Table of Contents    
Case Report
 
Diagnosis and treatment of concurrent lymphomatosis cerebri and testicular lymphoma
Jia-Ling Chou1, Charles Chau2
1MD, PhD. Southern California Permanente Medical Group, Medical Oncology, 5601 De Soto Avenue, Woodland Hills, CA.
2MD, Southern California, Permanente Medical Group, Radiology, 5601 De Soto Avenue, Woodland Hills, CA.

Article ID: 100022Z10JC2016
doi:10.5348/Z10-2016-22-CR-13

Address correspondence to:
Jia-Ling Chou
MD, PhD, Southern California Permanente Medical Group
Medical Oncology, 5601 De Soto Avenue
Woodland Hills, CA 91365-4084

Access full text article on other devices

  Access PDF of article on other devices

[HTML Abstract]   [PDF Full Text] [Print This Article]
[Similar article in Pumed] [Similar article in Google Scholar]

How to cite this article:
Jia-Ling C, Chau C. Diagnosis and treatment of concurrent lymphomatosis cerebri and testicular lymphoma. J Case Rep Images Oncology 2016;2:52–56.


Abstract
Introduction: Lymphomatosis cerebri is uncommon. It often poses a diagnostic challenge and carries a poor prognosis. Concurrent testicular lymphoma with lymphomatosis cerebri is even rarer.
Case Report: A case of concurrent lymphomatosis cerebri and testicular lymphoma is presented. Gene arrangement studies helped to establish the diagnosis of lymphomatosis cerebri. Prior to treatment, the patient was bed-bound and confused. He completely recovered his function following intrathecal methotrexate and rituximab in addition to systemic therapy. It was the first report that intrathecal therapy was employed to treat successfully lymphomatosis cerebri. He subsequently tolerated the standard treatment for testicular lymphoma.
Conclusion: It is feasible to treat both lymphomatosis cerebri and testicular lymphoma to achieve remission.

Keywords: Intrathecal therapy, Lymphomatosis cerebri, Testicular lymphoma


Introduction

Lymphomatosis cerebri (LC) is a rare form of central nervous system (CNS) lymphoma as described [1] . Unlike typical primary CNS lymphoma that usually forms a discernible mass or masses on imaging studies, LC is characterized by diffuse infiltration of cerebral hemisphere by lymphoma cells. The presenting symptoms may vary from case to case due to different areas of the brain involved. Therefore, cases of LC often present with a diagnostic challenge. Further, due to rapid clinical progression and ineffective therapy, LC has a high mortality rate [2]. Testicular lymphoma accounts for 1–2% of non-Hodgkin lymphoma cases and is typically diffuse large B cell lymphoma (DLBCL). It is aggressive and tends to recur even after a decade from its initial treatment. Central nervous system is frequently a site of relapse. Concurrent LC and testicular DLBCL are even rarer. To the best of our knowledge, there has been so far only one such case report in English literature [3]. We describe a second case and its management that led to a functional recovery.


Case Report

A 53-year-old immunocompetent male presented with tremor involving both hands for four months. His clinical conditions deteriorated for the subsequent two months when he had difficulties in caring for himself. He was found to have left-sided weakness during physical examination. A brain magnetic resonance imaging (MRI) scan showed patchy confluent hyperintensity on axial T2-weighted sequences in the deep and subcortical white matter of both cerebral hemispheres (Figure 1A). The T1-weighted gadolinium-enhanced images showed enhancement in bilateral frontal areas (Figure 1B). Analysis of cerebral spinal fluid (CSF) showed slightly increased protein level (67 mg/dL) while glucose level was normal. Cytology did not reveal malignancy. CSF examinations for Cryptococcus, CMV, Enterovirus, HSV, multiple sclerosis panel, Purkinje cell antibody and AFB cultures were all negative. Tests for syphilis, Borrelia burgdorferi, JC virus, copper and mercury levels, myasthenia gravis, and FMR1 gene mutation were either negative or normal. Electroencephalogram showed no epileptiform activity. MRI of cervical, thoracic and lumbar spine was unremarkable, as was CT of the chest, abdomen and pelvis. Cerebral angiogram and ocular slit lamp examination were normal. Although a brain biopsy was recommended, the patient and his family did not consider it initially. For the subsequent two months, he became bed-bound and confused. A repeat MRI scan showed the enhancement in the left frontal lobe increased in size with more surrounding edema. There was progression of patchy and nodular foci of contrast enhancement in the basal ganglia, upper brainstem and dentate nuclei in the cerebellum. He received empiric treatments with high dose methylprednisolone and plasmapheresis. Steroids improved his leg strength albeit the effect was short-lived. Plasmapheresis offered no benefit. Eventually, the family consented to a biopsy. The lesion in the left front lobe was biopsied. The pathology revealed both CD-20 and CD-3 positive cells scattered in the brain parenchyma and in perivascular space as small aggregates. The B lymphocytes appeared large with irregular nuclear contours (Figure 2A). They stained positive for CD-20, MUM-1, BCL-2 and BCL-6 with an increased expression of Ki-67 by immunohistochemistry. Immunoglobulin gene rearrangement study of the brain biopsy demonstrated an isolated, prominent peak while T cell receptor gene analysis was negative. The results indicate that the B cells had a common clonal origin while T cells did not. Collectively, the evidences supported a diagnosis of LC. Thereafter, a scrotum ultrasound detected a solid mass in the right scrotum. A right inguinal orchiectomy confirmed a diagnosis of DLBCL (Figure 2B) which stained positive for CD-20, MUM-1, BCL-2, BCL-6 and Ki-67. A subsequent PET scan did not detect any abnormalities. His initial treatment involved two cycles of high dose methotrexate (6 g/m2), temozolomide, and one cycle of rituximab, cyclophosphamide, doxorubicin, vincristine and prednisone (R-CHOP). He did not have noticeable functional improvement. He was subsequently transferred to our clinic. The plan was to focus on LC initially by adding intrathecal therapy (IT). R-CHOP would not be used upfront as CHOP with high dose methotrexate had resulted in prolonged cytopenia. For systemic therapy, he was treated every two weeks using a regime similar to what was reported [4]. He received four cycles of high dose methotrexate (3 g/m2), vincristine, procarbazine and dexamethasone plus systemic rituximab, followed by two cycles of systemic cytarabine with rituximab. For IT, 12 mg of methotrexate and 16 mg of rituximab were given via Ommaya reservoir. IT was administered on fourth day of each cycle of systemic chemotherapy. The feasibility, safety and effectiveness of IT rituximab were previously described [5]. He responded to IT promptly. Following a second course of methotrexate and rituximab via Ommaya reservoir, he was able to wiggle his toes and raise his left foot, which he could not accomplish prior to IT. At the end of six cycles of systemic as well as intrathecal therapy, he no longer had hand tremor. He was able to sit up and ride in a wheelchair. He still could not stand on his own. His cognitive function also improved although he was slow in responding to simple questions. MRI scan at seventh month of treatment showed resolution of abnormal enhancement in bilateral cerebral hemispheres. However, the diffuse white matter hyperintensity on T2-weighted sequences still remained (Figure 1C).

Subsequently, the patient received weekly IT with methotrexate and rituximab for 16 weeks as an outpatient until he no longer needed ambulette transportation and could ride in a car. The treatment frequency was then reduced by 50% with methotrexate and rituximab on alternate weeks for another 16 weeks. When he was able to walk and ride a bicycle, the treatment frequency was reduced by another 50% for 8 more weeks. The treatment for his CNS disease lasted a total of 14 months. The only complication during outpatient IT was an encephaloclastic cyst [6] detected during a follow-up MRI towards the end of IT (Figure 1D). However, he has remained completely asymptomatic.

As his LC responded favorably to therapy, the issue became whether the treatment regime for CNS disease was adequate for his testicular DLBCL. Due to concerns for a late relapse, he was given additional five cycles of R-CHOP. They were started following the completion of systemic cytarabine. He also received prophylactic scrotal radiation after the completion of R-CHOP. By the time of this report, he is more than two and a half years from initial pathological diagnosis of LC and has been off IT for one and a half years. He is independent, walks daily, and can write properly. He has intact cognitive function and his usual sense of humor has returned.


Cursor on image to zoom/Click text to open image
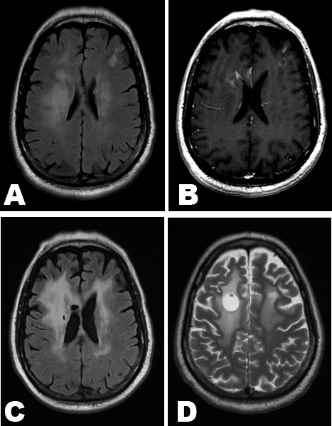
Figure 1: (A, B) Brain MRI scan at presentation. (A) Axial T2-weighted FLAIR image showing ill-defined hyperintensity in bilateral periventricular and subcortical regions with some mass effect, (B) On T1-weighted gadolinium-enhanced image, there are abnormally enhancing lesions in bilateral frontal lobes (arrows), (C) Brain MRI at seventh month of therapy. The T2-weighted FLAIR image demonstrates persistent hyperintensity in bilateral white matter, and (D) T2-weighted sequences of brain MRI towards the end of intrathecal therapy reveal a cystic change (arrow) around the Ommaya catheter.



Cursor on image to zoom/Click text to open image
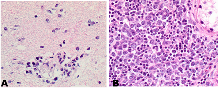
Figure 2: (A) Stereotactic biopsy specimen from the left frontal lobe shows scattered lymphoid cells in the brain parenchyma (H&E stain, x400). There are small clusters of these cells in close relationship with the blood vessel, and some of them are large, atypical lymphocytes with irregular nuclear contours. (B) Inguinal orchiectomy reveals a testicular mass that demonstrates diffuse lymphomatous infiltration. The lymphoma cells are large with lobulated nuclear contours, open chromatin and prominent nucleoli.



Discussion

Lymphomatosis cerebri is thought to be a rare variant of primary CNS lymphoma as first reported in 1999 [1]. The prognosis is very poor with a median overall survival of three months as reported in the largest series of 42 LC cases from 1886 to 2014 [7]. The most common symptoms are cognitive impairment and gait ataxia followed by personality changes and focal neurological deficit. MRI scan of the brain usually demonstrates diffuse white matter disease that can extend to bilateral cerebral hemisphere, periventricular areas, brain stem, thalamus and basal ganglion. While brain MRI is usually manifested by an absence of contrast enhancement, patchy or subtle enhancement can sometimes be seen as in our case. Due to lack of characteristic MRI patterns for common CNS malignancies and protean clinical manifestations, a definitive diagnosis is often delayed and, in one-third of the cases, was made at autopsy [7]. Histopathologically, lymphoid cells are scattered on biopsy specimen and immunohistochemistry alone may not always be sufficient to establish a definite diagnosis. Further, T cell LC was also reported [8] although the majority of cases were of B cell type. Gene rearrangement studies of immunoglobulin and T cell receptor in the brain biopsy specimen in addition to immunohistochemistry may help to establish the clonality and cell origin.

In the past, patients with LC were treated with steroids, intravenous methotrexate, cytarabine, doxorubicin, vincristine, cyclophosphamide, rituximab, and/or whole brain radiation, without much success [2]. IT using methotrexate and rituximab was only reported in recurrent or refractory primary CNS lymphoma [5]. In the case of LC where previous treatment regimens were unsuccessful, there is a rationale for intrathecal approach via Ommaya reservoir. The effect of IT appears to be prompt and can be administered for a long time without overwhelming toxicity. This approach also applies to patients with poor performance status. Further, IT appears to spare whole brain radiation as in our case. To our knowledge, this is the first report where systemic and intrathecal treatments were both applied to an LC patient and that regime resulted in a functional recovery. IT in managing LC patients merits more studies in the future.

One challenge in managing this case was to determine optimal treatment duration. The persistence of diffuse hyperintensity on T2-weighted MRI sequences (Figure 1C) even when his symptoms were improving made it hard to decide when to stop therapy. In the end, adjustment of IT regime in our case was based on functional improvement. During the 10 months of outpatient IT, the only complication was an encephaloclastic cyst. It was reported to be associated rarely with IT methotrexate or topotecan [6] [9]. Its formation, as hypothesized, is due to back flow of chemotherapeutic agents and local chemical encephalitis. In our case, the cyst did not cause symptoms as reported [6] [9] nor did it resolve after IT was discontinued for a long time [9].

Primary testicular lymphoma is a rare extranodal non-Hodgkin lymphoma. A painless testicular mass is typical presentation, and ultrasound often shows a hypoechoic mass with marked hypervascularity in the enlarged testis. The great majority is histologically DLBCL. One particular feature is its pattern of continuing relapse as late as 15 years following initial treatment. The recurrence frequently involves other sanctuary sites such as CNS or contralateral testis. Many putative mechanisms have been proposed to link primary testicular lymphoma and CNS relapse. One of them relates to somatic mutations that may enable lymphoma cells to escape immune surveillance and survive in immune privileged sites behind blood-testis barrier [10]. The current standard approach following inguinal orchiectomy is doxorubicin-based chemotherapy plus rituximab, locoregional radiation and CNS prophylaxis.

The only case report so far about concurrent LC and testicular lymphoma was from a meeting abstract, and the details were not readily available. The simultaneous presence of testicular lymphoma in an LC patient suggests that LC may not always be a form of primary CNS lymphoma as previously thought [2] [7]. Perhaps efforts are needed to investigate peripheral sites for potential lymphoma involvement in a patient with LC, such as scrotum or other visceral organs. Further, treatment of concurrent testicular lymphoma using the standard regime for testicular DLBCL should be entertained to hopefully extend life expectancy when LC can be adequately controlled.


Conclusion

For patients with suspected lymphomatosis cerebri (LC), an early brain biopsy with gene arrangement studies may help to establish the diagnosis. Treatment using IT with methotrexate and rituximab in addition to systemic approach should be considered. For a male patient with LC, testicular lymphoma should be excluded. It is feasible to treat both LC and testicular lymphoma.


Acknowledgements

We wish to thank our colleagues in the departments of neurosurgery, pathology, neurology and medical oncology at Sunset Kaiser of Los Angeles and neurology at Woodland Hills Kaiser for their assistance.


References
  1. Bakshi R, Mazziotta JC, Mischel PS, Jahan R, Seligson DB, Vinters HV. Lymphomatosis cerebri presenting as a rapidly progressive dementia: clinical, neuroimaging and pathologic findings. Dement Geriatr Cogn Disord 1999 Mar-Apr;10(2):152–7.   [CrossRef]   [Pubmed]    Back to citation no. 1
  2. Kitai R, Hashimoto N, Yamate K, et al. Lymphomatosis cerebri: clinical characteristics, neuroimaging, and pathological findings. Brain Tumor Pathol 2012 Jan;29(1):47–53.   [CrossRef]   [Pubmed]    Back to citation no. 2
  3. Tremblay M, Ashley M, Vinters H, Guo M. Co-morbid lymphomatosis cerebri and testicular lymphoma in a case of rapidly progressive dementia. Neurol 2015 Apr;84: suppl p3.144.    Back to citation no. 3
  4. DeAngelis LM, Seiferheld W, Schold SC, Fisher B, Schultz CJ. Combination chemotherapy and radiotherapy for primary central nervous system lymphoma: Radiation Therapy Oncology Group Study 93-10. J Clin Oncol 2002 Dec 15;20(24):4643–8.   [CrossRef]   [Pubmed]    Back to citation no. 4
  5. Rubenstein JL, Li J, Chen L, et al. Multicenter phase 1 trial of intraventricular immunochemotherapy in recurrent CNS lymphoma. Blood 2013 Jan 31;121(5):745–51.   [CrossRef]   [Pubmed]    Back to citation no. 5
  6. Chowdhary S, Chalmers LM, Chamberlain PA. Methotrexate-induced encephaloclastic cyst: a complication of intraventricular chemotherapy. Neurology 2006 Jul 25;67(2):319.   [CrossRef]   [Pubmed]    Back to citation no. 6
  7. Izquierdo C, Velasco R, Vidal N, et al. Lymphomatosis cerebri: a rare form of primary central nervous system lymphoma. Analysis of 7 cases and systematic review of the literature. Neuro Oncol 2016 May;18(5):707–15.   [CrossRef]   [Pubmed]    Back to citation no. 7
  8. Rivero Sanz E, Torralba Cabeza MÁ, Sanjuán Portugal F, García-Bragado F. Lymphomatosis cerebri mimicking iatrogenic Creutzfeldt-Jakob disease. BMJ Case Rep 2014 Sep 8;2014. pii: bcr2013201246.   [CrossRef]   [Pubmed]    Back to citation no. 8
  9. Mella DB, Kamiya-Matsuoka C, Liao B, Tummala S, de Groot J. Recurrent encephaloclastic cyst induced by intraventricular topotecan. J Neurol Sci 2015 Feb 15;349(1-2):52–3.   [CrossRef]   [Pubmed]    Back to citation no. 9
  10. Riemersma SA, Jordanova ES, Schop RF, et al. Extensive genetic alterations of the HLA region, including homozygous deletions of HLA class II genes in B-cell lymphomas arising in immune-privileged sites. Blood 2000 Nov 15;96(10):3569–77.   [CrossRef]   [Pubmed]    Back to citation no. 10

[HTML Abstract]   [PDF Full Text]

Author Contributions
Jia-Ling Chou – Substantial contributions to conception and design, Acquisition of data, Analysis and interpretation of data, Drafting the article, Revising it critically for important intellectual content, Final approval of the version to be published
Charles Chau – Analysis and interpretation of data, Revising it critically for important intellectual content, Final approval of the version to be published
Guarantor of submission
The corresponding author is the guarantor of submission.
Source of support
None
Conflict of interest
Authors declare no conflict of interest.
Copyright
© 2016 Jia-Ling Chou et al. This article is distributed under the terms of Creative Commons Attribution License which permits unrestricted use, distribution and reproduction in any medium provided the original author(s) and original publisher are properly credited. Please see the copyright policy on the journal website for more information.