Case Report


Common cancer, puzzling presentation: A report of endometrial cancer presenting as an obstructive duodenal mass

,  ,  ,  ,  

1 Cleveland Clinic Women’s Health Institute, Department of OBGYN, Cleveland, Ohio, USA

2 Cleveland Clinic Women’s Health Institute, Division of Gynecologic Oncology, Cleveland, Ohio, USA

3 Cleveland Clinic, Robert J. Tomsich Pathology and Laboratory Medicine Institute, Cleveland, Ohio, USA

Address correspondence to:

Ji Son

MD, MS, 9500 Euclid Ave, Desk A81, Cleveland, Ohio 44195,

USA

Message to Corresponding Author


Article ID: 100067Z10JS2020

doi: 10.5348/100067Z10JS2020CR

Access full text article on other devices

Access PDF of article on other devices

How to cite this article

Son J, Das D, Connor E, Pannunzio A, Michener CM. Common cancer, puzzling presentation: A report of endometrial cancer presenting as an obstructive duodenal mass. J Case Rep Images Oncology 2020;6:100067Z10JS2020.

ABSTRACT


The risk of extrauterine spread in endometrial cancer depends on the histologic type and grade. Metastatic endometrial cancer typically follows a predictable pattern of spread, favoring the lymphatic route. We report an unusual case of a patient with International Federation of Gynecology and Obstetrics (FIGO) grade 2 endometrioid endometrial cancer who presented with an obstructive duodenal mass with no other preoperative evidence of disease. Available diagnostic data suggested a possible second primary cancer. Upon entering the abdomen, it became apparent that the duodenal mass was a metastatic focus. The final pathology revealed a high-grade serous component. Underestimation of endometrial biopsy, failure of diagnostic imaging, and the nonspecificity of fine needle aspiration led to diagnostic difficulty. Staging laparoscopy may be useful in such cases.

Keywords: Duodenal mass, Metastatic endometrial cancer, Staging laparoscopy

Introduction


Endometrial cancer (EC) is the most common gynecologic malignancy in the United States. An estimated 61,880 new cases were diagnosed in 2019, and 12,160 women died of the disease [1]. Endometrial cancer presents early as abnormal postmenopausal bleeding (PMB), and majority of patients (75%) have Stage I disease confined to the uterus at the time of diagnosis [2]. For endometrioid EC, the risk of nodal metastasis is associated with tumor size, grade, and myometrial invasion. In contrast, the risk in high grade EC is only correlated with positive lymphovascular space invasion (LVSI) [3]. Typically, these cancers will metastasize to the pelvic lymph nodes followed by spread to the para-aortic nodal beds. Other typical sites of metastasis include the adnexa, the peritoneum, and the lungs. Atypical sites include extra-abdominal lymph nodes, liver, adrenals, brain, bones, and soft tissues [4].

Case Report


A 63-year-old female with one week history of PMB and a subsequent endometrial biopsy (EMB) showing FIGO grade 2 endometrioid EC was transferred from outside hospital with duodenal obstruction. Computed tomography (CT) showed narrowing of the third portion of the duodenum and mild inflammatory changes within the retroperitoneum (Figure 1). The image was otherwise unremarkable with no evidence of lymphadenopathy or intraperitoneal disease. Esophagogastroduodenoscopy (EGD) with endoscopic ultrasound showed a 3 cm cystic mass external to the duodenum at the level of the pancreas. Fine needle aspiration (FNA) was consistent with adenocarcinoma but the origin of disease could not be identified. Preoperative CA 125, which may correlate with extrauterine spread [5], was slightly above normal at 48 U/mL. Given the relatively low grade of the EC, which has a 5–9% rate of metastasis at diagnosis [6], an isolated mass obstructing the duodenum favored a second primary cancer rather than metastasis. A plan was made to proceed with joint staging by the Gynecologic and Surgical Oncology teams.

Intraoperatively, the uterus was firm with tumor invading the serosa at the right cornua. There was no evidence of intraperitoneal disease. On retroperitoneal dissection, however, extensive fibrotic lymphadenopathy was found from the right obturator into the para-aortic lymph nodes toward the renal vessels, suggestive of metastasis. Given the low probability of complete resection without a Whipple pancreaticoduodenectomy, decision was made to delay further resection in favor of expediting chemotherapy. Staging surgery was performed (hysterectomy, bilateral salpingo-oophorectomy, pelvic, and para-aortic lymphadenectomy) in addition to placement of gastrostomy and jejunostomy tubes for symptomatic relief of the duodenal obstruction.

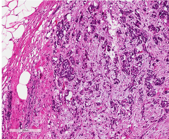
Final pathology of the retroperitoneal mass revealed uterine papillary serous carcinoma (UPSC, Figure 2). The hysterectomy specimen showed mixed serous and endometrioid carcinoma, 3.2 cm in size, invading the full thickness of the myometrium, serosa, and surface of bilateral ovaries. Pelvic and para-aortic nodes were positive. Pathology suggested that the high-grade serous component of the mixed EC had metastasized lymphatically to cause the external compression of the duodenum. Due to complete obstruction, the patient required enteral feeding postoperatively. Postoperative chemotherapy plan consisted of Carboplatin AUC6, Taxol 175 mg/m2 on a standard 21-day cycle. However, the patient experienced rapidly progressive disease limiting her therapy. She entered hospice care within three months of surgery and passed.

Figure 1: CT abdomen and pelvis with contrast showing a 3 cm mass (arrow) causing an external compression of the duodenum resulting in downstream obstruction (arrow head).

Share Image:

Figure 2: H&E staining of duodenal surface metastasis with high-grade nuclei consistent with endometrial serous carcinoma (10× magnification).

Share Image:

Discussion


Herein, we report the initial presentation of metastatic EC with PMB and a duodenal mass, which is a rare finding given the usual early diagnosis of EC and the predictability of the pattern of spread. Preoperative detection of extrauterine spread depends on symptomatology and clinical concern for metastatic disease. When suspicion for metastasis is high, CT, magnetic resonance imaging (MRI), or positron emission tomography/computed tomography (PET/CT) may be useful. However, for most patients undergoing definitive treatment of EC, histologic information from EMB with or without endocervical curettage is sufficient, particularly in low-grade carcinomas.

When a pancreatic mass is found on imaging, the National Comprehensive Cancer Network guidelines suggest endoscopic ultrasonography and FNA to confirm primary site of involvement [7]. Fine needle aspiration has several limitations including difficulty in assessing the adequacy of sampling and limited diagnostic accuracy of cytology alone. While an endoscopic core biopsy is available, its use is not recommended beyond the apex of the duodenal bulb, which was the case in our patient. While CT-guided biopsy is generally not recommended due to low diagnostic yield, a staging laparoscopy can be considered.

Staging surgery is recommended for majority of patients with EC. In advanced stage EC, complete cytoreduction to no gross residual disease is associated with superior overall survival. A meta-analysis of 672 patients by Barlin et al. found that each 10% increase in the percentage of patients undergoing complete cytoreduction improved survival by 9.3 months, and there was significance toward improved survival with decreasing size of residual disease [8]. Similar findings in favor of cytoreduction in advanced stage EC have been reported in smaller studies [3],[9]. For patients with unresectable disease or those who are poor surgical candidates, neoadjuvant treatment may be considered. While non-inferiority of neoadjuvant chemotherapy followed by complete interval debulking versus primary surgery has been shown in stage IIIC/IV ovarian cancer [10], such data are lacking in EC. Chemotherapy regimens in this case are extrapolated from data for the treatment of primary disease.

For our patient, factors that suggested retroperitoneal metastasis include inflammatory distortion in the retroperitoneum on CT. On final pathology, the patient’s risk factors for extrauterine spread included serous histology, tumor size greater than 2 cm, greater than 50% myometrial invasion, adnexal involvement, and positive LVSI. Unfortunately these features are not always known preoperatively as EMB can underestimate tumor grade compared to dilation and curettage [11]. Importantly, the metastatic component in this case was FIGO grade 3, which is associated with up to 23% risk of para-aortic node involvement [6]. Additionally, low specificity of diagnostic imaging and the FNA led to the diagnostic difficulty. Staging laparoscopy may be useful for such cases in which work up is conflicting. In this case, complete resection of the mass was not possible, and neoadjuvant chemotherapy was favored. Further research is warranted regarding predictors of resectability of extrauterine disease and the role for neoadjuvant therapy in advanced EC.

Conclusion


An obstructive duodenal mass without intraperitoneal disease is an unusual presentation of endometrial cancer. When diagnostic data are conflicting, staging laparoscopy may be useful.

REFERENCES


1.

Siegel RL, Miller KD, Jemal A. Cancer statistics, 2018. CA Cancer J Clin 2018;68(1):7–30. [CrossRef] [Pubmed]   Back to citation no. 1  

2.

Ries LAG, Young JL, Keel GE, Eisner MP, Lin YD, Horner MJ, editors. SEER Survival Monograph: Cancer Survival Among Adults: U.S. SEER Program, 1988–2001, Patient and Tumor Characteristics. National Cancer Institute, SEER Program, NIH Pub. No. 07-6215, Bethesda, MD, 2007.   Back to citation no. 1  

3.

Goff BA, Kato D, Schmidt RA, et al. Uterine papillary serous carcinoma: Patterns of metastatic spread. Gynecol Oncol 1994;54(3):264–8. [CrossRef] [Pubmed]   Back to citation no. 1  

4.

Kurra V, Krajewski KM, Jagannathan J, Giardino A, Berlin S, Ramaiya N. Typical and atypical metastatic sites of recurrent endometrial carcinoma. Cancer Imaging 2013;13:113–22. [CrossRef] [Pubmed]   Back to citation no. 1  

5.

Duk JM, Aalders JG, Fleuren GJ, de Bruijn HW. CA 125: A useful marker in endometrial carcinoma. Am J Obstet Gynecol 1986;155(5):1097–102. [CrossRef] [Pubmed]   Back to citation no. 1  

6.

Creasman WT, Morrow CP, Bundy BN, Homesley HD, Graham JE, Heller PB. Surgical pathologic spread patterns of endometrial cancer. A Gynecologic Oncology Group Study. Cancer 1987;60(8 Suppl):2035–41. [Pubmed]   Back to citation no. 1  

7.

Tempero MA, Malafa MP, Al-Hawary M, et al. Pancreatic adenocarcinoma, version 2.2017, NCCN clinical practice guidelines in oncology. J Natl Compr Canc Netw 2017;15(8):1028–61. [CrossRef] [Pubmed]   Back to citation no. 1  

8.

Barlin JN, Puri I, Bristow RE. Cytoreductive surgery for advanced or recurrent endometrial cancer: A meta-analysis. Gynecol Oncol 2010;118(1):14–8. [CrossRef] [Pubmed]   Back to citation no. 1  

9.

Lambrou NC, Gómez-Marín O, Mirhashemi R, et al. Optimal surgical cytoreduction in patients with Stage III and Stage IV endometrial carcinoma: A study of morbidity and survival. Gynecol Oncol 2004;93(3):653–8. [CrossRef] [Pubmed]   Back to citation no. 1  

10.

Vergote I, Tropé CG, Amant F, et al. Neoadjuvant chemotherapy or primary surgery in stage IIIC or IV ovarian cancer. N Engl J Med 2010;363(10):943–53. [CrossRef] [Pubmed]   Back to citation no. 1  

11.

Larson DM, Johnson KK, Broste SK, Krawisz BR, Kresl JJ. Comparison of D&C and office endometrial biopsy in predicting final histopathologic grade in endometrial cancer. Obstet Gynecol 1995;86(1):38–42. [CrossRef] [Pubmed]   Back to citation no. 1  

SUPPORTING INFORMATION


Author Contributions

Ji Son - Conception of the work, Design of the work, Acquisition of data, Analysis of data, Drafting the work, Revising the work critically for important intellectual content, Final approval of the version to be published, Agree to be accountable for all aspects of the work in ensuring that questions related to the accuracy or integrity of any part of the work are appropriately investigated and resolved.

Deepanjana Das - Acquisition of data, Drafting the work, Final approval of the version to be published, Agree to be accountable for all aspects of the work in ensuring that questions related to the accuracy or integrity of any part of the work are appropriately investigated and resolved.

Elizabeth Connor - Analysis of data, Revising the work critically for important intellectual content, Final approval of the version to be published, Agree to be accountable for all aspects of the work in ensuring that questions related to the accuracy or integrity of any part of the work are appropriately investigated and resolved.

Andrea Pannunzio - Acquisition of data, Analysis of data, Revising the work critically for important intellectual content, Final approval of the version to be published, Agree to be accountable for all aspects of the work in ensuring that questions related to the accuracy or integrity of any part of the work are appropriately investigated and resolved.

Chad M Michener - Conception of the work, Design of the work, Revising the work critically for important intellectual content, Final approval of the version to be published, Agree to be accountable for all aspects of the work in ensuring that questions related to the accuracy or integrity of any part of the work are appropriately investigated and resolved.

Guaranter of Submission

The corresponding author is the guarantor of submission.

Source of Support

None

Consent Statement

Because the patient is now deceased, written informed consent was obtained from the patient’s next-of-kin, her husband, for publication of this article.

Data Availability

All relevant data are within the paper and its Supporting Information files.

Conflict of Interest

Authors declare no conflict of interest.

Copyright

© 2020 Ji Son et al. This article is distributed under the terms of Creative Commons Attribution License which permits unrestricted use, distribution and reproduction in any medium provided the original author(s) and original publisher are properly credited. Please see the copyright policy on the journal website for more information.