work, Revising the work critically for important intellectual content, Final approval of the version to be published, Agree to be accountable for all aspects of the work in ensuring that questions related to the accuracy or integrity of any part of the work are appropriately investigated and resolved.

Rui Fino - Conception of the work, Design of the work, Analysis of data, Revising the work critically for important intellectual content, Final approval of the version to be published, Agree to be accountable for all aspects of the work in ensuring that questions related to the accuracy or integrity of any part of the work are appropriately investigated and resolved.

Pedro Montalvão - Conception of the work, Design of the work, Analysis of data, Revising the work critically for important intellectual content, Final approval of the version to be published, Agree to be accountable for all aspects of the work in ensuring that questions related to the accuracy or integrity of any part of the work are appropriately investigated and resolved.

Delfim Doutel - Acquisition of data, Revising the work critically for important intellectual content, Final approval of the version to be published, Agree to be accountable for all aspects of the work in ensuring that questions related to the accuracy or integrity of any part of the work are appropriately investigated and resolved.

Rute Pocinho - Acquisition of data, Revising the work critically for important intellectual content, Final approval of the version to be published, Agree to be accountable for all aspects of the work in ensuring that questions related to the accuracy or integrity of any part of the work are appropriately investigated and resolved.

Miguel Magalhães - Conception of the work, Design of the work, Analysis of data, Revising the work critically for important intellectual content, Final approval of the version to be published, Agree to be accountable for all aspects of the work in ensuring that questions related to the accuracy or integrity of any part of the work are appropriately investigated and resolved.

Guaranter of Submission

The corresponding author is the guarantor of submission.

Source of Support

None

Consent Statement

Written informed consent was obtained from the patient for publication of this article.

Data Availability

All relevant data are within the paper and its Supporting Information files.

Conflict of Interest

Authors declare no conflict of interest.

Copyright

© 2021 Susana Amaral Pereira et al. This article is distributed under the terms of Creative Commons Attribution License which permits unrestricted use, distribution and reproduction in any medium provided the original author(s) and original publisher are properly credited. Please see the copyright policy on the journal website for more information.