Case Report
 
A giant primary omental extragastrointestinal tumor: A case report
Ruquaya Mir1, Vikram P. Singh1, Sumaid Kaul2
1Senior Consultant Surgical Oncology, Indraprastha Apollo Hospitals, New Delhi, India
2Senior Consultant Histopathology, Indraprastha Apollo Hospitals, New Delhi, India

Article ID: 100046Z10RM2018
doi: 10.5348/Z10-2018-46-CR

Corresponding Author:
Ruquaya Mir,
Senior Consultant Surgical Oncology,
Indraprastha Apollo Hospitals,
New Delhi, India

Access full text article on other devices

  Access PDF of article on other devices

[HTML Abstract]   [PDF Full Text] [Print This Article]
[Similar article in Pumed] [Similar article in Google Scholar]

How to cite this article
Mir R, Singh VP, Kaul S. A giant primary omental extragastrointestinal tumor: A case report. J Case Rep Images Oncology 2018;4:100046Z10RM2018.


ABSTRACT
Extragastrointestinal stromal tumor is a recently described group of tumors. These tumors are usually present in omentum, mesentery, retroperitoneum, periprostatic and rectovaginal septum. Although histologically they resemble gastrointestinal tumors, extragastrointestinal stromal tumors are considered more aggressive in behavior, have worse prognosis and over-all survival. There are no definite guidelines for stratification and treatment of these rare tumors.

Keywords: Extragastrointestinal tumor, Gastrointestinal tumor, Immunohistochemical studies


INTRODUCTION

Extragastrointestinal stromal tumors (EGIST) are a rare group of tumors and constitute less than 1% of all gastrointestinal malignancies and approximately 5% of all GIST cases. Their histological and immunophenotype appearance are similar to GIST but biological behavior is aggressive and are treated as high risk cases. Most of our knowledge about EGIST is based on accumulated case reports and case series.


CASE REPORT

A 48-year-old male was presented with history of recurrent abdomen pain for five months. Abdomen pain was also associated with progressive abdominal distension. He also complained of weight loss and early satiety. On examination there was a large lump palpable in abdomen mainly occupying central abdomen and pelvis. Rest of the examination including per rectal examination was non-contributory. Ultrasonography of abdomen showed a large mass in central abdomen and pelvis. Magnetic resonance imaging scan of abdomen showed a large soft tissue mass of retroperitoneal origin occupying whole abdomen cavity with aorta deviated to right side suggestive of retroperitoneal sarcoma. There was no para aortic lymphadenopathy, kidneys/liver was reported normal.

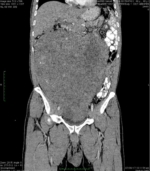
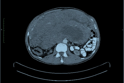
PET-CT scan showed a 26.3x24.3x11.3 cm, abdominopelvic mass extending into abdominopelvic cavity with splaying of large and small bowel and indenting right kidney and IVC, Displacing right lobe of liver (Figure 1) and (Figure 2).


Trucut biopsy reported presence of fibrous tissue

  • Positive for vimentin, CD34, CD99
  • Negative for CK, EMA, DESMIN, S-100
  • SMA: Patchy positive
  • Ki-67: -4%

At laparotomy there was a large, highly vascular, fleshy mass attached to greater omentum and with tortuous, dilated blood vessel. Right gastroepiploic artery and vein were dilated and pulled by mass, and a major supply vessel diverged from it. Tumor was minimally adherent to posterior wall of stomach. There were multiple feeding vessels from the lateral abdominal wall. Tumor was removed en bloc without requiring any resection of gut. It was measuring 40x35x10 cm and weighing 6 kg. Patient had uneventful postoperative recovery and was started on imatinib mesylate 600 mg once a day. The patient had remained well and had no signs of recurrence at the time of review at 12th month.


Surgical pathology report

On gross examination tumor was weighing 6 kg and measuring 40x35x10 cm. Largely smooth on surface and grey in color.


Microscopic description

Sections reveal a tumor comprised of cells arranged in sheets, whorl and interlacing fascicles, lying within a fibrous background. Individual cells are spindly or oval, with ample eosinophilic cytoplasm and a large oval or elongated vesicular. Nuclear pleomorphism is minimal and nucleoli are not visible.

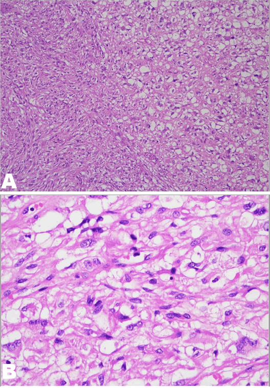
In very focal areas tumor cells are plump, oval to round, with clear cytoplasm and a large moderately pleomorphic and hyperchromatic nucleus. Mitotic figures are rare (about 1/50 Hpf). Tumor necrosis is not present. Few compressed, large vessels are seen interspersed within the tumor. Tumor is reaching right up to the margin (Figure 3) (Figure 4).


Immunohistochemistry

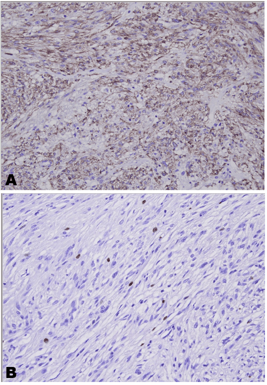
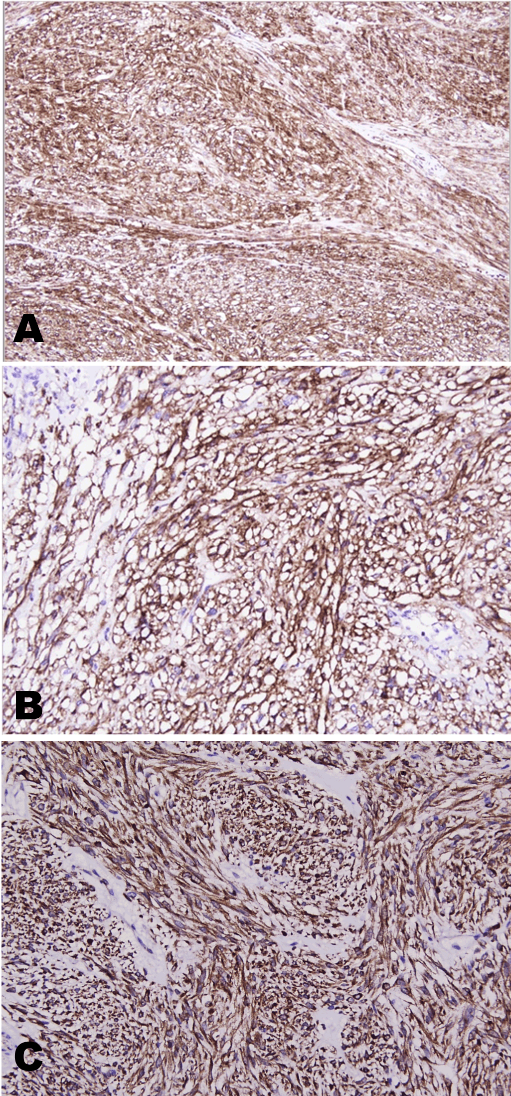
Tumor cells are strongly positive for CD34, DOG-1 and Bcl2. They show weak to moderate staining for C-kit. Few scattered cells are positive for SMA. They are negative for S-100 and CD9. Mib-1 labeling index is low (about 1%) (Figure 5).


Cursor on image to zoom/Click text to open image
Figure 1: Axial view of contrast enhanced computed tomography scan.



Cursor on image to zoom/Click text to open image
Figure 2: Coronal view of contrast-enhanced computed tomography scan.



Cursor on image to zoom/Click text to open image
Figure 3: (A, B) Plump cells with pleomorphic nuclei (H&E stain, A: x20, B: x40).



Cursor on image to zoom/Click text to open image
Figure 4: Immunohistochemistry showing positive for (A) CD34, x20, (B) Dog-1, x20, and (C) Bcl2, x20.



Cursor on image to zoom/Click text to open image
Figure 5: (A, B) Immunohistochemistry positive for (A) CKit, x20, and (B) Ki67 (proliferative index), x20, 1%.



DISCUSSION

Gastrointestinal stromal tumors (GISTs) constitute majority of mesenchymal tumors of the gastrointestinal tract. GIST is usually diagnosed in adults over 40 years of age (mean age 55–60 years), and only rarely in children. Gastrointestinal tumors originate from interstitial cell of Cajal situated in muscular propria of intestine or their stem cell like precursors. The varied morphology of GIST is spindle cell (70%), epithelioid cell (20%),mixed spindle and epithelioid cell (10%) [1][2].

The majority of GIST is present in the stomach (60–70%) or small intestine (25–30%). The colon, rectum, appendix, (together 5%) and esophagus (2–3%) are rare sites [3]. Gastrointestinal stromal tumors are specifically KIT (CD117) positive. Positive for nestin (90–100%) and CD34 (70%) has also been reported. Stromal tumors arising outside the gastrointestinal tract are extremely rare and are known as extragastrointestinal stromal tumor (EGISTs), accounting for less than 5% of all GISTs. Eighty percent of EGISTs are located in the omentum or mesentery, and the remainder develops in the retroperitoneum. A high percentage of EGISTs represent a metastasis from primary GISTs. Histologically they resemble their gastrointestinal counterpart. The presence of Cajal cells has been reported in omentum by Sakurai et al. These cells are CD117+/CD34+ mesenchymal cells, like Cajal cell [4]. Less commonly reported sites being prostate, scrotum, pancreas, gallbladder, liver, pleura, rectovaginal septum and gynecological organs. The majority of EGISTs (14 cases) that were re-classified by Agaimy and Wunsch was found to be either GISTs with extensive extramural growth, resulting in loss of contact to the external muscle coat of the gut (8/14) or as a metastasis from an inoperable GIST (2/14) or from a previously resected deceptively benign tumor (1/14). Thus, a great percentage of EGISTs appeared to be due to metastasis from a primary GIST [5].

The annual incidence of GISTs increased from 2.1 per million inhabitants in 1995 to 12.07 per million inhabitants in 2003. The increased incidence during this period is related to the increased understanding of GIST pathobiology and the routine availability of the diagnostic immunohistochemical antibody, directed against the CD117 antigen.

Behavior of GISTs can vary from biologically benign to malignant and there is no accepted staging system. Various prognostic factors described in literature are, size of the tumor, age of the patient, anatomic location, mitotic activity, histologic subtype and presence of intra-tumoral necrosis. It has been reported in various case series that small bowel GIST and EGIST have more aggressive behavior than GIST arising from stomach. Extra-intestinal GIST has a high incidence of lymph node involvement and distant metastasis. The clinical manifestations of EGIST depend on the size and anatomic location of the tumor and include gastrointestinal bleeding, abdominal pain, weight loss, generalized weakness and lethargy. The EGIST usually presents late leading to a large tumor mass as in our case report.

Contrast-enhanced computed tomography (CECT) scan is the first imaging used for the diagnosis of an abdominal lump; GIST may appear on CT as an exophytic mass, well or irregularly defined and enhancing either homogeneously or in-homogeneously after intravenous contrast medium administration. Less common findings include central necrosis of the tumor. The updated consensus by ESMO, National Comprehensive Cancer Network (NCCN), and Canadian guidelines recommends CT and positron emission tomography (PET) scanning for imaging early stage lesions and the use of EUS for small incidental tumors [6] [7][8][9].

The EGIST has a distinct morphological immunohistochemical and genetic profile from GIST by harboring predominance of epithelioid morphology, higher malignant potential, higher desmin expression and high mutation rate. Thus, indicating a need of specific risk stratification system for EGIST [10][11]. Approximately 95% of GISTs have a somatic mutation of CD117, which is a tyrosine kinase transmembrane receptor located on chromosome 4 (4q11-q12) [12]. Less than 5% of GISTs have a mutation of PDGFRA instead of c-kit. The EGISTs often show an epithelioid or mixed morphology and frequently bear PDGFRA mutations. The CD117 positivity varies from 90–100%, DOG-1 expression is seen in 66% of patients. SMA positivity (50% versus 40%) and desmin positivity (50% versus 14%) were higher in EGIST compared to GIST. Guye and her colleagues used the SEER database to identify 2,951 patients with GIST treated with surgery from 1996 to 2008. Most patients (n = 2,330) had a primary tumor location in the gastrointestinal tract while the remainder (n = 261) had extra-intestinal tumors. For the entire cohort, median survival was 113 months and 5 years overall survival was 68.7%. Median survival was 120 months for patients with gastrointestinal tract tumor compared with 105 months for patients with extra-intestinal tumors. Guye reported five-year overall survival also favored patients with primary tumors within the gastrointestinal tract (62% versus 70%; p = 0.002). Stepwise multivariate analysis showed that non-intestinal site was an independent predictor of poorer survival (HR=1.28; 95% CI, 1.02.62). Patients with EGIST tumors presented at higher stage. Researchers found no difference in survival for patients with local diseases, but patients with GIST tumors had poorer survival with regional disease (70% versus 59%) and distant metastatic disease (49% versus 32%). Extraintestinal tumor location increased the risk for death by 28% [13].

There are no definite guidelines regarding management of extraintestinal GIST and are usually managed on same guidelines formulated for GIST. The usual mode of management of EGIST includes surgery after having excluded the presence of metastasis. Tumors which are inoperable and are metastatic are treated with imatinib mesylate. This drug is an inhibitor of tyrosine kinase (c-kit (CD117) protein), which in effect is a tyrosine kinase growth factor receptor expressed in more than 95% of cases of GISTs. Since the behavior pattern of EGIST is different from classical GISTs, the validity of this drug still remains non-standardized and under evaluation. C-Kit and PDGFRA mutation (exon 12) plays the primary role in EGIST pathogenesis as has been shown by the collected data (Table 1). The most common mutations detected in GIST are gain-of-function of c-Kit (exon11) or in frame deletions in PDGFRA. whereas domain (exon 9) Ala502-Tyr503 duplication is specific for intestinal GISTs , and tyrosine kinase domains (exons 14 and 18), are found exclusively in gastric GISTs, mostly epithelioid variants. Some Kit and PDGFRA mutations carry prognostic value. Local recurrence may occur after surgical resection of an EGIST. Tumor size, cell proliferation index and location of the tumor can be used to predict the risk of recurrence in EGIST patients [14][15][16].


Cursor on image to zoom/Click text to open image
Table 1: Immunohistochemistry and mutations in the primary omental GISTs



CONCLUSION

The mesenchymal tumors may grow to a large size without much discomfort to the patient. It is imperative for the clinician to be able to recognize this rare group of tumors so that appropriate treatment is given at an early stage to improve long term prognosis.


REFERENCES
  1. Bchazin NS. Gastrointestinal stromal tumors. [Availbale at: http://emedicine.medscape.com/article/179669-overview]    Back to citation no. 1
  2. Zhao X, Yue C. Gastrointestinal stromal tumor. J Gastrointest Oncol 2012 Sep;3(3):189–208.   [CrossRef]   [Pubmed]    Back to citation no. 2
  3. Miettinen M, Lasota J. Gastrointestinal stromal tumors (GISTs): Definition, occurrence, pathology, differential diagnosis and molecular genetics. Pol J Pathol 2003;54(1):3–24.   [Pubmed]    Back to citation no. 3
  4. Sakurai S, Hishima T, Takazawa Y, et al. Gastrointestinal stromal tumors and KIT-positive mesenchymal cells in the omentum. Pathol Int 2001 Jul;51(7):524–31   [CrossRef]   [Pubmed]    Back to citation no. 4
  5. Agaimy A, Wünsch PH. Gastrointestinal stromal tumours: A regular origin in the muscularis propria, but an extremely diverse gross presentation. A review of 200 cases to critically re-evaluate the concept of so-called extra-gastrointestinal stromal tumours. Langenbecks Arch Surg 2006 Aug;391(4):322–9.   [CrossRef]   [Pubmed]    Back to citation no. 5
  6. Levy AD, Remotti HE, Thompson WM, Sobin LH, Miettinen M. Gastrointestinal stromal tumors: Radiologic features with pathologic correlation. Radiographics 2003 Mar–Apr;23(2):283–304, 456; quiz 532.   [CrossRef]   [Pubmed]    Back to citation no. 6
  7. Blackstein ME, Blay JY, Corless C, et al. Gastrointestinal stromal tumours: Consensus statement on diagnosis and treatment. Can J Gastroenterol 2006 Mar;20(3):157–63.   [Pubmed]    Back to citation no. 7
  8. Cao H, Zhang Y, Wang M, et al. Prognostic analysis of patients with gastrointestinal stromal tumors: A single unit experience with surgical treatment of primary disease. Chin Med J (Engl) 2010 Jan 20;123(2):131–6.   [Pubmed]    Back to citation no. 8
  9. Demetri GD, Benjamin RS, Blanke CD, et al. NCCN Task Force report: Management of patients with gastrointestinal stromal tumor (GIST)—update of the NCCN clinical practice guidelines. J Natl Compr Canc Netw 2007 Jul;5 Suppl 2:S1–29; quiz S30.   [Pubmed]    Back to citation no. 9
  10. Cho MY, Sohn JH, Kim JM, et al. Current trends in the epidemiological and pathological characteristics of gastrointestinal stromal tumors in Korea, 2003–2004. J Korean Med Sci 2010 Jun;25(6):853–62.   [CrossRef]   [Pubmed]    Back to citation no. 10
  11. Reith JD, Goldblum JR, Lyles RH, Weiss SW. Extragastrointestinal (soft tissue) stromal tumors: An analysis of 48 cases with emphasis on histologic predictors of outcome. Mod Pathol 2000 May;13(5):577–85.   [CrossRef]   [Pubmed]    Back to citation no. 11
  12. Blackstein ME, Rankin B, Fletcher C, Heinrich M, Benjamin R, Mehren MV. Clinical benefit of imatinib in patients with metastatic GIST negative for the expression of CD117 in the S0033 trial. ASCO J Clin Oncol 2005;9010.    Back to citation no. 12
  13. ASCO Gastrointestinal Cancers Symposium. 2012 January 19–21. San Francisco. [Availbale at: https://www.google.co.in/url?sa=t&rct=j&q=&esrc=s&source=web&cd=7&cad=rja&uact=8&ved=0ahUKEwj85_CE1vnXAhUE448KHW-LAs8QFghFMAY&url=https%3A%2F%2Fasco.confex.com%2Fasco%2Fgics2012%2FSubmissionGuidelines.pdf&usg=AOvVaw0eFj6HdOyo-7XBbVw6_o5E]    Back to citation no. 13
  14. Todoroki T, Sano T, Sakurai S, et al. Primary omental gastrointestinal stromal tumor (GIST). World J Surg Oncol 2007 Jun 12;5:66.   [CrossRef]   [Pubmed]    Back to citation no. 14
  15. Miettinen M, Lasota J. Gastrointestinal stromal tumors: Review on morphology, molecular pathology, prognosis, and differential diagnosis. Arch Pathol Lab Med 2006 Oct;130(10):1466–78.   [Pubmed]    Back to citation no. 15
  16. Blanke CD, Corless CL. State-of-the art therapy for gastrointestinal stromal tumors. Cancer Invest 2005;23(3):274–80.   [CrossRef]   [Pubmed]    Back to citation no. 16

[HTML Abstract]   [PDF Full Text]

Author Contributions
Ruquaya Mir – Substantial contributions to conception and design, Acquisition of data, Drafting the work, Final approval of the version to be published
Vikram P. Singh – Substantial contributions to conception and design, Revising the work critically for important intellectual content, Final approval of the version to be published
Sumaid Kaul – Analysis of data, Revising the work critically for important intellectual content, Final approval of the version to be published
Guarantor of Submission
The corresponding author is the guarantor of submission.
Source of Support
None
Conflict of Interest
Authors declare no conflict of interest.
Copyright
© 2018 Ruquaya Mir et al. This article is distributed under the terms of Creative Commons Attribution License which permits unrestricted use, distribution and reproduction in any medium provided the original author(s) and original publisher are properly credited. Please see the copyright policy on the journal website for more information.