![]() |
|
Case Series
| |||||
| Surgical resection of large sacrococcygeal teratoma in adults: Report of two cases | |||||
| Taher Hawramy1, Awder Khazendar2, Seerwan Hasan3, Mohsin Ahmad4 | |||||
|
1MBChB, D.G.S., C.A.B.S., F.A.C.S., F.MAS, Surgical Emergency Hospital and Surgical Teaching Hospital, Sulaymaniyah city, Kurdistan region, Iraq.
2MBChB, FIBMS (Neurosurgery), Head of Neurosurgical Department, Shahid Dr. Aso Neurosurgical and Ophthalmological Hospital, and Surgical Emergency Hospital, Sulaymaniyah city, Kurdistan region, Iraq. 3MBChB, KBMS (Neurosurgery) Trainee, Shahid Dr. Aso Neurosurgical and Ophthalmological Hospital, and Surgical Emergency Hospital, Sulaymaniyah city, Kurdistan region, Iraq. 4MBChB, High diploma in general surgery, C.A.B.S. trainee, Surgical Emergency Hospital and Surgical Teaching Hospital, Sulaymaniyah city, Kurdistan region, Iraq. | |||||
| |||||
|
[HTML Abstract]
[PDF Full Text]
[Print This Article]
[Similar article in Pumed] [Similar article in Google Scholar] |
| How to cite this article: |
| Hawramy T, Khazendar A, Hasan S, Ahmad M. Surgical resection of large sacrococcygeal teratoma in adults: Report of two cases. J Case Rep Images Oncology 2017;3:11–16. |
|
Abstract
|
|
Introduction:
Here, we present two case reports of adult female patients with the pathologic diagnosis of large sacrococcygeal teratoma.
Case Series: In the first patient (aged 19 years), pelvic ultrasonographic examination showed a large (85.9×88.7 mm) multiloculated complex cyst posterior to the cervix. No evidence of recurrence was observed post-resection. The histological examination of the specimen showed mature cystic teratoma with no malignancy. The second patient (aged 16 years) was with a history of slow progressive enlargement of a non-ulcerative mass in the gluteal region. Surgery was performed. On histopathological examination, the specimen showed chronically inflamed pilonidal sinus with mature cystic teratoma. Conclusion: These two cases suggest that we should put in mind the differential diagnosis of teratoma in sacrococcygeal region masses and it can be cured with surgery if the tumor mass was completely resected with the coccygectomy. | |
|
Keywords:
Abdominal pain, Pelvic ultrasonography, Pilonidal sinus, Sacrococcygeal teratoma
| |
|
Introduction
| ||||||
|
Tumors arising in the presacral area are uncommon and account for about 1 in 10,000 hospital admissions [1]. Sacrococcygeal teratoma is one such uncommon tumor with an overall incidence of approximately 1 in 35,000–40000 live births [2] [3][4][5] [6] and a female to male ratio of 4:1 [3][4]. However, in other studies [2] [7], the female to male ratio was found to be 10:1 with the incidence of sacrococcygeal teratoma [3] [7]. Most of the sacrococcygeal tumors are benign, and only 1–2% of the tumors are malignant [2]. In the present study, we report two cases of mature sacrococcygeal teratomas of Altman type IV with gross macroscopical removal by the sacrococcygeal (posterior sagittal) approach. | ||||||
|
Case Series
| ||||||
|
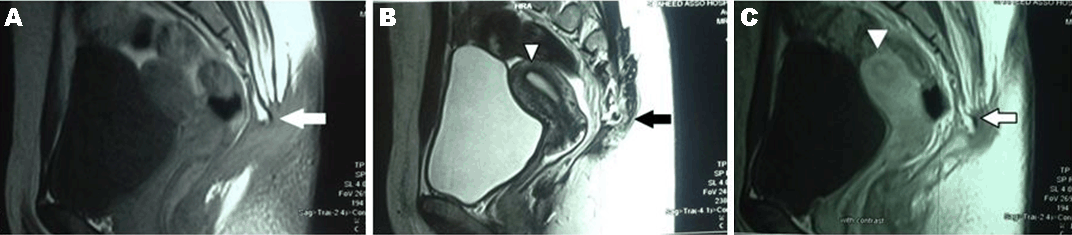
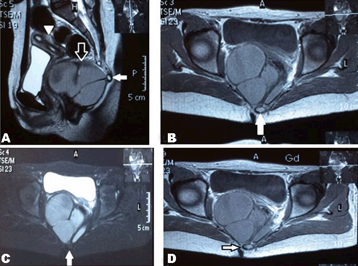
Case 1 History and Examination The patient had a history of a small bulge in the perineum on the right side and a small sinus just below her coccyx during her lifetime. She had no leg pain or paresthesias, no difficulties in urination or defecation, no weight loss, and was able to walk with no difficulties. The patient had an uneventful medical and surgical history with a negative parental consanguinity and a negative family history for same. No irregularities were marked in the menstrual cycle since her menarche at 12 years. In the last two years, she had a decrease in the duration of bleeding (from seven to three days) but with a normal amount of flow. On physical examination, lower limbs revealed normal muscle tone and power, intact sensation, normal reflexes and intact sphincters and rectal mucosa, which was further confirmed by digital rectal examination. A large cystic mass was observed pushing the rectum posteriorly with the mucous membrane moving over it. Diagnostic evaluation Surgery The wound was packed with gauze flavored with iodine and left for secondary healing to take place with regular dressing till 21 days. Histopathological examination Microscopically, the sections showed mature respiratory mucosa, squamous epithelium, mucinous gland and glial elements associated with fibrofatty tissue, bundles of nerve fibers and smooth muscle. It also contained coccygeal bone. The diagnosis was mature cystic teratoma. Outcome Magnetic resonance imaging of pelvis and lumbosacral region revealed it to be free of mass with the restoration of the position of the rectum, bladder and the site of coccygectomy (Figure 4). Case 2 History and Examination The patient had a history of small sinus without discharge below the coccyx. She had no leg pain or paresthesias, no difficulties in urination or defecation, no weight loss and no walking difficulties. The patient had uneventful medical and surgical history with a negative parental consanguinity and a negative family history for same. Her menstrual cycle was regular, with no change in the amount or duration. Her menarche started at 15 years. Physical examination of lower limbs revealed normal muscle tone and power, intact sensation, normal reflexes, intact anal sphincter and normal rectal mucosa, which was further confirmed by digital rectal examination. A cystic mass was found to be pushing on the rectum posteriorly; the mucous membrane was found moving over it. Diagnostic evaluation Magnetic resonance imaging of pelvis and lumbosacral region revealed a large (17×15×10 cm) lobulated outline, hyperintense signal on T1- and T2- with a small (2×10 mm) fatty component near the coccyx, arising from the anterior of lower sacrum and extending posteriorly to the gluteal region more on the right side below the coccyx to the pelvis. It caused displacement of the rectum posterolaterally and uterus and urinary bladder anteriorly. No enhancement was seen after gadolinium contrast (Figure 5). Surgery Histopathological examination A small cyst lined by ciliated epithelial cells was found on one side and squamous epithelial cells on the other, with enteric glandular component seen in the wall of the main cyst. A piece of the bone was present. The diagnosis was chronically inflamed pilonidal sinus with mature cystic teratoma. Outcome | ||||||
| ||||||
|
| ||||||
|
| ||||||
|
| ||||||
|
| ||||||
|
| ||||||
|
Discussion
| ||||||
|
Sacrococcygeal teratoma is a congenital germ cell tumor, which is usually benign, and develops from the primitive knot or Hensen's node [1][2][3] [8][9]. Sacrococcygeal teratoma can be classified according to its location (inside and outside the pelvis) as shown below [3] [8] [9] [10]:
Other studies [2] [9] classified it into mature (cystic or solid, benign), immature (malignant tissue of germ cell origin) and malignant (monodermal or highly specialized) tumors. The sacrococcygeal teratoma in both patients of this study was Altman type IV and both diagnosed histopathologically with mature cystic teratoma. About 90% of the tumor presents with a visible external mass in neonates while most of the adult sacrococcygeal teratoma present as an intra-pelvic mass [2] [7]. Adult sacrococcygeal teratoma may be asymptomatic and discovered incidentally by digital rectal examination, vaginal examination or radiological investigations of the pelvis or peri-anal sinus. However, if the tumor is large enough to produce pressure effect, the patient may complain of pain in the perineum, constipation and bladder dysfunction, and there may be a rare occurrence of fistula in the bladder or rectum [1][2] [9]. Neurological signs and symptoms are absent, and this makes it different from chordoma [1]. The investigations include abdominal and perineal ultrasonography, barium enema to know about bowel involvement and position, urography for the ureter position, arteriography to exclude tumor vascularity, CT scan, and MRI scan with the last two being the investigation of choice [1][2]. We only performed pelvic ultrasonography and MRI for diagnosis. Differential diagnosis includes sacral chordoma, lipoma, anterior myelomeningocele, rectal duplicated cyst and gland cyst, necrotic rectal leiomyosarcoma, pyogenic abscess, neurogenic cyst, cystic lymphangioma, neuroblastomas, dermal sinus stalks, retrorectal hamartomas and intracanalicular epidermoid tumors [2] [7] [8]. The approach to the mass may be trans-abdominal, trans-perineal, a combination of abdominal and perineal approach, combined abdominal sacral approach, or more recently laparoscopic approaches [2] [7][9]. For low-lying presacral tumor by a vaginal approach has been reported in females [1]. We performed complete surgical excision with coccygectomy through sacrococcygeal (posterior sagittal) approach for both patients, with more than 95% cure rate depending on the malignancy [3] [9]. Postoperative complications with coccygectomy are delayed wound healing, infection, increase time for recovery and rare bowel herniation [9]. We did not face postoperative complications except for delayed wound healing. | ||||||
|
Conclusion
| ||||||
|
Although sacrococcygeal teratoma is a rare case in adults, the present study considers teratoma as a differential diagnosis of the masses of sacrococcygeal area and it can be cured with complete surgical intervention, which shows extremely good prognosis. | ||||||
|
Acknowledgements
| ||||||
|
We are grateful for the operative staffs of Shahid Dr. Aso and Surgical teaching hospitals for their help. | ||||||
|
References
| ||||||
| ||||||
|
Suggested Reading
| ||||||
| ||||||
|
[HTML Abstract]
[PDF Full Text]
|
|
Author Contributions:
Taher Hawramy – Substantial contributions to conception and design, Acquisition of data, Analysis and interpretation of data, Drafting the article, Revising it critically for important intellectual content, Final approval of the version to be published Awder Khazendar – Substantial contributions to conception and design, Acquisition of data, Analysis and interpretation of data, Drafting the article, Revising it critically for important intellectual content, Final approval of the version to be published Seerwan Hasan – Substantial contributions to conception and design, Analysis and interpretation of data, Revising it critically for important intellectual content, Final approval of the version to be published Mohsin Ahmad – Substantial contributions to conception and design, Analysis and interpretation of data, Revising it critically for important intellectual content, Final approval of the version to be published |
|
Guarantor of submission
The corresponding author is the guarantor of submission. |
|
Source of support
None |
|
Conflict of interest
Authors declare no conflict of interest. |
|
Copyright
© 2017 Taher Hawramy et al. This article is distributed under the terms of Creative Commons Attribution License which permits unrestricted use, distribution and reproduction in any medium provided the original author(s) and original publisher are properly credited. Please see the copyright policy on the journal website for more information. |
|
|