Case Series
 
Fatal complications of endoluminal stent insertion before preoperative chemoradiotherapy for distal esophageal cancer: A case series
Vladimir Valakh1, Juhi Mittal2
1MD, Attending Physician, Division of Radiation Oncology, Allegheny Health Network Cancer Institute, 320 East North Avenue, Pittsburgh, PA, USA.
2MD, Assistant Professor, Department of Hematology/Oncology, Fox Chase Cancer Center, 333 Cottman Ave, Philadelphia, PA, USA.

Article ID: 100028Z10VV2016
doi:10.5348/Z10-2016-28-CS-19

Address correspondence to:
Vladimir Valakh
4800 Friendship ave. Pittsburgh
PA 15224
USA

Access full text article on other devices

  Access PDF of article on other devices

[HTML Abstract]   [PDF Full Text] [Print This Article]
[Similar article in Pumed] [Similar article in Google Scholar]

How to cite this article:
Valakh V, Mittal J. Fatal complications of endoluminal stent insertion before preoperative chemoradiotherapy for distal esophageal cancer: A case series. J Case Rep Images Oncology 2016;2:79–83.


Abstract
Introduction: Stents are used for palliation of incurable esophageal cancer. In many centers stenting is also performed for dysphagia prior to curative treatment. We report two cases of unexpected mortality due to stenting before preoperative chemoradiotherapy.
Case Series: In Case 1, a 68-year-old male presented with stage IIIA (T3, N1, M0) adenocarcinoma of the distal esophagus. A fully covered self-expanding metal stent was inserted. Esophagectomy following neoadjuvant concurrent chemoradiation was recommended. The patient received 50.4 Gy/28 fractions of radiotherapy with weekly paclitaxel and carboplatin. Fifteen days after completion, he was admitted with a rapidly developed right pleural effusion and expired in intensive care unit. The cause of death was esophageal perforation in the region of the stent. In case 2, a 69-year-old female was diagnosed with stage IIA (T3, N0, M0) adenocarcinoma of the distal esophagus. Esophagectomy after neoadjuvant concurrent chemoradiation was prescribed. A fully covered self-expanding metal stent was then inserted across gastroesophageal junction. Plan was for 50.4 Gy/28 fractions with weekly paclitaxel and carboplatin. After fraction #19, she came to the hospital with dyspnea and was diagnosed with necrotizing pneumonia of the right middle lobe, and the patient expired on hospice. The cause of death was aspiration pneumonia due to incompetence of stented lower esophageal sphincter.
Conclusion: We have presented two cases of on-treatment mortality due to stents placed into the distal esophagus before the initiation of curative-intent neoadjuvant chemoradiotherapy. Our institutional practices were modified to exclude recommendations for stenting of any curable distal esophageal cancers prior to treatment.

Keywords: Esophageal cancer, Iatrogenic complications, Radiation therapy, Stents

Introduction

Endoluminal stents, in particular self-expanding metal stents (SEMS) are widely used for rapid, effective palliation of dysphagia in patients with incurable esophageal cancer [1]. In many institutions, the indications for stent insertion have been recently expanded to include patients with non-metastatic carcinomas of esophagus, who present with dysphagia prior to the curative-intent treatment [2][3]. Since 2012, it has been a standard practice at our institution to perform insertion of SEMS for all patients with localized esophageal cancer, which were exhibiting more than minimal dysphagia at the time of the diagnosis, and which were scheduled to receive neoadjuvant external beam radiotherapy with concurrent systemic chemotherapy followed by curative intent esophagectomy. In this report, we describe two cases of unexpected mortality related to esophageal stenting done just prior to the initiation of preoperative chemoradiotherapy.


Case Series

Case 1
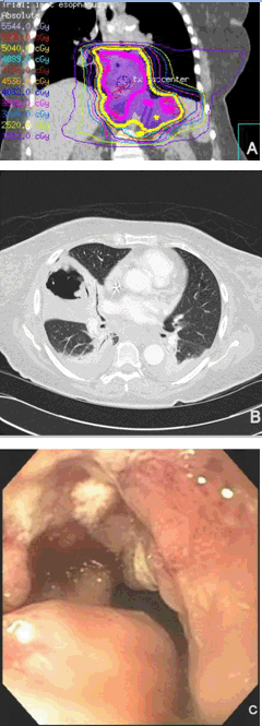
A 68-year-old Caucasian male presented with a three-month history of moderate to severe dysphagia. He did not have any clinical or laboratory evidence of malnutrition. Upper endoscopy with biopsies identified moderately differentiated invasive adenocarcinoma of the distal esophagus, extending to but not past the gastroesophageal junction (GEJ), from 37 to 40 cm from the upper incisors. The tumor was described by the endoscopist to be partially obstructive. By endoscopic ultrasound, American Joint Commission on Cancer clinical stage IIIA (uT3, uN1, M0) was assigned. Computed tomography of the chest, abdomen and pelvis with and without intravenous contrast and positron emission tomography did not reveal any evidence of further locoregional cancer extent or distant metastases. A fully covered SEMS, 18x100 mm in size, was then inserted across GEJ, and this intervention completely relieved his dysphagia. Esophagectomy following neoadjuvant concurrent chemoradiation was recommended by the multidisciplinary care team. The patient, therefore, received 50.4 Gy/28 fractions of external beam radiotherapy along with weekly paclitaxel and carboplatin chemotherapy without interruption or any self-reported discomfort. Unexpectedly, on day-15 from the completion of radiotherapy, he was admitted to the hospital in critically ill condition with a massive, rapidly developed right pleural effusion. Emergent upper endoscopy revealed the esophageal stent to be in a proper position. Incidentally, free flow of liquid was noted trough GEJ, which was covered by the stent. Urgent esophagectomy was deemed not to be feasible. The patient ultimately expired in the intensive care unit on the day-11 of the hospital stay. The most likely cause of death was determined to be esophageal perforation in the region of the endoluminal stent, although severe aspiration pneumonia as the culprit could not be excluded (Figure 1).

Case 2
A 69-year-old African-American female also presented with a three-month history of moderate to severe dysphagia. She was obese but did have laboratory evidence of malnutrition. Upper endoscopy with biopsies revealed moderately differentiated invasive adenocarcinoma of the distal esophagus, esophagus at 34 to 38 cm from the upper incisors, extending less than 1 cm past GEJ. By endoscopic ultrasound, stage IIIA (uT3, uN0, M0) was assigned. There was no complete obstruction of the lumen. Computed tomography and positron emission tomography did not reveal any evidence of distant metastases. She was advised to undergo esophagectomy following a course of neoadjuvant concurrent chemoradiation after consultations with the physicians on the multidisciplinary care team. Furthermore, esophageal stent was recommended and a fully covered SEMS, 18x120 mm in size, was placed across GEJ. The patient then started radiotherapy for a total planned dose of 50.4 Gy/28 fractions, given simultaneously with weekly paclitaxel and carboplatin chemotherapy. During preoperative chemoradiotherapy, she complained of persistent chest pain and symptoms of reflux while lying flat. After the daily treatment fraction 19, the patient presented to the hospital with dyspnea at rest. Opacity in the right lung was identified on X-ray, which after two weeks of hospital stay worsened and was ultimately diagnosed as necrotizing pneumonia of the right middle lobe of the lung. There was also radiographic evidence of aspiration in both lower lungs. The patient received intravenous antibiotics and supplemental oxygen. Chemoradiotherapy was aborted after fraction #25, and the patient expired on hospice shortly thereafter. The most likely cause of death was determined to be aspiration pneumonia due to incompetence of the stented lower esophageal sphincter (Figure 2).


Cursor on image to zoom/Click text to open image
Figure 1: Endoscopic and radiographic images in Case 1. (A) Diagram of body region receiving radiotherapy, (B) View of the distal esophageal tumor just prior to stent insertion, (C) Single axial slice of contrast enhanced computed tomography of the thorax, taken on day-3 of the terminal episode showing small bilateral pleural effusions after right chest tube placement.




Cursor on image to zoom/Click text to open image
Figure 2: Endoscopic and radiographic images in Case 2. (A) Diagram of body region receiving radiotherapy, (B) Single axial slice of contrast enhanced computed tomography of the thorax, taken just prior patient's expiration, demonstrating necrotizing pneumonia with a large cavitary lesion in the right middle lobe with an air-fluid level, as well as scattered infiltrative changes throughout both lungs, likely representing combination of pneumonia/aspiration, (C) View of the distal esophageal tumor just prior to stent insertion.


Discussion

Dysphagia is one of the cardinal symptoms of esophageal cancer, often inflicting severe impact on quality of life [4]. Numerous effective interventions designed to correct dysphagia and/or its consequences exist. They include a short course of radiotherapy, feeding gastrostomy, jejunostomy, nasogastric feeding, parenteral nutrition, laser debulking, endoscopic dilatation and insertion of stents [5]. Endoluminal stents, including SEMS, are particularly attractive since they offer a quick way to restore and maintain oral nutrition [1] [2][3]. Indeed, numerous studies have been published on successful SEMS use in strictly palliative setting, i.e. for patients with poor prognosis due to distant metastases, limited performance status, or severe comorbidities [1] [5][6].

Fewer data are available on insertion of SEMS for patients suitable for curative-intent esophagectomy and/or combined chemoradiation. Majority of those studies are retrospective, include small number of subjects, and they lack long term follow up [2][3] [7]. Potential concerns regarding use of SEMS in curative setting include a possibility of an adverse impact on the overall oncologic outcome and increased risk of acute complications if stenting is combined with intense local therapy, such as administration of definitive doses of external beam radiotherapy (50–50.4 Gy). In fact, a recent multicenter case-control study demonstrated decreased overall survival for patients with localized esophageal cancer which underwent insertion of SEMS as "bridge to surgery" [5]. Authors suggested multiple potential mechanisms for detrimental effect of stenting on survival, including negative influence of radial forces associated with endoluminal stents. The same study reported increase in severe postoperative complications rates in the SEMS group compared with patients managed without stenting [5].

Despite these concerns, insertion of SEMS had been a part of our standard institutional practice for non-metastatic esophageal carcinomas since 2012, and stenting had been usually recommended at our center for all esophageal cancer patients with more than minimal symptoms of dysphagia at the time of the initial diagnosis, irrespective of objective evidence of malnutrition.

In two cases presented in this report, on-treatment mortality has been directly attributed to esophageal stents.

Patient 1 completed a full course of concomitant preoperative chemoradiotherapy and developed acute illness two weeks later, which led to expiration in the hospital. Based on rapidity of symptom onset and presence of massive pleural effusion, the most likely cause of death was deemed to be esophageal perforation in the region of the stent. This, however, could not be confirmed by bedside upper endoscopy, since accurate visualization of esophageal wall was precluded by the presence of the stent. Thus, aspiration pneumonia as the immediate cause of death could not be fully excluded. Furthermore, his stent was spanning GEJ, and free flow of liquid through the lower esophageal sphincter was seen by the endoscopist in the intensive care unit.

Esophageal perforation is a known complication of stents, including SEMS [3] [5]. Two patients with esophageal tumoral perforation related to stents were included in the study by Mariette et al. [5] . Unlike in those cases, immediate curative esophagectomy could not be performed for our critically ill patient. In our opinion, it is possible that risk of esophageal perforation related to stent insertion is magnified in patients which receive chemoradiotherapy, which itself results in additional injury to esophageal wall. It is not clear from the published data whether risk of stent-related perforation is higher for distal esophageal tumor location compared to those affecting the upper or the middle thoracic esophagus.

Patient 2 expired due to aspiration pneumonia most likely resulting from incompetence of the stented lower esophageal sphincter. This diagnosis was supported by persistent symptoms of reflux prior to the acute illness as well as the radiographic findings just before the patient's death. Again, fatal aspiration has been previously reported as a complication of stents spanning GEJ [8]. Furthermore, we believe it is possible that risk of aspiration pneumonia related to esophageal stents is higher for patients receiving chemoradiotherapy, which can cause immunosuppression and local esophageal injury. Patients with distal esophageal tumor location are probably at higher risk of aspiration due to stent compared to those with cancers of the upper or the middle thoracic esophagus. Use of antireflux stents potentially may decrease risk of aspiration, but not that of perforation.


Conclusion

In conclusion, endoluminal stent insertion before the beginning of chemoradiotherapy for curable distal esophageal cancer appears to be associated with risk of unexpected on-treatment mortality. As a consequence, our institutional practice was modified to exclude recommendations for stenting of any distal esophageal cancers prior to the initiation of treatment for cure.


Acknowledgements

We are thankful to Frank Gigliotti for assistance with the preparation of images.


References
  1. Katsanos K, Sabharwal T, Adam A. Stenting of the upper gastrointestinal tract: Current status. Cardiovasc Intervent Radiol 2010 Aug;33(4):690–705.   [CrossRef]   [Pubmed]    Back to citation no. 1
  2. Pellen MG, Sabri S, Razack A, Gilani SQ, Jain PK. Safety and efficacy of self-expanding removable metal esophageal stents during neoadjuvant chemotherapy for resectable esophageal cancer. Dis Esophagus 2012 Jan;25(1):48–53.   [CrossRef]   [Pubmed]    Back to citation no. 2
  3. Siddiqui AA, Sarkar A, Beltz S, et al. Placement of fully covered self-expandable metal stents in patients with locally advanced esophageal cancer before neoadjuvant therapy. Gastrointest Endosc 2012 Jul;76(1):44–51.   [CrossRef]   [Pubmed]    Back to citation no. 3
  4. Blazeby JM, Williams MH, Brookes ST, Alderson D, Farndon JR. Quality of life measurement in patients with oesophageal cancer. Gut 1995 Oct;37(4):505–8.   [CrossRef]   [Pubmed]    Back to citation no. 4
  5. Mariette C, Gronnier C, Duhamel A, et al. Self-expanding covered metallic stent as a bridge to surgery in esophageal cancer: Impact on oncologic outcomes. J Am Coll Surg 2015 Mar;220(3):287–96.   [CrossRef]   [Pubmed]    Back to citation no. 5
  6. Madhusudhan C, Saluja SS, Pal S, et al. Palliative stenting for relief of dysphagia in patients with inoperable esophageal cancer: Impact on quality of life. Dis Esophagus 2009;22(4):331–6.   [CrossRef]   [Pubmed]    Back to citation no. 6
  7. Lopes TL, Eloubeidi MA. A pilot study of fully covered self-expandable metal stents prior to neoadjuvant therapy for locally advanced esophageal cancer. Dis Esophagus 2010 May;23(4):309–15.   [CrossRef]   [Pubmed]    Back to citation no. 7
  8. Turkyilmaz A, Eroglu A, Aydin Y, Kurt A, Bilen Y, Karaoglanoglu N. Complications of metallic stent placement in malignant esophageal stricture and their management. Surg Laparosc Endosc Percutan Tech 2010 Feb;20(1):10–5.   [CrossRef]   [Pubmed]    Back to citation no. 8

[HTML Abstract]   [PDF Full Text]

Author Contributions:
Vladimir Valakh – Substantial contributions to conception and design, Acquisition of data, Analysis and interpretation of data, Drafting the article, Revising it critically for important intellectual content, Final approval of the version to be published
Juhi Mittal – Analysis and interpretation of data, Revising it critically for important intellectual content, Final approval of the version to be published
Guarantor of submission
The corresponding author is the guarantor of submission.
Source of support
None
Conflict of interest
Authors declare no conflict of interest.
Copyright
© 2016 Vladimir Valakh et al. This article is distributed under the terms of Creative Commons Attribution License which permits unrestricted use, distribution and reproduction in any medium provided the original author(s) and original publisher are properly credited. Please see the copyright policy on the journal website for more information.