Table of Contents    
Case Report
 
A rare case of thymic carcinoma manifesting as a liver mass
Nathan Peterson1, Erica Vormittag2, Adil Sanaulla3
1MD, 2nd year resident, Internal Medicine Residency, Florida Atlantic University Charles E. Schmidt College of Medicine, 800 Meadows Rd. Boca Raton, FL 33486-2304.
2BS, 4th year medical student, Undergraduate Medical Education, Florida Atlantic University Charles E. Schmidt College of Medicine, 777 Glades Road, Boca Raton, FL 33431.
3MD, Assistant Professor Division of Medicine, Florida Atlantic University Charles E. Schmidt College of Medicine, 777 Glades Road, Boca Raton, FL 33431.

Article ID: 100010Z10NP2016
doi:10.5348/Z10-2016-10-CR-1

Address correspondence to:
Nathan Peterson
MD, 2nd year resident, Internal Medicine Residency
Florida Atlantic University Charles E. Schmidt College of Medicine
800 Meadows Rd. Boca Raton
FL 33486-2304

Access full text article on other devices

  Access PDF of article on other devices

[HTML Abstract]   [PDF Full Text] [Print This Article]
[Similar article in Pumed] [Similar article in Google Scholar]

How to cite this article:
Peterson N, Vormittag E, Sanaulla A. A rare case of thymic carcinoma manifesting as a liver mass. J Case Rep Images Oncology 2016;2:1–4.


Abstract
Introduction: hymic carcinoma is a rare neoplasm of the thymus gland, also known as thymoma type C. Thymomas of all types usually present with masses in the mediastinum, with symptoms related to compression of local structures. Thymic carcinoma diagnosed by indentifying metastasis in the liver is very rare, with only one other case reported in literature.
Case Report: Herein, we present a case of thymic carcinoma that originally presented with a very large liver metastasis in a 32-year-old male with abdominal pain and distention. He was found to have metastatic thymic carcinoma with a liver lesion 6.6x5.2 cm in diameter.
Conclusion: This case is the first reported in literature of a thymic carcinoma presenting with liver lesions of this size. Further studies are necessary to evaluate effective treatments for this disorder. The case demonstrates that though rare, thymic carcinoma should be considered when evaluating liver masses.

Keywords: Abdominal pain, Liver metastasis, Thymic carcinoma


Introduction

Thymic carcinoma is a rare neoplasm that has no gender preference and often presents between 49 and 62 years of age [1]. Approximately half of patients are asymptomatic upon presentation, and the tumor is only an incidental finding on chest X-ray [1] . Of all thymic epithelial tumors, thymic carcinoma accounts for less than 4% of cases [2]. These tumors most commonly metastasize within the mediastinum and rarely are present elsewhere in the body. When the tumor metastasizes, it travels to the liver, central nervous system, and pelvis as documented in case reports from around the globe, all of which show poor prognosis in their patients [3]. Herein, we describe a case of thymic carcinoma presenting as a liver mass.


Case Report

A 32-year-old male, with recent diagnosis of an unknown cancer, presented to the emergency department with abdominal pain. The pain was localized to the upper abdomen, both left and right upper quadrants. The pain was described as stabbing in character though mild in severity. Along with the abdominal pain he described some bloating, gas and shortness of breath.

The patient's past medical history included admission to an outside facility two months prior for abdominal pain where he had been diagnosed with cancer, but the patient did not know what type. He had no other medical history, no previous surgeries, his only medication was an unknown pain medication he had taken since the previous hospitalization, and had no allergies. He also denied any family history of illness. The patient moved to the United States from Haiti six years prior to admission. He worked as a shelf stocker in a local grocery store and denied any tobacco, alcohol or illicit substance abuse.

On physical examination vital signs included a temperature of 98.1 degrees Fahrenheit, pulse 98 beats per minute, blood pressure 135/88 mmHg, respirations 18 breaths per minute, oxygen saturation 100% on room air. Pertinent physical findings included conjunctival pallor, a prominent manubrium with clear breath sounds throughout all lung fields, and heart sounds regular in rate and rhythm, without any murmurs, rubs or gallops. Abdominal exam showed no abdominal distention, with significant hepatomegaly; liver span was approximately six centimeters, with extension to the left upper abdomen as well. The liver was firm to palpation with significant tenderness, though the lower abdomen was soft, without any masses. The remainder of the abdomen had no tenderness, and no rebound tenderness.

White blood cell count was 11.6 k/UL, hemoglobin 11.7 g/dL, hematocrit 34.4%, platelet count 306 k/UL. Total protein 7.6 g/dL, albumin 4.1 g/dL, total bilirubin 1.2 mg/dL, direct bilirubin 0.1 mg/dL, ALT 77 units/L, AST 337 units/L, alkaline phosphatase 320 units/L, CEA 25.7 µg/mL, alpha fetoprotein level 4 ng/mL. Computed tomography scan of abdomen reported "Bilateral pulmonary nodules suspicious for metastatic disease, enlarged right pericardial lymph node. Large heterogeneous mass in the upper abdomen, which may be arising from the liver, although a lytic lesion could not be excluded. Additional focal lesion in the right lobe of the liver is identified. Malignancy is suspected. Extensive ascites. "MRI scan of the abdomen with Eovist was obtained (Figure 1) and showed 24x23x12 cm heterogeneously enhancing mass replacing the left lobe of the liver suspected for hepatocellular carcinoma. Numerous hepatic and pulmonary metastases are present.

Upon admission, records from the outside hospital were requested. These revealed that along with finding the liver lesion as our team had; they had also done a CT of the chest showing an anterior mediastinal mass 6.6x5.2 cm with mediastinal and left hilar lymphadenopathy. Biopsy of the liver lesion was done at that time and it was diagnosed as metastatic thymic carcinoma, non-keratinizing squamous type with some neuroendocrine expression. Based off his distant metastasis he was staged according to the Masaoka surgical staging system as a stage IV B [4].

Upon diagnosis during the previous admission, plans were made for outpatient treatment, which were delayed due to financial issues and never begun before the patient presented to our facility for abdominal pain as previously stated above. Outpatient arrangements were made with hematology/oncology for the patient to begin treatment and he was discharged for said treatment including chemotherapy.

The patient was able to follow-up with oncology and was begun on chemotherapy, specifically carboplatin and etoposide for two cycles. At that point the patient was readmitted and had a follow-up CT scan of the abdomen and chest (Figure 2) and (Figure 3), which showed worsening of his disease. The patient continued to deteriorate and succumbed to the disease six months after diagnosis.


Cursor on image to zoom/Click text to open image
Figure 1: Magentic resonance imaging scan of the abdomen with Eovist. MRI showing the liver mass measuring 24x23x12 cm, arrow pointing to the posterior surface of the mass. Eovist is a contrast agent specifically used to evaluate liver lesions found on other imaging studies.



Cursor on image to zoom/Click text to open image
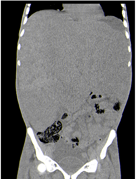
Figure 2: Follow up computed tomography scan of the abdomen. This CT of the abdomen done two months later showing enlargement of the liver mass where it now occupied the majority of the abdominal cavity.



Cursor on image to zoom/Click text to open image
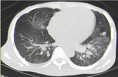
Figure 3: CT scan of the chest for follow-up. This CT done at the same time as Figure 2 shows the significant bilateral pulmonary metastases from his disease.



Discussion

According to the NCI, thymic carcinoma is "a thymic epithelial tumor that exhibits clear-cut cytologic atypia and histologic features no longer specific to the thymus (also known as type C thymoma) [3]." These make up between 1–4% of thymomas [4]. Thymic carcinoma is divided into low and high grade. Low grade includes "basaloid, mucoepidermoid and well-differentiated squamous cell types [5]." "High grade includes anaplastic, clear cell, poorly differentiated squamous cell, sarcomatoid, and small cell/neuroendocrine types [5]."

Incidence of thymoma is 0.13 per 100,000 people in the United States, and thymic carcinoma is 5% of all thymic neoplasms; it commonly presents in the 5th decade of life and a 2-year survival is 50% [3], 35% at 5 years and 28% at 10 years [5].

Thymic carcinoma is a much more aggressive disease than thymoma, with a much higher risk of metastasis. Many of the patients present with evidence of mediastinal invasion. Extrathoracic metastasis is also more common than thymoma, with the incidence unknown, but likely between 2–7% [6] [7][8]. Lesions were most commonly found on the lung, liver, extrathoracic lymph nodes and bones. They were less commonly identified in the brain, adrenal glands and/or kidneys [6] [7] [8]. Most patients with extrathoracic metastasis had multiple sites, [8] which was the case in our patient.

Though no randomized controlled trials have been done to evaluate best treatment for thymic carcinoma [9], one literature review indicates that resection is the best treatment. If surgical resection is not possible due to metastasis or infiltration, it is recommended to undergo neoadjuvant chemotherapy or chemoradiation [4], as there is evidence that thymic carcinoma is radiosensitive [4]. Which radiation schedule and dose and best chemotherapy regimen are still under investigation, though most include cisplatin along with other agents. In cases of metastatic disease, no treatment has demonstrated a consistent response [4]. Targeted therapy to c-KIT with sunitinib by Strobel et al. showed partial response in 3 of 4 participants, with stable disease in the fourth, indicating some promise to tyrosine kinase inhibitors [10]. Other molecular targeted therapies have not shown promise in the studies conducted to date [4].


Conclusion

Thymic carcinoma is a rare but aggressive form of thymoma, which has shown a propensity to local infiltration and distant metastasis. It is difficult to treat and has a poor prognosis. This case is the first case reported in literature of a thymic carcinoma presenting with liver lesions of this size. Further studies are necessary to evaluate effective treatments for this disorder. The case demonstrates that though rare, thymic carcinoma should be considered when evaluating liver masses.


List of abbreviations

BUN- Blood urea nitrogen
ALT- Alanine transaminase
AST- Aspartate transaminase
CEA- Carcinoembryonic antigen
CT- computed tomography
MRI- magnetic resonance image
cm- centimeter
NCI- National Cancer Institute


Acknowledgements

We would like to acknowledge the expertise and assistance of Dr. Miguel Araneo, the hematologist/oncologist on the case for this patient.


References
  1. Al-Barbarawi M, Smith SF, Sekhon LH. Haemorrhagic brain metastasis from a thymic carcinoma. J Clin Neurosci 2004 Feb;11(2):190–4.   [CrossRef]   [Pubmed]    Back to citation no. 1
  2. Syrios J, Diamantis N, Fergadis E, et al. Advances in thymic carcinoma diagnosis and treatment: a review of literature. Med Oncol 2014 Jul;31(7):44.   [CrossRef]   [Pubmed]    Back to citation no. 2
  3. Rosai J. Histological typing of tumours of the thymus. 2ed. New York, NY: Springer-Verlag; 1999.    Back to citation no. 3
  4. Surmei-Pintilie E, Narducci F, Farre I, et al. Asymptomatic pelvic metastasis from thymic carcinoma: a case report. Case Rep Oncol 2014 Jul 2;7(2):422–5.   [CrossRef]   [Pubmed]    Back to citation no. 4
  5. American Society of Clinical Oncology. Thymoma guide. 2015. [Available at: http://www.cancer.net/cancer-types/thymoma]    Back to citation no. 5
  6. Lewis JE, Wick MR, Scheithauer BW, Bernatz PE, Taylor WF. Thymoma. A clinicopathologic review. Cancer 1987 Dec 1;60(11):2727–43.   [CrossRef]   [Pubmed]    Back to citation no. 6
  7. Ogawa K, Toita T, Uno T, et al. Treatment and prognosis of thymic carcinoma: a retrospective analysis of 40 cases. Cancer 2002 Jun 15;94(12):3115–9.   [CrossRef]   [Pubmed]    Back to citation no. 7
  8. Vladislav T, Jain RK, Alvarez R, et al. Extrathoracic metastases of thymic origin: a review of 35 cases. Mod Pathol 2012 Mar;25(3):370–7.   [CrossRef]   [Pubmed]    Back to citation no. 8
  9. Wei ML, Kang D, Gu L, Qiu M, Zhengyin L, Mu Y. Chemotherapy for thymic carcinoma and advanced thymoma in adults. Cochrane Database Syst Rev 2013 Aug 23;8:CD008588.   [CrossRef]   [Pubmed]    Back to citation no. 9
  10. Ströbel P, Bargou R, Wolff A, et al. Sunitinib in metastatic thymic carcinomas: laboratory findings and initial clinical experience. Br J Cancer 2010 Jul 13;103(2):196–200.   [CrossRef]   [Pubmed]    Back to citation no. 10

[HTML Abstract]   [PDF Full Text]

Author Contributions
Nathan Peterson – Substantial contributions to conception and design, Acquisition of data, Analysis and interpretation of data, Drafting the article, Revising it critically for important intellectual content, Final approval of the version to be published
Erica Vormittag – Analysis and interpretation of data, Revising it critically for important intellectual content, Final approval of the version to be published
Adil Sanaulla – Analysis and interpretation of data, Revising it critically for important intellectual content, Final approval of the version to be published
Guarantor of submission
The corresponding author is the guarantor of submission.
Source of support
None
Conflict of interest
Authors declare no conflict of interest.
Copyright
© 2016 Nathan Peterson et al. This article is distributed under the terms of Creative Commons Attribution License which permits unrestricted use, distribution and reproduction in any medium provided the original author(s) and original publisher are properly credited. Please see the copyright policy on the journal website for more information.