Table of Contents    
Case Report
 
Atypical, generalized cutaneous varicella zoster in a patient on chemotherapy for leiomyosarcoma
Ashley N. Elsensohn1, Maryam Liaqat2, Dante Garcia3., Charay Jennings-Dver4, Gregory Simpson5
1Department of Internal Medicine, Lankenau Medical Center, Wynnewood, PA.
2Department of Dermatology, Cooper University. Camden, NJ.
3San Juan Bautista School of Medicine, Caguas, PR.
4Pathology Associates, Clovis,CA.
5Division of Dermatology, UCSF-Fresno. Fresno, CA.

Article ID: 100008Z10AE2015
doi:10.5348/Z10-2015-8-CR-8

Address correspondence to:
Ashley Elsensohn
MD MPH, Department of Internal Medicine
Lankenau Medical Center, 100 E Lancaster Avenue
Wynnewood
PA 19096

Access full text article on other devices

  Access PDF of article on other devices

[HTML Abstract]   [PDF Full Text] [Print This Article]
[Similar article in Pumed] [Similar article in Google Scholar]

How to cite this article:
Elsensohn AN, Liaqat M, Garcia D, Jennings-Dover C, Simpson G. Atypical, generalized cutaneous varicella zoster in a patient on chemotherapy for leiomyosarcoma. J Case Rep Images Oncology 2015;1:32–35.


Abstract
Introduction: Most cases of atypical generalized varicella zoster virus (VZV) have been reported in patients with post-renal transplantation or hematogenous malignancy.
Case Report: We present a unique case of atypical, generalized cutaneous VZV in a solid tumor patient. Of interest, our patient was immunocompromised secondary to chemotherapy for a stage IV leiomyosarcoma.
Conclusion: This case highlights the diverse presentation and subsequent challenges in the diagnosis of generalized zoster, which carries a high mortality in elderly and various immunocompromised populations. The case briefly reviews diagnostic and therapeutic recommendations, as well as complications of generalized zoster. We recommend a high level of clinical suspicion and a low threshold for treatment of suspected disseminated zoster in immunosuppressed, solid tumor patients.

Keywords: Atypical VZV, Cutaneous VZV, Generalized Zoster, Varicella


Introduction

Atypical generalized varicella zoster virus (VZV) is a term used widely in literature to describe diffuse, varicella-like skin lesions, without primary dermatomal involvement [1]. Atypical generalized zoster is seen almost exclusively in immunocompromised patients. Cases in literature describe patients with post-renal transplantation or hematogenous malignancy [2] [3]. Our patient presents a unique case of atypical generalized zoster in a solid tumor patient immunocompromised secondary to chemotherapy for stage IV leiomyosarcoma.


Case Report

A 53-year-old Hispanic female with a history of stage IV leiomyosarcoma presented with a one-week history of worsening neck and shoulder rash. She had undergone palliative chemotherapy with Adriamycin 10 days prior. She first noted the rash approximately three days after chemotherapy and described solid papules on the right side of the neck that had progressively grown in size, with additional vesicles appearing on her right shoulder. She reported pain and tenderness over the lesions but denied pruritus. Initial lab values included WBC 500 (Differential: neutrophils 15, bands 2, lymphocytes 41, monocytes 36, eosinophils 2, basophils 4), Hb 8.2, MVC 91, platelets 22,000. Basic metabolic profile was within normal limits. The patient was admitted to the hospital for neutropenic fever and started on cefepime and vancomycin for suspected cellulitis.

On examination, there was a confluent, violaceous plaque with an erythematous base that extended from mid-chin to right posterior neck, scalp, and clavicle. The rash did not cross the midline and had yellow scaling at the borders, with extreme tenderness to palpation. Vesicular lesions were appreciated diffusely on the legs, right shoulder, and lateral eyelid (Figure 1). Differential diagnosis included disseminated zoster, drug reaction, Kaposi's sarcoma, Sweet's syndrome, cellulitis, dyshidrotic eczema, or other neutrophilic dermatosis. Given the presence of grouped vesicles, despite a mixed dermatomal and non-dermatomal pattern, our patient was empirically started on intravenous acyclovir 700mg three times daily for herpes zoster.

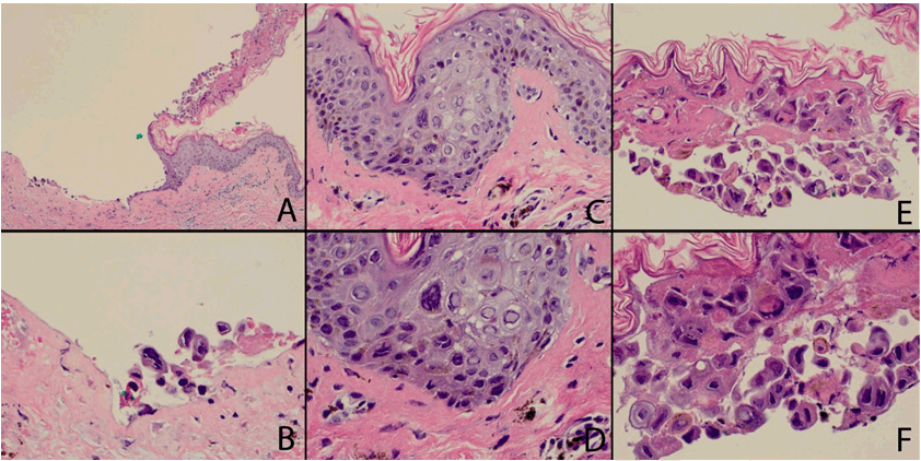
Punch biopsy over the right anterior clavicle showed a partially necrotic blister containing multi-nucleated cells with nuclear molding and chromatin margination (Figure 2). This was consistent with diagnosis of disseminated herpes zoster. The absence of eye pain and conjunctival injection excluded the diagnosis of zoster ophthalmicus. The patient continued intravenous acyclovir 700 mg three times daily for a total of 3 weeks, followed by valacyclovir 1 g twice daily for 1 week. Given the patient's immune status, she remained hospitalized for treatment. The patient was hospitalized for a total of 28 days. At first -month follow-up, the rashes had completely resolved.


Cursor on image to zoom/Click text to open image
Figure 1: (A) Confluent, violaceous plaque extending from mid-chin to right posterior neck, posterior right scalp, and right clavicle, (B) Confluent, violaceous plaque with vesicles extending to mid-chin, and (C) Diffuse vesicular lesions on left lateral thigh.



Cursor on image to zoom/Click text to open image
Figure 2: (A) Vesicle (H&E stain, magnification x200), (B) Base of vesicle (H&E stain, magnification x600), (C, D) Intradermal multinucleation, molding, and margination (H&E stain, magnification x400, x600), and (E, F) Roof of vesicle showing acantholysis (H&E stain, magnification x400, x600).



Discussion

Atypical generalized zoster is seen almost exclusively in immunocompromised patients. Cases in literature almost exclusively describe patients who are post-renal transplant or with hematogenous malignancy [2] [3]. Our patient presents a unique case of atypical generalized zoster in a solid tumor patient undergoing chemotherapy for stage IV leiomyosarcoma. Our patient showed an atypical presentation with both dermatomal and non-dermatomal plaques in addition to the more typical diffuse vesicular lesions.

Clinical presentations of disseminated VZV can pose diagnostic and therapeutic challenges. Given the rarity of generalized zoster reported in solid malignancy patients, it is unknown whether the presentation or risks of VZV are similar to those with renal transplant or hematogenous malignancy. We assume that the risks would prove comparable, as the mechanism for zoster in both elderly and immunocompromised is a waning of VZV-specific T-cell immunity [4]. As noted, our patient did demonstrate a unique clinical presentation. It is interesting to postulate why the facial and upper extremity lesions were more confluent in our patient, while the remainder exhibited a more generalized distribution-perhaps she was less immunosuppressed than typical post-renal transplant or bone marrow transplant recipients on immunosuppressive agents.

Patients with generalized VZV infection have a high risk of disseminated visceral involvement of up to 50% and mortality of 28–80%–the most frequent causes of death are from pneumonia, encephalitis, and hepatitis, which our patient did not exhibit [5]. Unfortunately, conventional laboratory methods often fail to diagnose VZV in immunocompromised patients- the Tzanck test, electron microscopy, and DIF tend to be less helpful in the setting of atypical zoster. In these cases, PCR may provide a rapid and accurate diagnostic tool with a high degree of specificity [5]. Recent studies have shown that VZV-specific CD4-T cells in patients with zoster bear typical features of anergy. This phenotype is reversible and in the future may also be used as a tool for monitoring VZV reactivations in high-risk patients [6].

High-dose intravenous acyclovir, aggressive supportive care, and zoster immunoglobulin are mainstays of treatment for generalized zoster [5]. Ganciclovir has also shown similar efficacy to acyclovir in VZV, but is limited by its hematologic side effects [7].


Conclusion

With early recognition via clinical evaluation and biopsy, and immediate treatment with acyclovir, our patient was able to achieve complete resolution. We support maintaining a high level of clinical suspicion and a low threshold for treatment of suspected disseminated zoster in immunosuppressed, solid tumor patients. Moreover, the importance of zoster vaccination prior to immunosuppressive therapy is paramount to preventing disseminated cutaneous zoster in this population.


References
  1. Gnann JW Jr. Varicella-zoster virus: atypical presentations and unusual complications. J Infect Dis 2002 Oct 15;186 Suppl 1:S91–8.   [CrossRef]   [Pubmed]    Back to citation no. 1
  2. Khera P, Haught JM, McSorley J, English JC 3rd. Atypical presentations of herpesvirus infections in patients with chronic lymphocytic leukemia. J Am Acad Dermatol 2009 Mar;60(3):484–6.   [CrossRef]   [Pubmed]    Back to citation no. 2
  3. Rommelaere M, Maréchal C, Yombi JC, Goffin E, Kanaan N. Disseminated varicella zoster virus infection in adult renal transplant recipients: outcome and risk factors. Transplant Proc 2012 Nov;44(9):2814–7.   [CrossRef]   [Pubmed]    Back to citation no. 3
  4. van Besouw NM, Verjans GM, Zuijderwijk JM, Litjens NH, Osterhaus AD, Weimar W. Systemic varicella zoster virus reactive effector memory T-cells impaired in the elderly and in kidney transplant recipients. J Med Virol 2012 Dec;84(12):2018–25.   [CrossRef]   [Pubmed]    Back to citation no. 4
  5. Oh KH, Ahn C, Kim YS, Han JS, et al. Atypical generalized zoster with suspicious esophageal involvement and early relapse in an adult renal transplant recepient. Transplant Proc 2002 Jun;34(4):1174–7.   [CrossRef]   [Pubmed]    Back to citation no. 5
  6. Schub D, Janssen E, Leyking S, et al. Altered phenotype and functionality of varicella zoster virus-specific cellular immunity in individuals with active infection. J Infect Dis 2015 Feb 15;211(4):600–12.   [CrossRef]   [Pubmed]    Back to citation no. 6
  7. Maximova N, Antonio P, Marilena G, Rovere F, Tamaro P. Complete remission of VZV reactivation treated with valganciclovir in a patient with total lymphocyte depletion and acute kidney injury after allogeneic bone marrow transplantation. APMIS 2015 Jan;123(1):77–80.   [CrossRef]   [Pubmed]    Back to citation no. 7

[HTML Abstract]   [PDF Full Text]

Author Contributions
Ashley Nicole Elsensohn – Conception and design, Acquisition of data, Analysis and interpretation of data, Drafting the article, Critical revision of the article, Final approval of the version to be published
Maryam Liaqat – Conception and design, Acquisition of data, Analysis and interpretation of data, Drafting the article, Critical revision of the article, Final approval of the version to be published
Dante Garcia – Analysis and interpretation of data, Critical revision of the article, Final approval of the version to be published
Charay Jennings-Dover – Analysis and interpretation of data, Critical revision of the article, Final approval of the version to be published
Gregory Simpson – Analysis and interpretation of data, Critical revision of the article, Final approval of the version to be published
Guarantor of submission
The corresponding author is the guarantor of submission.
Source of support
None
Conflict of interest
Authors declare no conflict of interest.
Copyright
© 2015 Ashley Nicole Elsensohn et al. This article is distributed under the terms of Creative Commons Attribution License which permits unrestricted use, distribution and reproduction in any medium provided the original author(s) and original publisher are properly credited. Please see the copyright policy on the journal website for more information.