Case Report


A cellular fibroepithelial tumor of the breast: A case report

,  ,  ,  ,  

1 MD, Department of Radiology, University Hospitals Leuven, Herestraat 49, 3000 Leuven, Belgium

2 MD, Department of Pathology, University Hospitals Leuven, Herestraat 49, 3000 Leuven, Belgium

3 MD, PhD, Department of Pathology, University Hospitals Leuven, Herestraat 49, 3000 Leuven, Belgium

4 MD, PhD, Department of Surgical Oncology, University Hospitals Leuven, Herestraat 49, 3000 Leuven, Belgium

5 MD, PhD, Department of Radiology, University Hospitals Leuven, Herestraat 49, 3000 Leuven, Belgium

Address correspondence to:

Vanhoenacker Anne-Sophie

MD, Department of Radiology, University Hospitals Leuven, Herestraat 49, 3000 Leuven,

Belgium.

Message to Corresponding Author


Article ID: 100082Z10VA2021

doi: 10.5348/100082Z10VA2021CR

Access full text article on other devices

Access PDF of article on other devices

How to cite this article

Vanhoenacker AS, Waumans L, Floris G, Nevelsteen I, Van Ongeval C. A cellular fibroepithelial tumor of the breast: A case report. J Case Rep Images Oncology 2021;7:100082Z10VA2021.

ABSTRACT


Introduction: Fibroepithelial breast lesions are biphasic neoplasms characterized by proliferation of both stromal and epithelial cells. They encompass a spectrum of tumors ranging from benign fibroadenoma to potentially fatal malignant phyllodes tumor, with tumors of borderline clinical significance in-between. It is important to correctly characterize each lesion, as this defines management and thus risk of local recurrence and potential distant metastasis in case of malignancy.

Case Report: A 48-year-old woman presented with a palpable retro-areolar lump in the left breast. After core biopsy, the initial pathology report initiated tumorectomy. When the final report stated a borderline phyllodes tumor with incomplete resection, reintervention was needed with wide surgical margins to avoid local recurrence. The local re-excision showed scarring and steatonecrosis as a result of the previous procedure, but no residual lesion. Consequently, there was no need for further surgical intervention.

Conclusion: Fibroepithelial lesions (FEL) of the breast are a wide variety of lesions with distinct management based on the exact pathologic character. Core needle biopsy poses a risk of sampling error due to intratumoral heterogeneity that sometimes may be found in cellular FEL. As a consequence, upgrading at the time of the excision specimen can frequently occur with need of reintervention.

Keywords: Cellular fibroadenoma, Fibroepithelial breast lesions, Periductal stromal tumor, Phyllodes tumor

Introduction


Fibroepithelial lesions (FELs) of breast are biphasic neoplasms characterized by proliferation of both stromal and epithelial cells [1]. They encompass a spectrum of tumors ranging from benign fibroadenoma (FA) to potentially fatal malignant phyllodes tumor (PT), with tumors of borderline clinical significance in-between [2]. It is important to correctly characterize each lesion, because malignant PTs may show hematogenous metastatic potential in up to 22% of the cases [3]. Benign and borderline PTs on the other hand pose a risk for local recurrence, which can show a higher grade of malignancy in up to 30% of the cases [4]. Importantly, benign and borderline PT often share morphological features with the cellular variant of FA and may arise from them, rendering the differential diagnosis extremely challenging especially on core needle biopsies. Interestingly, recent molecular evidence suggests that some PTs may directly originate from FA [5]. Eventually the different biological behaviors of the different FELs result in different approaches in management. On imaging, a FEL presents as a soft tissue mass with or without cystic components, variable margins, and vascularization. We report a case of a cellular fibroadenoma in a 48-year-old woman, upgraded to borderline phyllodes after tumorectomy.

Case Report


A 48-year-old woman presented at our institution with a palpable retro-areolar lump in the left breast. On clinical examination the lump was about 4–5 cm in size, painless, and without any skin changes or nipple retraction. No nipple discharge could be provoked. Right and left mammograms were obtained (Figure 1A, Figure 1B, Figure 1C, Figure 1D). Both breasts showed a breast imaging-reporting and data system (BI-RADS) density C. The right breast was normal. In the left breast, a mass in a retro-areolar location was visible. Other characteristics were an oval shape, high density, and circumscribed margins. Measurements were 44 × 24 × 41 mm. No calcifications or associated skin changes were seen. Additional ultrasound of the left breast showed an oval retro-areolar mass with parallel orientation in relation to the pectoral muscles (Figure 2A). The lesion showed overall circumscribed margins with a few angulations. Echo pattern was hypoechoic, with moderate internal vascularization on color Doppler and a few small cystic components (Figure 2B and Figure 2C). The lesion showed slight posterior enhancement. Measurements were 45 × 19 × 41 mm (Figure 2B, Figure 2C, Figure 2D). No axillary lymphadenopathy was identified. Due to age and the presence of a new palpable soft tissue mass additional, core biopsy (3 × 18 Gauge) was performed and BI-RADS 4a category was assigned.

The core needle biopsy was composed of three non-fragmented tissue cylinders in which a FEL with a predominant pericanalicular growth pattern and a cellular stroma was recognized. The stroma to epithelial ratio was homogeneous and the stromal component showed no atypia, nor mitotic activity. The diagnosis of a cellular fibroadenoma was suggested, on which surgical excision was performed. The resection specimen was composed mainly by areas strongly resembling a cellular FA as observed in the needle biopsy. However, focally the stromal component was expanded with sudden increase in cellularity with presence of cellulated cuffs of stromal cells around the epithelial ducts. In this region the stroma to epithelial ratio was increased, but no evidence of stromal overgrowth was recorded (i.e., microscopic field that at low power magnification shows only stromal components without the epithelial ones). These findings were highly suggestive of a periductal stromal tumor. Moreover we also observed pushing borders and focal infiltrative growth in the surrounding breast tissue (Figure 3A, Figure 3B, Figure 3C). Because there was a focal impression of a leaf-like architecture in relation to a dilated duct, we preferred the diagnosis of a borderline phyllodes tumor possibly originating from a cellular fibroadenoma. Next-generation sequencing (NGS) mutation analysis was attempted to try to support this diagnosis on a molecular level, but unfortunately there was an insufficient amount of intact DNA. The resection was incomplete toward the caudal and lateral margins. Therefore, re-intervention with local excision with wide margins was performed. The re-excision showed scarring and steatonecrosis as a result of the previous procedure, but no residual FEL. Consequently, there was no need for further surgical intervention.

Figure 1: Bilateral mammograms. (A) Craniocaudal view of the right breast—ACR tissue density C; normal breast. (B) Craniocaudal view of the left breast—ACR tissue density C; retro-areolar mass with oval shape, high density and circumscribed margins. (C) Mediolateral oblique view of the right breast—ACR tissue density C; normal breast. (D) Mediolateral oblique view of the left breast—ACR tissue density C; retro-areolar mass with oval shape, high density, and circumscribed margins.

Share Image:

Figure 2: Ultrasound of the left breast lesion. (A) Parallel oriented hypoechoic mass with circumscribed and few angulated margins. (B) Color Doppler showed moderate internal vascularization. (C, D) Measurements 45 × 19 × 41 mm. A few small internal cysts are visible.

Share Image:

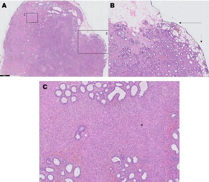
Figure 3: Pathologic image of resection specimen. (A) Low magnification (1×) image of the resection specimen. On the left of the picture, there is an abundance of stroma in comparison with epithelial elements. On the right of the image we see more epithelial elements than stroma, but with a permeative border. (B) A higher magnification (2×), which highlights the permeative border with presence of infiltrating epithelial structures in the surrounding adipose tissue (arrows). (C) A larger magnification (5×) of the area with more abundant and more cellular stroma (*), intervening the epithelial structures with pericanalicular growth pattern. The stromal cells show atypia and there is increased mitotic activity (up to 5 mitotic figures/10 HPF).

Share Image:

Discussion


Fibroepithelial lesions are divided into FA (with cellular and juvenile subtypes), and PT (which are subdivided into benign, borderline, and malignant lesions). The distinction between FA and PT is mostly made on the presence of a combination of cellular stroma and leaf-like stromal projections in PT. A periductal stromal tumor (PST) is a subtype of PT, which shows a distinctive periductal growth with formation of cellular cuffs of stromal cells around the ducts and usually lacks the leaf-like stromal projections of a PT. Additionally PST shows only mild nuclear atypia and limited mitotic activity. Interestingly, not infrequently, PT may show areas with PST-like growth pattern. In the current edition of the WHO blue book PST is now considered as a variant of benign PT [6]. Several histological features are generally considered in the grading of PTs. These features include tumor margins (well defined vs. infiltrative), stromal cellularity, atypia and mitotic rate, stromal condensation, stromal overgrowth, and presence of malignant heterologous elements. However to date, there is no consensus on the relative importance of each of these factors [4].

Core needle biopsy (CNB) poses a risk of sampling error due to intratumoral heterogeneity that sometimes may be found in cellular FEL. As a consequence, upgrading at the time of the excision specimen can frequently occur. This risk is higher in women aged >40 years [7]. However, some of the criteria mentioned above are difficult to be reliably assessed on a CNB, such as the presence of leaf-like stromal projections in dilated ducts and the borders on the lesion. It has been suggested that the high fragmentation of the biopsy that is caused by the passage of the needle through leaf-like structure can be used as a clue to support the diagnosis on CNB [8]. Cellular and juvenile FA can on the other hand often present overlapping features with benign or borderline PT. In some cases, it can be impossible to give a definite diagnosis on CNB, and a descriptive diagnosis of benign fibroepithelial lesion can be made with a comment to refer to the resection specimen for the definitive diagnosis. In our case the tissue cylinders (18 G) were not fragmented but intact. In addition, despite the presence of a cellular FEL with predominant pericanalicular pattern we preferred the diagnosis of cellular FA also because the stroma-to-epithelium ratio was homogeneous throughout the CNB. It may be suggested to perform 14 G core biopsy in the future in case of lesions larger than 25 mm.

Molecular analysis can be useful in FELs. MED12 mutations are more frequent in FA and benign PT than borderline/malignant PT [8]. Telomerase reverse transcriptase (TERT) promoter mutations are more commonly seen in PT as compared to FA, but this mutation can be present in all grades of PT and thus does not allow distinction between benign, borderline, or malignant lesions [8].

On mammography, both FA and PT can be seen as a lobulated heterogeneous mass. Ultrasound features include a well-circumscribed or lobulated hypo-echoic solid mass [9]. Phyllodes tumor can show clefts and/or cysts and some lesions show posterior acoustic enhancement and increased internal vascularity [9]. Lesions larger than 3 cm carry a higher risk of malignancy. On magnetic resonance imaging (MRI), PT is round or lobular, well-circumscribed masses with T1-weighted hypointensity and T2-weighted hyperintense cystic spaces [9]. Presence of cystic changes, suggesting necrosis, and irregular margins, tumor signal intensity less than or equal to normal breast tissue on T2-weighted sequences, and/or low apparent diffusion coefficient on diffusion-weighted images can suggest malignant phyllodes tumors [9].

Management of a FEL is dependent on the type of lesion. Fibroadenoma with low cellularity can be managed with follow-up. A cellular FA is preferably resected without margins, whereas a PT needs local excision with wide surgical margins, due to high local recurrence rate of 15–25% after excision [9],[10],[11]. In a 2019 study of Ogunbiyi et al., it was stated that the National Comprehensive Cancer Network (NCCN) guidelines advocating a 1 cm margin for surgical therapy is over-treatment and an algorithm for management was suggested [11]. In case of rapidly growing and large lesions, mastectomy may be needed. Moreover, 28–44% of recurrent PT, recur at a higher grade [2],[3],[12]. When malignant, about 25–33% of phyllodes tumors metastasize hematogenously, preferably to the lungs and possibly also to the brain, para-aortic nodes, adrenals, bones, pleura, and stomach [2],[3],[10].

Conclusion


Fibroepithelial lesions of the breast are a wide variety of lesions with distinct management based on the exact pathologic character. Core needle biopsy poses a risk of sampling error due to intratumoral heterogeneity that sometimes may be found in cellular FEL. As a consequence, upgrading at the time of the excision specimen can frequently occur. In our patient, the initial pathology biopsy report initiated tumorectomy. When the final report stated a borderline phyllodes tumor with incomplete resection, reintervention was needed with wide surgical margins to avoid local recurrence. The local re-excision showed scarring and steatonecrosis as a result of the previous procedure, but no residual FEL. Consequently, there was no need for further surgical intervention.

REFERENCES


1.

Van Osdol AD, Landercasper J, Andersen JJ, et al. Determining whether excision of all fibroepithelial lesions of the breast is needed to exclude phyllodes tumor: Upgrade rate of fibroepithelial lesions of the breast to phyllodes tumor. JAMA Surg 2014;149(10):1081–5. [CrossRef] [Pubmed]   Back to citation no. 1  

2.

Slodkowska E, Nofech-Mozes S, Xu B, et al. Fibroepithelial lesions of the breast: A comprehensive morphological and outcome analysis of a large series. Mod Pathol 2018;31(7):1073–84. [CrossRef] [Pubmed]   Back to citation no. 1  

3.

Ramakant P, Selvamani, Therese MM, Paul MJ. Metastatic malignant phyllodes tumor of the breast: An aggressive disease-analysis of 7 cases. Indian J Surg Oncol 2015;6(4):363–9. [CrossRef] [Pubmed]   Back to citation no. 1  

4.

Tan BY, Acs G, Apple SK, et al. Phyllodes tumours of the breast: A consensus review. Histopathology 2016;68(1):5–21. [CrossRef] [Pubmed]   Back to citation no. 1  

5.

Pareja F, Geyer FC, Kumar R, et al. Phyllodes tumors with and without fibroadenoma-like areas display distinct genomic features and may evolve through distinct pathways. NPJ Breast Cancer 2017;3:40. [CrossRef] [Pubmed]   Back to citation no. 1  

6.

Tan PH. Fibroepithelial tumors and hamartomas of the breast. In: Lokuhetty D, White V, Znaor A, Cree I, editors. WHO Classification of Tumours. 5th edition. Lyon, France: International Agency for Research on Cancer (IARC); 2019. p. 163–76.   Back to citation no. 1  

7.

Wabik A, Van Bockstal MR, Berlière M, Galant C. Periductal stromal tumors and phyllodes tumors represent a spectrum of fibroepithelial lesions: What is in a name? Int J Surg Pathol 2021;29(1):97–101. [CrossRef] [Pubmed]   Back to citation no. 1  

8.

Li JJX, Tse GM. Core needle biopsy diagnosis of fibroepithelial lesions of the breast: A diagnostic challenge. Pathology 2020;52(6):627–34. [CrossRef] [Pubmed]   Back to citation no. 1  

9.

Cheema HS, Mehta R, Slanetz PJ. Imaging and management of fibroepithelial breast lesions on percutaneous core needle biopsy. Breast J 2020;26(6):1216–20. [CrossRef] [Pubmed]   Back to citation no. 1  

10.

Goel NB, Knight TE, Pandey S, Riddick-Young M, de Paredes ES, Trivedi A. Fibrous lesions of the breast: Imaging-pathologic correlation. Radiographics 2005;25(6):1547–59. [CrossRef] [Pubmed]   Back to citation no. 1  

11.

Ogunbiyi S, Perry A, Jakate K, Simpson J, George R. Phyllodes tumour of the breast and margins: How much is enough. Can J Surg 2019;62(1):E19–21. [CrossRef] [Pubmed]   Back to citation no. 1  

12.

Jabeen D, Vohra LM Sr, Siddiqui T, Raza AU. Recurrent phyllodes tumour of the breast transforming to a fibrosarcoma. Cureus 2020;12(3):e7457. [CrossRef] [Pubmed]   Back to citation no. 1  

SUPPORTING INFORMATION


Author Contributions

Vanhoenacker Anne-Sophie - Conception of the work, Design of the work, Acquisition of data, Drafting the work, Final approval of the version to be published, Agree to be accountable for all aspects of the work in ensuring that questions related to the accuracy or integrity of any part of the work are appropriately investigated and resolved.

Waumans Lise - Acquisition of data, Analysis of data, Drafting the work, Final approval of the version to be published, Agree to be accountable for all aspects of the work in ensuring that questions related to the accuracy or integrity of any part of the work are appropriately investigated and resolved.

Floris Giuseppe - Analysis of data, Revising the work critically for important intellectual content, Final approval of the version to be published, Agree to be accountable for all aspects of the work in ensuring that questions related to the accuracy or integrity of any part of the work are appropriately investigated and resolved.

Nevelsteen Ines - Revising the work critically for important intellectual content, Final approval of the version to be published, Agree to be accountable for all aspects of the work in ensuring that questions related to the accuracy or integrity of any part of the work are appropriately investigated and resolved.

Van Ongeval Chantal - Analysis of data, Final approval of the version to be published, Agree to be accountable for all aspects of the work in ensuring that questions related to the accuracy or integrity of any part of the work are appropriately investigated and resolved.

Guaranter of Submission

The corresponding author is the guarantor of submission.

Source of Support

None

Consent Statement

Written informed consent was obtained from the patient for publication of this article.

Data Availability

All relevant data are within the paper and its Supporting Information files.

Conflict of Interest

Authors declare no conflict of interest.

Copyright

© 2021 Vanhoenacker Anne-Sophie et al. This article is distributed under the terms of Creative Commons Attribution License which permits unrestricted use, distribution and reproduction in any medium provided the original author(s) and original publisher are properly credited. Please see the copyright policy on the journal website for more information.