Case Report
 
Primary diffuse large B cell lymphoma of the cervix presenting as bilateral hydronephrosis
Joel Alcid1, Christian Fidler2
1MD, Resident, Internal Medicine, Drexel, Philadelphia, PA, USA
2MD, Attending, Hematology Oncology, Abington-Jefferson Health, Abington, PA, USA

Article ID: 100040Z10JA2017
doi:10.5348/Z10-2017-40-CR-11

Address correspondence to:
Joel Alcid
Hahnemann University Hospital / Drexel Medicine
239 N Broad St, Philadelphia
PA, USA, 19102

Access full text article on other devices

  Access PDF of article on other devices

[HTML Abstract]   [PDF Full Text] [PDF Full Text] [Print This Article]
[Similar article in Pumed] [Similar article in Google Scholar]

How to cite this article
Alcid J, Fidler C. Primary diffuse large B cell lymphoma of the cervix presenting as bilateral hydronephrosis. J Case Rep Images Oncology 2017;3:48–51.


ABSTRACT
Introduction: Non-Hodgkin lymphoma (NHL) arises most frequently in lymph nodes or other lymphatic tissue. Primary lymphomas of the female reproductive tract are extremely rare, less than 1% of extra nodal NHL and <0.5% of gynecologic malignancies.
Case Report: We present a case of a 66-year-old postmenopausal female presented with a one month history of fatigue, dysuria and hematuria. A non-contrast computed tomography scan of abdomen and pelvis revealed a large ~7–9 cm mass involving the lower uterine segment/cervix displacing the rectosigmoid colon. Biopsy revealed it to be a CD 20 positive diffuse large B cell type non-Hodgkin lymphoma (NHL). She was diagnosed as stage IE and started on R-CHOP chemotherapy (rituximab, cyclophosphamide, doxorubicin, vincristine, and prednisone).
Conclusion: Primary diffuse large B cell lymphoma of the female genital tract is a rare diagnosis and must be diagnosed early due to the aggressiveness of the tumor. There is no standard treatment regimen. Patients are often treated with chemotherapy as the first line of treatment, which has provided promising results.

Keywords: Cervix, Diffuse large B cell lymphoma, Non-Hodgkin’s lymphoma, Uterus


INTRODUCTION

Non-Hodgkin lymphoma (NHL) arises most frequently in lymph nodes or other lymphatic tissue. Primary extra nodal lymphoma accounts for one-third of cases. The most commonly affected extra nodal sites are the gastrointestinal tract and skin, but may affect any organ. The most common extra nodal lymphoid neoplasm is the diffuse large B cell lymphoma, which comprises 25% of NHL. Primary lymphomas of the female reproductive tract are extremely rare, less than 1% of extra nodal NHL and <0.5% of gynecologic malignancies. The cervix is the most commonly affected pelvic site, but may also occur in the ovary, uterus, vagina, vulva, and regional lymph nodes. We present a case of primary diffuse large B cell lymphoma involving the cervix and uterus [1].


CASE REPORT

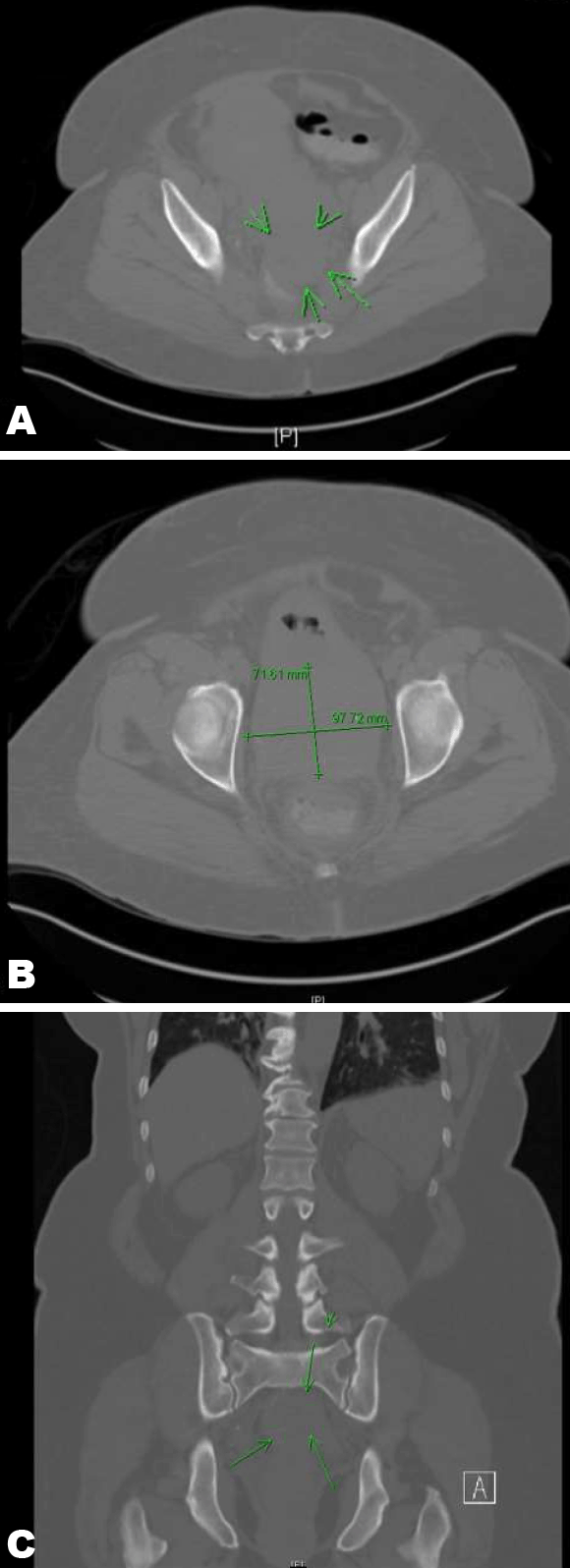
A 66-year-old postmenopausal woman presented with a one month history of fatigue, dysuria and hematuria. She received multiple courses of antibiotics as an outpatient without improvement. On admission labs, she was found to have a creatinine of 6.92 (baseline ~1.2). A retroperitoneal ultrasound was obtained and revealed bilateral moderate to severe hydronephrosis. A non-contrast CT abdomen and pelvis revealed a large ~7–9 cm mass involving the lower uterine segment/cervix displacing the rectosigmoid colon, likely representing the site of obstruction (Figure 1) (Figure 2) (Figure 3). An enlarged multi-fibroid uterus was also noted. There was no hepatosplenomegaly or adenopathy. On pelvic examination, a diffuse thickening was noted between the vagina and bladder. There was a firm mass wrapping around the cervix with thickening of the rectovaginal wall. She underwent further examination under anesthesia and multiple biopsies of the cervical mass were obtained. Patient also had bilateral percutaneous nephrostomy tubes placed to treat the obstruction.

Histological examination of the biopsy specimen revealed diffuse large B cell lymphoma (DLBCL). Immunohistochemical staining tested positive for CD 20, MYC, CD 10, and BCL 6. Staging workup with bone marrow aspirate and biopsy was negative for any monoclonal B cell or T cell population. The PET scan revealed mild metabolic activity at the lower uterine segment/cervix and upper vagina. Findings would correspond to a Deauville score of 3–4. Viral serologies for HIV, hepatitis B surface antigen, and hepatitis C were negative. After complete diagnostic workup, she was diagnosed with diffuse large B cell lymphoma stage IE. Patient was started on R-CHOP chemotherapy (rituximab, cyclophosphamide, doxorubicin, vincristine, and prednisone). After six cycles of chemotherapy, a PET scan for restaging was obtained and revealed a significant decrease in SUV. However, only a minimal decrease in tumor size was visualized. A ~7–8 cm bulky mass remains, and consolidation radiation therapy is being considered.


Cursor on image to zoom/Click text to open image
Figure 1: (A–C) Computed tomography scan of abdomen and pelvis. A 7x9 cm mass involving the lower uterine segment and cervix.



DISCUSSION

Diffuse large B cell lymphoma is the most common extranodal NHL neoplasm (30–58%). Median age of onset of patients affected by this neoplasm is 40-year-old. Primary lymphoma of the female reproductive tract is extremely rare. Clinical symptoms are usually non-specific and can include vaginal bleeding (70%), bilateral hydronephrosis, perineal discomfort (40%), persistent vaginal discharge (20%), abdominal pain, however, some patients are asymptomatic. The classic B symptoms of lymphoma (fever, night sweats, and weight loss) are rarely seen. Our patient presented outside the median age range, but had the corroborative symptoms of hydronephrosis. Few cases have been reported of DLBCL of the cervix presenting with hydronephrosis [2].

Diagnosing lymphoma of the cervix or uterus can present challenges. A Papanicolaou smear has limited diagnostic value and is usually negative, because these tumors infiltrate the cervical stroma, and the squamous and glandular lining is initially preserved. Deep cervical biopsies are needed along with histopathologic evaluation for definitive diagnosis. In a study of women with primary cervical lymphoma, 41% had an abnormal cervical cytology [3][4].

The study of choice for detection and staging of DLBCL is computed tomography scans. Also included in the workup for staging are bone marrow biopsy and positron emission tomography scan (PET). It is important to distinguish the etiology of the tumor, adenocarcinoma versus squamous cell carcinoma vs lymphoma, as these tumors have different mainstays of treatment. Surgery and radiation are used for adenocarcinoma and squamous cell carcinoma, and chemotherapy/immunotherapy is used for lymphoma [5].

Another important aspect in the diagnosis of lymphoma is immunohistochemical staining, as this can determine the type and subtype of lymphoma. Expression of CD 20, CD 10, BCL 6, and MUM 1 negative are suggestive of germinal center B type lymphoma (DLBCL). Our patient expressed CD 20, CD 10 and BCL 6, consistent with DLBCL [6].

Due to the rarity of this malignancy, optimal treatment has never been standardized and therapy is still under discussion. DLBCL of the cervix/uterus has been managed with chemotherapy, radiation therapy and surgery. The most commonly used and preferred regimen is R-CHOP. With this therapy, it has been reported that up to 70-80% of patients achieve complete remission with six cycles of R-CHOP. Other regimens that have been used are MACOPB (methotrexate, cytarabine, cyclophosphamide, vincristine, prednisolone, and bleomycin, CHOP-bleo (cyclophosphamide, doxorubicin, vincristine, prednisolone, and bleomycin), and ASAP (doxorubicin, methylprednisolone, cytarabine, and cisplatin). For large bulky tumors (>10 cm), residual lesions, or tumors with incomplete response, radiation therapy can be considered. According to a review of cases by Anagnostopoulos et. al. 118 cases were reviewed, and revealed 16.8% had chemotherapy only, 10.9% had radiation therapy only, and 9.2% had surgery only and the remaining patients had multiple modalities of treatment [7][8].

The overall survival rate of for patients for DLBCL of the cervix, uterus, and vagina is 89% with a relapse free survival rate of 70% [2][6][11].


CONCLUSION

Primary diffuse large B cell lymphoma of the female genital tract is a rare diagnosis and must be diagnosed early due to the aggressiveness of the tumor. There is no standard treatment regimen. Patients are often treated with chemotherapy as the first line of treatment, which has provided promising results.


REFERENCES
  1. Mandato VD, Palermo R, Falbo A, et al. Primary diffuse large B-cell lymphoma of the uterus: Case report and review. Anticancer Res 2014 Aug;34(8):4377–90.   [Pubmed]    Back to citation no. 1
  2. Novotny S, Ellis T, Stephens J. Primary B-cell lymphoma of the cervix presenting with bilateral hydronephrosis. Obstet Gynecol 2011 Feb;117(2 Pt 2):444–6.   [CrossRef]   [Pubmed]    Back to citation no. 2
  3. al-Talib RK, Sworn MJ, Ramsay AD, Hitchcock A, Herbert A. Primary cervical lymphoma: The role of cervical cytology. Cytopathology 1996 Jun;7(3):173–7.   [CrossRef]   [Pubmed]    Back to citation no. 3
  4. Calli AO, Rezanko T, Yigit S, Payzin B. Lymphoma of the cervix: A diagnostic pitfall on cervicovaginal smear. J Cytol 2012 Jul;29(3):213–5.   [CrossRef]   [Pubmed]    Back to citation no. 4
  5. Baijal G, Vadiraja BM, Fernandes DJ, Vidyasagar MS. Diffuse large B-cell lymphoma of the uterine cervix: A rare case managed novelly. J Cancer Res Ther 2009 Apr–Jun;5(2):140–2.   [CrossRef]   [Pubmed]    Back to citation no. 5
  6. Ahmad AK, Hui P, Litkouhi B, et al. Institutional review of primary non-hodgkin lymphoma of the female genital tract: A 33-year experience. Int J Gynecol Cancer 2014 Sep;24(7):1250–5.   [CrossRef]   [Pubmed]    Back to citation no. 6
  7. Anagnostopoulos A, Mouzakiti N, Ruthven S, Herod J, Kotsyfakis M. Primary cervical and uterine corpus lymphoma: A case report and literature review. Int J Clin Exp Med 2013 Apr 12;6(4):298–306.   [Pubmed]    Back to citation no. 7
  8. Campo E, Swerdlow SH, Harris NL, Pileri S, Stein H, Jaffe ES. The 2008 WHO classification of lymphoid neoplasms and beyond: Evolving concepts and practical applications. Blood 2011 May 12;117(19):5019–32.   [CrossRef]   [Pubmed]    Back to citation no. 8
  9. Garavaglia E, Taccagni G, Montoli S, et al. Primary stage I-IIE non-Hodgkin's lymphoma of uterine cervix and upper vagina: Evidence for a conservative approach in a study on three patients. Gynecol Oncol 2005 Apr;97(1):214–8.   [CrossRef]   [Pubmed]    Back to citation no. 9
  10. Diaz-de la Noval B, Hernandez-Gutierrez A, Zapardiel I, De Santiago-Garcia J, Diestro Tejeda. Successful treatment of a primary cervical diffuse large B-cell lymphoma with rituximab-chop immunochemotherapy. Int J Blood Res Disord 2016;3(2).   [CrossRef]    Back to citation no. 10
  11. Egyed M, Kollár B, Prievara FT, et al. Successful treatment of a primary uterine B-cell lymphoma with rituximab-CHOP immunochemotherapy. Haematologica 2007 Feb;92(2):e26–7.   [Pubmed]    Back to citation no. 11

[HTML Abstract]   [PDF Full Text]

Author Contributions
Joel Alcid – Substantial contributions to conception and design, Acquisition of data, Drafting the article, Revising it critically for important intellectual content, Final approval of version to be published
Christian Fidler – Substantial contributions to conception and design, Acquisition of data, Drafting the article, Revising it critically for important intellectual content, Final approval of version to be published
Guarantor of submission
The corresponding author is the guarantor of submission.
Source of support
None
Conflict of interest
Authors declare no conflict of interest.
Copyright
© 2017 Joel Alcid et al. This article is distributed under the terms of Creative Commons Attribution License which permits unrestricted use, distribution and reproduction in any medium provided the original author(s) and original publisher are properly credited. Please see the copyright policy on the journal website for more information.