Case Report
 
Case of pancreatic adenocarcinoma presenting as recurrent hypoglycemia: An unusual manifestation
Dibya Jyoti Sharma1, Bipadabhanjan Mallick1, Usha Dutta1
1Department of Gastroenterology, PGIMER, Chandigarh

Article ID: 100043Z10SJ2017
doi: 10.5348/Z10-2017-43-CR-14

Address correspondence to:
Professor Usha Dutta
Department of Gastroenterology, PGIMER
Chandigarh, 2nd level Gastro Centre, Block-F
Nehru Hospital, PGIMER
Chandigarh, India
Access full text article on other devices

  Access PDF of article on other devices

[HTML Abstract]   [PDF Full Text] [Print This Article]
[Similar article in Pumed] [Similar article in Google Scholar]

How to cite this article
Sharma DJ, Mallick B, Dutta U. Case of pancreatic adenocarcinoma presenting as recurrent hypoglycemia: An unusual manifestation. J Case Rep Images Oncology 2017;3:61–64.


ABSTRACT
The occurrence of hypoglycemia in association with pancreatic non-islet cell adenocarcinoma is rarely reported. Increased utilization of glucose in the muscles as well as decreased hepatic production of glucose and hypoglycemia through para neoplastic pathway through production of insulin like growth factors has been postulated as contributory factors. We report this extremely rare presentation in a 63-year-old male with metastatic pancreatic adenocarcinoma who presented with recurrent hypoglycemia.
Keywords: Hypoglycemia, Non-islet cell tumor, Pancreatic adenocarcinoma


INTRODUCTION

Recurrent hypoglycemia has been described in literature in association of various malignancies. Although it is commonly seen with islet cell pancreatic tumor due to secretion of insulin in autonomous fashion, recurrent hypoglycemia in association with pancreatic adenocarcinoma is reported sparingly. Secretion of insulin like growth factors (‘big’ IGF II) is considered as the mediator of recurrent hypoglycemia in most patients of non-islet cell tumor [1][2]


CASE REPORT

A 63-year-old non-diabetic male with a history of chronic alcohol intake (60 g/day) for 30 years, chronic smoker for four years and on anti-hypertensive medications for one year; presented with recurrent symptoms of profuse sweating, palpitation and change in voice for past 15 days without history of involuntary movements of body or focal neurological deficit. Three days after the initial hypoglycemic episodes patient developed jaundice which was non cholestatic and was not associated with prodrome, altered sensorium or gastrointestinal bleed. Subsequently, he developed progressive swelling and heaviness in right upper quadrant of abdomen which was found to be due to hepatomegaly on clinical evaluation. The patient was having significant loss of weight (around 18 kg) and loss of appetite over a period of last six months. On checking the list of drugs used to treat the patient no medication which is associated with hypoglycemia could be detected.

On clinical evaluation the patient was hypotensive at presentation to our centre which improved with ionotropic support. His other vital parameters were within normal limit. He had pallor, icterus and pitting edema in bilateral legs. Abdominal examination revealed a hard nodular enlarged liver with sharp margin and evidence of free fluid in the abdomen. He had low hemoglobin (8.1 g/dl) and platelet count (51x103/mm3). The patient had evidence of sepsis in the form of leukocytosis (33000/mm3) and elevated procalcitonin (3.17 ng/ml) which improved subsequently with intravenous antibiotics. He had elevated serum bilirubin (3.6 mg/dl) which improved with correction of sepsis and low serum albumin level (1.4 g/dl) indicating poor nutritional status of the patient.

The patient had developed hypoglycemic episodes on multiple occasions during hospitalization which correlated with documented low serum glucose (28.2 mg/dl, 38.7 mg/dl) and they used to improve upon intravenous glucose administration. Hormonal workup showed low growth hormone (GH) level (< 0.1 ng/ml), C-peptide level (5.21 ng/ml) slightly higher than upper limit of normal (1.1–4.4 ng/ml), elevated serum cortisol level (849.1 nmol/L) indicating activation of hypothalamic pituitary axis and basal insulin level (4.97 µU/ml) in lower limit of normal (2.6–24.9 µU/ml). His viral markers including hepatitis B surface antigen (HBsAg), Anti-HCV (hepatitis C virus) and human immunodeficiency virus (HIV) were non-reactive. Glycated hemoglobin (HbA1C), thyroid function test and urine examination for ketones were within normal limit. In the absence of elevated insulin, C-peptide and growth hormone level in a patient with hypoglycemia, it is suggestive of presence of an agent in the body that mimics the actions of insulin. Hence the hypoglycemic episodes were considered to be due to stimulation of insulin like growth factors from tumor in the body. The level of insulin like growth factor (IGF I) which is structurally homologous to IGF II and insulin, was low (123 ng/ml) with normal range being 163–584 ng/ml. However, IGF II level could not be evaluated as the facility was not available in our centre.

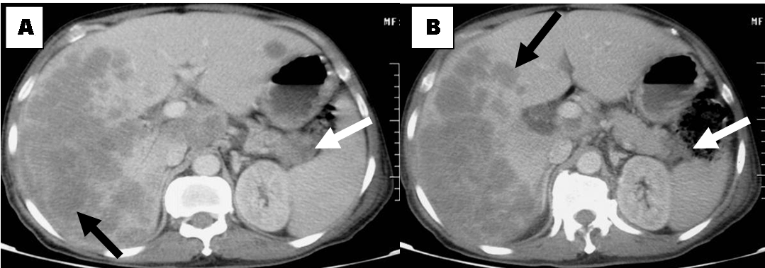
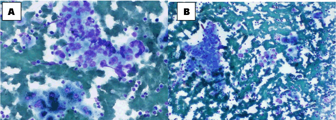
The patient had undergone abdominal contrast enhanced computed tomography (CT) scan which revealed a heterogeneous mass lesion of 3.2x3.3 cm size in the tail of pancreas with normal main pancreatic duct (MPD) diameter along with multiple well defined hypodense lesions of varying sizes in both lobes of liver with few of the lesions showing mild capsular bulge likely liver metastasis. Rest of the pancreas is normal in bulk and attenuation. Multiple enlarged and necrotic lymph nodes in periportal, peripancreatic, portocaval and aortocaval region; lytic lesions in dorsal (D9) vertebrae and mild ascites was also noted suggestive of metastatic disease. However, no evidence of vascular entrapment and adrenal gland metastasis was noted on imaging (Figure 1). In view of metastatic tumor on imaging, the patient underwent an ultrasound guided fine needle aspiration from the hypodense lesions of liver which showed features of metastatic adenocarcinoma (Figure 2). His carbohydrate antigen 19.9 (CA-19.9) level was found to be highly elevated (> 10000 IU/ml) confirming our diagnosis of unresectable metastatic pancreatic adenocarcinoma. Patient’s relatives took discharge from our centre in view of poor prognosis of the patient. However, he expired at home seven days after taking discharge from the hospital. Autopsy was not carried out in the patient.


Cursor on image to zoom/Click text to open image
Figure 1: Computed tomography scan of abdomen showing pancreatic tail mass (white arrow) with hepatic metastasis (black arrow showing hypodense lesions).



Cursor on image to zoom/Click text to open image
Figure 2: Fine needle aspiration smear from liver showing multiple clusters of tumor cells with benign hepatocytes seen in the background.



DISCUSSION

Multiple mechanisms have been proposed for non-islet cell tumor induced hypoglycemia which is also valid for pancreatic adenocarcinoma. Primary among them are decreased hepatic glucose production as result of blockage of glycogenolysis and gluconeogenesis and increased utilization of sugar by the tumor itself as well as skeletal musculature of the body [1][3]. In the study by Zapf et al., 25 out of 28 (89.3%) patients who had hypoglycemia in association with non-islet cell tumor found to have elevated levels of total and immunoreactive immature IGF II (also called big IGF II) whereas IGF I level was low. Elevated level of IGF II inhibits endogenous insulin as well as growth hormone (GH) secretion by the body. Low growth hormone level prevents the formation of ternary complexes with IGF II which remain in circulation as free binary complexes. IGF II in turn produces hypoglycemia by inhibiting hepatic glucose production and increasing utilization of sugar by skeletal musculature of the body [2][4] (Figure 3).

Non-islet cell tumor induced hypoglycemia is diagnosed by measuring the insulin, C-peptide and growth hormone level which are below the normal limit in association with low blood sugar in the absence of any drug that causes hypoglycemia including sulphonylurea. The blood glucose estimation needs to be carried out at the time of hypoglycemic episode and the patient should respond to the treatment with dextrose as was shown in our patient. Among other diagnostic parameters both total and ‘big’ insulin like growth factor level are found to be elevated with suppressed IGF I level and total IGF II and IGF I ratio of > 10 (normal molar ratio is 3:1) is considered as diagnostic [4]. The endocrine society clinical practice guideline has recommended insulin level < 3 µU/mL, proinsulin level < 5 pmol/L, C-peptide level < 0.2 nmol/L as cut off for diagnosis of non-insulin secreting tumor induced hypoglycemia [5]. In our patient, the IGF I level was found to be low; however total IGF II/IGF I value could not be evaluated in view of lack of facility to determine the IGF II level in our centre.

Surgery of the pancreatic tumor is the definitive treatment which reverses the biochemical abnormality and also normalizes blood glucose level. However, in our patient surgery was not possible in view of disseminated malignancy. When surgery of the tumor is not possible, repeated administration of glucagon injections [6] or intravenous glucose can be used to treat hypoglycemia [4]. Glucocorticoids have also been found to be effective in the treatment of tumor induced hypoglycemia. It decreases the secretion of ‘big’ IGF II from the tumor in a dose dependent manner [7]. The reported effective dose for prednisolone is 30–60 mg/day while dexamethasone is effective at a dose of 4 mg/day [8]. Reports of growth hormone use as an arsenal of therapy concluded that it can also improve tumor induced spontaneous hypoglycemia and mitigate the symptoms [9]. Radiotherapy as well as chemotherapy along with debulking of the tumor has been found to be of benefit in preventing the recurrent hypoglycemic episodes [10].



Cursor on image to zoom/Click text to open image
Figure 3: Pathophysiology of IGF II induced hypoglycemia.



CONCLUSION

Non-islet tumor induced hypoglycemia has been described in association with various malignancies although its occurrence with pancreatic adenocarcinoma is very rare. Hypoglycemia in patients with underlying malignancies occurs as a result of many etiologies which include drug use, hepatic failure, septicemia, adrenal insufficiency from tumor metastasis and paraneoplastic phenomenon which is caused by secretion of immature IGF II by the tumor. The diagnosis of hypoglycemia (blood sugar < 55 mg/dl) need to be documented along with measurement of insulin, C-peptide and other hormonal level should be done during hypoglycemic episode. The removal of tumor by surgery is the definitive treatment, however in case of metastatic tumor when surgery is not feasible medical therapy; chemotherapy and radiotherapy can be alternative option. During evaluation of unexplained hypoglycemia in the setting of underlying malignancy, clinician must keep possibility of non-islet cell tumor induced hypoglycemia after ruling out other etiologies for hypoglycemia.


REFERENCES
  1. Kahn CR. The riddle of tumour hypoglycaemia revisited. Clin Endocrinol Metab 1980 Jul;9(2):335–60.   [CrossRef]   [Pubmed]    Back to citation no. 1
  2. Zapf J, Futo E, Peter M, Froesch ER. Can "big" insulin-like growth factor II in serum of tumor patients account for the development of extrapancreatic tumor hypoglycemia? J Clin Invest 1992 Dec;90(6):2574–84.   [CrossRef]   [Pubmed]    Back to citation no. 2
  3. Møller N, Blum WF, Mengel A, Hansen LB, Alberti KG, Schmitz O. Basal and insulin stimulated substrate metabolism in tumour induced hypoglycaemia; evidence for increased muscle glucose uptake. Diabetologia 1991 Jan;34(1):17–20.   [CrossRef]   [Pubmed]    Back to citation no. 3
  4. Ma RC, Lo RS, Tai MH, Chan JC, Chow CC, Woo JL. Recurrent hypoglycaemia in a patient with metastatic pancreatic carcinoma. PLoS Med 2006 Aug;3(8):e331.   [CrossRef]   [Pubmed]    Back to citation no. 4
  5. Cryer PE, Axelrod L, Grossman AB, et al. Evaluation and management of adult hypoglycemic disorders: an Endocrine Society Clinical Practice Guideline. J Clin Endocrinol Metab 2009 Mar;94(3):709–28.   [CrossRef]   [Pubmed]    Back to citation no. 5
  6. Hoff AO, Vassilopoulou-Sellin R. The role of glucagon administration in the diagnosis and treatment of patients with tumor hypoglycemia. Cancer 1998 Apr 15;82(8):1585–92.   [CrossRef]   [Pubmed]    Back to citation no. 6
  7. Baxter RC, Holman SR, Corbould A, Stranks S, Ho PJ, Braund W. Regulation of the insulin-like growth factors and their binding proteins by glucocorticoid and growth hormone in nonislet cell tumor hypoglycemia. J Clin Endocrinol Metab 1995 Sep;80(9):2700–8.   [CrossRef]   [Pubmed]    Back to citation no. 7
  8. Teale JD, Wark G. The effectiveness of different treatment options for non-islet cell tumour hypoglycaemia. Clin Endocrinol (Oxf) 2004 Apr;60(4):457–60.   [CrossRef]   [Pubmed]    Back to citation no. 8
  9. Teale JD, Blum WF, Marks V. Alleviation of non-islet cell tumour hypoglycaemia by growth hormone therapy is associated with changes in IGF binding protein-3. Ann Clin Biochem 1992 May;29 ( Pt 3):314–23.   [CrossRef]   [Pubmed]    Back to citation no. 9
  10. Kishi K, Sonomura T, Sato M. Radiotherapy for hypoglycaemia associated with large leiomyosarcomas. Br J Radiol 1997 Mar;70:306–8.   [CrossRef]   [Pubmed]    Back to citation no. 10

[HTML Abstract]   [PDF Full Text]

Author Contributions
Dibya Jyoti Sharma – Substantial contributions to conception and design, Acquisition of data, Analysis and interpretation of data, Drafting the article, Final approval of the version to be published
Bipadabhanjan Mallick – Substantial contributions to conception and design, Analysis and interpretation of data, Revising it critically for important intellectual content, Final approval of the version to be published
Usha Dutta – Substantial contributions to conception and design, Revising it critically for important intellectual content, Final approval of the version to be published
Guarantor of submission
The corresponding author is the guarantor of submission.
Source of support
None
Conflict of interest
Authors declare no conflict of interest.
Copyright
© 2017 Dibya Jyoti Sharma et al. This article is distributed under the terms of Creative Commons Attribution License which permits unrestricted use, distribution and reproduction in any medium provided the original author(s) and original publisher are properly credited. Please see the copyright policy on the journal website for more information.