Table of Contents    
Case Report
 
Unicentric Castleman's disease: An unusual cause of neck swelling
Ashok S. Komaranchath1, A.H. Rudresh2, Kuntegowdenahalli Lakshmaiah C.3, Chennagiri S. Premalata4, Dasappa Loknatha5, Linu A. Jacob5
1DM Medical Oncology Resident, Dept. of Medical Oncology, Kidwai Memorial Institue of Oncology, Bangalore-29, India.
2Assistant Professor, Dept. of Medical Oncology, Kidwai Memorial Institue of Oncology, Bangalore-29, India.
3Professor and HOD, Department of Medical Oncology, Kidwai Memorial Institue of Oncology, Bangalore-29, India.
4Associate Professor, Dept. of Pathology, Kidwai Memorial Institue of Oncology, Bangalore-29, India.
3Associate Professor, Dept. of Medical Oncology, Kidwai Memorial Institue of Oncology, Bangalore-29, India.

Article ID: 100002Z10AK2015
doi:10.5348/Z10-2015-2-CR-2

Address correspondence to:
Dr. Ashok S Komaranchath
Department of Medical Oncology, Kidwai Memorial Insitute of Oncology
Dr. M. H. Marigowda Road, Bangalore – 560029
Karnataka
India
Phone: +919880565471

Access full text article on other devices

  Access PDF of article on other devices

[HTML Abstract]   [PDF Full Text] [Print This Article]
[Similar article in Pumed] [Similar article in Google Scholar]

How to cite this article:
Komaranchath AS, Rudresh AH, Lakshmaiah K C, Premalata CS, Lok;natha D, Jacob LA. Unicentric Castleman's disease: An unusual cause of neck swelling. J Case Rep Images Oncology 2015;1:5–9.


Abstract
Introduction: Castleman's disease is a rare disorder in which there is a benign proliferation of lymphoid tissue. There are two clinical entities namely, unicentric Castleman's disease with the disease confined to a single anatomic lymph node and a multicentric Castleman's disease characterized by generalized lymphadenopathy, constitutional symptoms, a more aggressive clinical course and relatively poorer prognosis. The most common histopathological subtype is the hyaline vascular variant.
Case Report: We present the case of an 18-year-old female presented with a painless right-sided neck swelling which was completely excised and diagnosed to have hyaline vascular variant of unicentric Castleman's disease. This disorder carries an excellent prognosis and does not require further therapy if complete excision of the involved lymph node has been done.
Conclusion: Unicentric Castleman's disease is a rare cause of unilateral neck swelling albeit with an excellent prognosis. Diagnosis by excision biopsy can double up as the treatment as well in cases of solitary lymph node involvement.

Keywords: Castleman's disease, Hyaline vascular variant, Immunocompetent, Unicentric


Introduction

The term Castleman's disease is used to describe a group of related lymphoproliferative disorders. There are several forms of idiopathic Castleman's disease that can be classified either anatomically (unicentric or multicentric) or by morphology (hyaline-vascular, plasma cell, or mixed histology). With the discovery of KSHV, it was recognized that this virus causes a plasmablastic variant of multicentric Castleman's disease (MCD). Unicentric Castleman's disease (UCD) most often presents as a localized disease with a solitary, slow-growing lymph node. There are two main histologic subtypes of unicentric Castleman's disease (i) the hyaline vascular variant, and (ii) the plasma cell variant. The hyaline vascular form is much more common and almost always involves only one site. It accounts for around 90% of all unicentric cases [1]. In contrast to multicentric Castleman's disease, which is most commonly seen in the setting of immunocompromise (usually in HIV infected patients); unicentric Castleman's disease is seen in immunocompetent patients. Also, UCD can be treated with simple excision alone and usually does not require systemic therapy.


Case Report

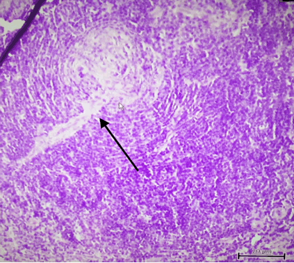
An 18-year-old female with no co-morbidities, presented with a swelling in the right side of the neck for the past two years, which had increased over the past one month. There was no pain over the swelling, no complaints of difficulty in eating or swallowing food. There was no history of fever, night sweats, or weight loss. There was no history of any other such swellings in any part of her body. Physical examination revealed a firm level II cervical lymph node in the right side of her neck. Contrast-enhanced computed tomography scan, of the neck showed a well-defined right cervical lymph node of 4 x 3 cm (Figure 1). She underwent excision biopsy of the lymph node at another institution and was referred to our center for further evaluation and management. Computed tomography scan of the thorax, abdomen and pelvis showed no other significant lymphadenopathy. HIV, HBsAg and Anti-HCV antibodies were negative. Bone marrow aspiration and biopsy were normal. Histopathology of the same showed a characteristic onion skin appearance of follicles with two germinal centres within the same follicle surrounded by a marked mantle layer hyperplasia (Figure 2). There was also presence of the pathognomonic "Lollipop Lesions" (Figure 3) which are formed due to penetration of sclerotic blood vessels into the atrophic germinal centers. These features were consistent with the diagnosis of the hyaline vascular variant of unicentric Castleman's disease. As whole node excision was done and she had no evidence of disease elsewhere in the body, she was kept under follow-up.


Cursor on image to zoom/Click text to open image
Figure 1: Contrast-enhanced computed tomography scan of neck showing enlarged right cervical lymph node.



Cursor on image to zoom/Click text to open image
Figure 2: Characteristic histopathological appearance of two germinal centers (arrows) within a single follicle, surrounded by marked mantle cell hyperplasia).



Cursor on image to zoom/Click text to open image
Figure 3: Classical 'Lollipop Lesion' (Black arrow) (H&E stain, x100).



Discussion

The clinicopathological features of Castleman's disease were described by Benjamin Castleman in 1956. He reported a series of 13 patients with hyperplastic lymph nodes in the mediastinum which contained small, hyalinized follicles and increased vascular proliferation between the lymph node follicles [2]. It is a rare tumor that usually presents as a slowly growing, solitary painless mass [3]. The most common site involved is the mediastinum and involvement of cervical lymph nodes is rare. In an early series by Keller et al., 86% of cases were confined to the mediastinum and only 6% of cases involved the neck [1]. A recent series, in 2003, by Bond et al. showed that the neck was involved in only 14% of all cases, with the mediastinum being the most common site, accounting for 60% of cases [4]. Within the head and neck region, the most common sites were cervical and submandibular areas [5].

Unicentric Castleman's disease: It most commonly occurs in young adults with a median age of 35 years [1] [3] [6]. In most series, there was an equal incidence seen in males and females [1] [3]. The most common histological variant was that of hyaline vascular variant which was seen in around 90% of all unicentric Castleman's disease. Of those patients with the plasma cell variant, 50% had systemic findings of anemia, an elevated ESR count, hypergammaglobulinemia, and marrow plasmacytosis [1].

Multicentric Castleman's Disease: It is a systemic disease with multiple sites of involvement. Almost all cases are that of the plasma cell variant. It may be associated with or without HHV-8 infection. There was a male preponderance, and occurs in older patients [7] [8] [9]. It is most commonly seen in the setting of HIV infection [3]. MCD usually presents with constitutional symptoms like fever, night sweats and arthralgia as well as peripheral lymph node enlargement and hepatosplenomegaly [3] [8][10].

Pathogenesis: The histopathological features of Castleman's disease like increase in plasma cells and immunoblasts, germinal centre hyperplasia and increased vascularity are seen as exaggerations of responses to normal antigenic stimuli.

Studies in the early 1990's have found a correlation between the systemic manifestations of unicentric Castleman's disease and local production of Interleukin-6 [11] [12]. The exact cells which seem to produce IL-6 has not been elucidated yet [13] but candidate cells include follicular dendritic cells, germinal centre B cells or the interfollicular cells [11] [12]. Also, IL-6 receptor polymorphisms have been identified in HIV-negative CD and are associated with increased soluble IL-6 receptor levels [14].

Diagnosis: Most patients with unicentric Castleman's disease (UCD) are asymptomatic and are diagnosed when an enlarged lymph node was noted on physical examination or imaging. Unicentric Castleman's disease may be suspected when there is a single persistently enlarged mass, especially a nodal mass associated with moderate to intense post-contrast enhancement on CT scan.

The hyaline vascular variant of Castleman's disease is characterized by the presence of abnormal follicles with atrophic germinal centers surrounded by wide mantle zones consisting of small lymphocytes [2]. A characteristic feature is the presence of two adjacent germinal centers surrounded by a single, wide mantle zone. These are called double germinal centers. The germinal centers are usually depleted of lymphocytes and are replaced with follicular dendritic cells arranged in a concentric manner producing an onion-skin appearance (Figure 2). The interfollicular tissue contains many small sclerotic blood vessels These are often seen penetrating up to the centre of the regressed germinal centers, producing a pathognomonic "lollipop lesion" [1] [2] [13].

Prognosis: The prognosis for patients with unicentric disease, regardless of the histologic variant, is generally excellent, as surgical excision is curative [7]. There has been no reported recurrence of the hyaline vascular variant in literature following complete excision. Multicentric disease is more aggressive and carries a poorer prognosis and shorter survival [9]. Treatment recommendations for multicentric Castleman's disease have been difficult to establish because the literature contains mostly small series. Numerous therapies have been tried for multicentric disease, including surgery, radiotherapy, immune modulators, antivirals, monoclonal antibodies and single-agent and combination chemotherapy [15]. Immune modulators like steroids, Interferon, ATRA and Thalidomide have been used with varying success. Antiviral therapy directed against HHV-8 (Ganciclovir, Foscarnet, cidofovir) as well as HIV (combination antiretroviral therapy) have been tried as well. Since plasma cells in the mantle zone of some patients may express CD20, rituximab has also been tried which gave durable complete remissions in three out of five patients who were subjected to treatment with this antibody [16]. Two monoclonal antibodies against IL-6 are also available, Siltuximab and tocilizumab, of which the former is approved for HIV/HHV8 negative MCD in USA and the latter is approved for use only in Japan[17] [18].


Conclusion

Unicentric Castleman's disease is a rare cause of unilateral neck swelling albeit with an excellent prognosis. Diagnosis by excision biopsy can double up as the treatment as well if there are no other involved sites. The characteristic arrangement of follicular dendritic cells and lollipop lesions clinches the diagnosis. No further therapy is required after complete excision of the lymph node.


References
  1. Keller AR, Hochholzer L, Castleman B. Hyaline-vascular and plasma-cell types of giant lymph node hyperplasia of the mediastinum and other locations. Cancer 1972 Mar;29(3):670–83.   [CrossRef]   [Pubmed]    Back to citation no. 1
  2. Castleman B, Iverson L, Menendez VP. Localized mediastinal lymphnode hyperplasia resembling thymoma. Cancer 1956 Jul-Aug;9(4):822–30.   [Pubmed]    Back to citation no. 2
  3. Sherman JA, Birtwhistle CJ, Davies HT. A rapidly expanding lesion in the neck: unusual presentation of Castleman's disease. Int J Oral Maxillofac Surg 2001 Oct;30(5):458–60.   [CrossRef]   [Pubmed]    Back to citation no. 3
  4. Bond SE, Saeed NR, Palka I, Carls FP. Castleman's disease presenting as a midline neck mass. Br J Plast Surg 2003 Jan;56(1):62–4.   [CrossRef]   [Pubmed]    Back to citation no. 4
  5. Maruyama S, Hao N, Cheng J, et al. Castleman's disease of the buccal mucosa: report of a case and review of the literature of head and neck cases. Oral Surg Oral Med Oral Pathol Oral Radiol Endod 2002 Mar;93(3):305–10.   [CrossRef]   [Pubmed]    Back to citation no. 5
  6. Talat N, Belgaumkar AP, Schulte KM. Surgery in Castleman's disease: a systematic review of 404 published cases. Ann Surg 2012 Apr;255(4):677–84.   [CrossRef]   [Pubmed]    Back to citation no. 6
  7. Frank DK, Charney D, Kashani A. Plasma cell variant of Castleman's disease occurring concurrently with Hodgkin's disease in the neck. Head Neck 2001 Feb;23(2):166–9.   [Pubmed]    Back to citation no. 7
  8. Peterson BA, Frizzera G. Multicentric Castleman's disease. Semin Oncol 1993 Dec;20(6):636–47.   [Pubmed]    Back to citation no. 8
  9. McCarty MJ, Vukelja SJ, Banks PM, Weiss RB. Angiofollicular lymph node hyperplasia (Castleman's disease). Cancer Treat Rev 1995 Jul;21(4):291–310.   [CrossRef]   [Pubmed]    Back to citation no. 9
  10. Yi AY, deTar M, Becker TS, Rice DH. Giant lymph node hyperplasia of the head and neck (Castleman's disease): a report of five cases. Otolaryngol Head Neck Surg 1995 Oct;113(4):462–6.   [CrossRef]   [Pubmed]    Back to citation no. 10
  11. Yoshizaki K, Matsuda T, Nishimoto N, et al. Pathogenic significance of interleukin-6 (IL-6/BSF-2) in Castleman's disease. Blood 1989 Sep;74(4):1360–7.   [Pubmed]    Back to citation no. 11
  12. Leger-Ravet MB, Peuchmaur M, Devergne O, et al. Interleukin-6 gene expression in Castleman's disease. Blood 1991 Dec 1;78(11):2923–30.   [Pubmed]    Back to citation no. 12
  13. Frizzera G. Atypical lymphoproliferative disorders. In: Neoplastic Hematopathology, Knowles DM (Ed), Lippincott, Williams and Wilkins, Philadelphia 2001. p.595.    Back to citation no. 13
  14. Stone K, Woods E, Szmania SM, et al. Interleukin-6 receptor polymorphism is prevalent in HIV-negative Castleman Disease and is associated with increased soluble interleukin-6 receptor levels. PLoS One 2013;8(1):e54610.   [CrossRef]   [Pubmed]    Back to citation no. 14
  15. Casper C. The aetiology and management of Castleman disease at 50 years: translating pathophysiology to patient care. Br J Haematol 2005 Apr;129(1):3–17.   [CrossRef]   [Pubmed]    Back to citation no. 15
  16. Marcelin AG, Aaron L, Mateus C, et al. Rituximab therapy for HIV-associated Castleman disease. Blood 2003 Oct 15;102(8):2786–8.   [CrossRef]   [Pubmed]    Back to citation no. 16
  17. van Rhee F, Fayad L, Voorhees P, et al. Siltuximab, a novel anti-interleukin-6 monoclonal antibody, for Castleman's disease. J Clin Oncol 2010 Aug 10;28(23):3701–8.   [CrossRef]   [Pubmed]    Back to citation no. 17
  18. Matsuyama M, Suzuki T, Tsuboi H, et.al. Anti-interleukin-6 receptor antibody (tocilizumab) treatment of multicentric Castleman's disease. Intern Med 2007;46(11):771–4.   [CrossRef]   [Pubmed]    Back to citation no. 18

[HTML Abstract]   [PDF Full Text]

Author Contributions
Ashok S. Komaranchath – Substantial contributions to conception and design, Acquisition of data, Analysis and interpretation of data, Drafting the article, Revising it critically for important intellectual content, Final approval of the version to be published
A.H. Rudresh – Substantial contributions to conception and design, Revising it critically for important intellectual content, Final approval of the version to be published
Kuntegowdenahalli Lakshmaiah C. – Substantial contributions to conception and design, Revising it critically for important intellectual content, Final approval of the version to be published
Chennagiri S. Premalata – Substantial contributions to conception and design, Revising it critically for important intellectual content, Final approval of the version to be published
Dasappa Loknatha – Substantial contributions to conception and design, Revising it critically for important intellectual content, Final approval of the version to be published
Linu A. Jacob – Substantial contributions to conception and design, Revising it critically for important intellectual content, Final approval of the version to be published
Guarantor of submission
The corresponding author is the guarantor of submission.
Source of support
None
Conflict of interest
Authors declare no conflict of interest.
Copyright
© 2015 Ashok S. Komaranchath et al. This article is distributed under the terms of Creative Commons Attribution License which permits unrestricted use, distribution and reproduction in any medium provided the original author(s) and original publisher are properly credited. Please see the copyright policy on the journal website for more information.