Case Report
 
Recurrence of sex cord tumor with annular tubules in young patient with Peutz-Jeghers syndrome
Meher Slimane1, Selma Gadria1, Manel Hadidane1, Houyem Mansouri1, Maha Driss2, Khaled Rahal1
1Department of Surgical Oncology, Salah Azaiz Institut, Tunis, Tunisia.
2Pathology Departement, Salah Azaiz Institut, Tunis, Tunisia.

Article ID: 100027Z10MS2016
doi:10.5348/Z10-2016-27-CR-18

Address correspondence to:
Selma Gadria
Surgical Oncology departement
Salah Azaiz Institute
Postal address: C3 residence Cordoba, Rue Tachkand, 2037, Ennasr1, Ariana
Tunisia

Access full text article on other devices

  Access PDF of article on other devices

[HTML Abstract]   [PDF Full Text] [Print This Article]
[Similar article in Pumed] [Similar article in Google Scholar]

How to cite this article:
Slimane M, Gadria S, Hadidane M, Mansouri H, Driss M, Rahal K. Recurrence of sex cord tumor with annular tubules in young patient with Peutz-Jeghers syndrome. J Case Rep Images Oncology 2016;2:74–78.


Abstract
Introduction: Peutz-Jeghers syndrome (PJS) is a hereditary autosomal dominant disease characterized by polyposis in the gastro-intestinal tract and melanin pigmented macules on the skin mucosa. In gynecology, it can be complicated with sex cord tumor with annular tubules (SCTAT). Multifocal, bilateral, small and benign lesions that develop into mucinous and serous ovarian tumors commonly characterize it. The SCTATs associated with PJS are usually benign and do not have malignant potentials, thus, unilateral oophorectomy is curative. Recurrence is a common event. Subsequently, radical surgery is recommended in these cases.
Case Report: We report the case of a 32 years PJS patient, who underwent conservative surgery for SCTAT five years ago. She shows up with a recurrent contralateral 75 mm adnexal cyst. A conservative surgery was planned and the patient underwent a laparoscopic cystectomy because of her will of childbearing. One month after surgery, hormonal rates were measured after ovarian stimulation and did not show hormonal activity.
Conclusion: SCTAT associated to PJS is a rare and unusual variant of ovarian tumors. Conservative surgery is indicated but recurrence is still a common event. Further studies are needed to confirm the effect of radical surgery and adjuvant therapies because of its rarity and high recurrence rates.

Keywords: Hereditary disease, Ovarian tumors, Peutz-Jeghers syndrome, Sex cord tumors


Introduction

Peutz-Jeghers syndrome (PJS) is a hereditary autosomal dominant disease characterized by polyposis of the gastrointestinal tract and melanin pigmented macules on the skin mucosa.

In gynecology, it can be complicated with sex cord tumor with annular tubules (SCTAT). Multifocal, bilateral, small and benign lesions that develop into mucinous and serous ovarian tumors commonly characterize it. SCTATs associated with PJS are usually benign and do not have malignant potentials, thus, unilateral oophorectomy is curative. However, recurrence is a common event. Different from epithelial ovarian cancer, surgery is still the main treatment of choice for recurrent disease. There is no standard treatment protocol and the effects of chemotherapy and radiation therapy are still unclear Because of its rarity.


Case Report

A 32-year-old female presented with a family history of PJS. The patient presented in 2011 an adnexal mass. Physical examination revealed perioral-pigmented macule (Figure 1). In laparotomy, we discovered a left adnexal mass and an intestinal polyp. No ascites or lymph nodes were reported. The contralateral ovary was normal. The patient underwent a conservative staging including a left oophorectomy. No contralateral adnexal biopsy was performed. Histologic finding confirmed SCTAT associated to PJS intestinal polyp. The ovarian tumor were classified FIGO IA. Subsequently, the patient did not receive adjuvant therapy.

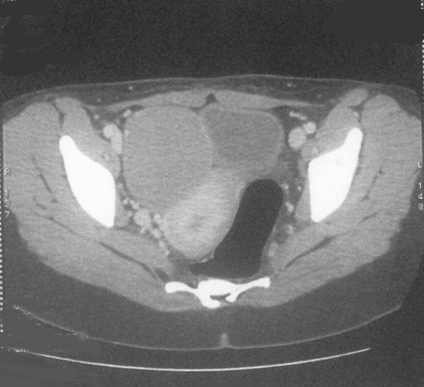
Five years later, she presented with abdominal pain. Computed tomography scan shows a 75 mm right adnexal mass evoking a cystic recurrence (Figure 2). The serum rate of anti-müllerian hormone (AMH) was elevated and measured 325 ng/ml. CA-125 rates were less than 35 UI/ml. In order to investigate PJS, a colonoscopy was performed and showed recto-colic polyposis. Mammogram showed benign cystic lesion of the breast. Papa smear did not show any abnormal cells. Radical surgery was recommended but the patient refused because of her will of childbearing. Laparoscopic exploration found a right adnexal cystic mass (Figure 3), with no evidence of ascites or peritoneal carcinosis. We underwent a cystectomy; leaving an ovarian tissue. The histologic findings showed circumscribed columnar epithelial nests composed of ring shaped tubules, which are encircled by hyalinized basement membrane-like material and concluded for a recurrent SCTAT. No mitotic count was reported (Figure 4) and (Figure 5). One month after surgery, hormonal rates were measured after ovarian stimulation and did not show hormonal activity. Fertility preservation attempt was a failure and the patient is proposed for a complementary surgery.

The recurrence of SCTAT in young patient with PJS is a common event. Conservative surgery is always a challenge. We attend to find the best alternative to treat them.


Cursor on image to zoom/Click text to open image
Figure 1: Perioral pigmented skin macula.



Cursor on image to zoom/Click text to open image
Figure 2: Computed tomography scan showing 75 mm right adnexal mass.



Cursor on image to zoom/Click text to open image
Figure 3: Adnexal cystic mass.



Cursor on image to zoom/Click text to open image
Figure 4: Sex cord stromal tumor with annular tubules of the ovary (H&E stain, x100).



Cursor on image to zoom/Click text to open image
Figure 5: Sex cord stromal tumor with annular tubules of the ovary (H&E stain, x200).



Discussion

The SCTATs are rare tumors. They represent only 2.3% of sex cord tumors. Thirty percent of SCTATs are associated to PJS [1]. Only some series reported SCTAT associated to PJS cases. In 1970, Scully reported six cases of SCTAT associated to PJS. Young et al. reported in 1982, 27 additional cases. Most of the publications are case reports. The diagnosis of SCTAT is usually based on pathological examination of the tumor and typical presentations are most of the time consistent with hormone secreting tumor [2] [3]. Researchers have demonstrated that SCTAT secretes not only estradiol, but also progesterone, resulting as for our patient in menstrual disturbances. Young et al., confirmed that SCTATs associated to PJS was multifocal, bilateral and small [1]. In contrast, SCTAT non associated to PJS are usually unilateral, large and have malignant behavior [4]. The SCTAT includes ovarian Sertoli cell tumors, ovarian mucous or serous epithelial tumors and ovarian mature teratoma [5].

A preoperative diagnosis is difficult. It was reported in Qian study for two pediatric patients who underwent ovarian biopsy for suspected physiological ovarian cyst [6]. Ovarian biopsy is still dangerous and risky of disrupting the capsule and changing prognosis by tumoral spread.

There is no standard treatment protocol for SCTAT patient because of its rarity. Surgery remains the initial management. Fertility sparing surgery is important because of its occurrence in young or adolescent patient. Unilateral salpingo-oophorectomy is curative for intact capsule tumors confined to one ovary with no involvement to the uterus and the contralateral ovary [6]. Despite that, SCTAT associated to PJS are bilateral tumors, and not commonly synchronous. Wedge section or biopsy of the contralateral ovary is not a routine procedure, but it should be considered, especially for PJS patients. There are no studies that compared unilateral to bilateral oophorectomy [1] [6].

Adjuvant treatment for SCTAT is still a controversial point. The effects of chemotherapy and radiotherapy are still not clear. Further studies are still needed to confirm the effect on prognosis and survival [6].

Recurrent SCTAT should be suspected by clinical symptoms related to hormone secreting. A rise of the AMH is a major sign. Recurrent tumors can be located in the contralateral ovary or in the retro peritoneum. They can be detected by imaging such as ultrasonography, CT scan or PET scan. It is a fundamental evaluation of tumor size, number and location [6] [7].

Surgery for recurrent disease in SCTAT is a total hysterectomy, associated to salpingo-oophorectomy, and lymph node dissection. Our patient had a 75 mm adnexal cyst. A fertility sparing surgery consisted on a cystectomy, leaving a normal residual ovarian tissue. Just like epithelial ovarian cancer, recurrent disease can be located in the pelvic or para-aortic lymph nodes. A pelvic and para-aortic lymphadenectomy should be considered [8]. Qian et al. reported four cases of lymph node dissection achieving complete response in three of them [6]. There is unfortunately a lack of long-term follow-up. More studies should be considering lymph node dissection [4] .

Prognosis for SCTAT is relatively favorable although recurrence rate is very high. Literature reports a 1-year and 5-year PFS of 92% and 67% respectively. The median PFS time was 97.8 months. The five-year of overall survival rate was 100% [1] [6][8].


Conclusion

Sex cords tumors with annular tubules (SCTAT) associated to Peutz-Jeghers syndrome (PJS) is a rare disease. Oophorectomy is a curative surgery for unilateral tumors. Contralateral ovarian biopsy is a good alternative especially for PJS because of the frequency of bilateral tumors. Although prognosis of SCTAT is favorable, recurrence rate is high. Long-term follow up is essential. Serum rates of estradiol and progesterone in addition to anti-müllerian hormone could be used as tumor markers during follow-up. Further studies are needed to confirm the best surgery and the effect of adjuvant therapies.


Acknowledgements

We would like to thank the head of the department and all staff members of department of Surgery and Pathology for their support and encouragement to prepare this report.


References
  1. Young RH, Welch WR, Dickersin GR, Scully RE. Ovarian sex cord tumor with annular tubules: Review of 74 cases including 27 with Peutz-Jeghers syndrome and four with adenoma malignum of the cervix. Cancer 1982 Oct 1;50(7):1384–402.   [CrossRef]   [Pubmed]    Back to citation no. 1
  2. Ueki A, Kisu I, Banno K, et al. Gynecological tumors in patients with Peutz-Jeghers syndrome (PJS). Open Journal of Genetics 2011;1:65–9.   [CrossRef]    Back to citation no. 2
  3. Song SH, Lee JK, Saw HS, et al. Peutz-Jeghers Syndrome with multiple genital tract tumors and breast cancer: A case report with a review of literatures. J Korean Med Sci 2006 Aug;21(4):752–7.   [CrossRef]   [Pubmed]    Back to citation no. 3
  4. Turpin A, Cattan S, Leclerc J, et al. Hereditary predisposition to cancers of the digestive tract, breast, gynecological and gonadal: focus on the Peutz-Jeghers. [Article in French]. Bull Cancer 2014 Sep;101(9):813–22.   [CrossRef]   [Pubmed]    Back to citation no. 4
  5. Turpin A, Cattan S, Leclerc J, et al. Hereditary predisposition to cancers of the digestive tract, breast, gynecological and gonadal: focus on the Peutz-Jeghers. [Article in French]. Bull Cancer 2014 Sep;101(9):813–22.   [CrossRef]   [Pubmed]    Back to citation no. 5
  6. Qian Q, You Y, Yang J, et al. Management and prognosis of patients with ovarian sex cord tumor with annular tubules: A retrospective study. BMC Cancer 2015 Apr 12;15:270.   [CrossRef]   [Pubmed]    Back to citation no. 6
  7. Shen K, Wu PC, Lang JH, Huang RL, Tang MT, Lian LJ. Ovarian sex cord tumor with annular tubules: A report of six cases. Gynecol Oncol 1993 Feb;48(2):180–4.   [CrossRef]   [Pubmed]    Back to citation no. 7
  8. Lele SM, Sawh RN, Zaharopoulos P, et al. Malignant ovarian sex cord tumor with annular tubules in a patient with Peutz-Jeghers syndrome: A case report. Mod Pathol 2000 Apr;13(4):466–70.   [CrossRef]   [Pubmed]    Back to citation no. 8

[HTML Abstract]   [PDF Full Text]

Author Contributions
Meher Slimane – Substantial contributions to conception and design, Acquisition of data, Analysis and interpretation of data, Drafting the article, Revising it critically for important intellectual content, Final approval of the version to be published
Selma Gadria – Analysis and interpretation of data, Revising it critically for important intellectual content, Final approval of the version to be published
Manel Hadidane – Analysis and interpretation of data, Revising it critically for important intellectual content, Final approval of the version to be published
Houyem Mansouri – Analysis and interpretation of data, Revising it critically for important intellectual content, Final approval of the version to be published
Maha Driss – Analysis and interpretation of data, Revising it critically for important intellectual content, Final approval of the version to be published
Khaled Rahal – Analysis and interpretation of data, Revising it critically for important intellectual content, Final approval of the version to be published
Guarantor of submission
The corresponding author is the guarantor of submission.
Source of support
None
Conflict of interest
Authors declare no conflict of interest.
Copyright
© 2016 Meher Slimane et al. This article is distributed under the terms of Creative Commons Attribution License which permits unrestricted use, distribution and reproduction in any medium provided the original author(s) and original publisher are properly credited. Please see the copyright policy on the journal website for more information.



About The Authors

Meher Slimane is Assistant in Department of Surgical Oncology at Salah Azaiz Institut.



Selma Gadria is Resident in Department of Surgical Oncology at Salah Azaiz Institut.



Manel Hadidane is Resident in Department of Surgical Oncology at Salah Azaiz Institut.



Houyem Mansouri is Resident in Department of Surgical Oncology at Salah Azaiz Institut.



Maha Driss is Assistant in the Pathology Department at Salah Azaiz Institut.



Khled Rahal is the Head of Department of Surgical Oncology at Salah Azaiz Institut.