Table of Contents    
Case Report
 
Incidentally detected superior mediastinal thymoma: An interesting case report
Suhag V.1, Sunita B.S.2, Sarin A.3, Dutta V.4, Singh A.K.5
1Lt Col Virender Suhag, HOD Radiation Oncology, Army Hospital (R&R) Delhi-110010 (India).
2Lt Col Sunita BS, MD DNB Pathology Classified Specialist Base Hospital, Delhi-110010 (India).
3Surg Cmde Arti Sarin, Consultant Radiodiagnosis and Radiotherapy, HOD Oncology Centre, Command Hospital (SC), Pune, India.
4Brig Vibha Dutta, SM, Consultant Pathology and Oncopathology, HOD Pathology and Lab Sciences, Army Hospital (R&R) Delhi-110010 (India).
5Col AK Singh, Senior Advisor Radio-diagnosis and Imaging, Army Hospital (R&R) Delhi-110010 (India).

Article ID: 100012Z10SV2016
doi:10.5348/Z10-2016-12-CR-3

Address correspondence to:
Lt Col Virender Suhag
MD DNB, HOD Radiation Oncology Army Hospital (R&R) Delhi-110010
(India)

Access full text article on other devices

  Access PDF of article on other devices

[HTML Abstract]   [PDF Full Text] [Print This Article]
[Similar article in Pumed] [Similar article in Google Scholar]

How to cite this article:
Suhag V, Sunita BS, Sarin A, Dutta V, Singh AK. Incidentally detected superior mediastinal thymoma: An interesting case report. J Case Rep Images Oncology 2016;2:9–13.


Abstract
Introduction: Thymic malignancies represent a wide range of clinical, histological and molecular entities, with considerable heterogeneity even among tumors of the same histotype. Thymomas are rare neoplasms arising from tissue elements of the thymus and developing in the anterior mediastinum, with an annual incidence of only 0.15 cases per 100, 000 person-years. They can be associated with a variety of systemic and autoimmune disorders, such as pure red cell aplasia, pancytopenia, hypogammaglobulinemia, collagen-vascular disease, and most commonly with myasthenia gravis. Surgical resection remains the cornerstone of therapy for early-stage disease, while in advanced or recurrent forms, a multimodality approach incorporating radiation and chemotherapy is required. Platinum with anthracycline-based chemotherapy is an optimal combination for advanced thymoma.
Case Report: We herein present an interesting case of thymoma which was detected on imaging for routine health check-up and was managed successfully by surgery and adjuvant radiotherapy.
Conclusion: A high index of suspicion and thorough evaluation of any mediastinal mass picked up on routine imaging is of paramount importance for early detection of thymomas.

Keywords: Mediastinum, Radiotherapy, Surgery, Thymoma


Introduction

Thymic epithelial tumors (TET), though constitute the most common adult tumors in the anterior mediastinal compartment, are encountered quite infrequently in oncology practice. The term TET incorporates a wide variety of tumors, and are generally classified into thymomas, thymic carcinomas (TC) and neuroendocrine thymic tumors (NETT). Historically considered as orphan diseases, the last few decades have witnessed an increased interest in thymic malignancies worldwide [1].

Surveillance, epidemiology, and end results (SEER) data reveals that the overall incidence of TET is about 0.13 per 100, 000 person-years. Histologically, TETs are biphasic tumors consisting of epithelial and lymphocytic components. TET can be classified into types A, AB, B1, B2, B3; and carcinoma depending on epithelial cellular atypia as well as the ratio of epithelial cells to lymphocytes [2] [3][4]. The most widely used staging system is the one proposed by Masaoka et al. and subsequently modified by Koga [5][6]. The optimal treatment of thymoma is performed according to its clinical stage. Surgery remains the mainstay of treatment [2]. Completely resectable tumors are managed by upfront surgery. For locally advanced disease, neoadjuvant chemotherapy may be offered to make the tumor resectable; which can be followed by adjuvant radiotherapy depending on histopathological findings [7]. We hereby present an interesting case of locally advanced thymoma in an asymptomatic individual detected incidentally on imaging for routine health check-up but was found to have advanced disease peroperatively and received post-operative radiotherapy in view of incomplete resection. A brief overview of management of thymomas is presented.


Case Report

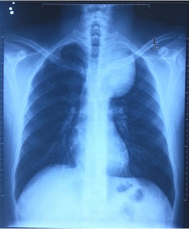
A 44-year-old asymptomatic male with no contributory medical history was incidentally detected to have superior mediastinal widening on chest X-ray (Figure 1) conducted for routine medical examination as an administrative requirement. He was further evaluated by thorax computed tomography (CT) scan (Figure 2) which was suggestive of a large mass in posterior aspect of superior mediastinum extending into left hemithorax, 8.9 x7.4x9.4 cm in dimensions, with areas of calcification and fat attenuation within. The mass was abutting left subclavian vessels and left brachiocephalic vein. Posteriorly, it was overlying medial aspect of 2nd to 5th ribs and vertebral bodies; medially it was abutting and mildly displacing esophagus and trachea with preserved fat planes; and inferiorly it was abutting arch of aorta. Subcentimeter lymph nodes were detected in pretracheal, precarinal and subcarinal regions. His routine hemogram and biochemical parameters were within normal range of reference and his metastatic workup was negative. Clinically, he did not have any symptom suggestive of myasthenia gravis or any paraneoplastic syndrome. He underwent CT Guided FNAC and Tru-Cut biopsy but results were inconclusive and non-contributory. Based on the imaging findings, a clinical diagnosis of mediastinal tumor was made.

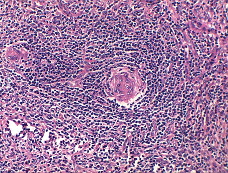
The patient was planned for surgery and underwent left thoracotomy with excision of mass. Peroperatively, there was a 15x10x8 cm soft fleshy tumor with areas of calcification with extensive feeding vessels from parietal pleura and posterior chest wall. The tumor was abutting on left subclavian artery and partially adherent to it; and could not be resected in toto. The gross examination of the operative specimen revealed a 10.5x6.5x4.5 cm mass; the cut surface of which was soft and variegated with areas of calcification. Microscopically, (Figure 3) dense population of mature lymphocytes was noted with inconspicuous epithelial component, well-developed Hassall's corpuscles, perivascular spaces, fibrous septae and foci of medullary differentiation. There was no necrosis and no invasion. Based on these findings, a histological diagnosis of thymoma, WHO Type B, predominantly cortical type was made. In view of incomplete resection, the case was discussed jointly in a tumor board and the consensus was to treat the patient with postoperative radiotherapy (RT). The patient received adjuvant RT to mediastinum by three-dimensional conformal RT technique on a linear accelerator to a dose of 5400 cGy in 27 fractions. He tolerated RT well without any significant toxicity and break in treatment. The patient is disease-free clinically and radiologically at two years of regular follow-up.


Cursor on image to zoom/Click text to open image
Figure 1: Chest X-ray showing superior mediastinal widening.



Cursor on image to zoom/Click text to open image
Figure 2: Contrast-enhanced computed tomography scan of thorax showing the mediastinal mass.



Cursor on image to zoom/Click text to open image
Figure 3: Thymoma WHO Type B. Dense population of mature lymphocytes with inconspicuous epithelial component (medullary differentiation), well developed Hassall's corpuscles and perivascular spaces (H&E stain, x400).



Discussion

Thymic epithelial tumors represent a wide range of anatomical, clinical, histological and molecular entities that may be aggressive and difficult to treat [7]. They are rare neoplasms with an overall incidence of 0.15 cases per 100, 000 person-year [1] [3][4]. Thymoma is the most common solid, primary mediastinal tumor, accounting for 20% of mediastinal neoplasms. Ninety percent of thymoma occurs in the anterior superior mediastinum, and a smaller portion occurs in the neck and posterior mediastinum or other locations [8]. They can occur in all ages, with a demonstrated peak around 30–40 years of age in thymomas with Myasthenia Gravis (MG) and 60–70 years of age in those without MG [1].

Approximately, 60–70% of thymoma patients have moderate to severe symptoms at presentation, while the remaining are asymptomatic. The most reported symptoms include local symptoms in the form of chest pain, cough and shortness of breath. Invasive thymic neoplasms may present as superior vena cava syndrome, hemidiaphragm paralysis and hoarseness. Pleural effusion and chest pain are noted if there is pleural spread. Features of myasthenia gravis may be seen in about 10–15% of cases. Less frequently, patients may develop acquired hypogammaglobulinemia, pure red-cell aplasia, systemic lupus erythematosus, rheumatoid arthritis, scleroderma and polymyositis [1] [4].

X-ray chest generally shows a nonspecific broadened mediastinum and need further evaluation. Computed tomography is considered as the imaging modality of choice to characterize a mediastinal mass with regard to its local extent, invasion of adjacent structures, and to rule out distant metastases [4]. The major role of the magnetic resonance image seems to lie in its value for surgical planning and to rule out invasion of neighboring structures such as the great vessels or the heart, as well as in differentiating thymic lymphoid hyperplasia from thymoma by using chemical-shift sequences. Positron emission tomography CT scan is not helpful in distinguishing early from advanced thymoma but can be used to differentiate thymic carcinoma from thymoma [4] [9].

In general, tumors located in the anterior mediastinum are approached using percutaneous core needle biopsy, mediastinotomy or mini-thoracotomy. Fine-needle aspiration may not be recommended, as cytological specimens of thymic tumors may be hard to interpret. Percutaneous CT guided FNA biopsy of a mediastinal mass is helpful and is diagnostic in up to 82% of cases [10]. However, tissue obtained in image guided biopsy is generally not sufficient for histologic differentiation between thymomas, lymphomas, and thymic hyperplasia. New approaches, such as the implementation of ultrasonically guided core needle biopsy may be helpful to obtain larger specimens for further histologic classification [4].

The World Health Organization (WHO) histopathological classification distinguishes thymomas from thymic carcinomas. Thymomas are further subdivided into different types (A, AB, B1, B2 and B3) based on the morphology of epithelial tumor cells (with an increasing degree of atypia from type A to B3), the relative proportion of the non-tumoral lymphocytic component (decreasing from type B1 to B3) and resemblance to normal thymic architecture. Tumor invasiveness, as evaluated by the Masaoka staging system, is a major predictor of outcome [5] [7][11]. The stages of the Masaoka method include clinical stage I with an intact capsule with no capsular invasion, stage II with an invasion of the capsule, stage III with an invasion of adjacent organs, stage IV A with dissemination into the pleural cavity, and stage IV B with lymphogenous or hematogenous metastasis [8] [12][13]. The stage at diagnosis determines the WHO classification. About 80–90% of type A to B1 thymomas fall in stage I–II tumors. About 50–60% of type B2 thymomas and 60–80% of type B3 thymomas and carcinomas present with stage III–IV disease. In view of higher propensity towards nodal and systemic spread, some authors prefer to use tumour, node, metastases (TNM)-based staging for thymic carcinomas [7].

The management of thymic epithelial tumors is multimodal requiring close cooperation between clinicians, surgeons, pathologists and oncologists; and whenever required such cases should be discussed in joint forums [1] [7]. Surgical resection is the mainstay of treatment of thymoma, with a reported operative mortality of 2% and a complication rate of approximately 20% [1][2]. The aim of surgery is en bloc resection of the tumor by complete thymectomy and resection of the surrounding mediastinal fat to rule out any chances of subtle macroscopically invisible invasion of the tumor [1]. The recurrence rate increases with a higher stage; and ranges from 3%, 11%, 30% and 43% in resected stage I, II, III, and IVa thymoma, respectively [14]. Most cardiothoracic surgeons prefer a median sternotomy approach as it might not be possible to perform a complete thymectomy via thoracotomy. Over the past decade, minimally invasive surgery of the thymus has been developed, including transcervical, extended transcervical, video-assisted thoracoscopy and robotic approaches [1] . Conversion to open surgery may be required to ensure complete resection. About 30% of patients present with locally advanced tumor at the time of diagnosis, and can be offered neoadjuvant chemotherapy to reduce the tumor burden, possibly allowing subsequent surgery and/or radiotherapy [7].

Standard chemotherapy for advanced thymoma and thymic carcinoma is still controversial and continues to evolve. The mainstay of chemotherapy for thymoma and thymic carcinomas are regimens based on anthracycline and cisplatin [15][16]. The treatment efficiency of these regimens is as high as 75% for metastatic, recurrent or advanced thymoma [1] [4][12][15][16][17]. Induction chemotherapy regimens for thymic carcinoma and invasive thymoma have typically involved three cycles of cyclophosphamide, doxorubicin, cisplatin, and prednisone, to be followed by surgery. The use of biologic drugs is currently not recommended in view of paucity of scientific data proving their definite therapeutic role in thymic epitelial tumors [18][19]. Radiotherapy has been used both in adjuvant setting to decrease the risk for mediastinal recurrence, as well as in definite treatment of locally advanced tumors which remain unresectable after primary chemotherapy [7]. The delivered doses varies according to the clinical setting, ranging from 45 Gy as preoperative therapy, to 45–55 Gy as postoperative, to 60–66 Gy as exclusive treatment, with conventional fractionation (1.8–2.0 Gy/day). It is recommended to treat patients with highest form of conformal radiotherapy such as intensity modulated radiotherapy and image guided radiotherapy to minimize irradiation of surrounding mediastinal critical structures and the delayed toxicities. Postoperative radiotherapy does not confer any survival benefit for completely resected Masaoka stage I thymomas, while its role in completely resected Masaoka stage II thymomas remains controversial. However, in incompletely resected or invasive thymomas (Masaoka stage II and III) adjuvant radiotherapy is frequently applied [4] [7][18].

Masaoka stage, WHO classification, and radical surgical resection are considered significant, independent prognostic factors on long-term disease-free survival [7]. About 11–19% patients suffer recurrence after complete resection, more so in advanced stage. Recurrence rates as observed by Wright et al are: WHO tumor type A and AB 0%, B1 and B2 8%, B3 27% and C 50% [20].


Conclusion

To conclude, possibility of thymoma should always be kept in minding while dealing with a mediastinal mass. Surgical resection remains the cornerstone of therapy for early-stage thymic epithelial tumors (TETs), while in advanced or recurrent forms, a multimodality approach incorporating radiation and chemotherapy is required.


References
  1. Ruffini E, Venuta F. Management of thymic tumors: a European perspective. J Thorac Dis 2014 May;6 Suppl 2:S228–37.   [CrossRef]   [Pubmed]    Back to citation no. 1
  2. Shapiro M, Korst RJ. Surgical Approaches for Stage IVA Thymic Epithelial Tumors. Front Oncol 2014 Jan 14;3:332.   [CrossRef]   [Pubmed]    Back to citation no. 2
  3. Engels EA. Epidemiology of thymoma and associated malignancies. J Thorac Oncol 2010 Oct;5(10 Suppl 4):S260–5.   [CrossRef]   [Pubmed]    Back to citation no. 3
  4. Tomaszek S, Wigle DA, Keshavjee S, Fischer S. Thymomas: review of current clinical practice. Ann Thorac Surg 2009 Jun;87(6):1973–80.   [CrossRef]   [Pubmed]    Back to citation no. 4
  5. Masaoka A, Monden Y, Nakahara K, Tanioka T. Follow-up study of thymomas with special reference to their clinical stages. Cancer 1981 Dec 1;48(11):2485–92.   [CrossRef]   [Pubmed]    Back to citation no. 5
  6. Koga K, Matsuno Y, Noguchi M, et al. A review of 79 thymomas: modification of staging system and reappraisal of conventional division into invasive and non-invasive thymoma. Pathol Int 1994 May;44(5):359–67.   [CrossRef]   [Pubmed]    Back to citation no. 6
  7. Girard N. Thymic epithelial tumours: from basic principles to individualised treatment strategies. Eur Respir Rev 2013 Mar 1;22(127):75–87.   [CrossRef]   [Pubmed]    Back to citation no. 7
  8. Falkson CB, Bezjak A, Darling G, et al. The management of thymoma: a systematic review and practice guideline. J Thorac Oncol 2009 Jul;4(7):911–9.   [CrossRef]   [Pubmed]    Back to citation no. 8
  9. Priola AM, Priola SM. Imaging of thymus in myasthenia gravis: from thymic hyperplasia to thymic tumor. Clin Radiol 2014 May;69(5):e230–45.   [CrossRef]   [Pubmed]    Back to citation no. 9
  10. Assaad MW, Pantanowitz L, Otis CN. Diagnostic accuracy of image-guided percutaneous fine needle aspiration biopsy of the mediastinum. Diagn Cytopathol 2007 Nov;35(11):705–9.   [CrossRef]   [Pubmed]    Back to citation no. 10
  11. Kondo K, Yoshizawa K, Tsuyuguchi M, et al. WHO histologic classification is a prognostic indicator in thymoma. Ann Thorac Surg 2004 Apr;77(4):1183–8.   [CrossRef]   [Pubmed]    Back to citation no. 11
  12. Wang Z, Li H, Cao H, Zheng J. Clinicopathological features of type AB thymoma with liver metastases. Int J Clin Exp Pathol 2014 Dec 1;7(12):8700–5.   [CrossRef]   [Pubmed]    Back to citation no. 12
  13. Kondo K. Therapy for thymic epithelial tumors. Gen Thorac Cardiovasc Surg 2014 Aug;62(8):468–74.   [CrossRef]   [Pubmed]    Back to citation no. 13
  14. Koppitz H, Rockstroh JK, Schüller H, et al. State-of-the-art classification and multimodality treatment of malignant thymoma. Cancer Treat Rev 2012 Aug;38(5):540–8.   [CrossRef]   [Pubmed]    Back to citation no. 14
  15. Schmitt J, Loehrer PJ Sr. The role of hemotherapy in advanced thymoma. J Thorac Oncol 2010;5(4):S357–60.   [CrossRef]   [Pubmed]    Back to citation no. 15
  16. Okuma Y, Saito M, Hosomi Y, Sakuyama T, Okamura T. Key components of chemotherapy for thymic malignancies: a systematic review and pooled analysis for anthracycline-, carboplatin- or cisplatin-based chemotherapy. J Cancer Res Clin Oncol 2015; 141(2):323–31.   [CrossRef]   [Pubmed]    Back to citation no. 16
  17. Berardi R, De Lisa M, Pagliaretta S, et al. Thymic neoplasms: an update on the use of chemotherapy and new targeted therapies. A literature review. Cancer Treat Rev 2014 May;40(4):495–506.   [CrossRef]   [Pubmed]    Back to citation no. 17
  18. Komaki R, Gomez DR. Radiotherapy for thymic carcinoma: adjuvant, inductive, and definitive. Front Oncol 2014 Jan 10;3:330.   [CrossRef]   [Pubmed]    Back to citation no. 18
  19. Wright CD, Wain JC, Wong DR, et al. Predictors of recurrence in thymic tumors: importance of invasion, World Health Organization histology, and size. J Thorac Cardiovasc Surg 2005 Nov;130(5):1413–21.   [CrossRef]   [Pubmed]    Back to citation no. 19

[HTML Abstract]   [PDF Full Text]

Author Contributions
Suhag V. – Substantial contributions to conception and design, Acquisition of data, Analysis and interpretation of data, Drafting the article, Revising it critically for important intellectual content, Final approval of the version to be published
Sunita B.S. – Analysis and interpretation of data, Revising it critically for important intellectual content, Final approval of the version to be published
Sarin A. – Analysis and interpretation of data, Revising it critically for important intellectual content, Final approval of the version to be published
Dutta V. – Analysis and interpretation of data, Revising it critically for important intellectual content, Final approval of the version to be published
Singh A.K. – Analysis and interpretation of data, Revising it critically for important intellectual content, Final approval of the version to be published
Guarantor of submission
The corresponding author is the guarantor of submission.
Source of support
None
Conflict of interest
Authors declare no conflict of interest.
Copyright
© 2016 Suhag V. et al. This article is distributed under the terms of Creative Commons Attribution License which permits unrestricted use, distribution and reproduction in any medium provided the original author(s) and original publisher are properly credited. Please see the copyright policy on the journal website for more information.