Case Report
 
Concurrent treatment of metastatic breast and metastatic renal cell carcinoma: A case report
Sarah Jane Zardawi1, Mathew Kattathra George2
1MBBS B Med Sci, Advanced Trainee, Calvary Mater Newcastle, Calvary Mater Hospital, Waratah, 2298, NSW, Australia
2DM FRACP MSc, Adjunct Associate Professor, Staff Specialist in Medical Oncology and General Medicine, North West Cancer Center, Tamworth Rural Referral Hospital, NSW, Australia

Article ID: 100054Z10SZ2018
doi: 10.5348/100054Z10SZ2018CR

Corresponding Author:
Sarah Jane Zardawi
Calvary Mater Newcastle
Waratah, NSW, Australia, 2298

Access full text article on other devices

  Access PDF of article on other devices

[HTML Abstract]   [PDF Full Text][Print This Article]
[Similar articles in PubMed][Similar articles in Google Scholar]



How to cite this article
Zardawi SJ, George MK. Concurrent treatment of metastatic breast and metastatic renal cell carcinoma: A case report. J Case Rep Images Oncology 2018;4:100054Z10SZ2018.


ABSTRACT

Introduction: Breast and renal carcinomas are common malignancies, with an increasing number of well-tolerated targeted therapies.

Case Report: We describe a case of concurrent, synchronous, metastatic breast and renal carcinomas where diagnosis was achieved after biopsy of two incongruous metastatic sites. The patient has been successfully treated with targeted therapies, exemestane and sunitinib, and later anastrozole and pazopanib, with radiological improvement and resolution of symptoms.

Conclusion: Literature review of cases of antecedent, synchronous and metachronous breast and renal cancers (multiple malignancies), did not reveal increased risk of developing renal cancer after breast cancer, or of breast cancer after renal cancer. Cases of multiple breast and renal cancers appear to occur at any time with out clear reasons for their occurrence. This case demonstrates the importance of appropriate investigation and accurate diagnosis of synchronous malignancies in patients who may be candidates for treatment targeted therapies. As clinical experience of concurrent use of targeted therapies grows, including trials for potential additive benefits of using targeted agents in combination, we will be able to offer improved treatment options for patients with both single and multiple malignancies.

Keywords: Multiple malignancies, Targeted therapies


INTRODUCTION

Metastatic breast and renal carcinomas have an increasing number of well-tolerated, targeted therapies. This has made it possible to effectively treat patients whom otherwise might not have been considered for anti-cancer treatment, including patients with more than one advanced malignancy. This case report explores a patient with concurrent metastatic breast and renal carcinomas who has been treated successfully with two targeted therapies with radiological improvement and resolution of symptoms.


CASE REPORT

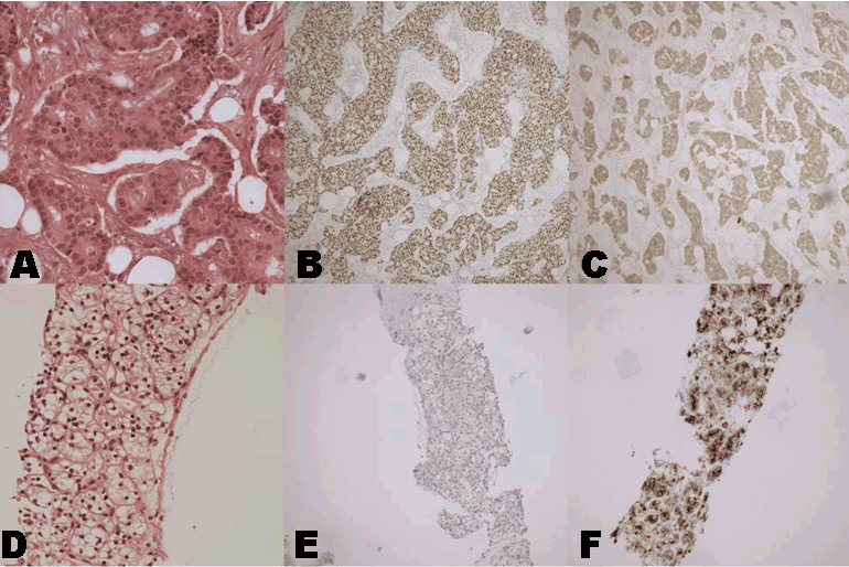
A 69-year-old female was incidentally noted to have a suspicious femoral lesion during elective right total knee replacement. This was on a background of a right breast carcinoma treated with mastectomy 35 years prior; a left breast carcinoma treated with partial mastectomy, adjuvant radiation and adjuvant tamoxifen 14 years prior; and a right clear cell renal carcinoma treated with nephrectomy nine years prior. The femoral lesion was biopsied, revealing metastatic oestrogen- and progesterone-receptor positive adenocarcinoma consistent with her prior hormone receptor positive left breast carcinoma (Figure 1 A-C). Staging computed tomography (CT) and FDG positron emission tomography (PET) identified multiple PET-avid lesions consistent with metastases in the pelvis, acetabulum, right femur, sternum, thoracic fifth and eighth vertebrae, and lumbar fifth vertebrae (Figure 2A). There was also a large, non PET-avid, pathological retro caval node, which was not in keeping with a diagnosis of metastatic breast carcinoma (Figure 2B). Biopsy of this node showed metastatic clear cell renal carcinoma consistent with her prior renal carcinoma (Figure 1 D-F).

The patient received palliative radiotherapy to the sternum, thoracic spine, lumbar spine, left ilium and retro caval lymph nodes. She was initially commenced on exemestane and sunitinib and subsequently changed to anastrozole and pazopanib due to gastrointestinal adverse effects.

Restaging CT scan, bone scan, and PET scan have shown radiological response with reduction in size and PET avidity of her metastases. This response was durable for 24 months and associated with good symptom control and functional status. At time of commencement of therapy there was no subsidized access to cyclin-dependent kinase 4/6 inhibitors.


Cursor on image to zoom/Click text to open image
Figure 1(A–F): Histopathology of femoral lesion (A–C). (A) Haemotoxylin and eosin stain showing breast carcinoma metastasis, (B) positive ER stain, (C) positive Her-2 stain. Histopathology of retroperitoneal lesion (D–F). (D) Haemotoxylin and eosin stain showing renal cell carcinoma metastasis, (E) negative ER stain, (F) positive CD10 stain.


Cursor on image to zoom/Click text to open image
Figure 2(A–B): FDG PET images. (A) PET-CT image showing increased uptake at right femur. (B) PET-CT image showing low glucose avidity in enlarged retroperitoneal nodes.


Click text to open image
Table 1: Published case series of multiple breast and renal cancers



Click text to open image
Table 2: Case reports considering multiple breast and renal carcinomas



DISCUSSION

Multiple malignancies are cases of multiple, pathologically distinct malignancies occurring in the one individual. The malignancies are described according to the time of diagnosis relative to the malignancy of interest. Antecedent malignancies occur at least 6 months prior to; synchronous malignancies are detected within six months; and metachronous malignancies are detected greater than six months after the malignancy of interest [1],[2],[3],[4]. Antecedent, synchronous and metachronous malignancies are collectively referred to as multiple malignancies. Our case documents synchronous metastatic breast and renal carcinomas. The following discussion is based on a literature review using the PubMed database with the search terms breast carcinoma, breast cancer, renal carcinoma, renal cancer multiple malignancy, antecedent malignancy, synchronous malignancy and metachronous malignancy, as well as review of the references cited in articles retrieved through this search. Both full text articles and abstracts were included.

There are many instances of multiple malignancies involving breast and renal cancer, with previously reported case series listed in Table 1 [2], [3], [4], [5], [6], [7], [8], [9], [10]. However, despite these reported occurrences these series do not show an increased risk of developing renal cancer after breast cancer (standard incident ratio (SIR) 0.97–2.40) [2],[5] or of developing breast cancer after renal cancer (SIR 0.47–2.53 [2], [3], [4], [6], [7], [8], [9]) compared to the background population risk of developing either malignancy.

The time interval between malignancies in our patient was 26 years between right breast and renal cancer, and 5 years between the left recurring breast and renal cancer. This is similar to the median published time to the development of breast cancer after renal cancer of 5.5–24.2 years [4],[7]. Whilst this is the reverse order of malignancies to our case it highlights that metachronous malignancies can develop at any time.

Published case reports of patients with synchronous breast and renal carcinomas and are described in Table 2 [11], [12], [13], [14], [15], [16], [17], [18], [19], [20], [21], [22], [23], [24], [25], [26], [27], [28], [29], [30]. Review of these cases show that it was more common to present with breast cancer (either early or advanced stage) and be diagnosed with a synchronous renal cancer [11], [12], [13], [14], [15], [16], [17], [18], [19]. When reported, the renal cell cancer was often a low grade and low stage cancer [11], [12], [13], [14], [15], [16], [17], or an incidental autopsy finding [18], [19]. Interestingly, there were several cases of breast cancer metastasizing to a renal cancer, known as tumour-to-tumour metastases [15], [16], [17], [18], [19], [20], [21], but no cases of renal cancer metastasizing to a breast cancer. Further, there are no cases like ours that report synchronous metastatic breast and metastatic renal cancers.

Age is a known risk factor for multiple malignancies with one case series of renal cancers documenting that patients with synchronous or metachronous malignancies of any type were five years older than those without a second malignancy (P=0.0072) [8]. Otherwise, the development of second malignancies is thought to be dependent upon lifestyle factors, previous cancer treatments and genetic susceptibilities. For breast and renal cancers, there are common life style risk factors of cigarette smoking and obesity [5],[22], [23] but the treatments used for breast and renal cancer are not associated with an increased risk of the other malignancy [24], [25], [26], nor are there common inherited genetic conditions. Despite an absence of clear causative reasons for multiple malignancies, as treatment of cancer and other diseases improves it is likely that the incidence of patients with multiple malignancies will increase.

Our patient was commenced on the targetted therapies, exemestane and sunitinib, and subsequently anastrozole and pazopanib for treatment of her metastatic breast and renal carcinomas. Exemestane and anastrozole are aromatise inhibitors that prevent the conversion of circulating oestrogen pre-cursors to oestrogen to reduce exposure of growth promoting oestrogen to breast cancer cells [31]. Sunitinib and pazopanib are tyrosine kinase inhibitors that prevent the activation of vascular endothelial growth factor receptors, platelet derived growth factors and stem cell factor receptor to affect the survival, proliferation, vascularization and metastasis of renal cancer cells [32]. Whilst these therapies have established efficacy for treatment of their respective malignancies, current phase II clinical trials are testing combined use of targeted therapies for potential increased efficacy in post menopausal breast cancer. These trials include the use of pazopanib with an aromatase inhibitor for the neoadjuvant treatment of stage II-III breast cancer [33], and with an aromatase inhibitor following development of resistance in metastatic breast cancer [34]. Such studies may explain why our patient has had such a significant response to treatment (noting that she also had palliative radiotherapy to most sites of disease), as well as offer improved treatment options for patients with both single and multiple malignancies.

Previously multiple malignancies have previously been associated with poorer outcomes. Two case series of renal cancers found that patients with antecedent or synchronous cancers had 5-year survival rates of approximately 30% compared with 50% for patients without a second malignancy [3]. Sato et al also demonstrated that an antecedent or synchronous tumour, like a high pathological stage, was a strong independent poor prognostic factor for overall survival in patients with renal cell cancer [7]. Further, the median survival time was vastly worse for synchronous cancers than for metachronous cancer (3.8 years versus 17.3 years, p<0.05) [7], potentially due to the challenges of treating two malignancies at the same time. Fortunately, our patient has had durable response to treatment for 24 months, which may suggest improved outcomes for these patients with targeted therapies.


CONCLUSION

This case demonstrates the importance of appropriate investigation and accurate diagnosis of synchronous malignancies in patients who may be candidates for treatment with multiple targeted therapies, which is a situation that is anticipated to become more common in the future due to improving health outcomes and cancer therapies. As clinical experience of concurrent use of targeted therapies grows, including trials for potential additive benefits of using targeted agents in combination, we will be able to offer improved treatment options for patients with both single and multiple malignancies.


REFERENCES
  1. Moertel CG. Multiple primary malignant neoplasms: Historical perspectives. Cancer 1977 Oct;40(4 Suppl):1786–92.   [PubMed]    Back to citation no. 1
  2. Hayat MJ, Howlader N, Reichman ME, Edwards BK. Cancer statistics, trends, and multiple primary cancer analyses from the surveillance, epidemiology, and end results (SEER) program. Oncologist 2007 Jan;12(1):20–37.   [CrossRef]   [PubMed]    Back to citation no. 2
  3. Beisland C, Talleraas O, Bakke A, Norstein J. Multiple primary malignancies in patients with renal cell carcinoma: A national population-based cohort study. BJU Int 2006 Apr;97(4):698–702.   [CrossRef]   [PubMed]    Back to citation no. 3
  4. Murray KS, Zabor EC, Spaliviero M, et al. Second primary malignancies in renal cortical neoplasms: An updated evaluation from a single institution. World J Urol 2016 Dec;34(12):1667–72.   [CrossRef]   [PubMed]    Back to citation no. 4
  5. Ricceri F, Fasanelli F, Giraudo MT, et al. Risk of second primary malignancies in women with breast cancer: Results from the European prospective investigation into cancer and nutrition (EPIC). Int J Cancer 2015 Aug 15;137(4):940–8.   [CrossRef]   [PubMed]    Back to citation no. 5
  6. Czene K, Hemminki K. Kidney cancer in the Swedish family cancer database: Familial risks and second primary malignancies. Kidney Int 2002 May;61(5):1806–13.   [CrossRef]   [PubMed]    Back to citation no. 6
  7. Sato S, Shinohara N, Suzuki S, Harabayashi T, Koyanagi T. Multiple primary malignancies in Japanese patients with renal cell carcinoma. Int J Urol 2004 May;11(5):269–75.   [CrossRef]   [PubMed]    Back to citation no. 7
  8. Rabbani F, Reuter VE, Katz J, Russo P. Second primary malignancies associated with renal cell carcinoma: Influence of histologic type. Urology 2000 Sep 1;56(3):399–403.   [CrossRef]   [PubMed]    Back to citation no. 8
  9. Kantor AF, McLaughlin JK, Curtis RE, Flannery JT, Fraumeni JF Jr. Risk of second malignancy after cancers of the renal parenchyma, renal pelvis, and ureter. Cancer 1986 Sep 1;58(5):1158–61.   [CrossRef]   [PubMed]    Back to citation no. 9
  10. Jiao F, Yao LJ, Zhou J, Hu H, Wang LW. Clinical features of multiple primary malignancies: A retrospective analysis of 72 Chinese patients. Asian Pac J Cancer Prev 2014;15(1):331–4.   [CrossRef]   [PubMed]    Back to citation no. 10
  11. Arjunan R, Kumar D, Kumar KV, Premlatha CS. Breast cancer with synchronous renal cell carcinoma: A rare presentation. J Clin Diagn Res 2016 Oct;10(10):XD03–XD05.   [CrossRef]   [PubMed]    Back to citation no. 11
  12. Üreyen O, Dadali E, Akdeniz F, et al. Co-existent breast and renal cancer. Ulus Cerrahi Derg 2015 Jul 10;31(4):238–40.   [CrossRef]   [PubMed]    Back to citation no. 12
  13. Kurlekar UA, Rayate AS. Synchronous primary malignancies in breast and kidney: A rare case report. Indian J Surg 2015 Apr;77(Suppl 1):6–9.   [CrossRef]   [PubMed]    Back to citation no. 13
  14. Perrin C, Talarmin M, Fontaine A, et al. Breast carcinoma metastasis into a renal cell carcinoma. [Article in French]. Ann Pathol 2011 Oct;31(5):399–401.   [CrossRef]   [PubMed]    Back to citation no. 14
  15. Van Wynsberge LK, Vierling P, Lampel A. Breast cancer metastatic to a renal cell carcinoma. [Article in German]. Aktuelle Urol 2004 Nov;35(6):505–7.   [CrossRef]   [PubMed]    Back to citation no. 15
  16. Huo Z, Gao Y, Yu Z, Zuo W, Zhang Y. Metastasis of breast cancer to renal cancer: Report of a rare case. Int J Clin Exp Pathol 2015 Nov 1;8(11):15417–21.   [CrossRef]   [PubMed]    Back to citation no. 16
  17. Chen TD, Lee LY. A case of renal cell carcinoma metastasizing to invasive ductal breast carcinoma. J Formos Med Assoc 2014 Feb;113(2):133–6.   [CrossRef]   [PubMed]    Back to citation no. 17
  18. Sella A, Ro JY. Renal cell cancer: Best recipient of tumor-to-tumor metastasis. Urology 1987 Jul;30(1):35–8.   [CrossRef]   [PubMed]    Back to citation no. 18
  19. Val-Bernal JF, Villoria F, Pérez-Expósito MA. Concurrent angiomyolipomas and renal cell carcinoma harboring metastatic foci of mammary carcinoma in the same kidney: An incidental autopsy finding in a patient with a follow-up of thirty years. Ann Diagn Pathol 2001 Oct;5(5):293–9.   [CrossRef]   [PubMed]    Back to citation no. 19
  20. Urdiales-Viedma M, Luque RJ, Valle F, Martos-Padilla S. Clear cell renal cell carcinoma metastasized by a breast ductal carcinoma. [Article in Spanish]. Arch Esp Urol 2016 May;69(4):197–201.   [PubMed]    Back to citation no. 20
  21. Noguchi G, Saito Y, Mitome T, et al. Renal cell carcinoma with retroperitoneal metastases and renal invasion from breast cancer: A case report. [Article in Japanese]. Hinyokika Kiyo 2017 Apr;63(4):151–5.   [CrossRef]   [PubMed]    Back to citation no. 21
  22. World cancer research fund international. Kidney cancer statistics. [Available at: http://www.wcrf.org/int/cancer-facts-figures/data-specific-cancers/kidney-cancer-statistics]    Back to citation no. 22
  23. World cancer research fund international. Breast cancer statistics. [Available at: http://www.wcrf.org/int/cancer-facts-figures/data-specific-cancers/breast-cancer-statistics]    Back to citation no. 23
  24. Schaapveld M, Visser O, Louwman MJ, et al. Risk of new primary nonbreast cancers after breast cancer treatment: A Dutch population-based study. J Clin Oncol 2008 Mar 10;26(8):1239–46.   [CrossRef]   [PubMed]    Back to citation no. 24
  25. Matesich SM, Shapiro CL. Second cancers after breast cancer treatment. Semin Oncol 2003 Dec;30(6):740–8.   [PubMed]    Back to citation no. 25
  26. Argani P, Laé M, Ballard ET, Amin M, et al. Translocation carcinomas of the kidney after chemotherapy in childhood. J Clin Oncol 2006 Apr 1;24(10):1529–34.   [CrossRef]   [PubMed]    Back to citation no. 26
  27. Piccinini L, Luppi G, Zoboli A, Torricelli P. Occasional diagnosis of synchronous renal cell carcinoma during staging of other primary tumors. Tumori 1996 Sep–Oct;82(5):488–90.   [CrossRef]   [PubMed]    Back to citation no. 27
  28. Sachdev R, Jain S, Nigam S, Agarwal P. Synchronous primary tumors of kidney and breast. The Internet Journal of Urology 2005;4:1.    Back to citation no. 28
  29. Möller MG, Gribbin T, Ebrom S, Padula G, Fitzgerald TL. Breast cancer metastatic to renal cell carcinoma. Surgery 2006 Apr;139(4):577–9.   [CrossRef]   [PubMed]    Back to citation no. 29
  30. Mosholt KS, Pilt AP, Wittendorff HE. Breast carcinoma metastasis to the gastrointestinal tract and tumour-to-tumour metastasis to renal cell carcinoma. [Article in Danish]. Ugeskr Laeger 2015 Apr 6;177(15):V10140574.   [PubMed]    Back to citation no. 30
  31. Ackland SP. Drug treatment of breast cancer. Aust Prescr 1998 Jan;21(1):15–9.   [CrossRef]    Back to citation no. 31
  32. Carrington C. Oral targeted therapy for cancer. Aust Prescr 2015 Oct;38(5):171–6.   [CrossRef]    Back to citation no. 32
  33. ClinicalTrials.gov. Neo-adjuvant therapy with anastrozole plus pazopanib in stage II and III ER+ breast cancer: NCT01394211. [Available at: https://clinicaltrials.gov/ct2/show/NCT01394211]    Back to citation no. 33
  34. ClinicalTrials.gov. Reversing hormone resistance in advanced breast cancer with pazopanib: NCT01466972. [Available at: https://clinicaltrials.gov/ct2/show/NCT01466972]    Back to citation no. 34

[HTML Abstract]   [PDF Full Text]

Acknowledgements
Brianna Wright, Christopher Renaud, Susan Pendlebury.
Author Contributions
Sarah Jane Zardawi – Acquisition of data, Analysis and interpretation of data, Drafting the article, Revising it critically for important intellectual content, Final approval of the version to be published
Mathew Kattathra George – Substantial contributions to conception and design, Revising it critically for important intellectual content, Final approval of the version to be published
Guarantor of Submission
The corresponding author is the guarantor of submission.
Source of Support
None
Consent Statement
Written informed consent was obtained from the patient for publication of this case report.
Conflict of Interest
Author declares no conflict of interest.
Copyright
© 2018 Sarah Jane Zardawi et al. This article is distributed under the terms of Creative Commons Attribution License which permits unrestricted use, distribution and reproduction in any medium provided the original author(s) and original publisher are properly credited. Please see the copyright policy on the journal website for more information.