Table of Contents    
Case Report
 
Pancreatic adenocarcinoma with atypical metastases to the brainstem
Patrick Dillon1, Ibrahim Fanous1
1MD, University of Virginia.

Article ID: 100020Z10PD2016
doi:10.5348/Z10-2016-20-CR-11

Address correspondence to:
Patrick Dillon
MD, Assistant Professor, Division of Hematology/Oncology
University of Virginia, Box 800716
Charlottesville, VA 22908
United States

Access full text article on other devices

  Access PDF of article on other devices

[HTML Abstract]   [PDF Full Text] [Print This Article]
[Similar article in Pumed] [Similar article in Google Scholar]

How to cite this article:
Dillon P, Fanous I. Pancreatic adenocarcinoma with atypical metastases to the brainstem. J Case Rep Images Oncology 2016;2:42–46.


Abstract
Introduction: Pancreatic adenocarcinoma is the most common exocrine pancreatic cancer and has a five-year survival rate of 5–7%. Adenocarcinomas of the pancreas most commonly spread to the liver, followed by lung and bone metastases. Central nervous system involvement is exceedingly rare and has been reported to be less than 1%.
Case Report: We report the first case of pancreatic adenocarcinoma metastatic to the brainstem and review predisposing factors and treatment options. The patient we describe was a 63-year-old found to have stage IIb pancreatic cancer. He underwent an uncomplicated pancreaticoduodenectomy followed by standard chemoradiation then adjuvant 5FU and gemcitabine chemotherapy along with a vaccine therapy. After two years, the patient had isolated recurrences in lung and adrenal gland with excellent responses to ablative therapies. He ultimately developed brain stem metastases after five years and these were treated with Gamma Knife therapy and bevacizumab.
Conclusion: Brain metastases from pancreatic cancer have a very poor prognosis. Surgery, radiosurgery, and whole brain radiation are standard treatments. Anti-VEGF therapy may have some activity as well. It is postulated that increasingly longer survival times in pancreatic cancer patients may uncover rare sites of disease such as the brainstem. Immunotherapy in this case may have contributed to prolonged survival and may or may not have a role in control of disease in sanctuary sites such as the brain.

Keywords: Adenocarcinoma, Brainstem, Metastasis, Pancreas


Introduction

Pancreatic cancer is the seventh most common cause of cancer death worldwide. Cancer of the pancreas resulted in more than 330,000 deaths worldwide in 2012. It is the fourth most common cause of death from cancer in the United States [1]. Up to 70% of the new cases occur in the developed countries. Purported risk factors for pancreatic cancer include male sex, high meat consumption, smoking, alcohol, obesity and diabetes [2]. Genetic links to mutations in BRCA1, BRCA2, PALB2, CDKN2A, Lynch syndrome and FAP are also well described.

There are two main types of pancreatic cancer, exocrine pancreatic cancer and neuroendocrine cancer. The most common exocrine cancer is adenocarcinoma. Pancreatic adenocarcinoma has a relatively poor prognosis, with a one-year survival rate of 25% and a five-year survival rate of only 5% [3]. Neuroendocrine cancers encompass several histologies and are significantly less frequent than adenocarcinoma, but portend a better five-year survival rate of around 65%, with variation depending upon the specific subtype and grade.

Advanced pancreatic adenocarcinoma often spreads locally with invasion into arteries such as the celiac and the superior mesenteric arteries. It can also invade veins such as the portal vein and the superior mesenteric vein. Pancreatic adenocarcinoma commonly metastasizes to liver, peritoneum and lungs [4]. Brain metastases are rare with a reported rate of 1% [5]. To the best of our knowledge, there are no reported cases of metastases to the brain stem.


Case Report

A 63-year-old male presented to the emergency department with three weeks of postprandial epigastric discomfort and weight loss. The patient had a history of occasional alcohol use and remote tobacco use. On examination he was found to have jaundice. Biliary obstruction was suspected and the patient was admitted for evaluation.

Laboratory work-up was notable for a total bilirubin of 4.1 and a conjugated bilirubin of 3.4 (ALT 75, and alkaline phosphatase 203). A right upper quadrant ultrasound showed absence of gallstones. A CT scan revealed the double duct sign. An ERCP showed the presence of a stricture in the distal part of the common bile duct and a biliary stent was placed. The cytology from the ERCP showed atypical cells. A follow-up endoscopic ultrasound showed a 1.6-cm pancreatic head mass. A fine needle aspiration confirmed adenocarcinoma. The patient chose to proceed with a curative intention surgical resection. Preoperative CT scan was negative for distant metastases.

Management and Outcome
A Whipple procedure (pancreaticoduodenectomy) was performed a month after the initial presentation. A three centimeter mass was found at the head of pancreas and with involvement of one of 21 lymph nodes. The final pathology was stage IIB adenocarcinoma (T3N1cM0) with lymphovascular and perineural invasion and widely clear margins.

The patient received standard adjuvant chemoradiotherapy with gemcitabine and concurrent radiation to 50.4 Gy in 28 fractions. He concurrently participated in a trial of an experimental vaccine. He received algenpantucel-L vaccinations on clinical trial NCT01072981 [6]. The adjuvant treatment consisted of six cycles of gemcitabine plus 5 FU chemotherapy along with intradermal injection of 300 MU algenpantucel-L immunotherapy every two weeks during chemo (12 doses) followed-by six monthly booster doses. He received an additional 6 monthly booster immunizations. His only complication was a mild to moderate degree of colitis which was managed without systemic steroids. He remained recurrence free for two years. In May 2013, a routine CT of the lung found two lung masses (6 mm in size). These were resected and were histologically similar to the prior pancreatic adenocarcinoma. These were CA 19-9 positive, TTF1 negative, napsin negative and CDX2 negative [7] [8]. The patient declined chemotherapy at that time.

One and a half year later, the CA 19-9 tumor marker rose suddenly and a right adrenal metastasis was discovered. A partial cryoablation was performed percutaneously. It was complicated by a post-procedure liver abscess and also a reactivation of pruritus and erythema at the prior vaccine injection site in the right thigh. One month after ablation, the patient's tumor marker fell by 50%. Despite this hint of immune re-activation, no systemic immunotherapy options were available to the patient at the time.

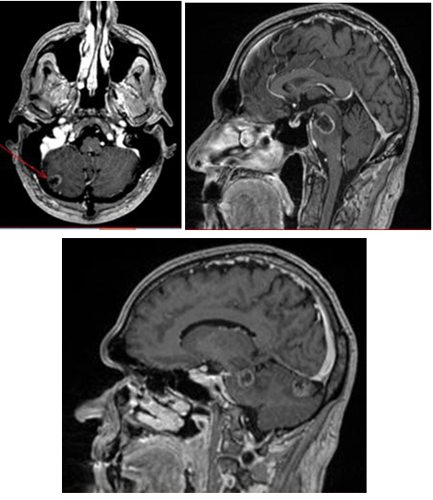
Five months later, an additional lung mass was discovered, and the patient received chemotherapy with FOLFIRI (Leucovorin calcium, fluorouracil and irinotecan hydrochloride) for four cycles. After four cycles, the lung tumor became radiographically occult. At the time of the lung tumor treatment, a blood sample was sent for multi-gene sequencing of circulating tumor DNA. A loss of function mutation in TP53 (M237I) was found along with an activating mutation in PDGFRA (L1000V). Unfortunately, targeted clinical trials were unavailable within the patient's travel area at that time, so he pursued observation only. Five months later, the patient started complaining of left ear and face paresthesia. A brain MRI in November 2015 revealed ring enhancing lesions in the medulla, right frontal lobe, right cerebellum (two lesions) and a lesion involving the pons and midbrain. The brainstem lesion was the largest lesion measuring 22x22x19 mm (Figure 1).

Due to symptoms, the patient was treated with steroids and Gamma Knife radiosurgery. The patient then was given palliative bevacizumab in January 2016 for two months. Ultimately, he was offered hospice care and he deceased of complications of the Central nervous system (CNS) tumors. Representative histology is shown in Figure 2.


Cursor on image to zoom/Click text to open image
Figure 1: Magnetic resonance images of metastatic lesions in the brainstem and cerebellum. Image (A) is a sagittal T1 post gadolinium sequence demonstrating a 2.3 cm rim enhancing lesion in the pons and mid-brain. Image (B) is an axial T1 post gadolinium sequence showing a 1.3 cm rim enhancing lesion of the cerebellum. Image (C) is an sagittal T1 post gadolinium sequence of an additional cerebellar lesion and a portion of the mid-brain lesion.



Cursor on image to zoom/Click text to open image
Figure 2: The microphotograph showing the ductal pancreatic adenocarcinoma, composed of malignant epithelial cells in a glandular configuration, haphazardly infiltrating through abundant desmoplastic stroma. Intraepithelial lymphocytes are occasionally encountered (inset, green arrows) in the tumor stroma and adjacent to neoplastic epithelial structures (H&E stain, original magnification x40, inset x400).



Discussion

Pancreatic cancer rarely metastasizes to the brain [5]. The rate of pancreatic cancer metastasizing to the brain is reported to be less than 1% and is likely low due to the aggressive nature of the tumor and with few patients surviving long enough to experience brain metastases [5]. The case we describe is notable as an example of prolonged survival and the eventual development of atypical metastatic patterns. It is noteworthy that prolonged survival in this case followed immunotherapy for pancreatic cancer. Furthermore, this patient exhibited clinical signs suggestive of immunologic memory in terms of vaccine site reactivation. Formal confirmation of T cell memory and specificity was not performed at the time of reactivation. Nevertheless, we hypothesize that immune surveillance may have contributed to prolonged survival in this patient. This case is the first reported pancreatic metastasis to the brainstem. The atypical CNS involvement in this case raises the question of whether immune surveillance in the CNS is effective.

It is notable that brain metastases from any primary tumor affect 10% of adult cancer patient in the United States. There are multiple treatment options for brain metastases, including surgery, whole brain radiation, stereotactic radiosurgery and chemotherapy. For localized disease, surgery and stereotactic radiosurgery have shown to increase survival rates [9]. When other treatment options fail, chemotherapy is often the fallback option [10]. Thus, the treatment of brain metastases is a huge unmet need in oncology. In a recent study, the median survival in patients with brain metastases treated with steroids only was 1.6 months. The survival rate was 3.6 months in patients treated with radiotherapy only. For surgical resection and radiotherapy, the survival rate increased to 8.9 months [11], thus highlighting the both the value of early detection of brain metastases and also the potential role for early surgical intervention where possible.

To summarize literature on gastrointestinal metastasis to the brain, it is notable that Kumamoto University has published three cases [12]. Johns Hopkins published a study of 800 patients with pancreatic cancer from 2004 to 2012. They found eight patients with pancreatic cancer and metastases to the brain. The reported brain metastases were in the parieto-occipital regions, cerebellum, pituitary stalk, the frontal and the temporal lobes [13].

A study of 1229 patients with pancreatic adenocarcinoma in Seoul, South Korea found seven patients with central nervous system metastasis. CT scans and MRIs showed ring enhancing lesions in half of these patients. Interestingly, three patients had spinal cord involvement at the thoracic level [14].

In terms of treatment of brain metastases, a study at Louisiana State University Health Sciences Center of 61 patients with 103 metastatic brain tumors concluded that Gamma Knife is an effective and safe treatment of brain metastases. They showed that Gamma Knife increased survival rates and improved quality of life. The study also concluded that there was no difference in survival rates between the group of patients receiving radiosurgery alone and the group receiving radiosurgery and adjuvant external beam radiotherapy, after a median follow-up period of 11 months [15].

Our case describes a patient who was diagnosed with pancreatic adenocarcinoma and had neurological manifestations that were explained by discovery of brain metastases predominantly in the brain stem. He was previously enrolled in a clinical trial for algenpantucel-L and had an impressive five year survival which may have been positively influenced by immunotherapy. The patient did experience some colitis following immunotherapy which might suggest for a degree of off-target immune activation and his latter re-activation of injection sites in the thigh was suggestive, though not confirmatory, of immune activation and recognition of his cancer.

There are many clinical trials currently underway for the use of immunotherapy to treat residual disease after pancreatic resection and for metastatic disease. Combinations of chemotherapy with immunotherapy are now published demonstrating clinical benefits. There are different types of vaccines including; whole cell vaccine such as algenpantucel-L and a granulocyte-macrophage colony stimulating factor vaccine. Additional peptide and DNA vaccines including modified antigens such as Ras, telomerase peptide vaccine, carcinoembryonic antigen and mucin 1 and survivin along with heat-shock protein vaccines are ongoing or have been reported. So far, the reported toxicities to immunotherapy have been fairly mild [16].


Conclusion

Pancreatic cancer rarely metastasizes to the brain, although the likelihood of brain involvement probably increases with time from diagnosis. Literature contains reports of metastases to the frontal, temporal, and occipital lobes along with the choroid, pituitary stalk, cerebellum and we now present a case of brainstem involvement. The management of brain metastases with optimal debulking by either surgery or radiosurgery is preferred, but whole brain radiotherapy and chemotherapy remain acceptable options. The role of immunotherapy in pancreatic cancer is suggested by several encouraging trials and case reports such as this one.


Acknowledgement

We are thankful to Dr. Christopher Moskaluk, chair of pathology at University of Virginia, for providing histology images of the pancreatic cancer.


References
  1. Jemal A, Bray F, Center MM, Ferlay J, Ward E, Forman D. Global cancer statistics. CA Cancer J Clin 2011 Mar-Apr;61(2):69–90.   [CrossRef]   [Pubmed]    Back to citation no. 1
  2. Gold EB, Goldin SB. Epidemiology of and risk factors for pancreatic cancer. Surg Oncol Clin N Am 1998 Jan;7(1):67–91.   [Pubmed]    Back to citation no. 2
  3. Kleeff J, Michalski C, Friess H, Büchler MW. Pancreatic cancer: from bench to 5-year survival. Pancreas 2006 Aug;33(2):111–8.   [CrossRef]   [Pubmed]    Back to citation no. 3
  4. Fuhrman GM, Leach SD, Staley CA, et al. Rationale for en bloc vein resection in the treatment of pancreatic adenocarcinoma adherent to the superior mesenteric-portal vein confluence. Pancreatic Tumor Ann Surg 1996 Feb;223(2):154–62.   [Pubmed]    Back to citation no. 4
  5. Lemke J, Scheele J, Kapapa T, Wirtz CR, Henne-Bruns D, Kornmann M. Brain metastasis in pancreatic cancer. Int J Mol Sci 2013 Feb 19;14(2):4163–73.   [CrossRef]   [Pubmed]    Back to citation no. 5
  6. Coveler AL, Rossi GR, Vahanian NN, Link C, Chiorean EG. Algenpantucel-L immunotherapy in pancreatic adenocarcinoma. Immunotherapy 2016 Feb;8(2):117–25.   [CrossRef]   [Pubmed]    Back to citation no. 6
  7. Turner BM, Cagle PT, Sainz IM, Fukuoka J, Shen SS, Jagirdar J. Napsin A, a new marker for lung adenocarcinoma, is complementary and more sensitive and specific than thyroid transcription factor 1 in the differential diagnosis of primary pulmonary carcinoma: evaluation of 1674 cases by tissue microarray. Arch Pathol Lab Med 2012 Feb;136(2):163–71.   [CrossRef]   [Pubmed]    Back to citation no. 7
  8. Yachida S, White CM, Naito Y, et al. Clinical significance of the genetic landscape of pancreatic cancer and implications for identification of potential long-term survivors. Clin Cancer Res 2012 Nov 15;18(22):6339–47.   [CrossRef]   [Pubmed]    Back to citation no. 8
  9. Serizawa T, Iuchi T, Ono J, et al. Gamma knife treatment for multiple metastatic brain tumors compared with whole-brain radiation therapy. J Neurosurg 2000 Dec;93 Suppl 3:32–6.   [CrossRef]   [Pubmed]    Back to citation no. 9
  10. Eichler AF, Plotkin SR. Brain metastases. Curr Treat Options Neurol 2008 Jul;10(4):308–14.   [CrossRef]   [Pubmed]    Back to citation no. 10
  11. Lagerwaard FJ, Levendag PC, Nowak PJ, Eijkenboom WM, Hanssens PE, Schmitz PI. Identification of prognostic factors in patients with brain metastases: a review of 1292 patients. Int J Radiat Oncol Biol Phys 1999 Mar 1;43(4):795–803.   [CrossRef]   [Pubmed]    Back to citation no. 11
  12. Kuratsu J, Murakami M, Uemura S, Ushio Y. Brain and skull metastases of hepatic or pancreatic cancer--report of six cases. Neurol Med Chir (Tokyo) 1990 Jul;30(7):476–82.   [Pubmed]    Back to citation no. 12
  13. Kumar A, Dagar M, Herman J, Iacobuzio-Donahue C, Laheru D. CNS involvement in pancreatic adenocarcinoma: a report of eight cases from the Johns Hopkins Hospital and review of literature. J Gastrointest Cancer 2015 Mar;46(1):5–8.   [CrossRef]   [Pubmed]    Back to citation no. 13
  14. Park KS, Kim M, Park SH, Lee KW. Nervous system involvement by pancreatic cancer. J Neurooncol 2003 Jul;63(3):313–6.   [Pubmed]    Back to citation no. 14
  15. Jawahar A, Willis BK, Smith DR, Ampil F, Datta R, Nanda A. Gamma knife radiosurgery for brain metastases: do patients benefit from adjuvant external-beam radiotherapy? An 18-month comparative analysis. Stereotact Funct Neurosurg 2002;79(3-4):262–71.   [CrossRef]   [Pubmed]    Back to citation no. 15
  16. Salman B, Zhou D, Jaffee EM, Edil BH, Zheng L. Vaccine therapy for pancreatic cancer. Oncoimmunology 2013 Dec 1;2(12):e26662.   [CrossRef]   [Pubmed]    Back to citation no. 16

[HTML Abstract]   [PDF Full Text]

Author Contributions
Patrick Dillon – Substantial contributions to conception and design, Acquisition of data, Analysis and interpretation of data, Drafting the article, Revising it critically for important intellectual content, Final approval of the version to be published
Ibrahim Fanous – Analysis and interpretation of data, Revising it critically for important intellectual content, Final approval of the version to be published
Guarantor of submission
The corresponding author is the guarantor of submission.
Source of support
None
Conflict of interest
Authors declare no conflict of interest.
Copyright
© 2016 Patrick Dillon et al. This article is distributed under the terms of Creative Commons Attribution License which permits unrestricted use, distribution and reproduction in any medium provided the original author(s) and original publisher are properly credited. Please see the copyright policy on the journal website for more information.