Case Report
 
Refusal of treatment in a young patient with recurrent medulloblastoma
Aaron C. Tan1, Ian H. Kerridger2, 3, 4, Nick Pavlakis1, 4
1Department of Medical Oncology, Northern Sydney Cancer Centre, Royal North Shore Hospital, Sydney, NSW, Australia
2Department of Haematology, Royal North Shore Hospital, Sydney, NSW, Australia
3Centre for Values, Ethics and the Law in Medicine, Faculty of Medicine, University of Sydney, Sydney, NSW, Australia
4Northern Clinical School, Faculty of Medicine, University of Sydney, Sydney, NSW, Australia

Article ID: 100048Z10AT2018
doi: 10.5348/Z10-2018-48-CR

Corresponding Author:
Aaron C. Tan,
Northern Sydney Cancer Centre, Royal North Shore Hospital,
St Leonards, NSW, Australia, 2065

Access full text article on other devices

  Access PDF of article on other devices

[HTML Abstract]   [PDF Full Text] [Print This Article]
[Similar article in Pumed] [Similar article in Google Scholar]

How to cite this article
Tan AC, Kerridge IH, Pavlakis N. Refusal of treatment in a young patient with recurrent medulloblastoma. J Case Rep Images Oncology 2018;4:100048Z10AT2018.


ABSTRACT
Introduction:Patient autonomy represents a principal tenet of modern oncology. When patients decline treatment in direct contrast with an oncologist's recommendations, it is important to distinguish between an expression of different attitudes, values and beliefs, and an irrational preference. This case report explores the legal and ethical implications of treatment refusal.
Case Report:A 29-year-old male was found to have recurrent medulloblastoma, and declined curative intent high-dose chemotherapy and autologous stem cell rescue. He had a strong belief that prayer would resolve his disease, and he died 18 months following recurrence.
Conclusion: As cancer therapy progresses to an era of personalized treatments with improved prognosis, an understanding of a patient's values and beliefs which underpin their decision is crucial. It is important to avoid imposing a physician's own beliefs in judgement of a patient's decision to refuse treatment, to maintain a trusting relationship and preserve patient's autonomy.

Keywords: Medical ethics, Medulloblastoma, Patient autonomy, Treatment refusal


INTRODUCTION

Patient autonomy represents a principal tenet of modern oncology. When patients decline treatment in direct contrast with an oncologist's recommendations, it is important to distinguish between an expression of different attitudes, values and beliefs, and an irrational preference. Indeed it is extremely difficult to define what constitutes a rational choice. The perspective of the physician as to the whether a decision is rational greatly influences their attitude towards the patient. It is important to avoid imposing a physician's own beliefs in judgement of a patient's decision to refuse treatment, to maintain a trusting relationship and preserve patient's autonomy. This case report explores the legal and ethical implications of treatment refusal.


CASE REPORT

A university educated 29-year-old Caucasian male, the son of a doctor, was initially diagnosed 10 years prior with a bilateral cerebellar medulloblastoma. He presented with headaches and vomiting due to increased intracranial pressure. He underwent craniotomy and debulking of the large tumor. He obtained a complete remission following surgical resection, adjuvant chemotherapy with two cycles of ICE regimen (ifosfamide, cisplatin and etoposide), craniospinal radiotherapy and ‘rainy-day’ collection of peripheral blood stem cells to enable autologous hematopoietic stem cell transplantation in the event of subsequent relapse. Follow-up MRI scan did not show any residual evidence of disease and he then underwent regular MRI surveillance.

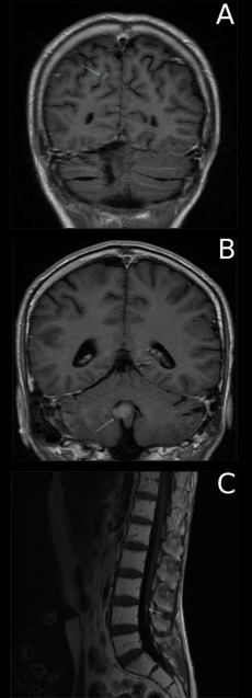
Eight years after his diagnosis, the patient developed asymptomatic intracranial disease with recurrent lesions in the septum pellucidum and inferior cerebellar vermis and also a ‘drop metastasis’ in the lumbar spine (Figure 1). Following discussion with his oncologist and a transplant physician, it was recommended that he receive high-dose chemotherapy and autologous hematopoietic stem cell rescue as this would provide the highest likelihood of remission and cure. To the surprise (and dismay) of his treating team however, he declined active treatment including options such as clinical trials— believing that prayer (he was a devout Protestant) would heal his disease. He was completely competent and remained very clear about his reason for refusing medical treatment. He was not depressed or anxious (about his disease, the toxicity of treatment and his future) and remained calm and considered during all discussions. Discussions were held between the patient and his oncologist, transplant physician and palliative care physician. Unfortunately, while he remained resolute, he gradually developed progressive neurological symptoms with ataxia, recurrent seizures and diplopia. With serial imaging demonstrating progressive disease, he eventually died in a palliative care unit 18 months after recurrence.



Cursor on image to zoom/Click text to open image
Figure 1: Magnetic resonance scan showing recurrent lesions in the (A) Septum pellucidum, (B) Cerebellar vermis, and (C) Lumbar spine.



DISCUSSION

This case highlights the professional and ethical challenges physicians may face when a patient refuses active treatment. While this case is particularly confronting, cases like this are not uncommon because respect for patient autonomy, including respect for a patient's wishes to refuse or decline any treatment, is now an accepted tenet of modern oncology. Consequently, competent patients' decisions to refuse treatment are now accepted on the understanding that such decisions follow a rigorous process of informed consent. Nevertheless, where patients make decisions that are in direct contrast to their oncologist's recommendations and particularly where these decisions seem irrational or unreasonable, it is crucial to identify whether a patient is competent or whether what appears to be an ‘irrational’ decision is simply an expression of different attitudes, values and beliefs [1].

It is, however, extremely difficult to define what constitutes a rational choice. In part, this is because ‘rationality’ may be determined as much by a person's values, goals and ‘world-view’ as by their cognitive and communicative abilities [2], and in this regard physician and patient may perceive decisions very differently. Particularly for curative treatments, physicians may have a goal-oriented rationality which emphasizes attainment of a cure whereas patients may have a value-oriented rationality which privileges their system of values [3].

Given this, it is unsurprising that the intention of a treatment (whether it is curative or not) may influence the way it is evaluated, with physicians finding it more difficult to accept refusal of a curative treatment [4], and patients often finding it incomprehensible that their wishes to continue treatment against their physicians recommendations are not respected [5].

For adult medulloblastoma, craniospinal radiation followed by multiagent chemotherapy for high-risk disease is standard treatment [6]. Although data is limited given the rarity of the condition, the potential for cure lends to an aggressive therapeutic approach even for relapsed disease, with stem cell transplant an important option [7]. There have been important advances in the understanding of the molecular classification of medulloblastoma and promising results from targeted agents have been demonstrated in the recurrent setting, however cytotoxic chemotherapy remains the cornerstone of therapy. Our case illustrated a patient who declined active treatment with curative intent.

In Australia, legally competent patients have the right to refuse treatment, even if the decision is considered ‘not sensible, rational or well considered’ and may even lead to death or serious injury [8]. Competent patients are those that are judged to have the capacity to make a decision which requires an ability to understand the specific situation, evaluate reasonable implications and consequences of a choice, use a reasoned process to weight the risks and benefits of a choice and to communicate relatively consistent or stable choices [9]. Our patient fulfilled all criteria for capacity and competence.

The way that one understands, evaluates and reasons through a decision, is not, however, simply an outcome of one's cognitive and communicative abilities, but is influenced by a person's values, life experiences and religious or spiritual beliefs. However, establishing the theoretical rationality underlying a patient's religious beliefs is extraordinarily complex and difficult and at least to some, may be impossible [10]. But this need not mean that religious beliefs or decisions should be regarded as being rational or irrational, reasonable or unreasonable by virtue of their grounding in faith [11]. Rather, what is required is a basic understanding of the heterogeneity and diversity of beliefs, both within and between faith traditions, and the differing degree to which religious authority, dogma, norms and rituals may influence patient's healthcare decisions [12]. More basically, this means that the ethical framework that we apply to difficult clinical situations must account for and explicitly consider religious perspectives. A multidisciplinary approach is crucial, particularly involving the disciplines of palliative care, psychology and psychiatry to help address the rationale of complex thinking and decision making in these patients.


CONCLUSION

Cases such as these trouble us— not simply because of the refusal of treatment, but because they illustrate how treatment choices are unavoidably subjective, may be inaccessible to reason and may sometimes be inconsistent with our own value systems. As cancer therapy progresses to an era of personalized treatments and consequent improved prognoses, an understanding of a patient's values and beliefs that underpin their healthcare decisions is crucial if we wish to avoid unjustifiable paternalism, maintain trust and respect patient's autonomy – while also delivering optimal cancer care.

REFERENCES
  1. Brock DW, Wartman SA. When competent patients make irrational choices. N Engl J Med 1990 May 31;322(22):1595–9.   [CrossRef]   [Pubmed]    Back to citation no. 1
  2. Huijer M, van Leeuwen E. Personal values and cancer treatment refusal. J Med Ethics 2000 Oct;26(5):358–62.   [CrossRef]   [Pubmed]    Back to citation no. 2
  3. van Kleffens T, van Leeuwen E. Physicians' evaluations of patients' decisions to refuse oncological treatment. J Med Ethics 2005 Mar;31(3):131–6.   [CrossRef]   [Pubmed]    Back to citation no. 3
  4. van Kleffens T, van Baarsen B, van Leeuwen E. The medical practice of patient autonomy and cancer treatment refusals: A patients' and physicians' perspective. Soc Sci Med 2004 Jun;58(11):2325–36.   [CrossRef]   [Pubmed]    Back to citation no. 4
  5. Kerridge I, Lowe M, Mitchell K. Competent patients, incompetent decisions. Ann Intern Med 1995 Dec 1;123(11):878–81.   [Pubmed]    Back to citation no. 5
  6. Ramaswamy V, Taylor MD. Medulloblastoma: From myth to molecular. J Clin Oncol 2017 Jul 20;35(21):2355–63.   [CrossRef]   [Pubmed]    Back to citation no. 6
  7. Kenney AM, Castellino RC, Moots PL, Corso CD, Mehta MP. Medulloblastoma in adults. In: Raghavan D, Ahluwalia MS, Blanke CD, et al. editors. Textbook of Uncommon Cancer. Chichester, UK: John Wiley & Sons Ltd; 2017. p. 917–38.    Back to citation no. 7
  8. Ryan CJ, Callaghan S. Legal and ethical aspects of refusing medical treatment after a suicide attempt: The Wooltorton case in the Australian context. Med J Aust 2010 Aug 16;193(4):239–42.   [Pubmed]    Back to citation no. 8
  9. O'Neill N, Peisah C. Capacity and the Law. Sydney: Sydney University Press; 2011.    Back to citation no. 9
  10. Savulescu J, Momeyer RW. Should informed consent be based on rational beliefs? J Med Ethics 1997 Oct;23(5):282–8.   [CrossRef]   [Pubmed]    Back to citation no. 10
  11. McMahon-Parkes K. Rationality, religion and refusal of treatment in an ambulance revisited. J Med Ethics 2013 Sep;39(9):587–90.   [CrossRef]   [Pubmed]    Back to citation no. 11
  12. Fitzpatrick SJ, Kerridge IH, Jordens CF, et al. Religious perspectives on human suffering: Implications for medicine and bioethics. J Relig Health 2016 Feb;55(1):159–73.   [CrossRef]   [Pubmed]    Back to citation no. 12

[HTML Abstract]   [PDF Full Text]

Author Contributions
Aaron C. Tan – Acquisition of data, Analysis and interpretation of data, Drafting the article, Final approval of the version to be published
Ian H. Kerridge – Substantial contributions to conception and design, Analysis and interpretation of data, Revising it critically for important intellectual content, Final approval of the version to be published
Nick Pavlakis – Substantial contributions to conception and design, Analysis and interpretation of data, Revising it critically for important intellectual content, Final approval of the version to be published
Guarantor of Submission
The corresponding author is the guarantor of submission.
Source of Support
None
Conflict of Interest
Authors declare no conflict of interest.
Copyright
© 2018 Aaron C. Tan et al. This article is distributed under the terms of Creative Commons Attribution License which permits unrestricted use, distribution and reproduction in any medium provided the original author(s) and original publisher are properly credited. Please see the copyright policy on the journal website for more information.