Case Report
 
Wilms tumor with multiple bone and lung metastases in a two-year-old boy
Putu Diah Vedaswari1, Ketut Ariawati1
1Department of Child Health, Medical School of Udayana University, Denpasar, Bali, Indonesia

Article ID: 100041Z10PV2017
doi:10.5348/Z10-2017-41-CR-12

Address correspondence to:
Putu Diah Vedaswari
Denpasar, Bali
Indonesia
80119

Access full text article on other devices

  Access PDF of article on other devices

[HTML Abstract]   [PDF Full Text] [Print This Article]
[Similar article in Pumed] [Similar article in Google Scholar]

How to cite this article
Vedaswari PD, Ariawati K. Wilms tumor with multiple bone and lung metastases in a two-year-old boy. J Case Rep Images Oncology 2017;3:52–56.


ABSTRACT
Introduction: Wilms tumor is the most common renal tumor encountered in children with more than 80% was diagnosed below the age of five years. The incidence of metastases of Wilms tumor is approximately 10%. The primary distant site for metastases is the lung; hepatic and lymph nodal metastases are much less common and bone metastases being extremely rare.
Case Report: We present a two year-old boy with masses on the head, right shoulder and right knee with history of palpable masses two month before on his left abdomen and underwent a nephrectomy. The microscopic examination after tumor excision showed unfavorable Wilms tumor but he never went for chemotherapy. Chest X-ray revealed a solitary nodule on the right paracardiac region and the destruction of the right scapular bone very likely the process of metastases. Computed tomography scan of head revealed soft tissue masses and destructed bone underneath. Microscopic examination in biopsy of the masses at head and right shoulder revealed hypercellular groups of neoplastic cells suitable for small round cell tumor suggests a metastasis of Wilms tumor. He planned to have 24 weeks of chemotherapy consist of doxorubicin, vincristine, cyclophosphamide, and etoposide. After 17 weeks of treatment, he experienced clinical improvement.
Conclusion: Metastases to the bone and lung in Wilms tumor are extremely rare. The manifestation can be as a mass with destructed bone underneath with cytomorphology suitable for small round cell tumor.

Keywords: Bone metastases, Children, Lung metastases, Wilms tumor


INTRODUCTION

Wilms tumor, named after the nineteenth century German surgeon Carl Max Wilhelm Wilms is the most common malignant renal tumor in children and the fifth most common pediatric malignancy overall [1][2][3] . Wilms tumor affects one in 10,000 children and accounts for 5% of all childhood cancers. More than 80% of children are diagnosed with Wilms tumor below the age of five years. The disease in Asian children has a peak in the second year of life, and a greater incidence among boys than girls has been observed in the East-Asian population [4].

Wilms tumor arises from pluripotent embryonic renal precursors known as nephrogenic rests and can arise anywhere within the renal medulla or cortex and can protrude into the calyces and ureter. It is estimated that only 1% of nephrogenic rests undergo malignant transformation. Histologically, classic Wilms tumor is of a triphasic cell lineage comprising blastemal, stromal and epithelial cells, but three types of these tumor cells need not be present for a tumor to be designated as classic Wilms tumor. Of classic Wilms tumor, 7% are anaplastic [5]. Patient with Wilms tumor typically present with an asymptomatic abdominal mass, usually discovered by parent while bathing the child or by a relative who notice a protuberant abdomen. Associated signs and symptoms such as malaise, pain, either microscopic or gross hematuria and hypertension [3].

Like other malignancy, Wilms tumor also have tendency to metastases. The primary distant site for Wilms tumor metastases is the lung; and bone metastasis being extremely rare [1][6] [7]. The incidence of bone metastases from Wilms tumor is only about 1.3% [8].


CASE REPORT

A two-year-old boy was presented with masses on the head, right shoulder and right knee since six months before admission to the hospital. It started from one mass on his head which getting bigger, then two other mass appeared on his forehead, right shoulder and right knee which also getting bigger. There was no complaint of redness, painful nor hot of the masses. The patient also complained weakness on his feet since the mass appeared on his right knee, it start with weakness only on right foot then getting worsen until he cannot be able to walk.

The patient previously had history of abdominal bloating and a lump in the left abdomen when he was one and a half years old. Abdominal computed tomography scan then revealed heterogeneous enhancing solid mass with impression of coming from the bottom pole of the left kidney, the size about 8.9x10x8.3 cm, fascia Gerota appear to be intact, suggestive of Wilms tumor of the left kidney. The patient then underwent left nephrectomy surgery. From examination of the specimens, weighing 700 grams, size of 12.5x12x8 cm, looked formations such as urethral with length of 3 cm, diameter of 0.5 cm, white and gray colors. Microscopic examination showed a network consisting of cells with a round spindle oval nucleus, pleomorphic, partly with clear cytoplasm, arranged in dense areas, partly loose. Mitosis was 10/10 HPF. In some parts, normal renal structure was seen. No tumor cells was present in the ureter. The report was; Wilms tumor (unfavorable). Patients were scheduled to receive chemotherapy after surgery, but the patient did not come to hospital to continue the treatment. Two months after surgery, the mass began to appear on the head.

From head examination there were three masses. At frontoparietal region there were two masses with diameter of 6 cm and 2 cm. The biggest mass was at parietooccipital region with diameter of 12 cm. The masses were fixed at their base and were solid. There were no redness, tenderness nor signs of inflammation (Figure 1). At right scapula there are two masses with a diameter of 5 cm and 3 cm fixed to it base, solid, no tenderness, redness, neither signs of inflammation. At the lower extremities there is mass at right knee with diameter of 24 cm compared to left knee with diameter of 19 cm. the mass also fixed, solid, no tenderness, redness, neither signs of inflammation. From neurological examination the power, tonus, and reflex of the superior extremities were normal. The power of inferior extremities was 2 of 5, tonus decreased, physiologic reflexes decreased, and no pathologic reflexes found on extremities.

Chest X-ray revealed a solitary nodule on the right paracardial region suspicious for metastasis of pulmonary nodular type (differential diagnosis: primary mass) and the destruction of the right scapular bone very likely the process of metastasis (Figure 2). Head computed tomography (CT) scan revealed soft tissue masses on left frontoparietal and left parietooccipital region with administration of contrast showed enhancement. The masses looked destructed bone underneath that seems to infiltrate the brain parenchyma (Figure 3).

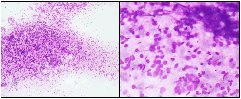
Patient then underwent for fine needle aspiration biopsy of mass at frontoparietal, parietoocipital region and right shoulder. Microscopic examination revealed hypercellular group consisting of the distribution of groups of neoplastic cells that make up layers structure, partly forming solid group, some forming rosette structures and cord. The cells morphology was oval spherical with narrow cytoplasm, nucleus ovoid round, small, some with spindle, with single core nucleus, other with multiple nucleus, with irregular nuclear membrane. There was distribution of lymphoid cells with different degrees of maturation ranging from blast to mature lymphocytes. Background of it was erythrocytes. Cytomorphology suitable for small round cell tumor suggests a metastasis of Wilms tumor (Figure 4).

Based on clinical manifestation, imaging finding and biopsy result, we assessed the patient with stage IV Wilms tumor with pulmonary and multiple bone metastases. The treatment were chemotherapy for stage IV Wilms tumor with combination of doxorubicin, vincristine, cyclophosphamide and etoposide for 25 weeks. After the chemotherapy performed for 17 weeks, he experienced clinical improvement with masses gradually disappeared (Figure 5).


Cursor on image to zoom/Click text to open image
Figure 1: Three masses on the head. The masses were solid, fixed to it base, no redness, painless or sign of inflammation.



Cursor on image to zoom/Click text to open image
Figure 2: Chest X-ray showing solitary nodule (red circle) and right scapular bone destruction (red arrow).



Cursor on image to zoom/Click text to open image
Figure 3: (A) Axial section of head computed tomography scan showed masses destructed bone underneath, (B) Sagital section of head computed tomography scan with contrast showed masses at frontoparietal and parietooccipital region with enhancement and bone destruction.



Cursor on image to zoom/Click text to open image
Figure 4: Microscopic examination of fine needle aspiration biopsy of the masses showed small round cell tumor.



Cursor on image to zoom/Click text to open image
Figure 5: Clinical improvement after 17 weeks of chemotherapy, no masses were seen on head.



DISCUSSION

Wilms tumor is an embryonic malignancy of the kidney. Models of Wilms tumor development propose that a genetic mutation predisposes to nephrogenic rests. These are benign foci of embryonic kidney cells that persist abnormally into postnatal life in approximately 1% of newborn kidneys and usually regress or differentiate by early childhood [9][10][11]. A greater incidence found among boys than girls has been observed in the East-Asian population [4]. The nephrogenic rests that persist may sustain additional mutations and transform into Wilms tumor. Wilms tumor is mostly diagnosed in patients who are between 1–4 years of age in about 70–80% with peak of incidence is between 2–5 year of age [9][10][11]. The tumor usually arises in a single kidney, only about 5% of children have bilateral disease [4][5].

The most common initial clinical presentation for Wilms tumor is the incidental discovery of an asymptomatic abdominal mass by parents while bathing or clothing an affected child or by a physician during the course of a routine physical examination [3][9]. At presentation the mass can be quite large because retroperitoneal masses can grow unhampered by strict anatomic boundaries [9]. Other symptoms that may occur are malaise, hematuria, hypertension, pain or fever [3].

Diagnostic work up should incorporate clinical, radiological and histological features. Imaging studies include abdominal flat plate radiography, abdominal ultrasonography (US), computed tomography (CT) scan, and/or magnetic resonance imaging (MRI) scan of the abdomen to define the origin of the mass [9]. A CT scan of the abdomen is the imaging study of choice for those patients suspected of having a renal tumor. This will confirm the presence of a solid renal mass and will afford the opportunity to visualize the contralateral kidney to confirm its presence (and function) and to exclude synchronous bilateral disease with a high degree of sensitivity [3]. Based on histology examination, Wilms tumor mimics the development of the normal kidney consisting of three components: blastema, epithelium (tubules), and stroma. The blastemal component consists of medium sized undifferentiated cells that form large aggregates or are arranged in anastomosing bands. The nuclei are round to oval, are hyperchromatic and have small nucleoli. When blastema, epithelium and stromal cells are present, the tumor is called triphasic. Biphasic as well as monophasic patterns are also seen. The diagnostic feature of Wilms tumor is a tubuloglomerular swirl of nephrogenic cells in a background of undifferentiated stromatogenic cells [12]. From histology subtype, Wilms tumor can be categorized for it risk into favorable group if there is no evidence of any anaplasia or unfavorable group if from histology there is diffuse or focal anaplasia [3][4]. Our case is a two-year-old boy presents with symptoms of palpable abdominal mass at left abdominal quadrant when he was one year old. The mass incidentally found when her mother gave him bath. Abdominal CT scan that showed heterogeneous enhancing solid mass, suggestive of Wilms tumor of the left kidney. Microscopic examination of resection mass showed a network consisting of cells with a round spindle oval nucleus, pleomorphic, partly with clear cytoplasm, arranged in dense areas, partly loose. In some other part looked normal renal structure with conclusion of unfavorable Wilms tumor.

The incidence of metastases of Wilms tumor is approximately 10%. The primary distant site for Wilms tumor metastasis is the lung. From a study of 208 children with Wilms tumor, 31 children (14.9%) had metastases at diagnosis and the lung was affected in 29 children (93.5%) [6]. Metastases to hepatic and lymph nodal are much less common and skeletal metastasis being extremely rare [1][4][9]. In a pathologic review of metastatic disease in 1368 patients with Wilms tumor, Marsden, et al. identified 18 patients (1.3%) with bony metastatic disease. From all those patient with metastases, the age at presentation was between 14 months to 9 years and the sex ratio for male/female was 0.64. Nine of 18 cases (50%) had multiple bone metastases and only 2 cases had lung and multiple bone metastases. The median interval from diagnosis to presentation of osseous deposits was four and a half months [8]. This case complained for multiple masses appeared on his head, right shoulder and right knee two month after underwent a nephrectomy surgery. From physical examination there were masses on his head, right shoulder and right knee. From thorax X-ray and CT scan examination showed destructed bone underneath the mass. Microscopic examination of the masses suitable for small round cell tumor suggests a metastasis of Wilms tumor.

Appropriate therapy, as well as prognosis, based on tumor stage. Treatment for Wilms’s tumor depend on it stage, previous treatment and histology subtype. Our patient received chemotherapy protocol for previously untreated stage IV focal anaplastic and stage II-IV diffuse anaplastic Wilms tumor, including administration of doxorubicin, vincristine, cyclophosphamide and etoposide.

Wilms tumor with bone metastases is being extremely rare case. The primary distant site for Wilms tumor metastasis is the lung (80.7%); hepatic and lymph nodal metastases are much less common [1][6][7]. The incidence of bone metastases from Wilms tumor is only about 1.3% [8]. There is a lack of specific study of long-term outcome of Wilms tumor patient with bone metastases. A review of 1368 case with Wilms tumor by Marsden, et al. reported 18 patients with bone metastases all died, with one year survival rates was 4/18, [8] while in our patient experienced clinical improvement with masses gradually disappeared after 17 weeks of chemotherapy.


CONCLUSION

Bone metastases in Wilms tumor are extremely rare. The manifestation of metastases appears as masses with destruction of the bone underneath. Microscopic examination showed small round cell tumor. Therapy can be given as stage IV unfavorable Wilms tumor.


REFERENCES
  1. Sreeranga YL, Kumar AN, Tyagi A, Lakshmidevi VB, Chowhan AK. Monophasic Wilms tumor with multiple skeletal metastases in a young female: A case report and review of literature. Ped Urol Case Rep 2016;3(3):68-75.   [CrossRef]    Back to citation no. 1
  2. Purwanti Y, Suryanto S, Mulatsih S, Kusuma PA. Risk factors for mortality in children with Wilms tumor. Paediatr Indones 2016;56(4):226–9.   [CrossRef]    Back to citation no. 2
  3. Davidoff AM. Wilms tumor. Adv Pediatr 2012;59(1):247–67.   [CrossRef]    Back to citation no. 3
  4. Szychot E, Apps J, Pritchard-Jones K. Wilms' tumor: Biology, diagnosis and treatment. Transl Pediatr 2014 Jan;3(1):12–24.   [CrossRef]    Back to citation no. 4
  5. Kaste SC, Dome JS, Babyn PS, et al. Wilms tumour: prognostic factors, staging, therapy and late effects. Pediatr Radiol 2008 Jan;38(1):2–17.   [CrossRef]   [Pubmed]    Back to citation no. 5
  6. Berger M, Fernandez-Pineda I, Cabello R, et al. The relationship between the site of metastases and outcome in children with stage IV Wilms tumor: Data from 3 european pediatric cancer institutions. J Pediatr Hematol Oncol 2013 Oct;35(7):518–24.   [CrossRef]   [Pubmed]    Back to citation no. 6
  7. Cohn SL, Hamre M, Kletzel M, Chou P, Radkowski MA. Intraspinal Wilms' tumor metastases. Cancer 1994 May 1;73(9):2444–9.   [CrossRef]   [Pubmed]    Back to citation no. 7
  8. Marsden HB, Lennox EL, Lawler W, Kinnier-Wilson LM. Bone metastases in childhood renal tumours. Br J Cancer 1980 Jun;41(6):875–9.   [CrossRef]   [Pubmed]    Back to citation no. 8
  9. Anderson PM, Dhamne CA, Huff V. Wilms tumor. In: Kliegman RM, Stanton BF, St. Geme III JW, Schor NF, Behrman RE, editors. Nelson Textbook of Pediatrics. 19ed. California: Elsevier; 2011.    Back to citation no. 9
  10. Watanabe R, Takahashi A, Suzuki M, et al. Adolescent wilms tumor with intraspinal and bone metastases: A case report and the review of literature. J Pediatr Hematol Oncol 2009 Jan;31(1):45–8.   [CrossRef]   [Pubmed]    Back to citation no. 10
  11. Lanzkowsky P. Manual of pediatric hematology and oncology. 5ed. San Diego: Elsevier; 2011.    Back to citation no. 11
  12. Oak SN, Parelkar SV. Wilms’ tumor: Saga of a century. 2ed. New Delhi, India: Jaypee brothers medical publishers; 2002.    Back to citation no. 12

[HTML Abstract]   [PDF Full Text]

Author Contributions
Putu Diah Vedaswari – Substantial contributions to conception and design, Acquisition of data, Analysis and interpretation of data, Revising it critically for important intellectual content, Final approval of the version to be published
Ketut Ariawati – Analysis and interpretation of data, Revising it critically for important intellectual content, Final approval of the version to be published
Guarantor of submission
The corresponding author is the guarantor of submission.
Source of support
None
Conflict of interest
Authors declare no conflict of interest.
Copyright
© 2017 Putu Diah Vedaswari et al. This article is distributed under the terms of Creative Commons Attribution License which permits unrestricted use, distribution and reproduction in any medium provided the original author(s) and original publisher are properly credited. Please see the copyright policy on the journal website for more information.