Clinical Image
 
Metastatic prostate cancer involving the right testicle
Daniel Landau1, John Graham2
1MD, 1400 South Orange Avenue, Orlando, FL
2MD, 1400 South Orange Avenue, Orlando, FL

Article ID: 100034Z10DL2017
doi:10.5348/Z10-2017-34-CL-5

Address correspondence to:
ohn James Graham
1400 South Orange Avenue
Orlando

Access full text article on other devices

  Access PDF of article on other devices

[HTML Abstract]   [PDF Full Text] [Print This Article]
[Similar article in Pumed] [Similar article in Google Scholar]

How to cite this article:
Landau D, Graham J. Metastatic prostate cancer involving the right testicle. J Case Rep Images Oncology 2017;3:21–23.


Case Report

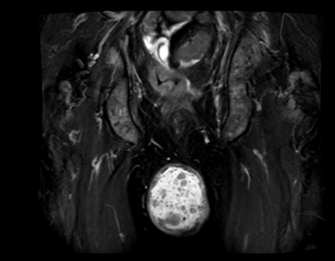
A 55-year-old male diagnosed with prostate cancer in 2010 and underwent radical prostatectomy followed by salvage radiation therapy to the prostatic fossa. He was found to have bone metastasis and since had been treated with hormonal therapy, enzalutamide, abiraterone, radium-223, and taxotere. In April 2016, the patients PSA was >1500 ng/dl. In August 2016, the patient,s was found to have bone marrow involvement with anemia (hemoglobin 6.1 g/dL) and thrombocytopenia (platelets 32x103/ul). In November 2016, the patient began complaining of scrotal pain. Physical examination demonstrated an enlarged scrotum with palpable mass and magnetic resonance imaging (MRI) scan revealed a right testicular hydrocele containing multiple enhancing nodules (Figure 1) (Figure 2) (Figure 3) (Figure 4). At last follow-up on November 10, 2016, the patient continued to have scrotal pain, and required transfusions for anemia and thrombocytopenia and is currently being treated with carboplatin and cabazitaxel.


Cursor on image to zoom/Click text to open image
Figure 1: T2 magnetic resonance imaging scan sagittal view showing right testicle with multiple enhancing lesions.



Cursor on image to zoom/Click text to open image
Figure 2: STIR magnetic resonance imaging scan coronal view showing multiple cystic masses within the right testicle.



Cursor on image to zoom/Click text to open image
Figure 3: T2 magnetic resonance imaging scan axial view showing a dominate right testicle with multiple cystic lesions.




Cursor on image to zoom/Click text to open image
Figure 4: T1 magnetic resonance imaging scan axial view showing enlarged right testicle occupying most of the scrotal space.



Discussion

Secondary solid tumor testicular neoplasms are a rare occurrence with the prostate being the most common originating site followed by the lungs and kidneys [1]. Malignant hematogenous spread from the prostate after radical prostatectomy at fifth year was found to occur in 22% of patients, with spread to the testes being most rare

[2][3] . This patient already had other sites of metastasis prior to the discovery of his right testicular involvement. Median survival time for patients with testicular metastasis of prostate cancer is less than one year and typically represents aggressive disease[4]. Our patient has progressed through multiple lines of therapy and has been recommended to undergo right orchiectomy as mean survival postorchiectomy for patients with metastatic prostate cancer was 12.8 months and also for palliative pain control [5].


Conclusion

While rare, developing scrotal pain in a male patient with prostate cancer should raise concern for metastasis. Imaging evaluation with ultrasound and/or magnetic resonance imaging scan to look for metastatic foci should be pursued. Surgical resection should be considered to provide both symptomatic relief and to potentially prolong survival.

Keywords: Metastasis, Prostate cancer, Scrotal pain, Testes, Testicular, Testicular neoplasms


References
  1. Blefari F, Risi O, Pino P. Secondary tumors of testis: Two rare cases and review of the literature. Urol Int 1992;48(4):469–70.   [CrossRef]   [Pubmed]    Back to citation no. 1
  2. Catalona WJ, Smith DS. 5-year tumor recurrence rates after anatomical radical retropubic prostatectomy for prostate cancer. J Urol 1994 Nov;152(5 Pt 2):1837–42.   [Pubmed]    Back to citation no. 2
  3. Bubendorf L, Schöpfer A, Wagner U, et al. Metastatic patterns of prostate cancer: An autopsy study of 1,589 patients. Hum Pathol 2000 May;31(5):578–83.   [CrossRef]   [Pubmed]    Back to citation no. 3
  4. Weitzner S. Survival of patients with secondary carcinoma of prostate in the testis. Cancer 1973 Aug;32(2):447–9.   [CrossRef]   [Pubmed]    Back to citation no. 4
  5. Lu LY, Kuo JY, Lin ATL, et al. Metastatic tumors involving the testes. J Urol ROC 2000;11:12–7.    Back to citation no. 5

[HTML Abstract]   [PDF Full Text]

Author Contributions
Daniel Landau – Substantial contributions to conception and design, Acquisition of data, Analysis and interpretation of data, Drafting the article, Revising it critically for important intellectual content, Final approval of the version to be published
John Graham – Analysis and interpretation of data, Revising it critically for important intellectual content, Final approval of the version to be published
Guarantor of submission
The corresponding author is the guarantor of submission.
Source of support
None
Conflict of interest
Authors declare no conflict of interest.
Copyright
© 2017 Daniel Landau et al. This article is distributed under the terms of Creative Commons Attribution License which permits unrestricted use, distribution and reproduction in any medium provided the original author(s) and original publisher are properly credited. Please see the copyright policy on the journal website for more information.