Case Report
 
A rare case of sorafenib induced liver injury in a patient with recurrent Hurthle cell carcinoma
Sufana Shikdar1, Oumoul Barry2, Eugene Choi2
1Resident Physician, Department of Internal Medicine, Mercy Catholic Medical Center, Darby, PA, USA
2Attending Physician, Department of Hemato-Oncology, Mercy Catholic Medical Center, Darby, PA, USA

Article ID: 100051Z10SS2018
doi: 10.5348/100051Z10SS2018CR

Corresponding Author:
Sufana Shikdar
1500 Lansdowne Ave, Darby, PA, USA

Access full text article on other devices

  Access PDF of article on other devices

[HTML Abstract]   [PDF Full Text] [Print This Article]
[Similar article in PubMed] [Similar article in Google Scholar]



How to cite this article
Shikdar S, Barry O, Choi E. A rare case of sorafenib induced liver injury in a patient with recurrent Hurthle cell carcinoma. J Case Rep Images Oncology 2018;4:100051Z10SS2018.


ABSTRACT

Introduction: Sorafenib (Nexavar ®), a multikinase inhibitor, has recently been approved by the FDA for metastatic, radio-resistant Hurthle Cell Carcinoma. Sorafenib induced liver injury is a rare side effect where the pathogenesis is still unknown. Multiple Sorafenib induced liver injury cases are reported, but the majority of the cases occur in the patient with hepatocellular or renal cell carcinoma. Sorafenib induced liver injury in terminally ill patients result in mortality, morbidity and poor quality of life outcome. Patients can be prematurely withdrawn or discontinued from the treatment due the adverse effects, which may limit the usefulness of this medication.

Case Report: We report a case of metastatic, radio-resistant Hurthle Cell Carcinoma (HCC) who was treated with Sorafenib. After one month of treatment, the patient required hospitalization for clinical and laboratory evidence of Drug Induced Liver Injury (DILI) due to Sorafenib. There was no prior history of hepatic pathology and detailed investigation was unremarkable. Her symptoms and liver function test improved within 10 days of discontinuing the drug. Unfortunately, she refused any further chemotherapy and elected hospice care for comfort measure.

Conclusion: Despite identification of the DILI, the pathophysiology and treatment options remain poorly understood. Timely diagnosis and appropriate treatment regarding Sorafenib induced liver injury is essential to improve patient’s quality of life and prevent mortality.

Keywords: Hepatotoxicity, Sorafenib, Thyroid cancer


INTRODUCTION

Hurthle cell carcinoma is a rare subtype of follicular carcinoma which can be found in only 3% of all thyroid cancers [1]. It tends to have more aggressive pattern as the cancer metastasize early in both local and distant lymph nodes, have high recurrence rate, and leading to lower survival rate particularly associated with locally advanced Hurthle cell cancer [1]. Moreover, malignant Hurthle cell carcinomas are poorly responsive to chemotherapy, do not concentrate iodine, and are generally refractory to radioactive iodine treatment [1]. Sorafenib, (Nexavar®; Onyx Pharmaceuticals, Inc., Emeryville, CA; Bayer HealthCare Pharmaceuticals, Inc., Wayne, NJ; Bayer Schering Pharma AG, Berlin, Germany) an oral, multikinase inhibitors targets the signaling pathway in the cancer pathogenesis is now approved by the Food and Drug Administration (FDA) for the treatment of locally or metastatic, radio-resistant progressive differentiated thyroid carcinoma [2]. Sorafenib has demonstrated promising activity in clinical response and in median progression free survival rate [3]. Elevated liver enzymes is a very rare adverse drug reaction associated with Sorafenib and usually reversible with the dose reduction [4]. Fatal acute liver failure was observed in only one patient treated in phase II DECISION trial [4]. We report a unique case of acute liver injury secondary to Sorafenib where cessation of treatment showed improvement.


CASE REPORT

A 63-year-old patient was admitted for a nausea, vomiting and diarrhea for seven days. She was diagnosed with Hurthle cell carcinoma of left thyroid gland in 2012 and initially underwent partial thyroidectomy. In May 2016, recurrent Hurthle Cell Carcinoma was diagnosedalong with pulmonary metastases and was treated by debulking surgery followed by palliative radiotherapy for 1 month (Figure 1). Due to poor response to radiotherapy, she then started on Sorafenib. Prior to the start of the treatment, her lab work revealed no abnormalities and liver enzymes were at baseline. From July 8, 2016 the patient was treated by 400 mg of Sorafenib daily. Her other medications include Statin, Levothyroxine, aspirin, clopidogrel, metoprolol and nitrate.

After one month of treatment on August 8, 2016, the patient developed nausea, vomiting and diarrhea. There was no fever, abdominal pain or change of mental status. On examination, patient was normotensive, tachycardia and had noncontributory abdominal examination finding. Investigations revealed lactate of 4.9 mmol/L, total Bilirubin 1.4 mg/dl, WBC 7.3 thou/ul, Hb 11.7 g/dl, AST 391U/L, ALT 453 U/L, ALP 350 U/L and INR 1.6. The renal function was normal. Based on the R value (Serum (ALT/ALT ULN) / (ALP/ALP ULN)) of 3, mixed pattern of Drug induced Liver injury (DILI) was suspected. Acute viral hepatitis serologies and autoimmune hepatitis serologies were negative. Abdominal computed tomography showed normal hepatobiliary morphology along with colitis in ascending colon. Sorafenib and Statin was discontinued, conservative treatment for DILI was started including bowel rest and aggressive fluid resuscitation. Despite aggressive supportive management and IV ciprofloxacin and metronidazole for the treatment of colitis, the patient continued to deteriorate on the fourth day of admission with laboratory finding of ALT 2498 U/L, AST 3321 U/L, ALP 413 U/L, INR 3.7 and Lactate was 8.5 mmol/L without any change in mentation and was subsequently placed tele-monitored floor. Patient was started on Vitamin K and N-acetylcysteine to supplement symptomatic management of her liver failure. Within seven days her liver function, lactate and coagulation parameters began to normalize, and laboratory data demonstrated lactate 2.6 mmol/l, ALT 277 U/L, AST 31 U/L, ALP 223 U/L and INR 1.6.

Diagnosis of Sorafenib was retained with a RUCAM (RousselUclaf Causality Assessment Method) score of 9 suggestive of high probability of Sorafenib induced Liver injury. However, she preferred not to forgo further with the chemotherapeutic intervention and was transitioned to comfort care. Patient expired shortly after placement to inpatient hospice.


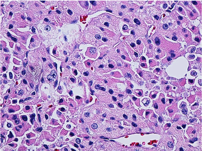
Cursor on image to zoom/Click text to open image
Figure 1: Hurthle cell Carcinoma: large cell with abundant granular eosinophilic cytoplasm with round nucleus and prominent nucleolus (H&E, high power).



DISCUSSION

While Hurthle cell cancer is considered as a subtype of Follicular cell carcinoma, a more aggressive pattern of clinical course has been observed due to its resistance to radioiodine treatment leading to an unfavorable prognosis. RUCAM score Moreover, this cancer demonstrates a unique the genomic and molecular characteristics in which the carcinogenic pathway requires a combination of genetic alternation involving RAS/RAF/MEKand the PI3K/AkT/mTOR kinase signaling pathways, or accumulation of abnormal mitochondrial DNA (mtDNA)[5]. Several clinical trials aimed to block these signaling pathways by multikinase inhibitors (MKI).

Sorafenib, is a new class of oral multikinase inhibitor which acts on the signaling pathways receptor and blocking the activity of VEGFR 1, 2 and 3, c-Kit, platelet-derived growth factor receptors, RET/ PTC, and RAF (including BRAF) [5]. Sorafenib was initially approved for the treatment of renal cell carcinoma and hepatocellular carcinoma [2]. It’s indication as the first line agent for metastatic thyroid cancer resistant to radiotherapy was approved by the FDA recently.

As drug induced liver injury which was found in our case, we think Sorafenib is the most likely culprit. We referred to the RUCAM (RousselUclaf Causality Assessment Method) diagnostic criteria to evaluate our case of suspected DILI. A score of >8 was considered as “highly probable” DILI. Points in favor of mixed type of DILI was based on the R value at presentation where the cutoff values of 2 to 5 serve only as a guideline [6]. In addition, it met the drug induced hepatotoxicity scale to prove that a liver injury is caused by Sorafenib: (1) clear time correlation between administration of the drug and hepatic injury which was observed after completion of first cycle (28) days (2) reversal of liver injury with drug withdrawal corresponded to elimination half-life elimination of Sorafenib, which lasted for two weeks (3) other determinants of hepatic injury was excluded and no other offending medications was identified [6]. Sorafenib induced liver injury is most often manifested as an idiosyncratic drug reaction and less often by dose dependent hepatotoxicity. Idiosyncratic Sorafenib induced liver toxicity has been reported in several case studies in the past [7, 8].

Sorafenib has generally a manageable toxicity profile as monotherapy in compared to other chemotherapeutic agents [2]. It is mainly metabolized in liver and elimination half-life is approximately 25–48 hour [9]. Sorafenib induced hepatitis is considered as a rare adverse reaction (≥1/10,000 to <1/1,000) with a reported incidence is 0.06% [9, 10]. It is also one of the common causes of discontinuation the treatment. In the decision phase II trial, two cases (7%) developed grade 3–4 toxicity, one of which was expired due to fulminant hepatic failure [10]. Also, dose interruption (66% vs 26%), dose reduction (64% vs 9%) and withdrawal (19% vs 4%) were observed more often with Sorafenib compared to placebo in the same trial [10]. Moreover, toxic effect of Sorafenib was found to be higher in patient with thyroid carcinoma compared to the patient with hepatocellular and renal cell carcinoma [11]. Though the exact mechanism is not well understood, it is thought to be linked with the intrinsic changes of the body due to the thyroid cancer state [11].

Thus, it is a challenge to make decisions such as, how to select the patients, and when to initiate or discontinue Sorafenib treatment. Since the FDA approved Sorafenib for the treatment of RAI metastatic thyroid cancer, it seems to be balancing the benefits and risks. It is important to recognize potential liver abnormalities. Although a rare complication, liver injury may result in permanent discontinuation of the treatment with Sorafenib and impair the quality of life in patients with metastatic thyroid cancer. Patients’ symptoms usually develop early during the treatment, efforts should be made to liver injury and to treat them aggressively to minimize the deleterious effects. We advocate obtaining the baseline hepatic function panel and monitoring the liver enzymes more frequently during the treatment course.


CONCLUSION

The present analysis will provide useful information about DILI to health care professionals involved in the treatment using Sorafenib. Further investigations are required to determine the DILI associated with Sorafenib exposure. We are recommending developing and implementing clinical diagnostic criteria and molecular markers to identify the adverse response early during treatment in reducing life threatening complications and improvement in the quality of life.


REFERENCES
  1. Phitayakorn R, McHenry CR. McHenry. Follicular and Hürthle cell carcinoma of the thyroid gland. Surg Oncol Clin N Am 2006 Jul;15(3):603–23.   [CrossRef]   [PubMed]    Back to citation no. 1
  2. Blanchet B, Billemont B, Barete S, et al. Toxicity of sorafenib: Clinical and molecular aspects. Expert Opin Drug Saf 2010 Mar;9(2):275–87.   [CrossRef]   [PubMed]    Back to citation no. 2
  3. Brose MS, Nutting CM, Sherman SI, et al. Rationale and design of decision: A double-blind, randomized, placebo-controlled phase III trial evaluating the efficacy and safety of sorafenib in patients with locally advanced or metastatic radioactive iodine (RAI)-refractory, differentiated thyroid cancer. BMC Cancer 2011 Aug 11;11:349.   [CrossRef]   [PubMed]    Back to citation no. 3
  4. Gupta-Abramson V, Troxel AB, Nellore A, et al. Phase II trial of sorafenib in advanced thyroid cancer. J Clin Oncol 2008 Oct 10;26(29):4714–9.   [CrossRef]   [PubMed]    Back to citation no. 4
  5. Bible KC, Ryder M. Evolving molecularly targeted therapies for advanced-stage thyroid cancers. Nat Rev Clin Oncol 2016 Jul;13(7):403–16.   [CrossRef]   [PubMed]    Back to citation no. 5
  6. Chalasani NP, Hayashi PH, Bonkovsky HL, Navarro VJ, Lee WM, Fontana RJ. ACG clinical guideline: The diagnosis and management of idiosyncratic drug-induced liver injury. Am J Gastroenterol 2014 Jul;109(7):950–66; quiz 967.   [CrossRef]   [PubMed]    Back to citation no. 6
  7. Van Hootegem A, Verslype C, Van Steenbergen W. Sorafenib-induced liver failure: A case report and review of the literature. Case Reports Hepatol 2011;2011:941395.   [CrossRef]   [PubMed]    Back to citation no. 7
  8. Fairfax BP, Pratap S, Roberts IS, et al. Fatal case of sorafenib-associated idiosyncratic hepatotoxicity in the adjuvant treatment of a patient with renal cell carcinoma. BMC Cancer 2012 Dec 11;12:590.   [CrossRef]   [PubMed]    Back to citation no. 8
  9. Fallahi P, Ferrari SM, Santini F, et al. Sorafenib and thyroid cancer. BioDrugs 2013 Dec;27(6):615–28   [CrossRef]   [PubMed]    Back to citation no. 9
  10. Sorafenib in DTC monograph addendum. National drug monograph addendum. VA pharmacy benefits management mervices medical advisory panel, and VISN pharmacist executives. May 2015. [Available at: http://www.pbm.va.gov/PBM/clinicalguidance/drugmonographs/Sorafenib_in_Differentiated_Thyroid_Carcinoma_Addendum.pdf]    Back to citation no. 10
  11. Jean GW, Mani RM, Jaffry A, Khan SA. Toxic effects of sorafenib in patients with differentiated thyroid carcinoma compared with other cancers. JAMA Oncol 2016 Apr;2(4):529–34.   [CrossRef]   [PubMed]    Back to citation no. 11

[HTML Abstract]   [PDF Full Text]

Acknowledgements
The authors are grateful to Dr. Ashley Lentini and Dr. Joseph Jaworski for their assistance with the image of histopathological slide.
Author Contributions
Sufana Shikdar – Substantial contributions to conception and design, Acquisition of data, Analysis and interpretation of data, Drafting the article, Revising it critically for important intellectual content, Final approval of the version to be published
Oumoul Barry –Substantial contributions to conception and design, Acquisition, Analysis and interpretation of data, Drafting the article, Revising it critically for important intellectual content, Final approval of the version to be published
Eugene Choi – Substantial contributions to conception and design, Drafting the article, Revising it critically for important intellectual content, Final approval of the version to be published
Guarantor of Submission
The corresponding author is the guarantor of submission.
Source of Support
None
Consent Statement
Written informed consent was obtained from the patient for publication of this case report.
Conflict of Interest
Author declares no conflict of interest.
Copyright
© 2018 Sufana Shikdar et al. This article is distributed under the terms of Creative Commons Attribution License which permits unrestricted use, distribution and reproduction in any medium provided the original author(s) and original publisher are properly credited. Please see the copyright policy on the journal website for more information.