Case Report
 
Gastric adenocarcinoma with bone marrow carcinomatosis complicated with cancer related thrombotic microangiopathy: A case report
Semih Gülle1, Emin Taskiran1, Elif Gram1, Sümeyye Ekmekçi2, Zeki Sürmeli3, Harun Akar1
1Tepecik Education and Research Hospital, Internal Medicine Department, Izmir, Turkey
2Tepecik Education and Research Hospital, Pathology Department, Izmir, Turkey
3Tepecik Education and Research Hospital, Oncology Department, Izmir, Turkey

Article ID: 100039Z10SG2017
doi:10.5348/Z10-2017-39-CR-10

Address correspondence to:
Semih Gülle
Tepecik Education and Research Hospital
Internal Medicine Department Izmir
Turkey

Access full text article on other devices

  Access PDF of article on other devices

[HTML Abstract]   [PDF Full Text] [PDF Full Text] [Print This Article]
[Similar article in Pumed] [Similar article in Google Scholar]

How to cite this article
Gülle S, Taskiran E, Gram E, Ekmekçi S, Sürmeli Z, Akar H. Gastric adenocarcinoma with bone marrow carcinomatosis complicated with cancer related thrombotic microangiopathy: A case report. J Case Rep Images Oncology 2017;3:44–47.


ABSTRACT
Introduction: Thrombotic microangiopathy is a common complication in cancer patients. Thrombotic microangiopathy occurs in association with a variety of malignancies, especially adenocarcinomas. The prognosis is not as favorable as in classical thrombotic thrombocytopenic purpura (TTP). Presentation may be either at an early stage of cancer or associated with disseminated disease.
Case Report: We report a case of a 38-year-old male affected by metastatic gastric adenocarcinoma, who first presented with thrombotic microangiopathy and melena. Esophagogastroduodenoscopy revealed advanced gastric cancer (AGC). The signet ring cell gastric cancer was diagnosed by biopsy. He was considered as cancer related thrombotic microangiopathy (CR-TMA). Despite receiving intensive therapy for CR-TMA, his clinical status worsened. Bone marrow biopsy led to a diagnosis of disseminated carcinomatosis of the bone marrow caused by AGC.
Conclusion: Cancer related thrombotic microangiopathy is a devastating complication of malignant diseases and mainly seen in late-stage metastasized carcinomas. The underlying cancers are pre-dominantly adenocarcinomas. There is increasing evidence that bone marrow infiltration, frequently seen in prostate, lung, breast, ovarian and gastric cancer, is associated with thrombotic microangiopathy. Before any form of therapy is initiated, several questions have to raised, such as whether TMA is primary or secondary to a metastatic carcinoma.

Keywords: Bone marrow carcinomatosis, Gastric cancer, Microangiopathy


INTRODUCTION

Thrombotic microangiopathy (TMA) is a common complication in cancer patients. Presentation may be either at an early stage of cancer or associated with disseminated disease. Occasionally, TMA may be one of the first manifestations of an occult cancer.

ADAMTS13 (a disintegrin and metalloproteinase with thrombospondin motifs type 13) is a metalloprotease which limits platelet aggregation and microthrombi formation in the microcirculation by cleaving von Willebrand factor (vWF) between tyrosine-1605 methionine-1606 to generate a series of small molecular weight multimers.

Defective regulation of vWF activity by a circulating ADAMTS13, is found in most idiopathic cases presenting with thrombocytopenia, microangiopathic hemolysis [1]. ADAMTS13 activity is not significantly reduced in these patients [2]. The pathogenesis of cancer-related TMA (CR-TMA) is unclear, but probably four main pathophysiologic mechanisms were identified before: manifestations of cancer itself, complication of chemotherapy, in the setting of bone marrow transplantation and autoantibody or immunotoxins. The most important factor is endothelial damage from cancer itself. Fragmentation of erythrocytes as they pass through clogged arterioles gives rise to Coombs-negative hemolytic anemia with an elevated schistocyte count. Aggressive growth of tumors and secondary myelofibrosis may injure the main marrow vasculature, because of abnormal angiogenesis in the marrow [3]. This could result in release of ultra large vWF multimers (ULvWF). Fragmentation of red blood cells due to direct contact with intraluminal fibrin thrombi or tumor emboli within blood vessels may lead to TMA. Treatment of the underlying neoplasia as soon as possible is the mainstay of therapy and there is no role for plasmapheresis or plasma infusions [4].


CASE REPORT

A 38-year-old male with a past medical history of Crohn’s disease, receiving mesalazine and azathioprine therapy for the last three years was admitted to the emergency room with melena. Gastroscopy revealed intact gastric mucosa and bleeding ulcerated advanced gastric cancer (AGC) (Figure 1). The signet ring cell gastric cancer was diagnosed by biopsy.

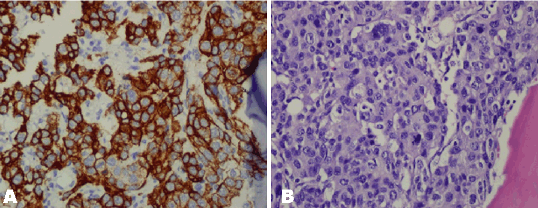
On admission, laboratory results showed anemia, thrombocytopenia and schistocytes in peripheral blood smear. The patient was transfused five units of packed red blood cells and four units of platelet-rich plasma. Clotting tests revealed elevated D-dimer 1170 µg/mL; normal value <250 µg/mL, normal level of fibrinogen (210 mg/dL; normal value >200 mg/dL) and a low platelet count 6.0x103/µL; normal value 150–400x103/µL), a slightly higher level of INR, low haptoglobin levels, elevated serum LDH and indirect bilirubin levels which led us a diagnosis of cancer related thrombotic microangiopathy (CR-TMA). His electrolyte panel was normal with a BUN 12 and a creatinine 0.8. The remainder of his chemical profile was normal. Despite receiving intensive therapy for CR-TMA, his clinical status worsened. Bone marrow biopsy led to a diagnosis of disseminated carcinomatosis of the bone marrow caused by AGC (Figure 2). Thrombocytopenia of uncertain origin with slightly high INR, APTT, elevated D-dimer, normal fibrinogen, proofs of intravascular hemolysis and schistocytes in peripheral blood smear led us the diagnosis of TMA. We initiated combination chemotherapy with 5-flourouracil (5-FU) and cisplatin (CIS), which led to a significant improvement of the CR-TMA. Now he is completing the 5th cycle of a planned six cycles of his treatment.


Cursor on image to zoom/Click text to open image
Figure 1: Lesion lies from posterior wall of corpus to antrum with slightly depressed and ulcerated base.



Cursor on image to zoom/Click text to open image
Figure 2: Bone marrow biopsy showing (A) Pan CK7 positivity (magnification: x40), (B) Abundance of signet ring cells (magnification: x40).



DISCUSSION

Cancer-related thrombotic microangiopathy (CR-TMA) can complicate the development of a variety of cancers is characterized as microangiopathic hemolytic anemia (MAHA) with fragmented red blood cells. Although patients may have an established diagnosis with documented metastases, cancer related thrombotic microangiopathy (CR-TMA) can be a presenting feature of an occult malignancy. The CR-TMA is a devastating complication of malignant diseases and mainly seen in late-stage metastasized carcinomas. The underlying cancers are predominantly adenocarcinomas.

There is increasing evidence that bone marrow infiltration, frequently seen in prostate, lung, breast, ovarian and gastric cancer, is associated with thrombotic microangiopathy (TMA). While a severe ADAMTS13 deficiency seems not to be the underlying pathophysiologic mechanism, bone marrow infiltration by carcinoma cells is strongly associated with TMA. Bone marrow involvement by metastatic carcinoma is uncommon and typically represents a late manifestation of disease. Marrow infiltration can lead to intramedullary hemolysis with significant cytopenias and schistocytes on peripheral smear, mimicking TTP.

In this case, the patient’s hematologic manifestations were the presenting features of his malignancy, creating a diagnostic dilemma. He had both thrombotic microangiopathy and severe bleeding AGC in admission so the diagnosis was able to delay. After endoscopy we aimed to treat bleeding presence severe thrombocytopenia and hemolytic anemia. After first resuscitation this process warrants searching for bone narrow metastases. Diagnosis could be delayed in these patients so clotting test analysis and peripheral smear should be cornerstones.

CR-TMA can either be a presenting feature of an of the underlying cancer or reflect a bad prognostic course [5]. Clues to the presence of CR-TMA include respiratory symptoms, bone pain, myelemia or higher platelet count than in TTP [6]. In this context, bone marrow aspiration is a fast and gainful investigation to avoid plasma therapy and immunosuppressive drugs. Indeed, this severe and poor-prognosis disease requires prompt diagnosis and rapid initiation of specific chemotherapy directed to underlying cancer. Prompt diagnosis of CR-TMA is critically important because unlike in TTP-HUS, therapeutic plasma exchange has not been shown to improve outcome in these patients [7][8].

The mechanisms underlying CR-TMA are not clear yet. Hilgard et al. proposed that tumor emboli from disseminating carcinoma can activate platelets and promote fibrin deposition leading MAHA. Fontana et al. demonstrated that MAHA in the setting of metastatic carcinoma is not associated with a severe deficiency of the vWF-cleaving protease [9]. However, these should be interpreted with caution and trials may be required to confirm the role of severe deficiency of the vWF-cleaving protease.


CONCLUSION

We present herein a case of gastric adenocarcinoma complicated with CR-TMA. The patient is a 38-year-old man with advanced gastric carcinoma (AGC) that had metastasized to his bone marrow. The results of laboratory studies revealed hemolytic anemia and thrombocytopenia; results of a bone-marrow biopsy confirmed the involvement by metastatic carcinoma. Before any form of therapy is initiated, several questions have to raised, such as whether TMA is primary or secondary to a metastatic carcinoma.


REFERENCES
  1. Tersteeg C, Verhenne S, Roose E, et al. ADAMTS13 and anti-ADAMTS13 autoantibodies in thrombotic thrombocytopenic purpura: Current perspectives and new treatment strategies. Expert Rev Hematol 2016;9(2):209–21.   [CrossRef]   [Pubmed]    Back to citation no. 1
  2. Pirrotta MT, Bucalossi A. Thrombotic microangiopathy and occult neoplasia. Cardiovasc Hematol Disord Drug Targets 2010 Jun;10(2):87–93.   [Pubmed]    Back to citation no. 2
  3. George JN. Systemic malignancies as a cause of unexpected microangiopathic hemolytic anemia and thrombocytopenia. Oncology (Williston Park) 2011 Sep;25(10):908–14.   [Pubmed]    Back to citation no. 3
  4. Francis KK, Kalyanam N, Terrell DR, Vesely SK, George JN. Disseminated malignancy misdiagnosed as thrombotic thrombocytopenic purpura: A report of 10 patients and a systematic review of published cases. Oncologist 2007 Jan;12(1):11–9.   [CrossRef]   [Pubmed]    Back to citation no. 4
  5. Ducos G, Mariotte E, Galicier L, et al. Metastatic cancer-related thrombotic microangiopathies: A cohort study. Future Oncol 2014 Aug;10(10):1727–34.   [CrossRef]   [Pubmed]    Back to citation no. 5
  6. Pendse AA, Edgerly CH, Fedoriw Y. Hemolytic anemia and metastatic carcinoma: Case report and literature review. Lab Med 2014 Spring;45(2):132–5.   [CrossRef]   [Pubmed]    Back to citation no. 6
  7. Levi M. Cancer-related coagulopathies. Thromb Res 2014 May;133 Suppl 2:S70–5.   [CrossRef]   [Pubmed]    Back to citation no. 7
  8. Higashi A, Dohi Y, Uraoka N, et al. The potential role of inflammation associated with interaction between osteopontin and CD44 in a case of pulmonary tumor thrombotic microangiopathy caused by breast cancer. Intern Med 2015;54(22):2877–80.   [CrossRef]   [Pubmed]    Back to citation no. 8
  9. Fontana S, Gerritsen HE, Kremer Hovinga J, Furlan M, Lämmle B. Microangiopathic haemolytic anaemia in metastasizing malignant tumours is not associated with a severe deficiency of the von Willebrand factor-cleaving protease. Br J Haematol 2001 Apr;113(1):100–2.   [CrossRef]   [Pubmed]    Back to citation no. 9

[HTML Abstract]   [PDF Full Text]

Author Contributions
Semih Gülle – Substantial contributions to conception and design, Acquisition of data, Analysis and interpretation of data, Drafting the article, Revising it critically for important intellectual content, Final approval of the version to be published
Emin Taskiran – Substantial contributions to conception and design, Acquisition of data, Analysis and interpretation of data, Drafting the article, Revising it critically for important intellectual content, Final approval of the version to be published
Elif Gram – Substantial contributions to conception and design, Acquisition of data, Analysis and interpretation of data, Drafting the article, Revising it critically for important intellectual content, Final approval of the version to be published
Sümeyye Ekmekçi – Substantial contributions to conception and design, Acquisition of data, Analysis and interpretation of data, Drafting the article, Revising it critically for important intellectual content, Final approval of the version to be published
Zeki Sürmeli – Substantial contributions to conception and design, Acquisition of data, Analysis and interpretation of data, Drafting the article, Revising it critically for important intellectual content, Final approval of the version to be published
Harun Akar – Substantial contributions to conception and design, Acquisition of data, Analysis and interpretation of data, Drafting the article, Revising it critically for important intellectual content, Final approval of the version to be published
Guarantor of submission
The corresponding author is the guarantor of submission.
Source of support
None
Conflict of interest
Authors declare no conflict of interest.
Copyright
© 2017 Semih Gülle et al. This article is distributed under the terms of Creative Commons Attribution License which permits unrestricted use, distribution and reproduction in any medium provided the original author(s) and original publisher are properly credited. Please see the copyright policy on the journal website for more information.