Case Report


Adjuvant chemotherapy and radiation therapy in the first trimester of a pregnant woman with breast cancer: A case report

,  ,  ,  

1 Division of Oncology and Hematology, Department of Internal Medicine, Konyang University Hospital, 158, Gwanjeo-dong-ro, Seo-gu, Daejeon, Korea

Address correspondence to:

Do Yeun Cho

Associate Professor at Division of Hematology and Oncology, Department of Internal Medicine, Konyang University Hospital, 158, Gwanjeo- dong-ro, Seo-gu, Daejeon 302-718,

Korea

Message to Corresponding Author


Article ID: 100058Z10JC2018

doi: 10.5348/100058Z10JC2018CR

Access full text article on other devices

Access PDF of article on other devices

How to cite this article

Choi JG, Baek SW, Jang TS, Cho DY. Adjuvant chemotherapy and radiation therapy in the first trimester of a pregnant woman with breast cancer: A case report. J Case Rep Images Oncology 2018;4:100058Z10JC2018.

ABSTRACT


Introduction: Breast cancer is the second most common malignancy in pregnant women. Overall, the possibility of breast cancer during pregnancy is increasing due to a trend for women to delay childbearing. Despite the growing number of women with breast cancer during pregnancy, few case reports describe chemotherapy during pregnancy. Chemotherapy during the first trimester increases the risk of spontaneous abortion, fetal death, and major malformations with birth defects. However, the risk of chemotherapy for the fetus seems relatively low when administered in the second and third trimesters of pregnancy.

Case Report: We report a case of a pregnant patient with breast cancer who was treated with adjuvant chemotherapy followed by radiation therapy during the first trimester and delivered a baby without fetal malformations or growth retardation. The 34-year-old woman with stage IIA breast cancer received adjuvant chemotherapy and radiation therapy after undergoing lumpectomy and lymph node dissection. The pregnancy was incidentally diagnosed during a postoperative computed tomography (CT) scan conducted 32 weeks after surgery. Obstetric examination revealed a gestational age of 29 weeks and no findings of specific deformations. Following consultation with our multidisciplinary team and in consideration of the needs of the patient, her family, and the condition of the fetus, the pregnancy was not terminated. The patient gave birth to a healthy baby at 36 weeks of pregnancy.

Conclusion: This case serves as a reminder that birth can be considered even if chemotherapy is administered during the first trimester of pregnancy.

Keywords: Breast cancer, Chemotherapy, Pregnancy, Radiation therapy

Introduction


Breast cancer is the second-most common malignancy in pregnant women after cervical cancer. The increase in maternal age at the first pregnancy has led to increased rates of cancer during pregnancy. The prevalence of pregnancy-associated breast cancer is approximately 1 in 3,000 to 1 in 10,000, and delayed diagnosis results in a more rapid disease course and worse prognosis because patients are usually diagnosed at an advanced stage [1].

Fertile women with cancer are generally informed that they should avoid pregnancy before or during chemotherapy because of the fetal risks associated with treatment. Pregnancy diagnosis during chemotherapy is difficult because the treatment causes impaired menstruation or amenorrhea. The incidence of pregnancy during chemotherapy among patients with breast cancer is extremely low. Several factors have to be considered in the diagnosis and treatment of pregnant patients with breast cancer such as the disease stage, hormone receptor status, trimester, tumor location, overall health, and personal preference. Chemotherapy is usually delayed until the second trimester. Studies on the effects of chemotherapy on the fetus during pregnancy are limited and available data are insufficient to form solid conclusions. However, chemotherapy can be administered during the second and third trimesters or after delivery because certain chemotherapy drugs do not increase the risks of congenital malformation, spontaneous abortion, or fetal death, although they may increase the risk of early delivery [2],[3].

However, if a patient undergoing chemotherapy is diagnosed with pregnancy in her first trimester, which is a high-risk period for fetal safety, deciding on the appropriate treatment strategy can be challenging due to the lack of clinical guidelines for such cases. We report a case of a patient who was found to be pregnant after she had already received postoperative chemotherapy (four cycles of doxorubicin plus cyclophosphamide) and radiation therapy (6,600 cGy total dose in 33 fractions) for breast cancer during the first trimester. Although she delivered a premature child, the baby had no fetal malformations and its growth was normal.

Case Report


A 34-year-old woman with stage IIA (pT2N0M0) estrogen receptor-positive, progesterone receptor-negative, and human epidermal receptor 2/neunegative right breast cancer. She underwent lumpectomy and lymph node dissection on the right side at another hospital and was transferred to our hospital for adjuvant chemotherapy. She took medications for hypothyroidism. A serum beta human chorionic gonadotropin (hCG) test for pregnancy was not conducted as she had normal menstruation and no pregnancy potential before starting chemotherapy. Four cycles of adjuvant chemotherapy (doxorubicin plus cyclophosphamide) were administered plus adjuvant radiation therapy (total dose: 6,600 cGy in 33 fractions) with protective shielding of the abdomen. However, the patient did not inform the medical staff of her amenorrhea and believed it to be a side effect of the chemotherapy. During radiation therapy, she noted abdominal distension with an increased abdominal circumference. She thought this was due to weight gain rather than pregnancy.

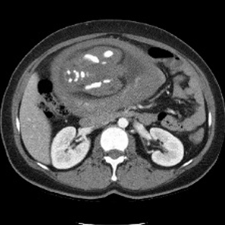
After completing radiation therapy, the patient visited our oncology clinic for a physical examination to evaluate her treatment response. Her vital signs were normal (blood pressure: 120/89 mmHg; pulse rate: 65 times/min; respiratory rate: 16 times/min; and body temperature: 37.4°C). She was clearly alert, but pale conjunctiva was noted on physical examination of the head and neck region. Her heart sounds were normal on chest auscultation, and her breathing sounds were also normal. No mass, tenderness, or rebound tenderness were found on abdominal examination except that abdominal distension was observed. The liver and spleen were not palpable, but the lower abdomen was soft and was slightly hard on palpation. No other abnormal findings, such as pretibial pitting edema, were observed. A peripheral blood test showed that the hemoglobin level had decreased to 10.9 g/dL (mean corpuscular volume, 85.0 fL; mean corpuscular hemoglobin, 28.0 pg; and mean corpuscular hemoglobin concentration, 32.9 g/ dL). Other values were as follows: white blood cell count, 10,000/μL; neutrophil, 81.7%; platelet, 224,000/μL; and erythrocyte sedimentation rate, 30 mm/hr. Blood chemistry for liver and renal function was normal and no other abnormal findings were noted. No findings of residual cancer were noted on imaging studies, but a fetal outline was observed on chest CT imaging conducted for response assessment at 32 weeks after surgery (Figure 1). Thus, abdominal ultrasound examination was performed and the following findings were made: biparietal diameter, 6.7 cm; head circumference, 25.3 cm; abdominal circumference, 26.3 cm; femoral length, 5.8 cm; amniotic fluid index, 9.4, and predictive fetal weight, 1,450 g. The obstetric examinations confirmed that gestational age was approximately 29 weeks and the fetus was in good condition. Although the date of last menstruation was not accurate and she did not know the conception time, considering the gestational age on ultrasound, she was estimated to have been pregnant during the early stage of adjuvant chemotherapy or immediately after surgery.

The patient had one child and requested a therapeutic abortion, but her husband wanted the pregnancy to be continued and the anticancer treatment to be resumed after delivery. The multidisciplinary team discussed whether abortion was either obstetrically possible or ethically appropriate after consultation with the obstetrician and explained to the patient and her family that abortion was dangerous and difficult. The plan to maintain the pregnancy was explained in detail. Although the fetus may have been exposed to chemotherapy in the early stage of pregnancy, fetal abnormality was not noted on ultrasonography. Thus, we decided to withhold treatment and only follow-up until delivery.

At 36 weeks and 2 days gestational age, the patient had vaginal bleeding due to placenta previa; thus, the baby was prematurely delivered via emergency caesarean section and there were no complications after surgery. Despite the premature birth, no specific deformity was found and the newborn was apparently healthy (weight, 1.79 kg; APGAR score, 5/8). The infant was examined by a pediatrician and its physiological function and blood and imaging tests were normal except for the low birth weight. A chromosome study revealed a normal 46, XX karyotype.

The patient resumed chemotherapy comprising fluorouracil plus epirubicin and cyclophosphamide for four cycles 1 month after the childbirth. Thereafter, oral hormone therapy of tamoxifen for up to 5 years was prescribed based on the time of chemotherapy completion. No evidence of recurrence was noted on follow-up and the child showed normal growth and development.

Figure 1: Intrauterine pregnancy was identified in the chest CT scan at 32 weeks after surgery.

Share Image:

Discussion


The incidence of cancer among pregnant women of advanced maternal age has been increasing. The most commonly diagnosed cancer during pregnancy is cervical cancer, followed by breast cancer. Other types include lymphoma and melanoma [1],[2].

Even if cancer is diagnosed during pregnancy, abortion is not recommended except in special circumstances. Pregnancy should not be a barrier to proper treatment because a delay in cancer treatment will have serious consequence for the mother’s health. However, treatment can be difficult when the cancer is diagnosed during pregnancy because the safety of both the mother and child should be considered.

The side effects of the chemotherapy can vary according to the period of drug exposure, dosage, lipid solubility, the amount of drug passing through the placenta, and genetic factors [3],[4]. The risk of spontaneous miscarriage, fetal death, and fetal malformations from chemotherapy is high during the first trimester, while fetal well-being is similar among those exposed to chemotherapy in the second and third trimester and those not exposed to chemotherapy during pregnancy [5],[6].

In particular, the period at which chemotherapy is administered is the most significant factor affecting the development of malformations. Those at a gestational age of 2 to 8 weeks are at the highest risk of malformations from chemotherapy because this is the period of rapid organ development. Late organogenesis occurs from weeks 9 to 38 and any chemotherapy can have significant adverse effects on physiological functions as well as mental and growth delay. Chemotherapy during the second and third trimesters is relatively safer compared to that performed in the first trimester. However, it still has a risk for delayed fetal development, and the eyes, reproductive organs, and hematopoietic and central nervous system may be vulnerable to the anti-cancer agents during this period [7]. Unlike previous studies reporting that anticancer treatment during pregnancy had various negative effects on the fetus, no significant difference in health status, cognitive and cardiac function, and postnatal growth and development was noted on long-term follow-up between the fetus with prenatal exposure to anticancer treatment and those born from healthy mothers [8]. The National Comprehensive Cancer Network guidelines recommend that chemotherapy should be similar in pregnant and non-pregnant patients with breast cancer. However, chemotherapy should not be administered at any point during the first trimester of pregnancy [9].

The US Food and Drug Administration classifies most chemotherapeutics as category D, which means that there is evidence of human fetal risk, but the potential benefits outweigh the potential risks. Category B antiemetics combined with dexamethasone can be used with chemotherapy regimens during pregnancy. Alkylating agents such as cyclophosphamide have a 13% risk for fetal complications in the first trimester, compared to only 4% during the later stages of pregnancy [10]. Cyclophosphamide administered during the first trimester can cause malformations such as syndactyly, cleft hands, and absent distal finger phalanges in the fetus [11].

A case of Klippel-Feil syndrome accompanied by the fusion of cervical vertebrae, short neck, hearing loss, genitourinary malformation, and upper limb anomalies in a fetus exposed to cyclophosphamide during the first trimester has been reported [12]. Among 156 pregnant patients with breast cancer treated with chemotherapy in a neoadjuvant or adjuvant setting, 126 received anthracycline-based chemotherapy; the remaining regimens were mainly CMF. Fetal abnormalities including bicuspid aortic valve, high arched palate, syndactyly, mental retardation, poor physical development, Down syndrome, clubfoot, and bilateral urethral reflux were observed in five fetuses(3.2%) among those exposed to chemotherapy during the first trimester [13]. Malformation of the extremities occurred in three of the 25 newborns who were exposed to doxorubicin during the first trimester (n = 1) and concomitant radiation (n = 2), which might confound the limb abnormalities seen. Fetal cardiotoxicity and growth retardation in utero can occur after administration of maternal anthracycline chemotherapy such as doxorubicin-based regimens; therefore, the potential risks on fetal health and safety are a strong contraindication for the use of anthracycline agents in the first trimester [14].

Aviles et al. studied 54 pregnant women with hematologic malignancies exposed to chemotherapy during the first trimester of pregnancy and reported that their newborns had no congenital abnormalities. Moreover, their physical, psychological, and neurological functions were normal during long-term follow-up. Because chemotherapy in the first trimester does not always lead to major fetal complications, cancers that progress rapidly such as hematologic malignancies should be considered for prompt chemotherapy with a curative goal even in the first trimester [15]. Andreadis et al. reported a case of a pregnant patient with breast cancer who received five cycles of 5-fluorouracil, epirubicin, and cyclophosphamide before conception and during the first trimester; radiation therapy (28 Gy) during the 17th week; and tamoxifen during the second and third trimesters. The patient was not aware of her pregnancy until the 28th week. She delivered a normal infant without congenital abnormalities at the 35th week of gestation via Cesarean section and the infant showed normal function after birth [16].

Nieto et al. reported a case of a pregnant woman with inflammatory breast cancer and bulky ipsilateral axillary lymphadenopathy diagnosed during her 13th gestational week of pregnancy. She wished to continue her pregnancy and accepted neoadjuvant chemotherapy with four cycles of 5-fluorouracil, doxorubicin, and cyclophosphamide starting on the 13th week of pregnancy. Her treatment was then switched to four cycles of docetaxel on the 25th week of pregnancy. The patient delivered a healthy boy at 39 weeks of gestation and subsequently underwent modified radical mastectomy and was prescribed with hormone therapy thereafter [17]. Among 160 cancer patients, including 34 patients with breast cancer exposed to chemotherapy during pregnancy in a study cohort, 20 fetuses (71%) exposed to anthracycline chemotherapy during the first trimester showed normal physiologic and mental status [18].

Although contraceptive measures are provided to women of childbearing age during chemotherapy, they can become pregnant during cancer treatment. Therefore, although the possibility of pregnancy in such patients is low, it should be continuously evaluated regardless of menstrual status. During chemotherapy, patients with amenorrhea should be assessed through standard pregnancy tests such as serum beta hCG and alfa-fetoprotein.

In the present case, pregnancy was confirmed during the administration of postoperative adjuvant chemotherapy followed by radiation therapy, and anticancer treatment was likely delivered during the first trimester of pregnancy. Fortunately, the fetus was in good condition on antenatal consultation and so we recommended normal delivery. She delivered her child at 35 weeks and 2 days gestation and the newborn and had normal function without any specific malformation. Our case shows that continuing the pregnancy instead of a therapeutic abortion may be a good choice despite exposure to anticancer agents and radiation therapy in the first trimester. However, physicians should remember that chemotherapy administered during the first trimester increases the risk for spontaneous miscarriage, fetal death, and malformations as in previously reported cases. While some women cannot accept abortion for social reasons, others may seek to avoid the child’s lifelong pain caused by a fetus deformity.

Conclusion


In conclusion, the direction of treatment for patients with breast cancer who are pregnant in the first trimester should be determined after a thorough discussion of the risks and benefits of chemotherapy among the patient, the family, and the medical staff, with consideration of ethical issues and consequences of delaying treatment.

REFERENCES


1.

Janni W, Hepp P, Nestle-Kraemling C, et al. Treatment of pregnancy-associated breast cancer. Expert Opin Pharmacother 2009 Oct;10(14):2259–67. [CrossRef] [Pubmed]   Back to citation no. 1  

2.

Pavlidis NA. Coexistence of pregnancy and malignancy. Oncologist 2002;7(4):279–87. [Pubmed]   Back to citation no. 1  

3.

Sachdeva P, Patel BG, Patel BK. Drug use in pregnancy; a point to ponder! Indian J Pharm Sci 2009 Jan;71(1):1–7. [CrossRef] [Pubmed]   Back to citation no. 1  

4.

Ring AE, Smith IE, Jones A, Shannon C, Galani E, Ellis PA. Chemotherapy for breast cancer during pregnancy: An 18-year experience from five London teaching hospitals. J Clin Oncol 2005 Jun 20;23(18):4192–7. [CrossRef] [Pubmed]   Back to citation no. 1  

5.

Koren G, Carey N, Gagnon R, Maxwell C, Nulman I, Senikas V. Cancer chemotherapy and pregnancy. J Obstet Gynaecol Can 2013 Mar;35(3):263–78. [CrossRef] [Pubmed]   Back to citation no. 1  

6.

Hahn KM, Johnson PH, Gordon N, et al. Treatment of pregnant breast cancer patients and outcomes of children exposed to chemotherapy in utero. Cancer 2006 Sep 15;107(6):1219–26. [CrossRef] [Pubmed]   Back to citation no. 1  

7.

Cardonick E, Iacobucci A. Use of chemotherapy during human pregnancy. Lancet Oncol 2004 May;5(5):283–91. [CrossRef] [Pubmed]   Back to citation no. 1  

8.

Amant F, Vandenbroucke T, Verheecke M, et al. Pediatric Outcome after Maternal Cancer Diagnosed during Pregnancy. N Engl J Med 2015 Nov 5;373(19):1824–34. [CrossRef] [Pubmed]   Back to citation no. 1  

9.

National Comprehensive Cancer Network (NCCN). NCCN clinical practice guidelines in oncology: Breast cancer v2. 2017.   Back to citation no. 1  

10.

Woo JC, Yu T, Hurd TC. Breast cancer in pregnancy: A literature review. Arch Surg 2003 Jan;138(1):91–8. [CrossRef] [Pubmed]   Back to citation no. 1  

11.

Paskulin GA, Gazzola Zen PR, de Camargo Pinto LL, Rosa R, Graziadio C. Combined chemotherapy and teratogenicity. Birth Defects Res A Clin Mol Teratol 2005 Sep;73(9):634–7. [CrossRef] [Pubmed]   Back to citation no. 1  

12.

Lazalde B, Grijalva-Flores J, Guerrero-Romero F. Klippel-Feil syndrome in a boy exposed inadvertently to cyclophosphamide during pregnancy: A case report. Birth Defects Res A Clin Mol Teratol 2012 Apr;94(4):249–52. [CrossRef] [Pubmed]   Back to citation no. 1  

13.

Azim HA Jr, Peccatori FA, Pavlidis N. Treatment of the pregnant mother with cancer: A systematic review on the use of cytotoxic, endocrine, targeted agents and immunotherapy during pregnancy. Part I: Solid tumors. Cancer Treat Rev 2010 Apr;36(2):101–9. [CrossRef] [Pubmed]   Back to citation no. 1  

14.

Gziri MM, Amant F, Debiève F, Van Calsteren K, De Catte L, Mertens L. Effects of chemotherapy during pregnancy on the maternal and fetal heart. Prenat Diagn 2012 Jul;32(7):614–9. [CrossRef] [Pubmed]   Back to citation no. 1  

15.

Avilés A, Neri N, Nambo MJ. Hematological malignancies and pregnancy: Treat or no treat during the first trimester. Int J Cancer 2012;131(11):2678–83. [CrossRef]   Back to citation no. 1  

16.

Andreadis C, Charalampidou M, Diamantopoulos N, Chouchos N, Mouratidou D. Combined chemotherapy and radiotherapy during conception and first two trimesters of gestation in a woman with metastatic breast cancer. Gynecol Oncol 2004 Oct;95(1):252–5. [CrossRef] [Pubmed]   Back to citation no. 1  

17.

Nieto Y, Santisteban M, Aramendí JM, Fernánde-Hidalgo O, García-Manero, López G. Docetaxel administered during pregnancy for inflammatory breast carcinoma. Clin Breast Cancer 2006 Feb;6(6):533–4. [CrossRef] [Pubmed]   Back to citation no. 1  

18.

Germann N, Goffinet F, Goldwasser F. Anthracyclines during pregnancy: Embryo-fetal outcome in 160 patients. Ann Oncol 2004 Jan;15(1):146–50. [Pubmed]   Back to citation no. 1  

SUPPORTING INFORMATION


Author Contributions

Jong Gwon Choi - Substantial contributions to conception and design, Acquisition of data, Analysis of data, Interpretation of data, Drafting the article, Revising it critically for important intellectual content, Final approval of the version to be published

Seung Woo Baek - Substantial contributions to conception and design, Acquisition of data, Analysis of data, Interpretation of data, Drafting the article, Revising it critically for important intellectual content, Final approval of the version to be published

Tae Soo Jang - Substantial contributions to conception and design, Acquisition of data, Analysis of data, Interpretation of data, Drafting the article, Revising it critically for important intellectual content, Final approval of the version to be published

Do Yeun Cho - Substantial contributions to conception and design, Acquisition of data, Analysis of data, Interpretation of data, Drafting the article, Revising it critically for important intellectual content, Final approval of the version to be published

Guaranter of Submission

The corresponding author is the guarantor of submission.

Source of Support

None

Consent Statement

Written informed consent was obtained from the patient for publication of this case report.

Data Availability

All relevant data are within the paper and its Supporting Information files.

Conflict of Interest

Authors declare no conflict of interest.

Copyright

© 2018 Jong Gwon Choi et al. This article is distributed under the terms of Creative Commons Attribution License which permits unrestricted use, distribution and reproduction in any medium provided the original author(s) and original publisher are properly credited. Please see the copyright policy on the journal website for more information.


Comment on Article