Case Report


Dedifferentiated liposarcoma of the spermatic cord: A case report

,  ,  ,  

1 College of Medicine, University of Tennessee Health Science Center, Memphis, TN, United States

2 Department of Radiation Oncology, University of Tennessee Medical Center Knoxville, Knoxville, TN, United States

3 Department of Pathology, University of Tennessee Medical Center Knoxville, Knoxville, TN, United States

4 Department of Radiology, University of Tennessee Medical Center Knoxville, Knoxville, TN, United States

Address correspondence to:

Christine Joyce

BS, College of Medicine, University of Tennessee Health Science Center, Memphis, TN,

United States

Message to Corresponding Author


Article ID: 100096Z10CJ2021

doi: 10.5348/100096Z10CJ2021CR

Access full text article on other devices

Access PDF of article on other devices

How to cite this article

Joyce C, Lauro C, Hubbard E, Gray RI. Spindle cell sarcoma of the spermatic cord: A case report. J Case Rep Images Oncology 2021;7:100096Z10CJ2021.

ABSTRACT


Introduction: Soft tissue sarcomas account for <1% of all adult malignancies with the most commonly reported being liposarcomas, leiomyosarcomas, or rhabdomyosarcomas. Genitourinary tract (GU) sarcomas are considered as an even more rare subtype of soft tissue sarcomas. A patient who presented with a unilateral painless mass initially diagnosed as a high-grade undifferentiated spindle cell neoplasm most consistent with sarcoma by intralesional excisional biopsy found to be a primary undifferentiated spindle cell sarcoma arising from the left-sided spermatic cord. Final diagnosis after radical resection of the mass was dedifferentiated liposarcoma most likely arising from the spermatic cord. After resection of the mass, the patient was diagnosed with a dedifferentiated liposarcoma most likely arising from the spermatic cord. There is sparse literature on this type of spermatic cord sarcoma. The goal of this case report is to summarize the findings that led to this rare diagnosis.

Case Report: This is the case of an 81-year-old white male who presented to his primary care physician due to a mass in his left groin. After initial clinical misdiagnosis and mismanagement, the patient underwent incisional biopsy and was diagnosed with a stage IIIB, cT3 N0 M0 primary undifferentiated spindle cell sarcoma of the left-sided spermatic cord, grade 3. Upon radical resection, the final diagnosis was high grade dedifferentiated liposarcoma measuring 8.8 × 5.0 × 4.8 cm.

Conclusion: There is currently a paucity of literature on dedifferentiated liposarcomas arising from the spermatic cord. The patient was initially diagnosed with an undifferentiated spindle cell sarcoma thought to have arisen from the spermatic cord, however, upon undergoing radical resection, the final diagnosis was determined to be a high grade dedifferentiated liposarcoma. This case discusses the rare diagnosis of a dedifferentiated liposarcoma most likely arising from the spermatic cord. It is believed that clinicians should consider malignancy in the differential diagnosis of patients presenting with an inguinal mass.

Keywords: Dedifferentiated liposarcoma, Soft tissue sarcoma, Spermatic cord, Spindle cell sarcoma

Introduction


Soft tissue sarcomas account for <1% of all adult malignancies [1]. Of these, sarcomas of the genitourinary tract (GU) account for even less, at <5% of sarcomas and <2% of malignant urologic tumors [2]. Of this small fraction, 30–90% of the GU sarcomas arise from the spermatic cord with most found to be liposarcomas, leiomyosarcomas, or rhabdomyosarcomas [2]. Cases of undifferentiated pleomorphic sarcomas and desmoplastic round cell sarcomas have been reported but are extremely rare. This patient presented with a unilateral painless mass thought to initially be an inguinal hernia. After initial non-oncologic incisional biopsy, the tumor was pathologically described as a primary undifferentiated spindle cell sarcoma of the left-sided spermatic cord. After radical resection, the diagnosis was determined to be a dedifferentiated liposarcoma most likely arising from the spermatic cord. The goal of this case report is to summarize the findings that led to this rare diagnosis.

Case Report


An 81-year-old white male presented to his primary care physician (PCP) due to a mass in his left groin. Past medical history was significant for melanoma status post resection, prostate cancer status post prostatectomy, and benign renal mass status post nephrectomy. At that time, the PCP believed it was a hernia and referred the patient to a general surgeon. The surgeon suggested observation as he did not believe the mass was consistent with a hernia diagnosis. The mass continued to grow.

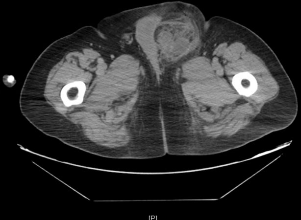
Axial computed tomography (CT) imaging through the left groin demonstrated a small low-density nodule in the inguinal canal, initially believed to be fluid in a small hernia sack (Figure 1). After rapid clinical growth, an ultrasound image of the same mass demonstrated a solid lesion having significantly grown as the preceding CT (Figure 2). A fine-needle aspiration was performed with inconclusive results. Due to further enlargement, an excisional biopsy was performed with a partial excision after which the patient developed wound complications. The post-operative infection was treated with debridement and re-opening of the initial incision with later closure.

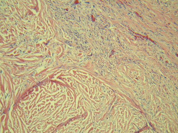
The initial biopsy tissue pathology at an outside institution was interpreted as most consistent with an undifferentiated spindle cell sarcoma, grade 3 (Figure 3). There was extensive necrosis estimated at less than 50% of submitted sections with up to 36 mitoses counted per 10 400× high-power fields. Immunostains showed no significant staining for CD117, muscle specific actin, smooth muscle myosin, CD34, S100, or SOX-10.

The patient was then referred to our institution. A CT scan of the chest, abdomen, and pelvis showed a mass with no metastatic disease, but it did reveal that the tumor was encroaching on the left testicle with some displacement of the penis (Figure 4). Magnetic resonance imaging (MRI) of the pelvis was performed revealing a large, solid heterogenous soft tissue mass containing macroscopic fat centered in the left inguinal canal with marked thickening of the external spermatic fascia (Figure 5). The imaging appearance was compatible with his given history of sarcoma. It also showed a small, peripherally enhancing fluid collection measuring up to 4 cm in subcutaneous fat superficial to the mass in the left inguinal canal which was thought to be a seroma or abscess related to the biopsy.

Based on the size, grade, location, and tissue biopsy of the tumor, it was determined to be a stage IIIB, cT3 N0 M0 primary undifferentiated spindle cell neoplasm most consistent with sarcoma of the left-sided spermatic cord, high grade, present at multiple margins, noting dedifferentiated liposarcoma was not excluded. The patient denied any difficulty urinating, dysuria, changes in weight or fatigue at that time. His case was discussed at a multidisciplinary tumor conference and due to previous post-operative complications, it was recommended to proceed with neoadjuvant radiation therapy followed by restaging evaluation for potential surgical resection versus palliative systemic cytotoxic therapy. The patient received pre-operative radiotherapy to a total dose of 5000 cGy delivered in 25 daily fractions. He tolerated pre-operative radiotherapy well with minimal treatment-related skin erythema (Figure 6).

It was then decided to offer the patient a radical resection of the tumor. Upon analysis of the complete resection specimen tissue, the final pathology was then determined to be a high grade dedifferentiated liposarcoma.

Figure 1: Axial CT imaging through the left groin demonstrates a small low-density nodule in the inguinal canal, initially believed to be fluid in a small hernia sack.

Share Image:

Figure 2: Grayscale ultrasonography through the left groin shows rapid interval enlargement of the largely hypoechoic, heterogenous mass with increasing peritumoral fluid and internal microcalcifications.

Share Image:

Figure 3: H&E stain, 100× magnification. Believed undifferentiated spindle cell sarcoma composed of cells with elongate to plump nuclei, focal necrosis, and frequent mitoses.

Share Image:

Figure 4: Axial CT imaging through the left groin performed after the surgical intervention demonstrated a large infiltrative lesion with internal hemorrhage and necrosis, edema, and fascial thickening. The confounding factors of tumor growth and postoperative hemorrhage result in poor delineation of the residual tumor.

Share Image:

Figure 5: (A) Axial T1-weighted unenhanced MR imaging through the left inguinal canal demonstrates marked thickening of the external spermatic fascia with an internal irregular, lobular, hemorrhagic mass displacing hypertrophic fat with edematous or infiltrative septal thickening. (B) Coronal STIR-weighted MR imagining through the same mass demonstrated the mixed signal heterogenous mass with secondary venous congestion and robust edema throughout the left scrotum and inguinal canal.

Share Image:

Figure 6: Photo obtained for radiation treatment planning purposes. The patient’s non-oncologic surgical incision site is appreciated within the bulky left spermatic cord primary.

Share Image:

Discussion


Review of current literature reveals very few of patients with a dedifferentiated liposarcoma.

This case illustrates several important clinical and pathologic points regarding the rare dedifferentiated liposarcoma (DDLPS) arising in the inguinal canal. A 32-year study from a single institution sarcoma referral center concluded any mass in the inguinal canal needs careful physical examination followed by appropriate imaging to prevent overlooking the rare sarcoma, and this pertains regardless of patient sex, as 14/33 patients were female; female patients tended to be younger than males, with smaller overall masses but no significant prognostic differences [3]. A low threshold for imaging followed by careful interpretation is needed to determine the exact site and extent of an inguinal canal mass: spermatic cord origin versus inguinal-scrotal extension, illustrated by a case in one male patient in which tumor nodules grew discontinuously into the inguinal canal from the retroperitoneum undetected, with radical high orchiectomy resulting in incomplete operation [4],[5]. This patient received no prior radiation therapy and therefore this was not the cause of his sarcoma.

The diagnosis of a high-grade sarcoma has been successfully made by fine needle aspirate in this region and can be made preoperatively given adequate specimen [6]. Specific diagnosis of DDLPS can be reached utilizing immunohistochemistry for MDM2 and CDK4, and molecular techniques such as fluorescent in situ hybridization (FISH) (Figure 7) [7],[8]. These techniques are also useful in separating cases of DDLPS from pleomorphic liposarcoma, a histologic entity associated with much higher metastatic potential [9]. Dedifferentiated liposarcoma may also contain areas of heterologous differentiation including chondro-osseous and rhabdomyoblastic differentiation, or rarely foci or angiosarcoma [9]. Recent studies have indicated myogenic, particularly rhabdomyoblastic differentiation is associated with worse outcome in DDLPS [9].

A 35-year experience of 15 patients at the University of Florida suggested that patients who underwent definitive surgical resection of a spermatic cord sarcoma had about a 50% chance of local-regional recurrence [10]. At their institution, no patients had local recurrence, however, three patients experienced nodal recurrences or distant metastases [10]. The patients with recurrence or metastases had initial non-oncologic surgery with unexpected findings of a sarcoma, similar to this patient’s presentation [10].

At the University of Minnesota Medical Center, the standard of care for soft-tissue sarcomas is preoperative radiotherapy followed by definitive surgery [11]. At this institution, they conducted a study including 44 patients and found a local control of 95% with perioperative complications only occurring in patients with lower extremity sarcomas [11]. The patient underwent radiotherapy for the treatment of his spermatic cord sarcoma with definitive surgery following. It was at this point that the final pathology was determined to be a high grade dedifferentiated liposarcoma (Figure 8 and Figure 9).

Harvard Medical School reported an annual incidence of spermatic cord tumors to be 0.3 cases per million [7]. According to Shaban et al. only 326 cases of spermatic cord liposarcomas have been reported with only 15% of those being the dedifferentiated subtype [7]. Liposarcomas are a rare subtype of sarcomas that routinely spread through local extension of the mass, however, high grade subtypes, like in our patient, are more likely to recur or spread hematogenously [7]. Due to the aggressive nature of these tumors, surgery is the current recommended management of spermatic cord tumors [7].

A 25-year review of adult genitourinary sarcomas at Memorial Sloan-Kettering Hospital found in 57 sarcomas of paratesticular origin, tumor size, and absence of metastases were the sole significant predictors of diseasefree survival [12]. A 20-year single institution experience in Italy of 22 patients found a 5-year survival rate of 91.3% for all spermatic cord sarcomas when completely resected, even when the patient had an incomplete initial resection [13]. A multicenter study of 42 patients over 25 years found margin status, size, and grade did not correlate with recurrence and while local recurrence was common, rare patients developed systemic disease [14].

Figure 7: 200× magnification, MDM2 immunostain. Dedifferentiated liposarcoma. MDM2 immunostain highlights nuclei of liposarcoma cells, supporting the diagnosis.

Share Image:

Figure 8: 100× magnification, H&E stain. Lower left, spindle cell component; upper right, dedifferentiated sarcoma. This illustrates the need for extensive sampling of sarcomas to document highest grade histologic areas.

Share Image:

Figure 9: 200× magnification, H&E stain. Dedifferentiated liposarcoma with multinucleate giant cell in dedifferentiated area.

Share Image:

Conclusion


This is the first case report of its kind to discuss the findings of a possible spindle-cell sarcoma with a final diagnosis of a dedifferentiated liposarcoma. It is believed that clinicians should consider malignancy in the differential diagnosis of patients presenting with an inguinal mass. Clinical presentation of an inguinal mass should be evaluated in both men and women to rule out malignancy. Ultrasound followed by CT and MRI as needed is helpful in the triage of these masses. Fine needle aspirate can be efficacious in suggesting diagnosis. Radical surgery is needed to prevent recurrence. The role of radiation and chemotherapy as adjuvant treatments remains controversial due to the limited number of cases reported. Further studies are needed to ascertain optimal therapy and appropriate selection of patients.

REFERENCES


1.

Chowdhry VK, Kane JM 3rd, Wang K, Joyce D, Grand’Maison A, Mann GN. Testicular, spermatic cord, and scrotal soft tissue sarcomas: Treatment outcomes and patterns of failure. Sarcoma 2021;2021:8824301. [CrossRef] [Pubmed]   Back to citation no. 1  

2.

Guttilla A, Crestani A, Zattoni F, et al. Spermatic cord sarcoma: Our experience and review of the literature. Urol Int 2013;90(1):101–5. [CrossRef] [Pubmed]   Back to citation no. 1  

3.

Lawrenz JM, Norris JP 4th, Tan MC, et al. Inadvertent inguinal sarcoma excision during hernia surgery: Outcomes, gender analysis, and prevention. Int J Surg Oncol 2020;2020:8374790. [CrossRef] [Pubmed]   Back to citation no. 1  

4.

Ap Dafydd D, Messiou C, Thway K, Strauss DC, Nicol DL, Moskovic E. Paratesticular sarcoma: Typical presentation, imaging features, and clinical challenges. Urology 2017;100:163–8. [CrossRef] [Pubmed]   Back to citation no. 1  

5.

Febres-Aldana CA, Min J, Rafols M, Willis I, Alexis J. Liposarcoma in the inguinal canal: Challenges in preoperative diagnosis and importance of routine pathological examination of “Hernia Sacs”. Case Rep Pathol 2018;2018:5929626. [CrossRef] [Pubmed]   Back to citation no. 1  

6.

Rodríguez D, Olumi AF. Management of spermatic cord tumors: A rare urologic malignancy. Ther Adv Urol 2012;4(6):325–34. [CrossRef] [Pubmed]   Back to citation no. 1  

7.

Shaban Y, Elkbuli A, Kim D, Abdulla A, Boneva D, McKenney M , Wolf J. Dedifferentiated liposarcoma of the spermatic cord: Case report and review of literature. Int J Surg Case Rep 2020;72:418–22. [CrossRef] [Pubmed]   Back to citation no. 1  

8.

Salas-Parra RD, Tavares LL, Gupta R, Silletti J, Shah A. Dedifferentiated liposarcoma of the scrotum. Case report and literature review. J Surg Case Rep 2020;2020(9):rjaa342. [CrossRef] [Pubmed]   Back to citation no. 1  

9.

Kallen ME, Hornick JL. The 2020 WHO Classification: What’s New in Soft Tissue Tumor Pathology? Am J Surg Pathol 2021;45(1):e1–23. [CrossRef] [Pubmed]   Back to citation no. 1  

10.

Hazariwala R, Morris CG, Gilbert S, Algood C, Zlotecki RA. Radiotherapy for spermatic cord sarcoma. Am J Clin Oncol 2013;36(4):392–4. [CrossRef] [Pubmed]   Back to citation no. 1  

11.

Jones DA, Shideman C, Yuan J, et al. Management of unplanned excision for soft-tissue sarcoma with preoperative radiotherapy followed by definitive resection. Am J Clin Oncol 2016;39(6):586–92. [CrossRef] [Pubmed]   Back to citation no. 1  

12.

Dotan ZA, Tal R, Golijanin D, et al. Adult genitourinary sarcoma: The 25-year Memorial Sloan-Kettering experience. J Urol 2006;176(5):2033–8; discussion 2038–9. [CrossRef] [Pubmed]   Back to citation no. 1  

13.

Iafrate M, Motterle G, Zaborra C, et al. Spermatic cord sarcoma: A 20-year single-institution experience. Front Surg 2020;7:566408. [CrossRef] [Pubmed]   Back to citation no. 1  

14.

Kryvenko ON, Rosenberg AE, Jorda M, Epstein JI. Dedifferentiated liposarcoma of the spermatic cord: A series of 42 cases. Am J Surg Pathol 2015;39(9):1219–25. [CrossRef] [Pubmed]   Back to citation no. 1  

SUPPORTING INFORMATION


Author Contributions

Christine Joyce - Conception of the work, Design of the work, Acquisition of data, Analysis of data, Drafting the work, Revising the work critically for important intellectual content, Final approval of the version to be published, Agree to be accountable for all aspects of the work in ensuring that questions related to the accuracy or integrity of any part of the work are appropriately investigated and resolved.

Christine Lauro - Acquisition of data, Analysis of data, Drafting the work, Revising the work critically for important intellectual content, Final approval of the version to be published, Agree to be accountable for all aspects of the work in ensuring that questions related to the accuracy or integrity of any part of the work are appropriately investigated and resolved.

Elizabeth Hubbard - Acquisition of data, Analysis of data, Drafting the work, Revising the work critically for important intellectual content, Final approval of the version to be published, Agree to be accountable for all aspects of the work in ensuring that questions related to the accuracy or integrity of any part of the work are appropriately investigated and resolved.

R Ian Gray - Acquisition of data, Analysis of data, Drafting the work, Revising the work critically for important intellectual content, Final approval of the version to be published, Agree to be accountable for all aspects of the work in ensuring that questions related to the accuracy or integrity of any part of the work are appropriately investigated and resolved.

Guaranter of Submission

The corresponding author is the guarantor of submission.

Source of Support

None

Consent Statement

Written informed consent was obtained from the patient for publication of this article.

Data Availability

All relevant data are within the paper and its Supporting Information files.

Conflict of Interest

Authors declare no conflict of interest.

Copyright

© 2021 Christine Joyce et al. This article is distributed under the terms of Creative Commons Attribution License which permits unrestricted use, distribution and reproduction in any medium provided the original author(s) and original publisher are properly credited. Please see the copyright policy on the journal website for more information.