Table of Contents    
Case Report
 
Glioblastoma multiforme occurring in a child with acute lymphoblastic leukemia
Mohammed Al Pakra1, Gihan Mahmoud1, Abdullah Al Jabri2, Hussam Yousef El Hag1, Ehab Hanafy1
1King Salman Armed Forces Hospital, Prince Sultan Oncology center, Tabuk, Kingdom of Saudi Arabia.
2King Salman Armed Forces Hospital, Pediatrics Department, Tabuk, KSA.

Article ID: 100011Z10MP2016
doi:10.5348/Z10-2016-11-CR-2

Address correspondence to:
Dr. Ehab Hanafy
King Salman Armed Forces Hospital, Prince Sultan Oncology center
71411, Tabuk
Kingdom of Saudi Arabia

Access full text article on other devices

  Access PDF of article on other devices

[HTML Abstract]   [PDF Full Text] [Print This Article]
[Similar article in Pumed] [Similar article in Google Scholar]

How to cite this article:
Al Pakra M, Mahmoud G, Al Jabri A, El Hag HY, Hanafy E. Glioblastoma multiforme occurring in a child with acute lymphoblastic leukemia. J Case Rep Images Oncology 2016;2:5–8.


Abstract
Introduction: Radiation therapy is an established cause of secondary neoplasia in the central nervous system. Few reports of glioblastoma multiforme following radiation therapy have been documented.
Case Report: We herein report a rare case of glioblastoma multiforme in a remitted acute lymphoblastic leukemia (ALL) patient who have received craniospinal irradiation and stayed free of complications for a five-year follow-up.
Conclusion: Implementation of leukemia protocols with minimal central nervous system (CNS) irradiation role may minimize the late complications and even the development of secondary CNS tumors.

Keywords: Central nervous system (CNS), Glioblastoma multiforme, Leukemia, Radiotherapy, Tumors


Introduction

The treatment of acute lymphocytic leukemia (ALL) has been interrupted with the high rate of occurrence of central nervous system (CNS) leukemia [1]. Radiation therapy, in combination with chemotherapeutic agents, has been well known to be one of the prophylactic methods to ascertain long-term disease free survival for the childhood ALL patients. However, when the radiation itself acts as an oncogenic factor, especially for the occurrence of glioblastoma multiforme (GBM) subsequent treatment of tumor becomes even more troublesome [2].


Case Report

A seven-year-old boy presented to our hospital in 2006 with breathing difficulty, easy fatigability, pallor, and generalized lymphadenopathy. The child was diagnosed as T cell acute lymphoblastic leukemia with CNS disease as proved by the presence of blast cells in the cerebrospinal fluid. Cytogenetic study was reported as normal.

The patient started immediately on chemotherapy (St Jude total XIII protocol) [3]. He went into complete remission after the induction phase. He continued through the protocol with good tolerance to chemotherapeutic agents and with minimal reported complications.

At week 56, the patient received craniospinal irradiation as per the protocol guidelines (cranial irradiation 24 Gy/16 fractions and spinal irradiation 12 Gy). He resumed the protocol of chemotherapy till he ended his treatment in 2009, when he was in complete remission and in good general condition. He started his followup program regularly with no reported complications for five years.

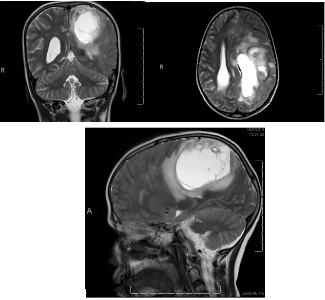
In 2014, the child presented with severe headache, projectile vomiting, blurring of vision, increased weakness and poor appetite. His symptoms and signs were suggestive of increased intracranial tension, so we requested full investigations to exclude the recurrence of the initial disease including bone marrow aspirate which was normal. We requested also MRI scan of brain and spine which was done during his admission and showed a large supratentorial multi-loculated mass suggestive of brain tumor versus brain abscess (Figure 1).

The child's general condition showed some improvement after the initiation of brain dehydrating measures, steroids and mannitol. This was followed by neurosurgical intervention with partial excision of the brain mass. Histopathology studies confirmed the diagnosis of Glioblastoma multiforme.

Following the surgical intervention, the child deteriorated rapidly, as he started to develop uncontrolled seizures with progressive deterioration in his general condition till he ended into deep coma. Unfortunately, the child was intubated and ventilated for few days before he passed away from the rapidly progressive disease and cardiopulmonary arrest.


Cursor on image to zoom/Click text to open image
Figure 1: Magnetic resonance imaging scan of brain showing a large supratentorial multi-loculated mass lesion mainly cystic with fluid-fluid level occupying the left high parietal lobe, associated with significant surrounding brain edema causing mass effect and shift of midline structure with subfalcine/uncal herniation with a noted mass effect on ipsilateral lateral ventricle.



Discussion

Radiation therapy is an established cause of secondary neoplasia in the central nervous system [4][5][6][7]. Both benign and malignant tumors can develop after cranial irradiation in the form of meningiomas [8] [9] [10], and sarcomas [11] [12] [13] . Few reports of glioblastoma multiforme following radiation therapy have been documented [14].

Glioblastoma multiforme, despite a most occurring de novo brain tumor, its development from radiation effect have been reported very rarely worldwide [15]. Moreover, its occurrence in ALL patients has been reported even scarcely. Salvati et al. analyzed their 16 cases and previously reported cases of radiation-induced GBM and measured the frequency among all GBM to be 1.3% [16].

Salvati et al, reported 10 cases who were treated earlier for ALL [17]. They have stated that by examining the various case series, it is evident that gliomas occur more frequently in patients treated for ALL.

Moreover, it has been suggested that the simultaneous administration of intrathecal chemotherapeutic drugs might also play an etiologic role that leukemia itself might favor tumors of the glia [18] [19].

Concerning the radiation dose, there have been reports postulating that prophylactic irradiation of higher dose (more than 30 Gy) gives rise to higher risk of malignant brain tumor occurrence compared to that of lower doses (less than Gy). On the other way, there have been counter proposals suggesting that radiation does not always gives rise to higher rate of secondary tumor development because when the radiation dosages are too high, oncogenic cells may also be eliminated [18].

Cahan et al. in 1948 proposed the following criteria for the definition of radio-induced tumors: 1) the tumor must originate in the previously irradiated region; 2) there must be a sufficiently long time interval from irradiation and the onset of post radiation tumor; 3) the histotype of the tumor must be different from the primary one; 4) the patient must not suffer from pathologies favoring the development of tumors such as Von Recklinghausen's disease or Li Fraumeni's disease, tuberous sclerosis, xeroderma pigmentosa, retinoblastoma, etc. [20].

In the case report by Daewon et al, they have stated that GBM developed after irradiation have been known to have less tumor control rate and more aggressive behavior compared to that of the de novo GBM, even after the tumor is being treated with active medical and surgical means [2]. Moreover, severity of the progress of gliomas, when developed after irradiation, is not related to radiation dose received. Furthermore, there are no much clinically efficient management protocols extending survival rate for radiation-induced GBM and when it is related to ALL, prognosis is even worse.

More trials with active surgical manipulation, in combination with medically possible strategies and also with other advanced therapeutic means should be carried out to gain improved clinical outcome.


Conclusion

Implementation of leukemia protocols with minimal central nervous system (CNS) irradiation role may minimize the late complications and even the development of secondary CNS tumors.


References
  1. Inati A, Sallan SE, Cassady JR, et al. Efficacy and morbidity of central nervous system "prophylaxis" in childhood acute lymphoblastic leukemia: eight years' experience with cranial irradiation and intrathecal methotrexate. Blood 1983 Feb;61(2):297–303.   [Pubmed]    Back to citation no. 1
  2. Joh D, Park BJ, Lim YJ. Radiation-induced glioblastoma multiforme in a remitted acute lymphocytic leukemia patient. J Korean Neurosurg Soc 2011 Sep;50(3):235–9.   [CrossRef]   [Pubmed]    Back to citation no. 2
  3. Pui CH, Pei D, Sandlund JT, et al. Long-term results of St Jude Total Therapy Studies 11, 12, 13A, 13B, and 14 for childhood acute lymphoblastic leukemia. Leukemia 2010 Feb;24(2):371–82.   [CrossRef]   [Pubmed]    Back to citation no. 3
  4. Liwnicz BH, Berger TS, Liwnicz RG, Aron BS. Radiation-associated gliomas: a report of four cases and analysis of postradiation tumors of the central nervous system. Neurosurgery 1985 Sep;17(3):436–45.   [CrossRef]   [Pubmed]    Back to citation no. 4
  5. Saeneger EL, Silverman FN, Sterling TD, Turner ME. Neoplasia following therapeutic irradiation for benign conditions in childhood. Radiology 1960 Jun;74:889–904.   [Pubmed]    Back to citation no. 5
  6. Marus G, Levin CV, Rutherfoord GS. Malignant glioma following radiotherapy for unrelated primary tumors. Cancer 1986 Aug 15;58(4):886–94.   [CrossRef]   [Pubmed]    Back to citation no. 6
  7. Robinson RG. A second brain tumour and irradiation. J Neurol Neurosurg Psychiatry 1978 Nov;41(11):1005–12.   [CrossRef]   [Pubmed]    Back to citation no. 7
  8. Bogdanowicz WM, Sachs E Jr. The possible role of radiation in oncogenesis of meningioma. Surg Neurol 1974 Nov;2(6):379–83.   [Pubmed]    Back to citation no. 8
  9. Iacono RP, Apuzzo ML, Davis RL, Tsai FY. Multiple meningiomas following radiation therapy for medulloblastoma. Case report. J Neurosurg 1981 Aug;55(2):282–6.   [Pubmed]    Back to citation no. 9
  10. Sridhar K, Ramamurthi B. Intracranial meningioma subsequent to radiation for a pituitary tumor: case report. Neurosurgery 1989 Oct;25(4):643–5.   [CrossRef]   [Pubmed]    Back to citation no. 10
  11. Ahmad K, Fayos JV. Pituitary fibrosarcoma secondary to radiation therapy. Cancer 1978 Jul;42(1):107–10.   [CrossRef]   [Pubmed]    Back to citation no. 11
  12. Arlen M, Higinbotham NL, Huvos AG, Marcove RC, Miller T, Shah IC. Radiation-induced sarcoma of bone. Cancer 1971 Nov;28(5):1087–99.   [CrossRef]   [Pubmed]    Back to citation no. 12
  13. Fajardo LF. Pathology of Radiation Injury. New York: Masson; 1982. p. 252–5.    Back to citation no. 13
  14. Chung CK, Stryker JA, Cruse R, Vannuci R, Towfighi J. Glioblastoma multiforme following prophylactic cranial irradiation and intrathecal methotrexate in a child with acute lymphocytic leukemia. Cancer 1981 Jun 1;47(11):2563–6.   [CrossRef]   [Pubmed]    Back to citation no. 14
  15. Schoenberg BS, Christine BW, Whisnant JP. The descriptive epidemiology of primary intracranial neoplasms: the Connecticut experience. Am J Epidemiol 1976 Nov;104(5):499–510.   [Pubmed]    Back to citation no. 15
  16. Salvati M, D'Elia A, Melone GA, et al. Radio-induced gliomas: 20-year experience and critical review of the pathology. J Neurooncol 2008 Sep;89(2):169–77.   [CrossRef]   [Pubmed]    Back to citation no. 16
  17. Salvati M, Frati A, Russo N, et al. Radiation-induced gliomas: report of 10 cases and review of the literature. Surg Neurol 2003 Jul;60(1):60–7; discussion 67.   [CrossRef]   [Pubmed]    Back to citation no. 17
  18. Salvati M, Artico M, Caruso R, Rocchi G, Orlando ER, Nucci F. A report on radiation-induced gliomas. Cancer 1991 Jan 15;67(2):392–7.   [CrossRef]   [Pubmed]    Back to citation no. 18
  19. Dierssen G, Alvarez G, Figols J. Anaplastic astrocytomas associated with previous radiotherapy: report of three cases. Neurosurgery 1988 Jun;22(6 Pt 1):1095–7.   [CrossRef]   [Pubmed]    Back to citation no. 19
  20. Cahan WG, Woodard WG, Higinbotham NL, Stewart FW, Coley BL. Sarcoma arising in irradiated bone; report of 11 cases. Cancer 1948 May;1(1):3–29.   [Pubmed]    Back to citation no. 20

[HTML Abstract]   [PDF Full Text]

Author Contributions
Ehab Hanafy – Substantial contributions to conception and design, Acquisition of the data, Drafting the article, Revising it critically for important intellectual content, Final approval of the version to be published
Abdullah Al Jabri – Substantial contributions to conception and design, Acquisition of the data, Drafting the article, Revising it critically for important intellectual content, Final approval of the version to be published
Hussam Yousef El Hag – Substantial contributions to conception and design, Drafting the article, Final approval of the version to be published
Mohammed Al Pakra – Substantial contributions to conception and design, Revising it critically for important intellectual content, Final approval of the version to be published
Gihan Mahmoud – Substantial contributions to conception and design, Revising it critically for important intellectual content, Final approval of the version to be published
Guarantor of submission
The corresponding author is the guarantor of submission.
Source of support
None
Conflict of interest
Authors declare no conflict of interest.
Copyright
© 2016 Ehab Hanafy et al. This article is distributed under the terms of Creative Commons Attribution License which permits unrestricted use, distribution and reproduction in any medium provided the original author(s) and original publisher are properly credited. Please see the copyright policy on the journal website for more information.