Case Report


Diagnostic and management dilemma in basaloid squamous cell carcinoma of lung showing significant response to immunotherapy: Case report and literature review

,  ,  ,  ,  

1 Medical Registrar (AT), Medical Oncology, Northwest Cancer Centre, Tamworth Hospital, Tamworth, NSW, Australia

2 Calvary Mater Newcastle Hospital, Waratah, NSW, Australia

3 Resident Medical Officer, General Surgery, Tamworth Hospital, Tamworth, NSW, Australia

4 Senior Resident Medical Officer, Emergency Department, Tamworth Hospital, Tamworth, NSW, Australia

5 Staff Specialist, Medical Oncology, Northwest Cancer Center, Tamworth Hospital, Tamworth, NSW, Australia

Address correspondence to:

Prajwol Shrestha

Department of Medical Oncology, Calvary Mater Newcastle Hospital, Corner Edith and Platt Street, Waratah, NSW 2298,

Australia

Message to Corresponding Author


Article ID: 100070Z10PS2020

doi: 10.5348/100070Z10PS2020CR

Access full text article on other devices

Access PDF of article on other devices

How to cite this article

Shrestha P, Mackenzie L, Taneja K, George MK, Rai S. Diagnostic and management dilemma in basaloid squamous cell carcinoma of lung showing significant response to immunotherapy: Case report and literature review. J Case Rep Images Oncology 2020;6:100070Z10PS2020.

ABSTRACT


Introduction: Basaloid squamous cell lung carcinoma is a rare subtype of non-small cell lung cancer, accounting for 3.9–5.2% of all lung squamous carcinomas. The prognosis is still debated and there is limited evidence regarding the efficacy of immunotherapy in this relatively uncommon population.

Case Report: We report a case of basaloid squamous cell lung carcinoma, which was initially diagnosed as small cell carcinoma before completion of all immunohistochemical tests. The patient received seven doses of nivolumab after progression on chemotherapy. Although the treatment had to be interrupted due to colitis, she had a near-complete response.

Conclusion: Besides illustrating the importance of immunohistochemical staining to aid in accurate diagnosis, this case also demonstrates the deep and durable response to nivolumab. The patient responded significantly better than the reported median progression free survival for squamous cell carcinoma with second line nivolumab. Although this case report demonstrates a remarkable response, it will be important to validate the predictive response to nivolumab in large randomized studies.

Keywords: Basaloid squamous cell carcinoma, Immunotherapy, Lung cancer, Nivolumab, Squamous cell lung carcinoma

Introduction


Basaloid squamous cell lung carcinoma is an uncommon variety of non-small cell lung cancer and represents 3.9–5.2% of all lung squamous carcinomas. However, the prognosis is still unclear as some publications have reported poorer prognosis while others report favorable prognosis mainly in earlier stages in those who undergo lobectomy [1],[2],[3],[4]. Differentiation of basaloid squamous cell lung carcinoma from small cell carcinoma relies on immunohistochemical staining, which has significant implications for prognosis and management [5],[6],[7].

To our knowledge, this is the first case report which demonstrates durable response to immunotherapy in basaloid squamous cell lung carcinoma.

Case Report


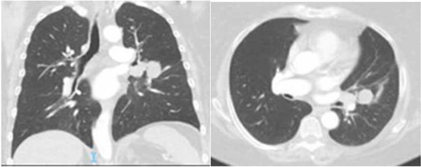
A 51-year-old female with a 50 pack-year smoking history was referred to the hospital after an outpatient chest X-ray, and subsequent computed tomography (CT) of the chest from 14 March 2019 (Figure 1), which reported a large left hilar lung mass. She reported worsening dyspnea and cough for three months, associated with intermittent pleuritic chest pain, reduced appetite but no significant weight loss. She was hypoxic, saturating at 93% on 3 liter on nasal prongs at the time of presentation to hospital with widespread wheeze.

Her past medical history included chronic obstructive pulmonary disease, adrenal adenoma, hypertension, transient ischemic attack, fatty liver, depression, and diverticular disease. She denied history of alcohol use and had no pertinent family history of malignancy. The chest CT revealed a large left hilar mass obstructing the upper as well as lower lobe bronchi with near-total collapse of the upper lobe of the left lung and evidence of obstructive patchy pneumonia in the residual upper and lower lobes of the left lung. Abdominal CT also noted abdominal lymphadenopathy with possible adrenal metastasis.

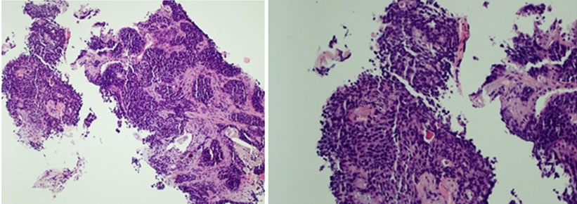
Core biopsy of the lung mass was performed on 18 March 2019. The features were suggestive of an infiltrating carcinoma in sheets with hyperchromatic nuclei. This was associated with brisk mitotic activity and scant or absent cytoplasm. No glandular or squamous components were seen, and the chromatin pattern also showed neuroendocrine features (Figure 2). Moderate nuclear positivity was seen with thyroid transcription factor 1 (TTF-1), but synaptophysin and chromogranin were negative. The diagnosis of small cell lung cancer was made based on the microscopic features and initial immunostaining. TTF-1 was positive along with focal staining of C56 and CAM 5.2 was also strongly positive. As initial overall morphological and immunohistochemical features were considered to be consistent with small cell carcinoma, the patient was commenced on carboplatin and etoposide. Her Eastern Cooperative Oncology Group (ECOG) performance score was 2, and she had mild hemoptysis during the first few days of the first cycle of chemotherapy. No significant improvement was noted in her symptoms after initiating chemotherapy. Interestingly, as the synaptophysin and chromogranin were negative, the immunohistochemistry (IHC) was extended with the additional stains, and those were strongly positive for P63 and CK5/6 (Figure 3). P63 and CK5/6 are usually negative in small cell carcinoma. Although there were features resembling small cell carcinoma in most areas, basaloid squamous cell carcinoma (BSCC) features were also noted on further review of the slides. Due to these findings, it favored the diagnosis of basaloid squamous cell lung carcinoma.

Based on the revised histopathology report, the chemotherapy was changed to carboplatin and gemcitabine. Although the hemoptysis resolved, she was commenced on nivolumab due to clinical progression. She completed seven cycles up until October 2019. Unfortunately, there were multiple treatment delays due to an episode of infective colitis followed by immune-related colitis confirmed on colonoscopy requiring intermittent use of high dose steroids. Despite this, she gradually improved clinically with associated improvement in functional status. This was radiologically confirmed on repeat restaging scan which showed near complete response (Figure 4). She remains stable on the most recent scan from 25th May 2020.

Figure 1: Baseline CT chest (14 March 2019) showing left lung mass on diagnosis.

Share Image:

Figure 2: Core biopsy of lung: (Hematoxylin and Eosin stain) showing hyperchromatic nuclei with brisk mitotic activity, scant cytoplasm without any glandular or squamous component.

Share Image:

Figure 3: Immunohistochemical staining. Left: CK5/6 positive stain. Right: p63 positive stain.

Share Image:

Figure 4: Progress CT chest (18 October 2019)—near complete response, showing residual lung lesion after 7 cycles of Nivolumab from 30 April 2019.

Share Image:

Discussion


Basaloid squamous cell lung carcinoma is an uncommon subtype of non-small cell lung cancer, first described by Brambilla et al. in 1992 [1],[2],[3]. There is limited evidence regarding prognosis of metastatic basaloid carcinoma although mixed outcomes were reported in retrospective studies [3],[4],[8],[9],[10],[11],[12]. Basaloid carcinoma of the lung can exist in pure form or mixed with other non-small cell carcinoma subtypes, including squamous cell [3]. Basaloid squamous cell lung carcinoma, along with keratinizing and non-keratinizing squamous cell carcinoma, makes up 20% of lung cancer cases [13].

Cytologically, basaloid squamous cell lung carcinoma shares many features with other lung carcinoma subtypes thus making diagnosis difficult [3]. Cytomorphologic features that are shared between basaloid squamous cell lung carcinoma and other high-grade neuroendocrine carcinomas include hypercellularity, round small to medium hyperchromatic cells, no prominent nucleoli, no three-dimensional structure, necrosis, mitoses and specific nuclei findings including naked nuclei, crush artifact, and molding [14].

The importance of immunohistochemical staining as an adjunct to aid in the accurate diagnosis of pulmonary malignancies cannot be overstated [5],[15],[16]. Typical histochemical features of BSCC include positive staining for P40, P63, and CK5/6 and negative staining for neuroendocrine markers and TTF-1 [6],[10],[13],[14],[17],[18],[19],[20]. Epidermal growth factor receptor (EGFR) mutation is often negative [17]. This case highlights the role of immunohistochemical staining, as the strongly positive P63 and CK5/6 markers led to the diagnosis of BSCC as they are usually negative in small cell carcinoma [21],[22].

Interestingly, the tissue stained positive for TTF-1 in this case, which contrasts with the literature that states TTF-1 is usually negative in BSCC.

An accurate diagnosis, which is aided by immunohistochemical staining, has profound implications for prognosis and treatment regimen [5],[6],[7]. In this case, the correct diagnosis led to the change in treatment regimen. She was eventually commenced on nivolumab, a programmed death-1 (PD-1) inhibitor, and demonstrated significant response. Ilie et al. reported PD-1/PD-L1 inhibitors promote promising clinical responses in patients with squamous cell lung carcinoma and Brahmer et al. reported the benefit of second line nivolumab in squamous cell lung carcinoma in CHECKMATE017 [23],[24]. They further investigated the prognosis associated with basaloid squamous cell lung carcinomas that express PD-L1 and contain CD8+ and PD-1+ tumor-infiltrating T cells, finding that these features indicate better outcomes [23].

There is no clear evidence to guide the best treatment for basaloid squamous cell lung carcinoma and is conventionally treated as squamous cell carcinoma. This case illustrates the potential deep and durable response with immunotherapy which provides some support to use immunotherapy in patients with basaloid squamous cell carcinoma. The progression free survival in this case will also be significantly longer (more than 12 months) compared to the reported median progression free survival in CHECKMATE017 trial which was 3.5 months [24].

Conclusion


This case illustrates the importance of immunohistochemical staining to aid in accurate diagnosis of basaloid squamous cell lung carcinoma, which has profound implications for prognosis and treatment. As it is evident in this case, this patient responded significantly better than the reported median progression free survival for squamous cell carcinoma with second line nivolumab. Although this case report demonstrates a remarkable response, it will be important to validate the predictive response to nivolumab in large randomized studies.

REFERENCES


1.

Brambilla E, Moro D, Veale D, et al. Basal cell (basaloid) carcinoma of the lung: A new morphologic and phenotypic entity with separate prognostic significance. Hum Pathol 1992;23(9):993–1003. [CrossRef] [Pubmed]   Back to citation no. 1  

2.

Brambilla C, Laffaire J, Lantuejoul S, et al. Lung squamous cell carcinomas with basaloid histology represent a specific molecular entity. Clin Cancer Res 2014;20(22):5777–86. [CrossRef] [Pubmed]   Back to citation no. 1  

3.

Foroulis CN, Iliadis KH, Mauroudis PM, Kosmidis PA. Basaloid carcinoma, a rare primary lung neoplasm: Report of a case and review of the literature. Lung Cancer 2002;35(3):335–8. [CrossRef] [Pubmed]   Back to citation no. 1  

4.

Yuan G, Zhan C, Huang Y, et al. Clinical characteristics and prognosis of basaloid squamous cell carcinoma of the lung: A population-based analysis. PeerJ 2019;7:e6724. [CrossRef] [Pubmed]   Back to citation no. 1  

5.

Antoine M. Contribution of immunohistochemistry to the management of lung cancer: From morphology to diagnosis and treatment. [Article in French]. Rev Pneumol Clin 2007;63(3):183–92. [CrossRef] [Pubmed]   Back to citation no. 1  

6.

Crapanzano JP, Loukeris K, Borczuk AC, Saqi A. Cytological, histological, and immunohistochemical findings of pulmonary carcinomas with basaloid features. Diagn Cytopathol 2011;39(2):92–100. [CrossRef] [Pubmed]   Back to citation no. 1  

7.

Junker K, Wiethege T, Müller KM. Pathology of small-cell lung cancer. J Cancer Res Clin Oncol 2000;126(7):361–8. [CrossRef] [Pubmed]   Back to citation no. 1  

8.

Bhagavathi S, Chang CH. Multicentric basaloid carcinoma of lung clinically mimicking metastatic carcinoma: A case report. Int J Surg Pathol 2009;17(1):68–71. [CrossRef] [Pubmed]   Back to citation no. 1  

9.

Inayama Y, Yoshida T, Hayashi H, et al. Cytology of basaloid squamous carcinoma of the bronchus. A case report. Acta Cytol 2002;46(6):1148–52. [CrossRef] [Pubmed]   Back to citation no. 1  

10.

Maki R, Sugita S, Ono Y, et al. p40 negative basaloid squamous cell carcinoma of the lung; Report of a case. [Article in Japanese]. Kyobu Geka 2018;71(7):547–50. [Pubmed]   Back to citation no. 1  

11.

Nagakawa H, Hiroshima K, Takiguchi Y, et al. Basaloid squamous-cell carcinoma of the lung in a young woman. Int J Clin Oncol 2006;11(1):66–8. [CrossRef] [Pubmed]   Back to citation no. 1  

12.

Ro YS, Park JH, Park CK, Lee CW. Basaloid carcinoma of the lung presenting concurrently with cutaneous metastasis. J Am Acad Dermatol 2003;49(3):523–6. [CrossRef] [Pubmed]   Back to citation no. 1  

13.

Chou T. MTE02.02 update on WHO classification and staging of lung cancer. Journal of Thoracic Oncology 2018;13(10):S208. [CrossRef]   Back to citation no. 1  

14.

Maleki Z. Diagnostic issues with cytopathologic interpretation of lung neoplasms displaying high-grade basaloid or neuroendocrine morphology. Diagn Cytopathol 2011;39(3):159–67. [CrossRef] [Pubmed]   Back to citation no. 1  

15.

Carney JM, Kraynie AM, Roggli VL. Immunostaining in lung cancer for the clinician. Commonly used markers for differentiating primary and metastatic pulmonary tumors. Ann Am Thorac Soc 2015;12(3):429–5. [Pubmed]   Back to citation no. 1  

16.

Mishra P, Patra S, Purkait S, et al. PUB084 unusual morphological variants of lung tumors – a diagnostic challenge: A short series from Eastern India. Journal of Thoracic Oncology 2017;12(11):S2393–S4. [CrossRef]   Back to citation no. 1  

17.

He SR, Bai YP, Gong H, et al. Cytology of basaloid squamous cell carcinoma and small cell carcinoma of lung: A comparative study. [Article in Chinese]. Zhonghua Bing Li Xue Za Zhi 2016;45(4):237–42. [CrossRef] [Pubmed]   Back to citation no. 1  

18.

Kalhor N, Zander DS, Liu J. TTF-1 and p63 for distinguishing pulmonary small-cell carcinoma from poorly differentiated squamous cell carcinoma in previously pap-stained cytologic material. Mod Pathol 2006;19(8):1117–23. [CrossRef] [Pubmed]   Back to citation no. 1  

19.

Travis WD, Brambilla E, Nicholson AG, et al. The 2015 World Health Organization classification of lung tumors: Impact of genetic, clinical and radiologic advances since the 2004 classification. J Thorac Oncol 2015;10(9):1243–60. [CrossRef] [Pubmed]   Back to citation no. 1  

20.

Wu M, Wang B, Gil J, et al. p63 and TTF-1 immunostaining. A useful marker panel for distinguishing small cell carcinoma of lung from poorly differentiated squamous cell carcinoma of lung. Am J Clin Pathol 2003;119(5):696–702. [CrossRef] [Pubmed]   Back to citation no. 1  

21.

Zhang H, Liu J, Cagle PT, Allen TC, Laga AC, Zander DS. Distinction of pulmonary small cell carcinoma from poorly differentiated squamous cell carcinoma: An immunohistochemical approach. Mod Pathol 2005;18(1):111–8. [CrossRef] [Pubmed]   Back to citation no. 1  

22.

Zhang C, Schmidt LA, Hatanaka K, Thomas D, Lagstein A, Myers JL. Evaluation of napsin A, TTF-1, p63, p40, and CK5/6 immunohistochemical stains in pulmonary neuroendocrine tumors. Am J Clin Pathol 2014;142(3):320–4. [CrossRef] [Pubmed]   Back to citation no. 1  

23.

Ilie M, Falk AT, Butori C, et al. PD-L1 expression in basaloid squamous cell lung carcinoma: Relationship to PD-1 + and CD8 + tumor-infiltrating T cells and outcome. Mod Pathol 2016;29(12):1552–64. [CrossRef] [Pubmed]   Back to citation no. 1  

24.

Brahmer J, Reckamp KL, Baas P, et al. Nivolumab versus docetaxel in advanced squamous-cell non-small-cell lung cancer. N Engl J Med 2015;373(2):123–35. [CrossRef] [Pubmed]   Back to citation no. 1  

SUPPORTING INFORMATION


Acknowledgments

Dr. A Pasupathy for slides from Pathology North.

Author Contributions

Prajwol Shrestha - Conception of the work, Design of the work, Acquisition of data, Drafting the work, Revising the work critically for important intellectual content, Final approval of the version to be published, Agree to be accountable for all aspects of the work in ensuring that questions related to the accuracy or integrity of any part of the work are appropriately investigated and resolved.

Laura Mackenzie - Conception of the work, Design of the work, Acquisition of data, Drafting the work, Revising the work critically for important intellectual content, Final approval of the version to be published, Agree to be accountable for all aspects of the work in ensuring that questions related to the accuracy or integrity of any part of the work are appropriately investigated and resolved.

Karan Taneja - Acquisition of data, Drafting the work, Final approval of the version to be published, Agree to be accountable for all aspects of the work in ensuring that questions related to the accuracy or integrity of any part of the work are appropriately investigated and resolved.

Mathew Kattathra George - Conception of the work, Design of the work, Revising the work critically for important intellectual content, Final approval of the version to be published, Agree to be accountable for all aspects of the work in ensuring that questions related to the accuracy or integrity of any part of the work are appropriately investigated and resolved.

Sunil Rai - Conception of the work, Design of the work, Acquisition of data, Drafting the work, Revising the work critically for important intellectual content, Final approval of the version to be published, Agree to be accountable for all aspects of the work in ensuring that questions related to the accuracy or integrity of any part of the work are appropriately investigated and resolved.

Source of Support

None

Consent Statement

Written informed consent was obtained from the patient for publication of this article.

Data Availability

All relevant data are within the paper and its Supporting Information files.

Conflict of Interest

Authors declare no conflict of interest.

Copyright

© 2020 Prajwol Shrestha et al. This article is distributed under the terms of Creative Commons Attribution License which permits unrestricted use, distribution and reproduction in any medium provided the original author(s) and original publisher are properly credited. Please see the copyright policy on the journal website for more information.