Case Report
 
Secondary breast cancer after treatment for Hodgkin’s disease: A clinical case
Loubna Belhajjam1, Zineb Alami1, Asmaa Kouadir1, Abderahmane Elmazgh2, Touria Bouhafa2, Khalid Hassouni3
1Resident Doctor, Department of Radiotherapy Hassan II University Hospital, Faculty of Medecine and Pharmacy of Fez, Sidi Mohamed Ben Abdellah University, Fez, Morocco
2Associate Professor, Department of Radiotherapy Hassan II University Hospital, Faculty of Medecine and Pharmacy of Fez, Sidi Mohamed Ben Abdellah University, Fez, Morocco
3Professor and Head of the Department, Department of Rdiotherapy Hassan University Hospital, Faculty of Medecine and Pharmacy of Fez, Sidi Mohamed Ben Abdellah University, Fez, Morocco

Article ID: 100038Z10LB2017
doi:10.5348/Z10-2017-38-CR-9

Address correspondence to:
Loubna Belhajjam
Rce Almiftah; Zohor 2
N°28, FEZ
Morocco, 30000

Access full text article on other devices

  Access PDF of article on other devices

[HTML Abstract]   [PDF Full Text] [Print This Article]
[Similar article in Pumed] [Similar article in Google Scholar]

How to cite this article:
Belhajjam L, Alami Z, Kouadir A, Elmazghi A, Bouhafa T, Hassouni K. Secondary breast cancer after treatment for Hodgkin’s disease: A clinical case. J Case Rep Images Oncology 2017;3:39–43.


ABSTRACT
Introduction: Improved survival of patients treated for Hodgkin’s disease has been increased at the cost of late complications, the most frequent of which are secondary neoplasias such as breast cancers, which account for 6–9% of these neoplasias after treatment for MDH. The most favorable factors are mainly young age and radiotherapy.
Case Report: We report the observation of a patient treated for Hodgkin’s disease at the age of 17 years and after 17 years, she was diagnosed with right breast cancer, triple negative and then benefiting from breast-conserving surgery treatment and adjuvant chemotherapy and radiotherapy.
Conclusion: We represent a general review of the risk factors and diagnostic, prognostic and therapeutic choices modulated according to the treatment received for the Hodgkin’s disease of these secondary mammary cancers. Survivors of Hodgkin’s disease may have a long life expectancy nowadays and it is important to develop appropriate methods for estimating the risk of late breast cancer.

Keywords: Hodgkin’s disease, Radio induced neoplasms, Radiotherapy, Secondary breast cancer


INTRODUCTION

The use in Hodgkin’s disease of extensive and sustained diaphragmatic irradiation combined with multidrug therapy has resulted in dramatic improvements in patient survival but at the price of an increased incidence of secondary neoplasia including breast cancer in women, accounting for 6–9% of neoplasias secondary to Hodgkin’s disease. Our objective; Based on clinical observation; is to take stock of breast cancers occurring after Hodgkin’s disease while underpinning the characteristic, therapeutic and prognostic modalities.


CASE REPORT

A 34-years-old female, married, and mother of one child, menarcheal age at 13 years old, not menopausal and she took oral contraceptives for about four years; there is no known family history of breast or ovarian cancer.

She was treated at the age of 17 for Hodgkin’s disease initially classified as stage III supra and under diaphragmatic with first-line chemotherapy: cyclophosphamide, vincristine, prednisone and procarbazine hydrochloride (8 cures) followed by diaphragmatic irradiation mantle; 36 Gy in 18 sessions and irradiation of the lomboartic and the spleen at a dose of 36 Gy at five fractions per week ended on 04 August 1998; The patient was followed regularly and then lost sight of, and come back 17 years later for a right breast nodal in external super-quadrant, 3 cm in size, classified IV according to American College of Radiology; associated with an axillary ganglion infracentimetric. The extension report was normal (computed tomography thoracic-abdominal-pelvic and bone scan).

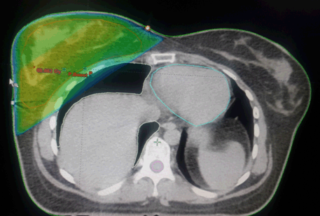
After the multidisciplinary consultation meeting, a breast-conserving surgery was performed and the lymph node dissection performed nine free lymph nodes and the final anapathological examination was in favor of a slightly differentiated ductal adenocarcinoma infiltrating grade III of Scarff-Bloom-Richardson grading system; triple negative. Subsequently, the patient was treated with three-cure of 5 fluorouracil, epiadriamycin and cyclophosphamide adjuvant chemotherapy and three docetaxel cures and then received external adjuvant radiotherapy 3D; a dose of 50 Gy in 25 sessions at 2 Gy by fraction, followed by a boost on the tumor bed by 10 Gy photons in five sessions (Figure 1). The films of the field involved were first examined carefully by the radiotherapist to assess the risk of breast irradiation.

After a regularly follow-up of two years she is asymptomatic with no evidence of recurrence and in complete remission.


Cursor on image to zoom/Click text to open image
Figure 1: Dosimetric image showing the distribution of the dose on the mammary gland.



DISCUSSION

The strongly elevated risk of breast cancer after radiotherapy for Hodgkin’s disease has become a major concern for female survivors of this disease and the combination of chemotherapy and radiotherapy in patients with Hodgkin’s disease increased the rate of long survivors; exposed to high risk of the occurrence of secondary neoplasia, including radiation-induced breast cancer in women, whose peak is 5–20 years after the last treatment given for DH. The relative and absolute risks of radiation-induced breast cancer are inversely proportional to the age at the time of exposure. Women treated with radiotherapy for Hodgkin’s disease before the age of 41 experiences a high risk for breast cancer. They are maximal for irradiations occurring in the prepubertal and pubertal periods and then decrease regularly [1][2][3][4][5][6][7].

The increased risk during this period suggests that the carcinogenic role of ionizing radiation would be maximal on breast tissue in full proliferation.

In the series of 387 children treated at the St Jude Children’s Research Hospital from 1968 to 1990, 14 secondary tumors (4%) were reported with average surveillance duration of 15.1 years [6]. In the Stanford series of 694 children followed on average for 13 years, 56 (8%) had 59 secondary tumors, including 48 solid tumors [8]. Breast cancer (16 cases) and sarcomas (13 cases) were the most frequent.

The mean latency between secondary breast cancer and Hodgkin’s disease is 16 years with extremes between 7 and 31 years [1]. For our patient the latency period was 17 years. Some studies performed so far show an increased risk for breast cancer up to 30 years after treatment and a strong risk increase in women who received radiation at young ages [9][10][11]. In a Finnish study, the cumulative risk of second cancer is 17% at 20 years after initial diagnosis [8], and this cumulative incidence increased with decreasing age at first treatment for Hodgkin’s disease [12].

Many reports are published on assessment of the risk factors, which are mainly the age at diagnosis of Hodgkin’s disease, the dose of radiotherapy received by the mammary gland and the type of computed tomography scan administered. However, the quantification of the risk according to the dose is still imprecise, many factors such as the shape, the volume of the breasts and the shape of the caches that can interfere with the dose distribution at the mammary level during mantle irradiation [13][14][15][16]. The risk of breast cancer after Hodgkin’s disease has been mainly attributed to supradiaphragmatic radiation therapy. Women treated with mantle field radiation experience up to 30 fold increased risks for breast cancer compared with their peers in the general population [17]. For Hill et al. the risk of breast cancer is 2.7 times higher in women who received a dose of more than 5 Gy in the breast compared to those receiving less than 5 Gy at this level. For Travis et al. the risk varies according to the age at diagnosis of Hodgkin’s disease of the total dose of irradiation and the duration of follow-up. Dose response relationships have been shown for the radiation dose to the area of the breast where the tumor developed [18][19]. In fact, there is a potentiation of the effect of radiotherapy by chemotherapy in radiation-induced tumors. The risk of secondary tumor after chemotherapy appears to be directly proportional to the total dose received and duration of exposure to drugs. And it was found that alkylating chemotherapy decreases the risk of breast cancer among female Hodgkin’s disease survivors, it is thought that the protective effect of alkylating chemotherapy is mediated through induction of premature menopause. Gonadotoxic treatment can also reduce the future risk for breast cancer especially when menopause occurs relatively shortly after treatment; the beneficial effect of gonadotoxic treatment is present in women treated before age 31, women treated between age 31 and 40 do experience an increased risk for breast cancer but this risk is not reduced by gonadotoxic treatment possibly because there are fewer years before natural menopause; but the hypothesis of risk reduction by therapy induced menopause is still controversial [12].

Another factor supported by Bruin is the hypothesis that reducing the proportion of breast tissue exposed to radiation will indeed decrease the future risk for breast cancer. An important issue involves the volume of breast tissue exposed to radiation and its effect on risk of breast cancer [20][21]. Bruin also showed by his study that reduction of radiation volume can lower this risk [12].

Clinically and histopathologically, Yahalom et al. [22] found that of the 45 secondary breast cancers in 37 patients, of which eight were bilateral, there were no differences in the histological type, histopronostic Scarff-Bloom-Richardson grading system and axillary lymph node invasion compared to 935 primary breast cancer treated at the same time. However, these secondary breast cancers occurred earlier (median age: 43 years) and there were more bilateral cases and central seat tumors.

The treatment of secondary breast cancer is controversial and needs to be discussed collegially about the options available to each woman before deciding on the best therapeutics; the radiotherapist reviews the details of the previous irradiation to assess the dose received by the breast, lungs and heart. Alm El-Din et al. agreed [23] that mastectomy should be the surgery of choice for patients with a history of irradiation and who develop breast cancer. However, other research groups reported spectacular results with breast-conserving surgery followed by breast irradiation. In the series of Cutuli et al. [1] 44 patients had a breast-conserving treatment.

The prognosis of these cancers is generally unfavorable; the median survival in the Stanford study was 12.5 months after the diagnosis of secondary cancer [24]. The significant risk of developing secondary breast cancer after treatment for Hodgkin’s disease raises the need for an earlier surveillance and screening strategy than in the normal population. The National Comprehensive Cancer Network [23] proposes an annual clinical examination before 25 years, then twice a year after 25 years according to clinical data and individual risk. More recent studies [25][26] show that magnetic resonance imaging may be of interest in these high-risk patients, especially since it is not irradiating and performs well in young patients with dense breast.


CONCLUSION

The occurrence of secondary breast cancer after Hodgkin’s disease treatment is a fairly common event that involves a breast screening that must be started in the following decade, for survivors information about risk should be provided, relevant screening made available and any emerging symptoms investigated without delay in order to rule out a second cancer diagnosis. So the management of breast cancer after Hodgkin’s disease requires a multidisciplinary consultation in order to appreciate the treatment already received with the modality of a re-irradiation and the place of the prophylactic surgery.


REFERENCES
  1. Cutuli B, de La Rochefordière A, Dhermain F, et al. Bilateral breast cancer after Hodgkin disease. Clinical and pathological characteristics and therapeutic possibilities: An analysis of 13 cases. [Article in French]. Cancer Radiother 1997;1(4):300–6.   [Pubmed]    Back to citation no. 1
  2. Basu SK, Schwartz C, Fisher SG, et al. Unilateral and bilateral breast cancer in women surviving pediatric Hodgkin's disease. Int J Radiat Oncol Biol Phys 2008 Sep 1;72(1):34–40.   [CrossRef]   [Pubmed]    Back to citation no. 2
  3. Boice JD Jr. Second cancer after Hodgkin's disease: The price of success? J Natl Cancer Inst 1993 Jan 6;85(1):4–5.   [CrossRef]   [Pubmed]    Back to citation no. 3
  4. Levitt SH, Mandel JS. Breast carcinogenesis: Risk of radiation. Int J Radiat Oncol Biol Phys 1985 Jul;11(7):1421–3.   [Pubmed]    Back to citation no. 4
  5. Abrahamsen JF, Andersen A, Hannisdal E, et al. Second malignancies after treatment of Hodgkin's disease: The influence of treatment, follow-up time, and age. J Clin Oncol 1993 Feb;11(2):255–61.   [CrossRef]   [Pubmed]    Back to citation no. 5
  6. Beaty III O, Hudson MM, Greenwald C, et al. Subsequent malignancies in children and adolescents after treatment for Hodgkin's disease. J Clin Oncol 1995 Mar;13(3):603–9.   [CrossRef]   [Pubmed]    Back to citation no. 6
  7. Bhatia S, Robison LL, Oberlin O, et al. Breast cancer and other second neoplasms after childhood Hodgkin's disease. N Engl J Med 1996 Mar 21;334(12):745–51.   [CrossRef]   [Pubmed]    Back to citation no. 7
  8. Wolden SL, Lamborn KR, Cleary SF, Tate DJ, Donaldson SS. Second cancers following pediatric Hodgkin's disease. J Clin Oncol 1998 Feb;16(2):536–44.   [CrossRef]   [Pubmed]    Back to citation no. 8
  9. Dores GM, Metayer C, Curtis RE, et al. Second malignant neoplasms among long-term survivors of Hodgkin's disease: A population-based evaluation over 25 years. J Clin Oncol 2002 Aug 15;20(16):3484–94.   [CrossRef]   [Pubmed]    Back to citation no. 9
  10. Bhatia S, Yasui Y, Robison LL, et al. High risk of subsequent neoplasms continues with extended follow-up of childhood Hodgkin's disease: Report from the late effects study group. J Clin Oncol 2003 Dec 1;21(23):4386–94.   [CrossRef]   [Pubmed]    Back to citation no. 10
  11. Swerdlow AJ, Barber JA, Hudson GV, et al. Risk of second malignancy after Hodgkin's disease in a collaborative British cohort: The relation to age at treatment. J Clin Oncol 2000 Feb;18(3):498–509.   [CrossRef]   [Pubmed]    Back to citation no. 11
  12. De Bruin ML, Sparidans J, van't Veer MB, et al. Breast cancer risk in female survivors of Hodgkin's lymphoma: Lower risk after smaller radiation volumes. J Clin Oncol 2009 Sep 10;27(26):4239–46.   [CrossRef]   [Pubmed]    Back to citation no. 12
  13. Cosset JM, Henry-Amar M, Dietrich PY, et al. Secondary solid tumors after Hodgkin's disease radiotherapy; experience at the Gustave Roussy Institute. [Article in French]. Bull Cancer 1992;79(4):387–8.   [Pubmed]    Back to citation no. 13
  14. Kelly CA, Wang XY, Chu JC, Hartsell WF. Dose to contralateral breast: A comparison of four primary breast irradiation techniques. Int J Radiat Oncol Biol Phys 1996 Feb 1;34(3):727–32.   [Pubmed]    Back to citation no. 14
  15. Land CE. Low-dose radiation: A cause of breast cancer? Cancer 1980 Aug 15;46(4 Suppl):868–73.   [Pubmed]    Back to citation no. 15
  16. Miller RW, van de Geijn J, Raubitschek AA, Orr K, Okunieff P, Glatstein E. Dosimetric considerations in treating mediastinal disease with mantle fields: Characterization of the dose under mantle blocks. Int J Radiat Oncol Biol Phys 1995 Jul 15;32(4):1083–95.   [CrossRef]   [Pubmed]    Back to citation no. 16
  17. Hodgson DC, Gilbert ES, Dores GM, et al. Long-term solid cancer risk among 5-year survivors of Hodgkin's lymphoma. J Clin Oncol 2007 Apr 20;25(12):1489–97.   [CrossRef]   [Pubmed]    Back to citation no. 17
  18. Travis LB, Hill DA, Dores GM, et al. Breast cancer following radiotherapy and chemotherapy among young women with Hodgkin disease. JAMA 2003 Jul 23;290(4):465–75.   [CrossRef]   [Pubmed]    Back to citation no. 18
  19. van Leeuwen FE, Klokman WJ, Stovall M, et al. Roles of radiation dose, chemotherapy, and hormonal factors in breast cancer following Hodgkin's disease. J Natl Cancer Inst 2003 Jul 2;95(13):971–80.   [CrossRef]   [Pubmed]    Back to citation no. 19
  20. Horwich A, Swerdlow AJ. Second primary breast cancer after Hodgkin's disease. Br J Cancer 2004 Jan 26;90(2):294–8.   [CrossRef]   [Pubmed]    Back to citation no. 20
  21. Franklin J, Pluetschow A, Paus M, et al. Second malignancy risk associated with treatment of Hodgkin's lymphoma: Meta-analysis of the randomised trials. Ann Oncol 2006 Dec;17(12):1749–60.   [CrossRef]   [Pubmed]    Back to citation no. 21
  22. Nyandoto P, Muhonen T, Joensuu H. Second cancer among long-term survivors from Hodgkin's disease. Int J Radiat Oncol Biol Phys 1998 Sep 1;42(2):373–8.   [CrossRef]   [Pubmed]    Back to citation no. 22
  23. Alm El-Din MA, Hughes KS, Finkelstein DM, et al. Breast cancer after treatment of Hodgkin's lymphoma: Risk factors that really matter. Int J Radiat Oncol Biol Phys 2009 Jan 1;73(1):69–74.   [CrossRef]   [Pubmed]    Back to citation no. 23
  24. Yahalom J, Petrek JA, Biddinger PW, et al. Breast cancer in patients irradiated for Hodgkin's disease: A clinical and pathologic analysis of 45 events in 37 patients. J Clin Oncol 1992 Nov;10(11):1674–81.   [CrossRef]   [Pubmed]    Back to citation no. 24
  25. Lord SJ, Lei W, Craft P, et al. A systematic review of the effectiveness of magnetic resonance imaging (MRI) as an addition to mammography and ultrasound in screening young women at high risk of breast cancer. Eur J Cancer 2007 Sep;43(13):1905–17.   [CrossRef]   [Pubmed]    Back to citation no. 25
  26. Sung JS, Lee CH, Morris EA, Oeffinger KC, Dershaw DD. Screening breast MR imaging in women with a history of chest irradiation. Radiology 2011 Apr;259(1):65–71.   [CrossRef]   [Pubmed]    Back to citation no. 26

[HTML Abstract]   [PDF Full Text]

Author Contributions
Loubna Belhajjam – Substantial contributions to conception and design, Acquisition of data, Analysis and interpretation of data, Drafting the article, Revising it critically for important intellectual content, Final approval of the version to be published
Zineb Alami – Analysis and interpretation of data, Revising it critically for important intellectual content, Final approval of the version to be published
Asmaa Kouadir – Analysis and interpretation of data, Revising it critically for important intellectual content, Final approval of the version to be published
Abderahmane Elmazghi – Analysis and interpretation of data, Revising it critically for important intellectual content, Final approval of the version to be published
Touria Bouhafa – Analysis and interpretation of data, Revising it critically for important intellectual content, Final approval of the version to be published
Khalid Hassouni – Analysis and interpretation of data, Revising it critically for important intellectual content, Final approval of the version to be published
Guarantor of submission
The corresponding author is the guarantor of submission.
Source of support
None
Conflict of interest
Authors declare no conflict of interest.
Copyright
© 2017 Loubna Belhajjam et al. This article is distributed under the terms of Creative Commons Attribution License which permits unrestricted use, distribution and reproduction in any medium provided the original author(s) and original publisher are properly credited. Please see the copyright policy on the journal website for more information.