Case Report


Epithelioid hemangioendothelioma of parapharyngeal space: A rare clinical entity

,  ,  ,  ,  

1 Senior Resident, Department of ENT, AIIMS, Patna, Bihar, India

2 Additional Professor, Department of ENT, AIIMS, Patna, Bihar, India

3 Associate Professor, Department of ENT, AIIMS, Patna, Bihar, India

4 Assistant Professor, Department of Pathology/Lab Medicine, AIIMS, Patna, Bihar, India

5 Senior Resident, Department of Pathology/Lab Medicine, AIIMS, Patna, Bihar, India

Address correspondence to:

Kranti Bhavana

Department of ENT, AIIMS Patna, Phulwarisharif, Patna 801507, Bihar,

India

Message to Corresponding Author


Article ID: 100071Z10DK2020

doi: 10.5348/100071Z10DK2020CR

Access full text article on other devices

Access PDF of article on other devices

How to cite this article

Kumar D, Bhavana K, Bharti B, Kumar T, Tiwari P. Epithelioid hemangioendothelioma of parapharyngeal space: A rare clinical entity. J Case Rep Images Oncology 2020;6:100071Z10DK2020.

ABSTRACT


Introduction: An epithelioid hemangioendothelioma is a rare vascular neoplasm primarily of lung, liver, and bones. It is regarded as a neoplasm of borderline or low-grade malignant potential uncommonly seen in head and neck region. It may manifest in other parts of body like breast, lymph nodes, mediastinum, brain, meninges, spine, skin, abdomen, and many other sites. Due to its heterogeneous presentation, rarity, and malignant potential, it is often misdiagnosed and not adequately treated.

Case Report: We herein present a case of hemangioendothelioma of parapharyngeal space in an adult male with progressive swelling in right cervical region. Involvement of parapharyngeal space by this tumor is very rare, which warrants reporting of this case. The dumbbell-shaped tumor was surgically excised in toto and histopathology confirmed the diagnosis.

Conclusion: A wide surgical excision and regular follow-up would be appropriate management. Further research and studies are needed to formulate standardized treatment protocols for this rare tumor.

Keywords: Epithelial hemangioendothelioma, Parapharyngeal neoplasm, Vascular neoplasm

Introduction


Hemangioendothelioma is a rare vascular tumor originating from the vascular endothelial and proendothelial cells in the myxohyalinstroma. It was first described by Dail and Liebow as aggressive bronchoalveolar cell carcinoma in 1975 and represents less than 1% of all vascular tumors [1]. The term epithelioid hemangioendothelioma was coined by Weiss and Enzinger in 1982 to describe a vascular tumor of the bones and soft tissues with features between hemangioma and angiosarcoma [2]. In 2002, the World Health Organization (WHO) categorized epithelial hemangioendothelioma as local aggressive tumors with metastatic potential [3]. The estimated prevalence is less than 1:1,000,000 [4]. The most commonly involved sites are liver, bones, lungs, and other soft tissues. Other less frequent sites involved are head and neck region including oral cavity, submandibular region, parotid, scalp, neck, thyroid gland, and mandible among which submandibular space is most commonly involved [5],[6]. The age of patients varies from 7 to 83 years old [7],[8]. The median age of onset is 36 years old, while the usual age at diagnosis ranges from 20 to 60 years old [9]. Very limited literature is available on epithelial hemangioendothelioma of parapharyngeal space. Herein we report a rare case of parapharyngeal hemangioendothelioma.

Case Report


A 49-year-old male presented in our department with gradually progressive swelling in right cervical region for 8 years. The patient also complained of voice change for two months and decreased hearing in right ear for one month. Palpation revealed approximately 3 × 3.5 cm firm, non-tender, non-pulsatile, fixed swelling in right cervical region just below the angle of mandible. Oral cavity examination revealed firm, non-tender, non-pulsatile swelling medializing the right tonsil (Figure 1). Nasal endoscopy and laryngoscopy revealed a bulge in the nasopharynx and parapharyngeal space (Figure 2). Otoscopic examination demonstrated otitis media with effusion in right ear. There was no significant cervical lymphadenopathy. Cranial nerve examination was normal. Contrast enhanced magnetic resonance imaging (MRI) presented a 7 × 3.5 × 8 cm heterogeneously enhancing and circumscribed elongated soft tissue mass extending from submandibular area to parapharyngeal, tonsillar, and retromolar region with encasement of great vessels on right side (Figure 3).

Cerebral digital subtraction angiography revealed moderately vascular right parapharyngeal mass supplied by right facial and internal maxillary artery branches with good cross flow to right cerebral hemisphere via anterior communicating artery and non-visualized upper cervical portion of internal jugular vein (IJV)-likely compressed with no definite involvement of right internal carotid artery (ICA) (Figure 4).

After all routine investigations, the patient was planned for right parapharyngeal tumor excision via combined cervical and mandibular swing approach under general anesthesia. Horizontal skin crease incision was given 2 inches below right lower border of mandible and extended anteriorly to split lower lip in midline. Incision was extended intraorally along right gingivobuccal sulcus to right anterior tonsillar pillar and soft palate. Subplatysmal flaps were elevated superiorly and inferiorly exposing the tumor. Right facial vessels were identified, secured, and divided. Right submandibular gland was excised. Carotid sheath was incised and carotid control was achieved. Mandibulotomy was done (Figure 5). Lingual and hypoglossal nerves were identified and preserved (Figure 6). The right parapharyngeal tumor was dissected in toto (Figure 7). Mandibular osteotomy was fixed with plates and screws and wound was repaired in layers. There was no significant intraoperative bleeding. Ryle’s tube was inserted. Post-operative period was uneventful.

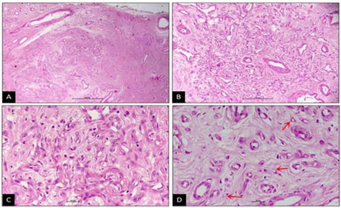
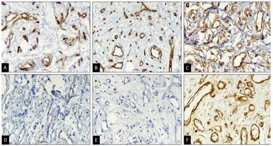
Gross examination of the tumor revealed a reddish dumbbell-shaped mass with well demarcated margins. Histopathology of the resected specimen shows a poorly circumscribed tumor mass, composed of round, oval to polygonal epithelioid endothelial cells arranged in diffuse and cord like pattern, having hyperchromatic nuclei, mild nuclear pleomorphism, and moderate cytoplasm. Intracytoplasmic lumina and myxoid degeneration of stroma are also noted (Figure 8A, Figure 8B, Figure 8C, Figure 8D). Atypical mitosis is not seen. The tumor cells are diffuse and strong immunopositive for CD34, CD31, Vimentin, and SMA while negative for PAN-CK and S-100 (Figure 9A, Figure 9B, Figure 9C, Figure 9D, Figure 9E, Figure 9F). Based on immunohistochemistry and histomorphology, a diagnosis of epithelioid hemangioendothelioma was rendered. The patient was advised for radiotherapy and regular follow-up is being done. There is no clinical evidence of local recurrence or distant metastasis.

Figure 1: Preoperative intraoral image showing right tonsillar bulge.

Share Image:

Figure 2: Rigid telescopic view of right nasopharyngeal bulge.

Share Image:

Figure 3: Magnetic resonance imaging with gadolinium enhancement shows enhancing and circumscribed tumor in right parapharyngeal, tonsillar, and retromolar region. Coronal view.

Share Image:

Figure 4: Digital subtraction angiogram images of right external carotid artery showing (A) early phase filling of tumor from right maxillary artery and facial artery (B) late diffuse tumor blush.

Share Image:

Figure 5: Tumor (white arrow) being dissected out from parapharyngeal space via combined transcervical and mandibular swing approach.

Share Image:

Figure 6: Image showing tumor bed with intact neurovascular structures.

Share Image:

Figure 7: Image of surgical specimen (removed in toto).

Share Image:

Figure 8: Microphotograph of tumor with Hematoxylin and eosin stain. (A) Photomicrograph shows a poorly circumscribed vascular tumor mass (H&E: ×20). (B) and (C) The vascular tumors are arranged in diffuse and cord like pattern, composed of round to oval endothelial cells having hyperchromatic nuclei with moderate amount of eosinophilic cytoplasm (H&E: ×20, ×400). (D) Endothelial tumor cells show intracellular cytoplasmic lumens (Arrow). Stroma show myxoid degeneration (H&E: ×400).

Share Image:

Figure 9: Immunohistochemical staining shows diffuse tumor cells with characteristic staining (IHC: ×400). (A) Immunopositive for CD34, (B) Immunopositive for CD31, (C) Immunopositive for Vimentin, (D) Immunonegative for PAN-CK, (E) Immunonegative for S-100, and (F) Immunopositive for SMA.

Share Image:

Discussion


Epithelioid hemangioendothelioma is a rare vascular tumor with borderline malignant behavior [10]. Most commonly involved sites are liver alone (21%), liver plus lung (18%), lung alone (12%), and bone alone (14%) [11]. It is very rare in head and neck region with most frequently involved subsite being submandibular region [6]. It has a clinical behavior intermediate between benign hemangioma and malignant angiosarcoma. It can occur at any age and is more common in females [12]. Raised mitotic activity, the ratio of epithelioid cells to spindle cells, focal necrosis and cellular polymorphism determine a more aggressive clinical course [6]. Deyrup et al. reported in their series of 49 patients with hemangioendothelioma of soft tissue involving various sites throughout the body that tumors with a high mitotic activity (3 mitoses/50 high power field) and tumors larger than 3 cm presented with a more aggressive clinical behavior [13]. Multiple recurrences may be seen in some patients due to their localization in head and neck region and insufficient excision of tumors with unclear margins. Therefore, wide surgical resection with clear margins is recommended in these localizations [14]. The rarity of our case stems from the fact that location of this tumor pathology was a very unique one. A parapharyngeal space tumor with this size and pathology is an extremely rare one and not commonly reported in literature. The surgical approach which was undertaken involved mandibulotomy in order to get better access to deeper aspects of tumor and to ensure neurovascular structure preservation. In our case, complete excision of tumor was possible without injury to any neurovascular structure in that area. Histopathological studies reveal round or spindle-shaped epithelioid cells with pale cytoplasm [6]. Tumor cells show vacuolizations containing red blood cells. On immunohistochemistry, endothelial markers are useful in diagnosis. CD34 and CD31 are expressed by vascular tumors and CD31 is more specific marker of vascular tumor. FLi-1 is a nucleoprotein released from endothelial cells, megakaryocytes, and T cells, and is useful in differential diagnosis of vascular tumors. Podoplanin is released from lymphatic endothelial cells supporting diagnosis of hemangioendothelioma in liver and head and neck region [15],[16].

Due to extremely variable occurrence, rarity of tumor and diversity in presentation, no standardized treatment protocol has been formulated. Surgery with a wide local excision and regular follow-up is the preferred management whenever feasible. Radiotherapy should be considered in local residues and to prevent recurrences. Our patient underwent radiotherapy and is under follow-up with no recurrence. Chemotherapy can be added in cases with widespread disease, however, its benefits are not well established.

Conclusion


Epithelioid hemangioendothelioma is a rare vascular tumor of intermediate malignant potential, less often seen in head and neck. Surgical excision of the tumor was performed via combined cervical and mandibular swing approach without any significant bleeding and neurovascular compromise. Diagnosis was confirmed by histopathology and immunohistochemistry. Post-operative period was uneventful and was followed by radiotherapy. Further studies are needed to formulate a standardized treatment protocol according to site and stage of this rare disease.

REFERENCES


1.

Dail DH, Liebow AA. Intravascular bronchioloalveolar tumor. Am J Pathol 1975;78:6a–7.   Back to citation no. 1  

2.

Weiss SW, Enzinger FM. Epithelioid hemangioendothelioma: A vascular tumor often mistaken for a carcinoma. Cancer 1982;50(5):970–81. [CrossRef] [Pubmed]   Back to citation no. 1  

3.

Mertens F, Unni K, Fletcher CDM. World Health Organization Classification of Tumors. Pathology and Genetics. Tumors of Soft Tissue and Bone. Lyon, France: IARC Press; 2002. p. 155.   Back to citation no. 1  

4.

Mehrabi A, Kashfi A, Fonouni H, et al. Primary malignant hepatic epithelioid hemangioendothelioma: A comprehensive review of the literature with emphasis on the surgical therapy. Cancer 2006;107(9):2108–21. [CrossRef] [Pubmed]   Back to citation no. 1  

5.

Erkan AN, Bal N, Kiroglu E. A case report of hemangioendothelioma of the hard palate. B-ENT 2008;4(3):175–8. [Pubmed]   Back to citation no. 1  

6.

Ellis GL, Kratochvil 3rd FJ. Epithelioid hemangioendothelioma of the head and neck: A clinicopathologic report of twelve cases. Oral Surg Oral Med Oral Pathol 1986;61(1):61–8. [CrossRef] [Pubmed]   Back to citation no. 1  

7.

Rock MJ, Kaufman RA, Lobe TE, Hensley SD, Moss ML. Epithelioid hemangioendothelioma of the lung (intravascular bronchioloalveolar tumor) in a young girl. Pediatr Pulmonol 1991;11(2):181–6. [CrossRef] [Pubmed]   Back to citation no. 1  

8.

Einsfelder B, Kuhnen C. Epithelioid hemangioendothelioma of the lung (IVBAT)—clinicopathological and immunohistochemical analysis of 11 cases. [Article in German]. Pathologe 2006;27(2):106–15. [CrossRef] [Pubmed]   Back to citation no. 1  

9.

Schattenberg T, Kam R, Klopp M, et al. Pulmonary epithelioid hemangioendothelioma: Report of three cases. Surg Today 2008;38(9):844–9. [CrossRef] [Pubmed]   Back to citation no. 1  

10.

Amin KS, McGuff HS, Cashman SW, Otto RA. Epithelioid hemangioendothelioma of the parotid gland with atypical features. Otolaryngol Head Neck Surg 2003;129(5):596–8. [CrossRef] [Pubmed]   Back to citation no. 1  

11.

Lau K, Massad M, Pollak C, et al. Clinical patterns and outcome in epithelioid hemangioendothelioma with or without pulmonary involvement: Insights from an internet registry in the study of a rare cancer. Chest 2011;140(5):1312–8. [CrossRef] [Pubmed]   Back to citation no. 1  

12.

Chi AC, Weathers DR, Folpe AL, Dunlap DT, Rasenberger K, Neville BW. Epithelioid hemangioendothelioma of the oral cavity: Report of two cases and review of the literature. Oral Surg Oral Med Oral Pathol Oral Radiol Endod 2005;100(6):717–24. [CrossRef] [Pubmed]   Back to citation no. 1  

13.

Deyrup AT, Tighiouart M, Montag AG, Weiss SW. Epithelioid hemangioendothelioma of soft tissue: A proposal for risk stratification based on 49 cases. Am J Surg Pathol 2008;32(6):924–7. [CrossRef] [Pubmed]   Back to citation no. 1  

14.

Sun ZJ, Zhang L, Zhang WF, Chen XM, Lai FMM, Zhao YF. Epithelioid hemangioendothelioma of the oral cavity. Oral Dis 2007;13(2):244–50. [CrossRef] [Pubmed]   Back to citation no. 1  

15.

Jabeen Naqvi J, Ordonez NG, Luna MA, Williams MD, Weber RS, El-Naggar AK. Epithelioid hemangioendothelioma of the head and neck: Role of podoplanin in the differential diagnosis. Head Neck Pathol 2008;2(1):25–30. [CrossRef] [Pubmed]   Back to citation no. 1  

16.

Gill R, O’Donnell RJ, Horvai A. Utility of immunohistochemistry for endothelial markers in distinguishing epithelioid hemangioendothelioma from carcinoma metastatic to bone. Arch Pathol Lab Med 2009;133(6):967–72. [Pubmed]   Back to citation no. 1  

SUPPORTING INFORMATION


Acknowledgments

We express our gratitude to the entire team of Department of ENT and Department of Pathology, AIIMS Patna, India.

Author Contributions

Dheeraj Kumar - Conception of the work, Design of the work, Acquisition of data, Analysis of data, Drafting the work, Revising the work critically for important intellectual content, Final approval of the version to be published, Agree to be accountable for all aspects of the work in ensuring that questions related to the accuracy or integrity of any part of the work are appropriately investigated and resolved.

Kranti Bhavana - Conception of the work, Design of the work, Acquisition of data, Analysis of data, Drafting the work, Revising the work critically for important intellectual content, Final approval of the version to be published, Agree to be accountable for all aspects of the work in ensuring that questions related to the accuracy or integrity of any part of the work are appropriately investigated and resolved.

Bhartendu Bharti - Conception of the work, Design of the work, Drafting the work, Revising the work critically for important intellectual content, Final approval of the version to be published, Agree to be accountable for all aspects of the work in ensuring that questions related to the accuracy or integrity of any part of the work are appropriately investigated and resolved.

Tarun Kumar - Acquisition of data, Analysis of data, Drafting the work, Revising the work critically for important intellectual content, Final approval of the version to be published, Agree to be accountable for all aspects of the work in ensuring that questions related to the accuracy or integrity of any part of the work are appropriately investigated and resolved.

Prerna Tiwari - Acquisition of data, Analysis of data, Drafting the work, Revising the work critically for important intellectual content, Final approval of the version to be published, Agree to be accountable for all aspects of the work in ensuring that questions related to the accuracy or integrity of any part of the work are appropriately investigated and resolved.

Guaranter of Submission

The corresponding author is the guarantor of submission.

Source of Support

None

Consent Statement

Written informed consent was obtained from the patient for publication of this article.

Data Availability

All relevant data are within the paper and its Supporting Information files.

Conflict of Interest

Authors declare no conflict of interest.

Copyright

© 2020 Dheeraj Kumar et al. This article is distributed under the terms of Creative Commons Attribution License which permits unrestricted use, distribution and reproduction in any medium provided the original author(s) and original publisher are properly credited. Please see the copyright policy on the journal website for more information.