Case Report


Gastric liposarcoma treated successfully with partial gastrectomy

,  ,  ,  ,  

1 William Beaumont Army Medical Center, Department of General Surgery, 5005 N. Piedras St, El Paso, Texas, USA

2 William Beaumont Army Medical Center, Department of Pathology, El Paso, Texas, USA

3 William Beaumont Army Medical Center, Department of Radiology, El Paso, Texas, USA

Address correspondence to:

Barret Halgas

MD, William Beaumont Army Medical Center, Department of General Surgery, 5005 N. Piedras St, El Paso, Texas 79920,

USA

Message to Corresponding Author


Article ID: 100060Z10BH2019

doi: 10.5348/100060Z10BH2019CR

Access full text article on other devices

Access PDF of article on other devices

How to cite this article

Halgas B, Viera J, MacNealy M, Huitron S, Gorrell R. Gastric liposarcoma treated successfully with partial gastrectomy. J Case Rep Images Oncology 2019;5:100060Z10BH2019.

ABSTRACT


Introduction: Liposarcoma is a malignant tumor of immature fat cells or lipoblasts most commonly occurring in the extremities or retroperitoneum, but rarely found on or within visceral organs.

Case Report: We report a case of a symptomatic gastric liposarcoma successfully diagnosed pre-operatively by imaging and immunohistochemistry ultimately treated with a partial gastrectomy.

Conclusion: This case highlights reviews the importance of preoperative tissue diagnosis, adequate resection, and a multi-disciplinary approach towards infrequently encountered tumors. Based on this experience and a review of available case reports and series, we offer safe and reasonable recommendations for the work-up and treatment of gastric liposarcomas.

Keywords: Gastrectomy, Liposarcoma, Molecular markers, Stomach

Introduction


Liposarcoma is a malignant tumor of immature fat cells or lipoblasts most commonly occurring in the extremities or retroperitoneum, but rarely found on or within visceral organs. Because the differential for primary gastrointestinal tumors is broad, a combination of cross sectional imaging and tissue analysis is often required prior to definitive treatment. Molecular markers are a useful adjunct when radiology is non-diagnostic or tissue acquisition is technically challenging. A literature review identified only 15 reported cases of a liposarcoma originating from the stomach. We review all three diagnostic modalities for these rare tumors.

Case Report


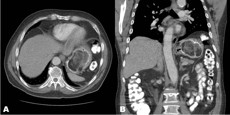
The patient is a 79-year-old male who presented to the emergency department for intermittent right upper quadrant abdominal pain with reported hematemesis and melena. His abdomen was soft and no masses were palpated. Serology was notable for a hemoglobin of 7.8 g/dl and hematocrit of 26.6%. The patient was admitted to the Internal Medicine service with the diagnosis of upper gastrointestinal bleed. Computed tomography (CT) examination with IV and PO contrast demonstrated a large mixed fat and soft tissue density intraluminal gastric mass (7.9x5.6x7.2 cm) originating from the greater curve consistent with a well-differentiated liposarcoma (Figure 1). No extraluminal extension was evident and no lymphadenopathy or metastases were present.

Subsequent endoscopy identified a large, partially obstructing submucosal gastric mass located posteriorly along the greater curvature near the fundus (Figure 2). Initial biopsy attempts were unsuccessful and non-diagnostic. Repeat biopsy was concordant with radiological findings and revealed a well-differentiated fatty neoplasm with MDM2 amplification on tissue section.

The patient was appropriately counseled and underwent an exploratory laparotomy. The pancreas and adjacent structures had no tumor involvement. The mass was localized to the greater curvature, with sufficient sparing of the gastric cardia and fundus to perform a sub-total gastrectomy and Roux-en-Y gastrojejunostomy reconstruction.

Final histopathological examination of the resection specimen revealed a 7.5 cm well-differentiated adipocytic neoplasm that did not extend to the surgical margins. The neoplasm had mature adipose tissue with variably-sized adipocytes, scattered nuclear atypia, bands of fibrous septa, and foci of chronic lymphohistiocytic inflammation (Figure 3). Necrosis was not present and there was less than one mitotic figure per ten high powered fields examined. Biopsy material showed MDM2 amplification within the neoplasm. The overall findings were consistent with a well-differentiated liposarcoma, histologic grade 1.

The patient’s post-operative course was uneventful and he was discharged five days later in stable condition. The patient did not undergo any adjuvant treatment. At the time of this report, the patient had a six month surveillance CT scan and upper GI endoscopy without evidence of recurrence. He was doing well clinically and was disease-free after one year of follow-up.

Figure 1: (A) Contrast-enhanced CT axial and (B) Coronal reformation images. Encapsulated intraluminal gastric mass arising from the greater curvature, 7.9x5.6x7.2 cm, with macroscopic fat and multiple thick internal septa, characteristic of a well-differentiated liposarcoma.

Share Image:

Figure 2: Submucosal gastric mass on upper endoscopy.

Share Image:

Figure 3: (A) Mature adipose tissue with variably sized adipocytes and thin fibrous septa (4x view) (B) Nuclear atypia view at 40x.

Share Image:

Discussion


Gastric liposarcoma was first described by Abrams and Tuberville in 1941 [1]. These tumors are rare, comprising only 1–3% of all gastric malignancies [2]. Sarcomas are typically diagnosed in extremities or the retroperitoneum; they rarely originate from visceral organs. Intra-abdominal sarcomas account for only 2% of all sarcomas [3] and there are 15 case reports published and available on gastric liposarcomas [4]. Mortality and overall prognosis depends largely on histological staging and location of the tumor. Tumors arising from visceral organs tend to carry a higher mortality rate compared to isolated extremity tumors [5]. Local recurrence can be as high as 60–100% at five years [6],[7]. Distant metastasis depends largely on the grade of the sarcoma.

Patients are typically asymptomatic until intraluminal growth causes mass effect and eventually ulceration and hemorrhage. Symptoms range from vague abdominal pain, dyspepsia, and early satiety to profound hematemesis [8],[9]. The stomach can accommodate a large amount of growth and diagnosis is often delayed until the tumors are quite large.

Several factors influence the diagnostic value of esophagogastroduodenoscopy (EGD) with biopsy. Tumor location, extra-luminal growth, and degree of differentiation can lead to false negative results [10]. Our first biopsy attempt only sampled the overlying mucosa showing evidence of chronic superficial gastritis on histopathology. Our second attempt was more successful; the tissue sample initially appeared to represent a benign gastric lipoma. MDM2 and CDK4 immunostainings are both useful adjuncts when the histology is equivocal, particularly when there is radiology-pathology discordance, as in our case. MDM2 gene amplification has a 97% sensitivity and 83% specificity distinguishing between well-differentiated liposarcomas and benign adipose tumors [11]. Endoscopic ultrasound-guided biopsy or imaging-guided percutaneous biopsy may be required when tumor growth is primary extra-luminal.

Lipomas and well-differentiated liposarcomas of the GI tract, and elsewhere, have characteristic imaging features on cross-sectional imaging. Simple lipomas demonstrate uniform fat attenuation on CT imaging, ranging -120 to -70 Hounsfield units [12]. On magnetic resonance (MR) imaging, they have homogenous fat signal, with high signal intensity on T1- and T2-weighted sequences and decreased signal intensity on fat-suppressed sequences [13]. Well-differentiated liposarcomas appear on CT and MR imaging as lipomas with additional non-fatty tissues, such as thin, thick (>2 mm), or irregular septa, nodular soft-tissue, foci of T2 hyperintensity on fatsaturated sequences, or thin blood vessels and have little, if any, enhancement [14],[15]. Distinguishing a simple lipoma from a well-differentiated liposarcoma may be complicated by the presence of a few thin septa or foci of T2 hyperintensity, which can be observed in both entities [13]. In one series, MR imaging had 100% specificity in the diagnosis of simple lipomas and, for welldifferentiated lipomas, a sensitivity of 100%, specificity of 83%, accuracy of 84%, positive predictive value of 38%, and negative predictive value of 100% [13].

Over time, the non-fatty tissues of a well-differentiated liposarcoma may dedifferentiate into other sarcomatous components (most frequently high-grade pleomorphic sarcoma) [7]. These dedifferentiated liposarcomas are heterogeneous masses on CT and MR imaging, having both fatty and substantial non-fatty soft-tissue components [15]. Typically, though not always, there is distinct marginationbetween the fatty and nonfatty tissues. Calcification and ossification may also be observed, suggesting osteosarcomatous dedifferentiation [7]. In contrast to well-differentiated liposarcomas, which do not metastasize, dedifferentiated liposarcomas are known to metastasize in 15–20% of cases, most commonly spreading to the liver and lungs, though also to the peritoneum [7]. For those lesions followed by serial CT and/or MR imaging, dedifferentiation of a welldifferentiated liposarcoma can be identified as an interval increase in non-fatty tissue components [7].

Myxoidliposarcoma variant is almost exclusively seen in the extremities and may or may not have areas of fat within its predominantly cystic-appearing myxoid matrix [14]. Pleomorphic liposarcomas typically have no fatty components on CT or MR imaging and, as such, they have no specific imaging features that allow differentiation from other sarcomas [15].

Partial or total gastrectomy with adequate margins is the standard of care for these patients [16],[17]. The extent of dissection depends on the ability to achieve wide margins of healthy tissue for an R0 resection [10]. Even for well-differentiated sarcomas that have lower local recurrence rates, five year disease-free survival is worse in the setting of microscopically-positive margins [6]. Frozen sections have been used successfully to ensure disease-free margins [5]. Several surgeons from Japan describe their experience performing laparoscopic intragastric surgery for a 5 cm tumor in the gastric fundus, however their margins were positive and the patient eventually required a total gastrectomy [6]. Intragastric surgery is best suited for well-encapsulated, submucosal lesions in close proximity to the gastro-esophageal junction. Laparoscopic and endoscopic cooperative surgery (LECS) is a hybrid minimally invasive approach that has also been described [16] although indications for use over traditional operative techniques remain unclear. Enucleation is not appropriate when there is a high clinical suspicion for malignancy [18]. Currently there is no supportive evidence for or against post-operative chemotherapy or radiation [5].

Conclusion


The bulk of clinically relevant information is from decades of case reports on the subject. Based on the reviewed literature and our own experience, we offer the following guidance: 1. Accurate diagnosis depends largely on CT or MR imaging and histochemical markers. Every effort should be made to provide an adequate tissue sample whenever possible. 2. Operative resection remains the mainstay of treatment, however the particular approach should be tailored based on patient physiology and the ability to obtain negative margins. 3. Although post-operative chemotherapy and radiation have been described, they are not standardized and each case should be presented at a multi-disciplinary conference for expert discussion.

 

Disclaimer

The views expressed in this document are those of the authors and do not reflect the official policy of William Beaumont Army Medical Center, the Department of the Army, or the United States Government.

REFERENCES


1.

Hohf RP, Engel KL, Capos NJ. Liposarcoma of the stomach. Ann Surg 1955;142(6):1029–33. [Pubmed]   Back to citation no. 1  

2.

Ferrozzi F, Bova D, Garlaschi G. Gastric liposarcoma: CT appearance. Abdom Imaging 1993;18(3):232–3. [Pubmed]   Back to citation no. 1  

3.

Frank P, Batzenschlager A, Schaeffer F, Irrmann M. Therapeutic problems of intra-abdominal liposarcoma. [Article in French]. Chirurgie 1989;115(7):446–55. [Pubmed]   Back to citation no. 1  

4.

Kim MJ, Gu MJ, Choi JH, Kim SW, Kim KO. Gastric liposarcoma presenting as a huge pedunculated polyp. Endoscopy 2014;46 Suppl 1 UCTN:441–2. [CrossRef] [Pubmed]   Back to citation no. 1  

5.

Matone J, Okazaki S, Maccapani G, Amancio TT, Filippi RZ, Macedo AL. Giant gastric lipossarcoma: Case report and review of the literature. [Article in Portuguese]. Einstein (Sao Paulo) 2016;14(4):557–60. [CrossRef] [Pubmed]   Back to citation no. 1  

6.

Tomofuji K, Watanabe J, Ishida N, Kajiwara S. Gastric liposarcoma resected by laparoscopic total gastrectomy to achieve a wide surgical margin. BMJ Case Rep 2017;2017. [CrossRef] [Pubmed]   Back to citation no. 1  

7.

O’Regan KN, Jagannathan J, Krajewski K, et al. Imaging of liposarcoma: Classification, patterns of tumor recurrence, and response to treatment. AJR Am J of Roentgenol 2011;(1)197:W37–43. [CrossRef] [Pubmed]   Back to citation no. 1  

8.

Hamdane MM, Brahim EB, Salah MB, Haouas N, Bouhafa A, Chedly-Debbiche A. Giant gastric lipoma mimicking well-differentiated liposarcoma. Gastroenterol Hepatol Bed Bench 2012;5(1):60–3. [Pubmed]   Back to citation no. 1  

9.

Tepetes K, Christodoulidis G, Spyridakis ME, Nakou M, Koukoulis G, Hatzitheofiou K. Liposarcoma of the stomach: A rare case report. World J Gastroenterol 2007;13(30):4154–5. [CrossRef] [Pubmed]   Back to citation no. 1  

10.

Elhjouji A, Jaiteh L, Mahfoud T, et al. Giant gastric liposarcoma: A fatal exceptional location. J Gastrointes Cancer 2016;47(4):482–5. [CrossRef] [Pubmed]   Back to citation no. 1  

11.

Binh M, Sastre-Garau X, Guillou L, et al. MDM2 and CDK4 immunostainings are useful adjuncts in diagnosing well-differentiated and dedifferentiated liposarcoma subtypes: A comparative analysis of 559 soft tissue neoplasms with genetic data. Am J Surg Pathol 2005;29(10):1340–7. [Pubmed]   Back to citation no. 1  

12.

Kang HC, Menias CO, Gaballah AH, et al. Beyond the GIST. Mesenchymal tumors of the stomach. Radiographics 2013;33(6):1673–90. [CrossRef] [Pubmed]   Back to citation no. 1  

13.

Gaskin CM, Helms CA. Lipomas, lipoma variants, and well-differentiated liposarcomas (atypical lipomas): Results of MRI evaluations of 126 consecutive fatty masses. AJR Am J Roentgenol 2004;182(3):733–9. [CrossRef] [Pubmed]   Back to citation no. 1  

14.

Ferrozzi F, Tognini G, Bova D, Pavone P. Lipomatous tumors of the stomach: CT findings and differential diagnosis. J Comput Assist Tomogr 2000;24(6):854–8. [Pubmed]   Back to citation no. 1  

15.

Levy AD, Manning MA, Al-Refaie WB, Miettinen MM. Soft-tissue sarcomas of the abdomen and pelvis: Radiologic-pathologic features, part 1-common sarcomas: From the radiologic pathology archives. Radiographics 2017;37(2):462–83. [CrossRef] [Pubmed]   Back to citation no. 1  

16.

Hisata Y, Tasaki Y, Kozaki S, Yamada T. A case of dedifferentiated liposarcoma of the heart and stomach. Int J Surg Case Rep 2017;41:36–8. [CrossRef] [Pubmed]   Back to citation no. 1  

17.

Seki K, Hasegawa T, Konegawa R, Hizawa K, Sano T. Primary liposarcoma of the stomach: A case report and a review of the literature. Jpn J Clin Oncol 1998;28(4):284–8. [Pubmed]   Back to citation no. 1  

18.

Termos S, Reslan O, Alqabandi O, et al. Giant gastric lipoma presenting as GI bleed: Enucleation or resection? Int J Surg Case Rep 2017;(41):39–42. [CrossRef] [Pubmed]   Back to citation no. 1  

SUPPORTING INFORMATION


Author Contributions

Barret Halgas - Conception of the work, Design of the work, Acquisition of data, Analysis of data, Drafting the work, Revising the work critically for important intellectual content, Final approval of the version to be published, Agree to be accountable for all aspects of the work in ensuring that questions related to the accuracy or integrity of any part of the work are appropriately investigated and resolved.

Jennifer Viera - Conception of the work, Design of the work, Acquisition of data, Analysis of data, Drafting the work, Revising the work critically for important intellectual content, Final approval of the version to be published, Agree to be accountable for all aspects of the work in ensuring that questions related to the accuracy or integrity of any part of the work are appropriately investigated and resolved.

Marcus MacNealy - Conception of the work, Design of the work, Acquisition of data, Analysis of data, Drafting the work, Final approval of the version to be published, Agree to be accountable for all aspects of the work in ensuring that questions related to the accuracy or integrity of any part of the work are appropriately investigated and resolved.

Sonny Huitron - Acquisition of data, Analysis of data, Drafting the work, Revising the work critically for important intellectual content, Final approval of the version to be published, Agree to be accountable for all aspects of the work in ensuring that questions related to the accuracy or integrity of any part of the work are appropriately investigated and resolved.

Robert Gorrell - Conception of the work, Design of the work, Drafting the work, Revising the work critically for important intellectual content, Final approval of the version to be published, Agree to be accountable for all aspects of the work in ensuring that questions related to the accuracy or integrity of any part of the work are appropriately investigated and resolved.

Guaranter of Submission

The corresponding author is the guarantor of submission.

Source of Support

None

Consent Statement

Written informed consent was obtained from the patient for publication of this article.

Data Availability

All relevant data are within the paper and its Supporting Information files.

Conflict of Interest

Authors declare no conflict of interest.

Copyright

© 2019 Barret Halgas et al. This article is distributed under the terms of Creative Commons Attribution License which permits unrestricted use, distribution and reproduction in any medium provided the original author(s) and original publisher are properly credited. Please see the copyright policy on the journal website for more information.